LINFOMA PRIMARIO DEL SISTEMA NERVIOSO EN EL PACIENTE INMUNO-COMPETENTE: HALLAZGOS EN RESONANCIA MAGNÉTICA

ARTÍCULO ORIGINAL
ESPACIO DE NEURORRADIOLOGÍA

Dr. Nicolás Sgarbi.
Dra.Tatiana Wozniak.
Dr. Osmar Telis.

RESUMEN

El linfoma primario del sistema nervioso es una neoplasia relativamente frecuente en nuestro medio y su forma de presentación muy variable. Si bien la anatomía patológica es el estándar de referencia para el diagnóstico, la resonancia magnética aporta elementos clave que permiten sospechar este tumor con elevados niveles de sensibilidad y especificidad.

Sus formas de presentación varían sobre todo en función del estado de inmunidad del paciente y es fundamental el conocimiento de las mismas.

Es nuestro objetivo analizar las distintas formas de presentación y los hallazgos en resonancia en un grupo de 40 paciente sin evidencia de inmuno-compromiso con diagnóstico final de linfoma primario.

Para ello se analizaron de forma retrospectiva las resonancias de esos pacientes evaluando las características de las lesiones en secuencias convencionales, patrón de realce con el medio de contraste y comportamiento en difusión y espectroscopía.

Si bien la presentación fue muy variable en cuanto a número de lesiones y topografía de las mismas, su intensidad de señal, patrón de realce y morfología son elementos que no varían sustancialmente. Asimismo un correcto análisis de la secuencia de difusión y mapa de ADC y los trazados metabólicos de espectroscopía muestran un patrón con poca variabilidad.

Es fundamental el conocimiento de todos los hallazgos en pacientes con linfoma en vistas a poder establecer el diagnóstico inicial y poner en marcha de forma rápida la mejor estrategia diagnóstica y terapéutica lo que impacta de forma sustancial en el pronóstico.

Palabras clave: tumores cerebrales, linfoma primario del sistema nervioso, resonancia magnética, difusión

ABSTRACT

Primary central nervous system lymphoma is relatively common tumor that has a highly variable presentation. Although histology is the gold standard for final diagnosis, magnetic resonance imaging provides specific information that allows diagnosis with high levels of sensitivity and specificity.

The imaging presentation varies mostly depending on patient immunity.

Our goal is to analyze the different magnetic resonance patterns and findings in a group of 40 patients without any evidence of immunity suppression with final diagnosis of brain lymphoma.

We retrospective analyzed the images of 40 patients with special interest in signal intensity in conventional sequences, enhancement pattern with gadolinium, restriction in diffusion weighted images and metabolic pattern in spectroscopy.

Although the number of lesions and topography were variable the signal intensity, enhancement pattern and morphology were in comparison very constant.

Also the correct analysis of diffusion images and ADC maps so the metabolic pattern in spectroscopy was very helpful in final diagnosis. The knowledge of all common signs if quite important in these group of tumors for initial diagnosis that allows choosing the best therapeutic strategy the impacts on patient prognosis.

Key words: brain tumors, primary central nervous system lymphoma, magnetic resonance, diffusion

INTRODUCCIÓN

El linfoma primario del sistema nervioso (LPSN) es uno de los tumores que se observa con relativa frecuencia en nuestro medio. Constituye un verdadero desafío diagnóstico sobre todo por las implicancias que esto tiene en su tratamiento y pronóstico en comparación con otros tumores primarios.
Si bien el estudio histológico es el estándar de referencia, e imprescindible para la elección del tratamiento, los estudios de imagen pueden sugerir el diagnóstico con elevados niveles de sensibilidad y especificidad. La resonancia magnética (RM) es el método de elección para el estudio de los tumores del sistema nervioso y en el caso de LPSN aporta elementos fundamentales para su diagnóstico y seguimiento.
Existen diferentes formas de presentación que varían sobre todo en relación con el estado de inmunidad del paciente y el análisis detallado de las características en RM permiten establecer el diagnóstico probable.
En el presente trabajo analizaremos las características en RM de un grupo de pacientes inmuno-competentes, con diagnóstico final de LPSN, tanto en secuencias convencionales como en difusión y espectroscopía, y su impacto en el diagnóstico y manejo de esta entidad.

MATERIALES Y MÉTODO

En este trabajo se analizó de forma retrospectiva el comportamiento en RM de las lesiones que presentaron 40 pacientes sin evidencia de inmuno-supresión, con diagnóstico final de LPSN entre 2012 y 2015 estudiados en nuestro centro.
En ese período de tiempo se presentaron 88 pacientes con LPSN.

Se excluyeron de este trabajo a los pacientes inmuno- comprometidos (total de 35 pacientes) y a los de edad pediátrica (menores de 15 años, 2 pacientes).
Se consideraron únicamente las lesiones del parénquima cerebral (45,45% del total) no incluyéndose los casos de lesiones exclusivamente extra-axiales, o con compromiso orbitario o raqui-medular que también forman parte de esta patología (11 pacientes). Se incluyó en el análisis la edad y el sexo de los pacientes, el conjunto de síntomas y/o signos predominantes que motivaron la consulta y realización de las imágenes, y los hallazgos en RM.
Todos los estudios de RM fueron realizados en equipo de campo cerrado y 1,5T de potencia, utilizando el protocolo Institucional aprobado para lesiones tumorales. Este protocolo incluye secuencias convencionales potenciadas en T1 y T2 (incluyendo secuencia FLAIR) y eco de gradiente (GRE T2*); secuencias con medio de contraste para-magnético (gadolinio) potenciadas en T1; secuencia de difusión (B0 y B1000) con mapa de coeficiente de difusión aparente (ADC) y espectroscopía con adquisiciones mono y multi-voxel con tiempos de eco corto e intermedio (35 y 140ms respectivamente).
No se analizan los estudios de perfusión dado que no se realizó en todos los casos. Se agrupan los hallazgos en las distintas secuencias, se calculan los porcentajes de presentación y la sensibilidad y especificidad de cada uno de ellos.
Por último se analizó el rendimiento global del método y su correlación con el estudio histológico final para comparar con los datos reportados en la literatura.

RESULTADOS (Gráfico 1/Tablas 1 a 3)

En el período de tiempo mencionado se estudiaron en nuestro centro 940 pacientes con diagnóstico final de tumor cerebral por lo que el grupo total de pacientes con LPSN (88 casos) representó un 9,3%. En el grupo total de pacientes con LPSN casi un 40% (35 casos) se presentó en pacientes inmuno-comprometidos, 30 de ellos VIH positivos. Un total de 22 (55%) pacientes fueron del sexo masculino.
El promedio de edad al diagnóstico fue de 63 años con un rango de 23 a 80. En el sexo femenino el promedio de edad al diagnóstico fue de 58 años.
De la presentación clínica se destaca que 15 pacientes tenían historia de cefaleas, en todos ellos de evolución progresiva, de al menos 7 días y solamente en 2 casos con elementos de hipertensión intra-craneana como vómitos o edema de papila en el fondo de ojo.

En 8 pacientes la historia incluye cambios o trastornos del carácter, 2 de ellos con cuadros de depresión atípica. Un total de 5 pacientes debutaron con crisis convulsivas mientras que en 13 pacientes existió focalidad neurológica, en todos de tipo motor deficitario y progresivo.

La evolución de los síntomas y signos mayor a 7 días se observó en todos los casos excepto aquellos que debutaron con episodios críticos que motivaron la consulta. Un total de 22 pacientes presentaron lesiones únicas (definidas como focos de realce con el contraste) mientras que el resto presentaron 2 o más focos de realce (1 paciente con 5 focos).

Casi todas las lesiones fueron supra-tentoriales, en 32 (80%) casos con localización peri-ventricular, 13 (32,5%) casos con compromiso predominante del cuerpo calloso. Figura 1


Gráfico 1: Presentación Clínica
Presentación Clínica Se ilustran los principales signos o síntomas que motivaron la consulta en relación con el número de casos.



Figura 1
LPSN multifocal con compromiso del cuerpo calloso.
Paciente con diagnóstico de LPSN con múltiples focos de realce, el principal en el CC, sector posterior. Se observa el comportamiento más frecuente: hipointensidad en T1 (A), hipointensa en T2 con respecto a la SG cerebral (B), con edema asociado en FLAIR (C) y restricción en difusión (D). Con el medio de contraste se observa el intenso y homogéneo realce con bordes irregulares (E) y al menos 2 focos adicionales en la sustancia blanca subcortical del lado izquierdo (F).

Un paciente presentó lesión de tronco encefálico, a nivel mesencefálico, y otro con compromiso multifocal tenía una lesión cerebelosa. Figura 2 y 3

En secuencia T1 las lesiones de 34 pacientes fueron hipo-intensas (85%) mientras que en 23 casos fueron hipo-intensas en T2 (57,5%).
Solamente 3 (7,5%) casos presentaron focos de hemorragia intra-lesional y focos de necrosis se observaron en 7 casos (17,5%). Figura 4 y 5
Todos los casos presentaron realce con el medio de contraste que en el 70% de ellos fue catalogado como intenso y homogéneo.
Del análisis detallado del patrón de realce se desprende que un 67,5% de las lesiones presentan bordes o contornos irregulares.
En todos los casos se observó edema vasogénico, referido como extenso en 27 pacientes con moderado efecto de masa.

En relación con la secuencia de difusión en todos los casos se observó fenómeno de restricción, baja señal en el mapa de ADC, con un valor promedio de 0,71x10-3 mm2/s.
Los trazados metabólicos obtenidos mostraron en todos los casos un descenso de los niveles de NAA y ascenso de la Ch con ascenso de los niveles de Cr en 15 casos. No se observó niveles significativos de mI en ningún caso mientras que el pico de Lip/Lac estuvo presente en todas lesiones analizadas con elevación variable.
En relación con los índices o ratios metabólicos el Ch/NAA tuvo un valor promedio de 2,29 con un rango de 1,03 a 3,65; Ch/Cr de 2,08 con rango de 0,68 a 4,5; y NAA/Cr de 1,08 con un rango de 0,45 a 1,78. Figura 6 En todos los casos analizados fue sugerido el diagnóstico de LPSN apoyado sobre todo en la topografía de las lesiones, su comportamiento en secuencia T2, difusión y mapa de ADC y patrón de realce con el medio de contraste.


Figura 2
LPSN con lesión única de tronco encefálico (mesencéfalo).
Se identifica la lesión hipointensa en T1 (A) en el mesencéfalo, hiperintensa en T2 y FLAIR (B y C) con escaso edema, y fenómeno de restricción en difusión (D) y ADC (E). Con el medio de contraste (F) se observa el clásico patrón de realce intenso con borde irregulares.


Figura 3
LPSN con compromiso multifocal supra e infra-tentorial.
Paciente de 53 años con cefaleas progresivas y diagnóstico de LPSN multifocal. Se identifican focos supra-tentoriales hipointensos en T2 (A) con importante edema asociado en FLAIR y una lesión de fosa posterior (B y C). En T1 son lesiones de baja señal (D) presentando con gadolinio un intenso realce y con bordes irregulares (E y F). A nivel infra-tentorial la lesión es cerebelosa izquierda (B y F).


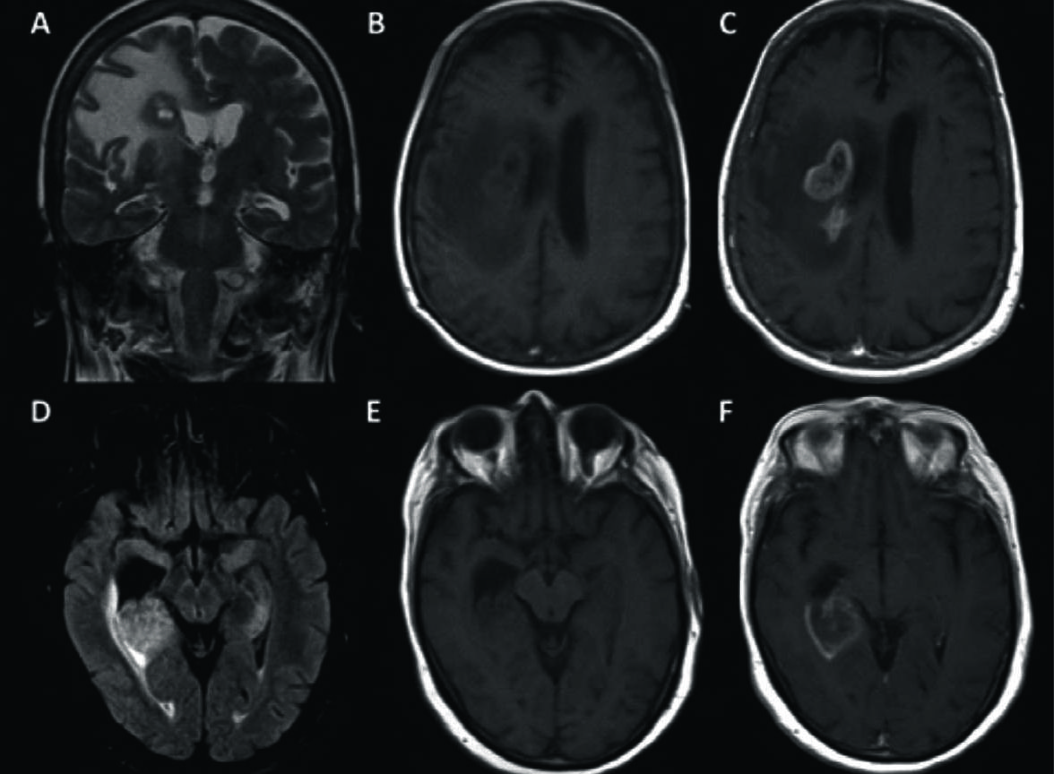
Figura 4
LPSN con necrosis central (2 pacientes).
Se muestran 2 casos de LPSN con focos tumorales que mostraron necrosis.
El primer paciente (A-C) presentó compromiso multifocal con la lesión más importante con centro hiperintenso en T2 (A), hipointenso en T1 (B) y realce en anillo periférico (C) a nivel paraventricular del lado derecho.
El 2º caso (D-F) presentó una lesión única, peri-ventricular profunda, temporal derecha, hiperintensa en FLAIR con atrapamiento del asta temporal del ventrículo lateral y escaso edema (D), isointensa en T1 (E) y realce en anillo con necrosis central (F).


Figura 5
LPSN con lesión única supra-tentorial con hemorragia.
Paciente que se presentó con episodio crítico y cuya RM mostró una lesión peri-ventricular heterogénea, hipointensa en T1 (A), hipointensa en T2 (B) con importante edema en FLAIR (C). En secuencia post-contraste se comprueba el intenso realce con contornos irregulares bien definidos (D).
La secuencia GRE T2* (E) pone en evidencia zonas de artificio de susceptibilidad que corresponden a productos de degradación de la hemoglobina y que traducen hemorragia. En difusión (F) se observa restricción periférica con marcada heterogeneidad.


Figura 6
LPSN clásico con compromiso del CC, espectroscopía.
Pacientes con una típica lesión de CC hiperintensa en FLAIR (A) con edema, restricción en difusión (B) y ADC (C) e intenso realce homogéneo con el contraste (D). Los trazados metabólicos obtenidos muestran en eco largo (E) un ascenso de Ch con descenso de NAA que confirma la naturaleza tumoral de la lesión.
En el tiempo de eco corto (F) se mantiene este hallazgo y se hace evidente un significativo pico de Lip/Lac típico de estas lesiones, sin mioinositol.
Este patrón fue el obtenido en la mayoría de las lesiones de esta serie.

DISCUSIÓN

El LPSN es una entidad relativamente poco frecuente que representa un porcentaje bajo de los tumores primarios encefálicos, 1 a 5% del total (1-3). A pesar de ello es claro que la incidencia ha aumentado en todo el mundo en los últimos años en relación a diferentes estados de inmuno-supresión (1,2,4).

A pesar de esto no es claro que su incidencia haya aumentado en pacientes con inmunidad conservada (2). En Estados Unidos es el 2º tumor cerebral maligno detrás de los gliomas de alto grado (5). No contamos en nuestro país con datos de incidencia ni prevalencia.
Es más frecuente que el compromiso secundario en un linfoma sistémico y su comportamiento en imágenes es muy diferente (6,7).

Si bien no fue objetivo de este trabajo, en nuestra Institución se corrobora esto. Durante igual período de tiempo se presentaron tan sólo 11 pacientes con linfoma sistémico y compromiso encefálico en RM (11 vs 88 casos).

En su gran mayoría la afectación fue leptomeníngea y solamente un paciente presentó una lesión focal expansiva. Es importante tener en cuenta que entre un 4 a 12% de los pacientes con sospecha inicial de LPSN tienen compromiso sistémico en estudios imagenológicos con manifestaciones “ocultas” por lo que se recomienda en todos los casos la realización de imágenes complementarias de cuerpo y estudio de médula ósea (8).

El LPSN es un tumor que se presenta en el adulto y su diagnóstico se realiza habitualmente en torno a los 70 años (2,9,10).

En los pacientes inmuno-competentes el LPSN es más frecuente en el sexo masculino con una relación de 3 a 2 (2).
La forma de presentación clínica no difiere significativamente de otros tumores del sistema nervioso, dependiendo básicamente de su localización. Los trastornos cognitivos son frecuentes en la presentación inicial (11).

En nuestra serie la cefalea fue el hallazgo más frecuente con al menos 7 días de evolución siendo los trastornos del carácter los que siguieron en frecuencia.

La mayoría de los pacientes presentan una evolución rápida incluso con severa declinación funcional (12). La gran mayoría son linfomas no-Hodgkin de células B y casi en un 80% de los casos de grado intermedio o alto como se observó en nuestra serie (2).

La incidencia de tumores a células T es muy baja, reportada entre un 1 a 7% (1).

En nuestra Institución no se presentó ningún paciente con esta variedad histológica.

El diagnóstico es un verdadero desafío lo que no escapa a los métodos de imagen ya que estos tumores comparten características con otras lesiones neoplásicas tanto primarias como secundarias.

La RM ha sido señalada como la técnica de elección tanto para el diagnóstico como para el seguimiento y monitorización del tratamiento (11).

La mayoría de las lesiones son supra-tentoriales con un 60% de localización profunda y un 25 a 50% de los casos, dependiendo de las series, presentan múltiples lesiones (1,2,12).

En nuestra serie la mayoría de las lesiones también fueron supra-tentoriales y un 55% de los pacientes presentaron lesiones únicas

El cuerpo calloso fue el sector más frecuentemente comprometido. Figura 1 a 3

No incluimos en nuestra serie los pacientes con compromiso ocular y/u orbitario pero en igual período de tiempo se presentaron 3 pacientes con esta localización.

Típicamente son lesiones de localización peri-ventricular o con compromiso de la sustancia gris profunda (2,3) como se observó en 32 pacientes de nuestra serie. Los ganglios de la base pueden afectarse en cerca de un 20% de los casos (3,13).

La infiltración meníngea ha sido descrita en aproximadamente un 75% de los casos (14).

En el momento del diagnóstico algunos autores señalan afectación leptomeníngea en un 16 a 41% (15) si bien esto no fue observado en nuestra serie.

Por sus características histológicas y patrón de crecimiento son lesiones que en imagen son habitualmente sólidas, con intenso realce con el contraste (2).

Esto está relacionado con la hiper-celularidad de las lesiones, su elevada relación núcleo/citoplasma, y la alteración acompañante de la barrera hemato-encefálica (16,17). Esto explica su clásico aspecto hiper-denso en TC aunque no es un signo específico (19).

Lo más frecuente es el intenso realce con el medio de contraste y el mismo puede ser heterogéneo, irregular o con zonas de necrosis (16,20).

El patrón de realce en anillo se ha descrito como poco frecuente en pacientes inmuno-competentes, entre un 0 a 13% (3,18).

Muy poco frecuente es la ausencia de realce pero puede verse en casos atípicos o en los pacientes inmuno-comprometidos (21).

En un estudio de 100 pacientes con LPSN el 85% mostró intenso realce mientras que el 1% no presentó realce significativo (22).

En RM suelen ser iso o hipo-intensos en T1 y con intensidad variable en T2 aunque siempre de menor intensidad que la sustancia gris cerebral en esta secuencia (8,17,22,23).

La presencia de hemorragia, quistes o calcificaciones es excepcional (8,13).

No fue objetivo de nuestro trabajo revisar el comportamiento en TC ya que solamente 30 pacientes tenían este estudio pero al analizar la densidad de las lesiones en 29 casos era espontáneamente densas.

En la serie analizada el 85% de las lesiones fueron hipointensas en T1 y el 57,5% en secuencia T2. Sólo en 7 casos se puso en evidencia la presencia de necrosis mientras que 3 lesiones presentaron evidencia de hemorragia. Figura 4 y 5

Todos los casos analizados presentaron realce con el medio de contraste y en su mayoría catalogado como intenso y homogéneo.

Aproximadamente un 10-12% de los pacientes pueden no presentar edema (18).

Esto es una diferencia muy significativa ya que en nuestra serie el 100% de los pacientes mostraron diferentes grados de edema si bien el mismo fue catalogado como leve a moderado en la gran mayoría.

Si bien su aspecto en TC y RM se ha descrito como clásico, ninguna de las características son específicas consideradas de forma aislada para el diagnóstico.

Las modalidades de difusión (DWI), perfusión y espectroscopía (ERM) se han utilizado cada vez más en el estudio de esta patología (3).

En secuencia de DWI los LPSN suelen presentar alta señal con baja intensidad en el mapa de ADC lo que refleja sus características celulares como mencionamos (16,17,24,25). Los valores de ADC típicamente se sitúan por debajo de 0,7x10-3 mm2/s mientras que los gliomas tienen valores superiores (26,27).

En nuestro grupo de pacientes el valor promedio de ADC fue de 0,71x10-3 mm2/s.

Esto lo diferencia de otras lesiones tumorales como los gliomas de alto grado e incluso las metástasis cerebrales (26,27).

Algunos autores señalan con particular interés el valor del ADC en la predicción de la evolución y sobrevida de estos pacientes (28).

Es así que se ha correlacionado el bajo valor de ADC con una evolución más rápida y menor sobrevida libre de enfermedad. Incluso la mejor sobrevida se ha señalado con modificaciones post-terapéuticas de los valores de ADC por lo cuál esta técnica se ha propuesto como indispensable para el seguimiento de los pacientes (28).

A pesar de ello un estudio multi-céntrico de fase II no logró establecer los valores en el mapa de ADC como factor pronóstico independiente (29).

El patrón metabólico de los LPSN en ERM es similar al encontrado en otras lesiones tumorales: aumento de los niveles de Ch y descenso de la concentración de NAA (24,30). Es habitual encontrar un pico prominente de Lip y Lac (90%) y cuando esto se observa en una lesión sólida es muy sugerente del diagnóstico (3,24,25,30-33). Este pico de lípidos se ha correlacionado con un pobre pronóstico (14).

Otro hallazgo sugerente es el aumento del índice colina/ creatina mayor a 3 (32,33).

Este patrón tumoral fue el más frecuente en nuestra serie con aumento de Ch en todos los casos con índice Ch/Cr que a diferencia de los reportado estuvo en promedio por debajo de 3. Figura 6

En todos los casos de nuestra serie se observó pico de Lip/Lac.

El diagnóstico precoz es crucial para el adecuado manejo terapéutico de este grupo de pacientes (3,34). El pronóstico del LPSN es desfavorable en comparación con el del glioblastoma (1).

A pesar de ello con los nuevos avances terapéuticos se pueden obtener respuestas de aproximadamente un 80% con tasa de sobrevida media de 3 a 4 años con esquemas de quimioterapia con metrotexate a altas dosis (2).

Todos los autores recomiendan la RM para el seguimiento en general cada 3 meses durante los primeros 2 años para luego continuar dependiendo de la respuesta y evolución (8).

CONCLUSIÓN

El diagnóstico de LPSN es un verdadero desafío que requiere habitualmente la participación de un equipo multi-disciplinario para poder elaborar la mejor estrategia terapéutica. Si bien es necesario el estudio histológico definitivo los diferentes métodos de imagen, TC y sobre todo la RM, aportan la información necesaria para poder tener una alta sospecha previo a la toma de decisiones. Como vimos la forma de presentación del LPSN es variable con algunos elementos más frecuentes pero poco específicos: localización, intensidad de señal y patrón de realce. Si se combina la presencia de lesión peri-ventricular con compromiso del cuerpo calloso, hipo-intensa en T2 en relación con la sustancia gris cerebral, y un patrón realce intenso, homogéneo con contornos irregulares la sensibilidad y especificidad de la RM es muy elevada.

Si a esto le sumamos los hallazgos en difusión con mapa de ADC y el comportamiento metabólico, el rendimiento global del método es cercano al 100%.

Las nuevas técnicas de RM, fundamentalmente la DWI con mapa de ADC, son imprescindibles en el análisis imagenológico tanto para el diagnóstico como para el seguimiento.

BIBLIOGRAFIA

  • Dubuisson A, Kaschten B, Lénelle J et al. Primary central nervous sistema lymphoma. Report of 32 cases and review of the literature. Clinical Neurology and Neurosurgery 2004; 107:55-63

  • Clarke JL, Deangelis LM. Primary central nervous system lymphoma. Handbook of clinical neurology 2012; 105:517-527

  • Haldorsen IS, Espeland A, Larsson EM. Central nervous system lymphoma: characteristic findings on traditional and advanced imaging. AJNR 2011; 32:984-992

  • Corn BW, Marcus SM, Tophan A et al. Will primary central nervous system lymphoma be the most frequent brain tumor diagnosed in the year 2000? Cancer 1997; 79(12):2409-13

  • Gelabert-González M, Castro Bouzas D, Serraminto-García R et al. Linfomas primarios del sistema nervioso central. Neurología 2013; 28(5):283-293

  • Cheng AL, Yeh KH, Uen WC et al. Systemic chemotherapy alone for patients with non-acquired inmunodeficiency síndrome-related central nervous system lymphoma: a pilot study of the BOMES protocol. Cancer 1998; 82(10):1946-51

  • De Angelis LM, Yahalom J, Heinemann M-H et al. Primary CNS Lymphoma: combined treatment with chemotherapy and radiotherapy. Neurology 1990; 40:80-6

  • Partovi S, Karimi S, Lyo JK et al. Multimodality imaging of primary CNS lymphoma in immunocompetent patients. Br J Radiol 2014; 87:20130656

  • Socié G, Piprot-Chauffat C, Schlienger M et al. Primary lymphoma of the central nervous system. Cancer 1990; 65:322-6

  • Bataille B. Présentation clinique. Neurochirurgie 1997; 43(6):361-2

  • Phillips EH, Fox CP, Cwynarski. Primary CNS lymphoma. Curr Hematol Malig Rep 2014; 9:243-253

  • Paulus W, Jellinger K, Morgello S et al. (2000). Malignant lymphomas. In: P Kleihues,WCavenee (Eds.), Pathology and Genetics of Tumours of the Nervous System. IARC Press, Lyons, pp. 198–203

  • Haldorsen IS, Krakenes J, Krossnes BK, et al. CT and MR imaging features of primary central nervous system lymphoma in Norway, 1989–2003. AJNR 2009; 30:744-51

  • Jack CR, O‘Neil BP, Banks PM et al. Central nervous system lymphoma: histologic types and CT appearance. Radiology 1988; 167:211-5

  • Batchelor T, Loeffler JS. Primary CNS lymphoma. J Clin Oncol 2006; 24:1281-8

  • Koeller KK, Smirniotopoulos JG, Jones RV. Primary central nervous system lymphoma: radiologic-pathologic correlation. Radiographics 1997; 17:1497–526

  • GoJL, Lee SC, Kim PE. Imaging of primary central nervous system lymphoma. Neurosurg Focus 2006; 21:E4

  • Adachi K, Yamaguchi F, Node Y et al. Neuroimaging of primary central nervous system lymphoma in inmunocompetent patients: comparison of recent and previous findings. J Nippon Med Sch 2013; 80:174-183

  • DeAngelis LM, Yahalom J, Rosenblum M et al. Primary CNS lymphoma: managing patients with spontaneous and AIDS-related disease. Oncology 1987; 1:52–62

  • Zimmerman RA. Central nervous system lymphoma. Radiol Clin North Am 1990; 28: 697–721

  • DeAngelis LM. Cerebral lymphoma presenting as a nonenhancing lesion on computed tomographic/magnetic resonance scan. Ann Neurol 1993; 33: 308–311

  • Kuker W, Nagele T, Korfel A et al. Primary central nervous system lymphomas (PCNSL): MRI features at presentation in 100 patients. J Neurooncol 2005; 72: 169–77

  • Gliemroth J, Kehler U, Gaebel C, et al. Neuroradiological findings in primary cerebral lymphomas of non-AIDS patients. Clin Neurol Neurosurg 2003; 105:78–86

  • Zacharia TT, Law M, Naidich TP et al. Central nervous system lymphoma characterization by diffusion-weigthed imaging and MR spectroscopy. J Neuroimaging 2008; 18:411-17

  • Schroeder PC, Post MJ, Oschatz E, et al. Analysis of the utility of diffusion weighted MRI and apparent diffusion coefficient values in distinguishing central nervous system toxoplasmosis from lymphoma. Neuroradiology 2006; 48:715–20

  • Calli C, Kitis O, Yunten N et al. Perfusion and diffusion MR imaging in enhancing malignant cerebral tumors. Eur J Radiol 2006; 58:394-403

  • Toh CH, Castillo M, Wong AM, et al. Primary cerebral lymphoma and glioblastoma multiforme: differences in diffusion characteristics evaluated with diffusion tensor imaging. AJNR 2008; 29:471–7f

  • Barajas RF Jr, Rubenstein JL, Chang JS, et al. Diffusion-weighted MR imaging derived apparent diffusion coefficient is predictive of clinical outcome in primary central nervous system lymphoma. AJNR 2010; 31:60–66

  • Morris PG, Correa DD, Yahalom J et al. Rituximab, methotrexate, procarbazine, and vincristine followed by consolidation reduced-dose whole-brain radiotherapy and cytarabine in newly diagnosed primary CNS lymphoma: final results and long-term outcome. J Clin Oncol 2013; 31:3971–9

  • Brandao LA, Castillo M. Adult brain tumors. Clinical applications of magnetic resonance spectroscopy. Neuroimag Clin N Am 2013; 23:527-555

  • Brandao L, Domingues R. Intracranial neoplasms. In: McAllister L, Lazar T, Cook RE, editors. MR spectroscopy of the brain. Philadelphia: Lippincott Williams & Wilkins; 2002. p. 130-67

  • Harting I, Hartmann M, Jost G et al. Differentiating primary central nervous system lymphoma from glioma in humans using localised proton magnetic resonance spectroscopy. Neurosci Lett 2003; 342:163-166

  • Raizer JJ, Koutcher JA, Abrey LE et al. Proton magnetic resonance spectroscopy in immunocompetent patients with primary central nervous system lymphoma. J Neurooncol 2005; 71:173-180

  • Haldorsen IS, Espeland A, Larsen JL, et al. Diagnostic delay in primary central nervous system lymphoma. Acta Oncol 2005; 44:728–34