EVALUACIÓN DE LOS VALORES PREDICTIVOS POSITIVOS EN LAS SUBCATEGORIAS BI-RADS® 4 DE BIOPSIAS PERCUTÁNEAS Y COMPARACIÓN CON VALORES ACR BI-RADS® 5TA EDICIÓN

ARTÍCULO ORIGINAL

Dr. Fernando Lavista Bonino *
Dra. Gloria Palazuelos **
Dra. Stephanie Trujillo ***
Dr. Javier Romero ****

RESUMEN

OBJETIVOS
Determinar la proporción de estudios en la categoría BI-RADS® 4 y sus subcategorías, de biopsias percutáneas bajo Ultrasonido y Estereotaxia. Calcular los diferentes valores predictivos (VP) y el resultado anatomopatológico de estos estudios, para luego compararlos con los propuestos en la 5ta edición del ACR BI-RADS®.

MATERIALES Y METODOS
Se realizó una revisión retrospectiva de todas las biopsias percutáneas guiadas por ultrasonido y estereotaxia, se seleccionó aquellas lesiones categorizadas BI-RADS® 4, entre Enero de 2012 y Julio de 2014, registradas en el sistema IMPAX. Posteriormente se incluyó el diagnóstico anatomopatológico de cada biopsia reportada.

RESULTADOS
Se incluyeron un total de 396 biopsias en la categoría BI-RADS® 4. Ciento ochenta y seis fueron subcategoría 4A, 181 subcategoría 4B y 29 subcategoría 4C. Las biopsias realizas fueron en un 68% mediante guía ecográfica y el 32% mediante guía estereotáxica. Los resultados anatomopatológicos se clasificaron en 3 categorías: benignos, alto riesgo y malignos. En las subcategorías 4A y 4B predominaron las lesiones benignas (88% y 68% respectivamente), mientras que en las biopsia de las subcategorías 4C predominó la patología maligna (62%) Los VPP para cáncer correspondientes a las subcategorías 4A, 4B y 4C fueron 4%, 12% y 62%, respectivamente.

CONCLUSIÓN
Los resultados obtenidos en nuestro centro se encuentran dentro de los parámetros recomendados por el Colegio Americano de Radiología en la 5ta edición del ACR BI-RADS®. Los criterios utilizados para las subcategorías BI-RADS® 4 se correlacionan adecuadamente en los rangos de probabilidad de malignidad.

Palabras Clave (MeSH): Cáncer de Mama, biopsias percutáneas, Valor Predictivo de los Tests de Tamizaje, BI-RADS 4.

ABSTRACT

PURPOSE
Analyze and compare the Positive Predictive Values and histological results from ACR BI-RADS® 4A, 4B y 4C imaging studies in the population of Santa Fe De Bogota Clinic Screening Program, with the Positive Predictive Value of ACR BI-RADS® 5th edition.

METHODS AND MATERIALS
We retrospectively reviewed all mammograms categorized ACR BI-RADS® 4 that were summited to US-guided and stereotactic guided large-core needle biopsy and histological results in the population of Santa Fe De Bogota Clinic Screening programmed from January 2012 through July.

RESULTS
The data was obtained from 396 large-core needle biopsies. These biopsies came up with imaging studies categorized ACR BI-RADS® 4A, 4B y 4C. Of 396 patients 186 categorized with ACR BI-RADS® 4A, 181 4B and 29 4C. The overall positive predictive value for cancer was 4%, 12% y 62% in 4A, 4B y 4C subcategories.

CONCLUSION
Our results corroborate previous reports of the American Collegue of Radiology ACR BI-RADS® parameters. The subdivision of this category is helpful in the management of the different breast lesions.

Key Words (MeSH): Breast Cancer, Mammography, Early Detection of Cancer, Diagnosis, Predictive Value of Tests, Cancer Screening.

INTRODUCCIÓN

El Cáncer de Seno es la segunda neoplasia más frecuente en la población mundial sin embargo, es la primera en la mujer, con 1.67 millones de casos nuevos reportados en el año 2012, correspondiente al 25% de todos los casos nuevos de cáncer y es considerado como la quinta causa de muerte global por cáncer.

En países subdesarrollados ocupa el primer lugar de cáncer (14,3%) a diferencia de países desarrollados en los que suele encontrarse en segundo lugar (15.4%) después del cáncer de pulmón. En Colombia, según las bases de datos del Departamento Administrativo Nacional de Estadística (DANE), la mortalidad por cáncer de seno ha mostrado un incremento constante, en 1981 se registró una tasa de 3,5 por 100.000 que aumentó a 6,8 por 100.000 en el año 2000(1, 2).

En la actualidad el único método aceptado para realizar el tamizaje del cáncer de mama es la mamografía.
Con el aumento en su uso y el comienzo de los programas de tamizaje poblacional en muchos países, organizaciones como, la Asociación Médica Americana, comenzaron a alertar que además de la variabilidad en la calidad de la mamografía, la variabilidad de las dosis de radiación, en las diferentes instituciones y que los informes mamográficos, contenían información ilegible y recomendaciones contradictorias (3). En respuesta a estas fallas y como asesoramiento el Colegio Americano de Radiología, el Centro de Control del Desarrollo y Prevención de Enfermedades, el Centro de Administración de Medicamentos y Alimentos, el Colegio Americano de Cirujanos, el Colegio Americano de Patología y el Instituto Nacional del Cáncer de Estados Unidos, desarrollaron en 1989 un sistema (4), el Breast Imaging Reporting and Data System (BI-RADS®), el cual establece recomendaciones sobre la mamografía, sobre la estructura general de los informes, las categorías de evaluación final con recomendaciones de manejo y la utilización de un léxico especifico(5).

Dicho sistema inicialmente creado a ido evolucionando y actualmente incluye ultrasonido, resonancia magnética, además de la mamografía. De esta manera el sistema ACR BI-RADS® crea un lenguaje universal, único y definido que permite categorizar las lesiones de acuerdo al grado de sospecha, asignando un VPP y establece conductas a seguir (Tabla 1).

Cuando se detecta un hallazgo en imágenes mamarias, es necesario comunicarlo a través de un informe, que tenga congruencia entre los descriptores y la categoría asignada y dependiendo de VPP del hallazgo dar una recomendación final.(5-9).
Definimos Valor Predictivo Positivo, como la probabilidad de que una determinada enfermedad este presente, cuando el resultado de la prueba es positiva. Cada categoría ACR BI-RADS® se le asigna un VPP determinado.


MATERIAL Y MÉTODOS

Se realizó un estudio observacional de cohorte retrospectivo de todas las biopsias por ultrasonido y estereotaxia de lesiones subcategorizadas ACR BI-RADS® 4, realizadas en nuestro centro, entre Enero de 2012 y Julio de 2014, registradas en el sistema IMPAX. Se analizó las imágenes obtenidas, los reportes histopatológicos.

Población
Se registró información demográfica, categorías ACR BIRADS ®, hallazgos imagenológicos, indicación de la biopsia, y el diagnóstico anatomopatológico de dichas biopsias.

Imágenes Diagnósticas
Todas la pacientes seleccionadas debían contar con imá- genes mamarias previas, si eran pacientes extra-institucionales. Desde el 2012 todos los estudios institucionales mamográficos se realizaron en un Mamógrafo Hologic ® Selenia Dimensions con proyecciones de tomosíntesis dentro del protocolo de adquisición de imágenes. Se realizaron enfoques lateral a 90º y magnificados tanto en 2D como en tomosíntesis según indicación.
Se realizó doble lectura, en un primer tiempo los estudios son analizados por los residentes de Radiología y Fellows rotantes en imágenes mamarias y en un segundo tiempo, los estudios fueron analizados por los médicos del Staff Juniors y Seniors de la institución, quienes dan la aprobaci ón final.
Las biopsias por ultrasonido se realizaron en ecógrafos de alta resolución Toshiba® Aplio XG, con software de Elastografía, de Micropure y transducores de 12 y 18 MHz.

Técnica de la biopsia
El total de pacientes fueron remitidas a biopsia histológica, en nuestra institución, las cuales fueron realizadas por médicos radiólogos con entrenamiento avanzado y alta experiencia en imagenología mamaria. Para ultrasonido se utilizaron agujas de corte semiautom áticas de único disparo y 16 G, de 15 cm de longitud, con un extrusión de 22 mm. Y para esterotaxia se utilizó una silla de estereotaxia marca GE® MGX-D32 y agujas de corte 14G con pistola automática.

Análisis estadístico
Se realizó un análisis univariado con medidas de tendencia central dado la naturaleza de las variables incluidas.

RESULTADOS

De los estudios categorizados como ACR BI-RADS 4A, 4B y 4C, dentro del periodo establecido, se incluyeron un total de 396 biopsias, las cuales se confirmaron histol ógicamente en el 100%.
Dichas biopsias fueron mediante guía ecográfica en un 68%(n=269) y mediante guía estereotáxica en un 32% (n=127).

Imagenología
De esta manera del total de pacientes realizadas, fueron evaluadas prebiopsia de la siguiente manera, el 47% (n=186) fueron subcategoría 4A, 46%( n=181) correspondieron a la subcategoría 4B y un 7% (n=29) subcategoría 4C.
En mamografía las microcalcificaciones fueron el hallazgo más frecuente 55,3% (n=219)(Figura 5), en segundo lugar se encontró como hallazgo principal la presencia de nódulos 38,1% (n=151)(Figura 4). Las asimetrías correspondieron a el 4,2% (n=17) y las distorsiones fueron el 2,3% (n=9) (Figura 3).
En ultrasonido el 100% de los hallazgos fueron nódulos sospechosos, (Figura1,2)
Los resultados anatomopatológicos se muestran en la tabla 2 Tabla 2. Distribución patológica de los estudios categorizados ACR BI-RADS® 4 y sus subcategorías.
En a subcategoría BI-RADS 4A, que representó el 47% de los casos la patología benigna correspondió al 88,2% (n= 164), el 7,5% (n= 14) fue patología de alto riesgo y el 4,3% (n= 8) fue patología maligna.


Figura 1
Ecografía de alta resolución.
Muestra un nódulo sólido, hipoecoico de 8 mm de diámetro, de márgenes microlobulados categorizados como ACR BI-RADS® 4B. Histología Carcinoma Invasivo de Tipo No Específico (NOS).


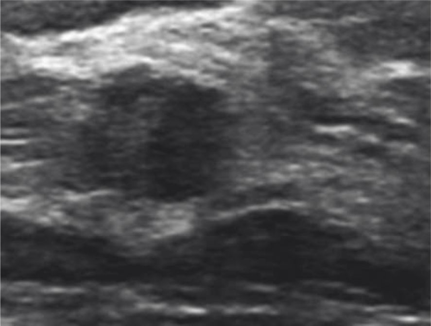
Figura 2
Nódulo sólido,
ovoideo de contornos circunscritos con extensión intraductal categorizado como ACR BI-RADS® 4B. Histología Fibroadenoma

En a subcategoría BI-RADS 4B, que representó el 46% de los estudios, el 69,6% (n= 126) correspondió a patología TABLA 2 - Distribución patológica de los estudios categorizados ACR BI-RADS® 4 y sus subcategorías benigna, la patología de alto riesgo fue el 18,2%(n=33), en 12,2% (n=22) se encontró patología maligna.

En a subcategoría BI-RADS 4C que representó el 7% de los, la patología maligna, se encontró en el 62,1% (n= 18), la patología benigna correspondió al 27,6% (n= 8) y la patología de alto riesgo fue del 10,3% (n= 3) Por lo tanto los VPP para la subcategoría BI-RADS 4 Apara patología maligna fueron, 4,3%, 4B 12,2% y para el 4C 62,1%.



Figura 3
Distorsión de la Arquitectura mamaria
categorizada como ACR BI-RADS® 4B. Histología Carcinoma Invasivo de Tipo No Específico (NOS)


Figura 4
Nódulo sólido,
ovoideo de contornos circunscritos, palpable en una paciente de 55 años fue categorizada como ACR BI-RADS® 4A. Histología Carcinoma Invasivo de Tipo No Específico (NOS)


Figura 5
Acúmulo de microcalcificaciones amorfas,
categorizada como ACR BI-RADS® 4B. Histología Carcinoma ductal in situ

DISCUSIÓN

La categoría BI-RADS® 4, establece una recomendación final que establece que la biopsia histológica debe realizarse en ausencia de contraindicación clínica. Esta categoría presenta un amplio rango de VPP que van desde › 2% a ≤ 95%.
Orel y col(10), analizaron patológicamente 1312 lesiones mamográfícas y econtraron que para la categoría BIRADS ® 4 es de 30%.
En la 4ta edición (2003) se realizó la subcategorización, que estaba conformada de la siguente manera 4A (VPP 3-10%), en dicha subcategoría es necesaria la realización de la biopsia, pero un resultado negativo de la biopsia es esperable y no requiere otro estudio, el seguimiento es aceptado; 4B (VPP11 ? 50%), en esta subcategoría el grado de sospecha de malignidad es moderado, por lo que la biopsia histológica también está indicada , pero en esta subcategoría, un resultado anatomopatológico de benignidad, debe ser debidamente discutido y una correcta correlación anatomopatológica con la imagenología es necesaria y en la subcategoría de 4C (VPP 50 -94%), donde existe un alto grado de sospecha de malignidad, por lo que un resultado de biopsia negativo es considerado no aceptable (5, 11).
En nuestra serie que muestra resultados acordes con la literatura internacional, el VPP global para la categoría ACR BI-RADS® 4 fue del 12% (n=48), para cada subcategoría los VPP obtenidos muestran que la subcategoría 4A le corresponde un VPP de 4,3%, para la categoría 4B el valor fue 12,1% y para la 4C fue de 62% lo que lo ubica en el rango establecido por el ACR BI-RADS® (5) y similares a los publicados por M. Torres-Tabanera y colaborados en 2011 donde muestran que los VPP para la subcategoría 4A fue de 8,8%, para la subcategoría 4B fue de 18,9% y 4C fue del 58,3%.

La ventaja de contar con biopsias percutáneas, tanto con guía ecográfica como estereotáxica, es que se evitan much ísimos procedimientos quirúrgicos innecesarios, con la consiguiente disminución de costos para las instituciones y pacientes.


CONCLUSIONES

Como conclusión los resultados obtenidos en nuestra serie, se encuentran dentro de los parámetros recomendados por el Colegio Americano de Radiología en la 5ta edición del ACR BI-RADS®®.
Los criterios utilizados para las subcategorías BI-RADS® 4 se correlacionan adecuadamente en los rangos de probabilidad de malignidad.
La subcategorización es importante para la toma de decisiones, correlación clínico patológica y una ayuda fundamental para que la paciente auto-determine el manejo de su enfermedad.

BIBLIOGRAFIA

  • 4. Detección temprana del cáncer de mama aspectos críticos para un programa de tamizaje organizado en Colombia.pdf.

  • ROCHE. DICCIONARIO MEDICO ROCHE: DOYMA; 1993.

  • Burnside ES, Sickles EA, Bassett LW, Rubin DL, Lee CH, Ikeda DM, et al. The ACR BI-RADS< sup>® Experience: Learning From History. Journal of the American College of Radiology. 2009;6(12):851-60.

  • D’Orsi CJ, Newell MS. BI-RADS decoded: detailed guidance on potentially confusing issues. Radiologic clinics of North America. 2007;45(5):751-63, v.

  • D?Orsi CJ SE, Mendelson EB, Morris EA et al. ACR BI-RADS® Atlas, Breast Imaging Reporting and Data System. Reston, VA: American College of Radiology; 2013.

  • Tabar L, Vitak B, Chen H, Yen M, Duffy S, Smith R. Beyond randomized controlled trials: organized mammographic screening substantially reduces breast carcinoma mortality. Cancer. 2001;91(9):1724-31.

  • Ciatto S, Cataliotti L, Distante V. Nonpalpable lesions detected with mammography: review of 512 consecutive cases. Radiology. 1987;165(1):99-102.

  • Cyrlak D. Induced costs of low-cost screening mammography. Radiology. 1988;168(3):661-3.

  • Hall FM, Storella JM, Silverstone DZ, Wyshak G. Nonpalpable breast lesions: recommendations for biopsy based on suspicion of carcinoma at mammography. Radiology. 1988;167(2):353-8.

  • Orel SG, Kay N, Reynolds C, Sullivan DC. BI-RADS Categorization As a Predictor of Malignancy 1. Radiology. 1999;211(3):845-50.

  • Ho CP, Gillis JE, Atkins KA, Harvey JA, Nicholson BT. Interactive case review of radiologic and pathologic findings from breast biopsy: are they concordant? How do I manage the results? Radiographics : a review publication of the Radiological Society of North America, Inc. 2013;33(4):E149-52.

* Radiologo. Asistente del Servicio de Imagenologia Mama en el Departamento Clínico de Imagenología Mamaria Hospital de Clinicas – Dr. Manuel Quintela. Montevideo – Uruguay. Integrante del Programa Internacional de la Escuela Latinoamericana de Radiología en la Fundación Santa Fe de Bogotá University Hospital, Bogotá, Colombia E-Mail: dr.lavista@gmail.com.

** Radióloga. Centro de Imágenes Mamarias de la Fundación Santa Fe de Bogotá, Bogotá - Colombia. E-Mail: palazuelosgloria@icloud.com.

*** Asistente en investigación en la Fundación Santa Fe de Bogotá, Bogotá - Colombia. E-Mail: stephytrujillo@hotmail.com

**** Radiólogo. Jefe del Centro de Imágenes Mamarias de la Fundación Santa Fe de Bogotá. Profesor asociado Universidad El Bosque, Universidad de Los Andes y Universidad Nacional de Colombia. Corresponding Author: Dr. Fernando Lavista Bonino. E-Mail: dr.lavista@gmail.com.