IMAGENOLOGÍA DE LAS COMPLICACIONES QUIRÚRGICAS POST GASTRECTOMÍA EN MANGA

ARTÍCULO ORIGINAL

Dra. Mariana Otormin *
Dr. Pablo Santiago **
Dr. Gerardo Beraldo ***
Dra. Liliana Servente ****

RESUMEN

Objetivo: Analizar desde el punto de vista imagenológico las complicaciones quirúrgicas post-Gastrectomía en manga (GM) en una serie nacional.
Materiales y Métodos: Se analizan en forma retrospectiva tomografías computadas (TC) y estudios contrastados de esofagogastroduodeno (EGD), de 19 pacientes con complicaciones quirúrgicas post GM, de una serie de 390 cirugías, realizadas en el Hospital Central de las Fuerzas Armadas, en la Clínica Quirúrgica 2 del Hospital Maciel y en la práctica privada en el período 2006-2015.
Resultados y Discusión: De los 19 pacientes con complicaciones (4,9%), 14 presentaron fugas (3,6%), 2 estenosis meso-gástricas (0,5%), 2 perforaciones colónicas (0,5%) y 1 perforación gástrica. La mortalidad fue de 1,3 % (5 pacientes), asociada a fugas 0,8% (3/390) y perforación colónica 0,5% (2/390). El EGD permitió el seguimiento evolutivo de las fístulas luego del drenaje, hasta su cierre en 78,6% (11/14). Las fugas analizadas se visualizaron en el sector alto de la línea de grapado (3,6 %).
Conclusiones: El porcentaje de complicaciones en nuestra serie es similar al reportado en la literatura. El EGD sólo fue positivo en un caso de fuga, en el resto de los casos el diagnóstico se realizó en forma tardía por TC. En pacientes con sospecha clínica de fugas, la TC no solo permite su diagnóstico sino que valora la presencia de colecciones peri-gástricas (abscesos y hematomas). En nuestra serie el EGD permitió el seguimiento evolutivo de las fístulas luego del drenaje, hasta su cierre en el 78,6%.

Palabras clave: cirugía bariática, gastrectomía en manga, complicaciones.

ABSTRACT

Objetives: To review the imaging appearance of the complications fo sleeve gastrectomy in a national series of patients.
Material and Methods: We retrospectively analyzed computed tomography (CT) and contrasted esophagogastroduodenal (EGD) studies of 19 patients with postoperative surgical complications from a series of 390 surgeries performed at the Central Hospital of the Armed Forces at the Surgical Clinic 2 of the Maciel Hospital and in private practice in the period 2006-2015.
Results and Discussion: Of the 19 patients with complications (4.9%), 14 presented leakage (3.6%), 2 meso-gastric stenoses (0.5%), 2 colonic perforations (0.5%) and 1 gastric perforation. Mortality was 1.3% (5 patients), associated with leaks 0.8% (3/390) and colonic perforation 0.5% (2/390).
EGD allowed the evolutionary follow-up of fistulas after drainage, until its closure in 78.6% (11/14). The analyzed leaks were visualized in the high sector of the stapling line (3.6%).
Conclusión: The percentage of complications in our series is similar to that reported in the literature. The EGD was only positive in one case of leak, in the other cases the diagnosis was made in a late form by CT. In patients with clinical suspicion of leakage, CT not only allows diagnosis but also evaluates the presence of peri-gastric collections (abscesses and hematomas). In our series, EGD allowed the evolutionary follow-up of fistulas after drainage, until its closure in 78.6%.

Key words: bariatric surgery, sleeve gastrectomy, complications.

INTRODUCCIÓN

El sobrepeso y la obesidad son factores de riesgo para las enfermedades cardiovasculares, enfermedades del aparato locomotor y algunos cánceres (endometrio, mama y colon) (1)

En 2014 alrededor del 13% de la población adulta mundial eran obesos.
Uno de cada dos adultos uruguayos padece sobrepeso u obesidad y uno de cada cinco es obeso. Uruguay es el tercer país con mayor sobrepeso (61,7 %) de Sudamérica y el segundo con más obesidad (26,7 %) (1,2)

La cirugía bariática (CB) ha demostrado ser el tratamiento más efectivo para la obesidad mórbida (OM) por sus excelentes resultados, no solo en cuanto a la pérdida de peso, sino también en el control de las co-morbilidades asociadas a la obesidad , aumentando la sobrevida global. (3) Los procedimientos quirúrgicos más utilizados a nivel mundial son la GM y el by-pass gástrico (BG). La GM presenta una baja tasa de complicaciones quirúrgicas postoperatorias (4), siendo el procedimiento más utilizado en nuestro medio.
La TC y el EGD son los métodos imagenológicos utilizados para la adecuada evaluación de la GM y sus complicaciones.

OBJETIVOS

Analizar desde el punto de vista imagenológico los hallazgos normales y las complicaciones quirúrgicas post-GM en una serie nacional.

MATERIAL Y MÉTODOS

Se analizan en forma retrospecitva TC y estudios de EGD de 19 pacientes con complicaciones quirúrgicas post- GM, de una serie de 390 GM, realizadas por un equipo quirúrgico de CB (en el que forman parte los co-autores) y que se desempeña en el Hospital Central de las Fuerzas Armadas, la Clínica Quirúrgica 2 del Hospital Maciel e Instituciones privadas, en el período 2006-2015.
Se utilizaron tomógrafos General Electric de 64 y 16 hileras de detectores en Hospital Militar y Maciel respectivamente y equipos Siemens de radiología para la realización de los estudios contrastados, modelos Siregraph CII, en ambas Instituciones.
El estudio de EGD se realizó a las 24-48 horas de la cirugía, con 50 cc de contraste iodado hidrosoluble administrado por vía oral. Los estudios de TC se realizaron con la administración de medio de contraste oral e intravenoso en fase portal en todos los casos en que no hubieran contraindicaciones. Los estudios fueron informados por diferentes médicos radiólogos y revisados posteriormente por el autor.

Técnica quirúrgica

La GM es una técnica restrictiva, irreversible, que consiste en realizar una gastrectomía vertical resecando la totalidad de la curvatura mayor del estómago, parte del antro y la totalidad del fundus. La línea de grapado o stapler, se inicia 5 cm proximal al píloro y se continúa hasta el ángulo de His (3,6,7).FIGURA 1. Se puede realizar por vía laparotómica o laparoscópica, siendo esta última el gold estándar en la actualidad.
Al final del procedimiento se realiza la prueba de hermeticidad de la sutura con instilación de azul de metileno para descartar fugas (9). El volumen gástrico residual es de aprox. 100-150 cc (4,8).

RESULTADOS

De los 19 pacientes con complicaciones (4,9 %), 14 presentaron fugas (3,6%), 2 estenosis meso-gástricas (0,5%), 2 perforaciones colónicas al realizar el neumoperitoneo (0,5%), una de ellas diagnosticada en el intraoperatorio y la otra se presentó como una peritonitis a los 3 días de post-operatorio y 1 perforación gástrica por lesión a nivel antral durante la disección (0,25%). Todas las perforaciones fueron de diagnóstico clínico y no se realizaron estudios imagenológicos para confirmarlas.
En la tabla 1 se presentan los resultados de las complicaciones en los diferentes estudios imagenológicos. Todas las fugas analizadas se produjeron en el sector alto de la línea de grapado 14/19 (3,6 %). En el 92,9% (13/14) el diagnóstico se realizó en forma tardía, mediante TC indicada ante la persistencia de dolor en hemiabdomen superior, pese a contar en todos los casos con una prueba de azul de metileno negativa en el intraoperatorio y el estudio de EGD simple normal a las 24-48 hs de la cirugía. Solo en un paciente (7,1%) (Paciente Nº 14) el EGD a las 24 hs evidenció una fuga, coincidiendo con una prueba de azul de metileno positiva en el intraoperatorio.
El EGD permitió el seguimiento evolutivo luego del drenaje quirúrgico o eco-guiado, hasta su cierre en 78,6% (11/14). En nuestra serie la mortalidad fue de 1,3% (5/390), 0,8% asociadas a fugas (3/390) y 0,5% asociadas a perforaciones colónicas (2/390). Las fugas se asociaron con una mortalidad de 21,4% (3/14) y la perforación colónica a una mortalidad de 100% (2/2).


Figura 1
a) Ilustración de la gastrectomía en manga.
La curvatura mayor, todo el fundus y la mayor parte del cuerpo y antro son resecados (flechas gruesas). Línea de grapado (puntas de flechas).
b) Pieza quirúrgica resecada.


ESTUDIOS DE IMAGEN

Esófago-gastro-duodeno

El EGD con contraste iodado es el método de estudio más adecuado en el período post-operatorio temprano, por el menor riesgo de peritonitis química para descartar fugas u obstrucciones a nivel de la GM (3,9).

Normalmente la manga no es uniforme, puede presentar contornos regulares, sectores de pasaje filiforme debido a espasmos del tubo gástrico y sectores más distendidos. FIGURA 2(a). La línea de grapado puede no visualizarse en las radiografías (3) pero es evidente en las tomografías FIGURA 2 (b). Si bien se han descrito variantes anatómicas dadas por un píloro más largo de lo esperado y/o por la distensión del sector superior del estómago (7), la GM correctamente confeccionada debería resecar la totalidad del fundus dejando un estómago tubular. La negatividad del EGD no descarta la fuga dada la baja densidad del contraste hidrosoluble. (9) En las fases iniciales del post-operatorio el retardo del pasaje del medio de contraste puede ser secundario a edema y disminución de la peristálsis u atonía del remanente gástrico (3,4).


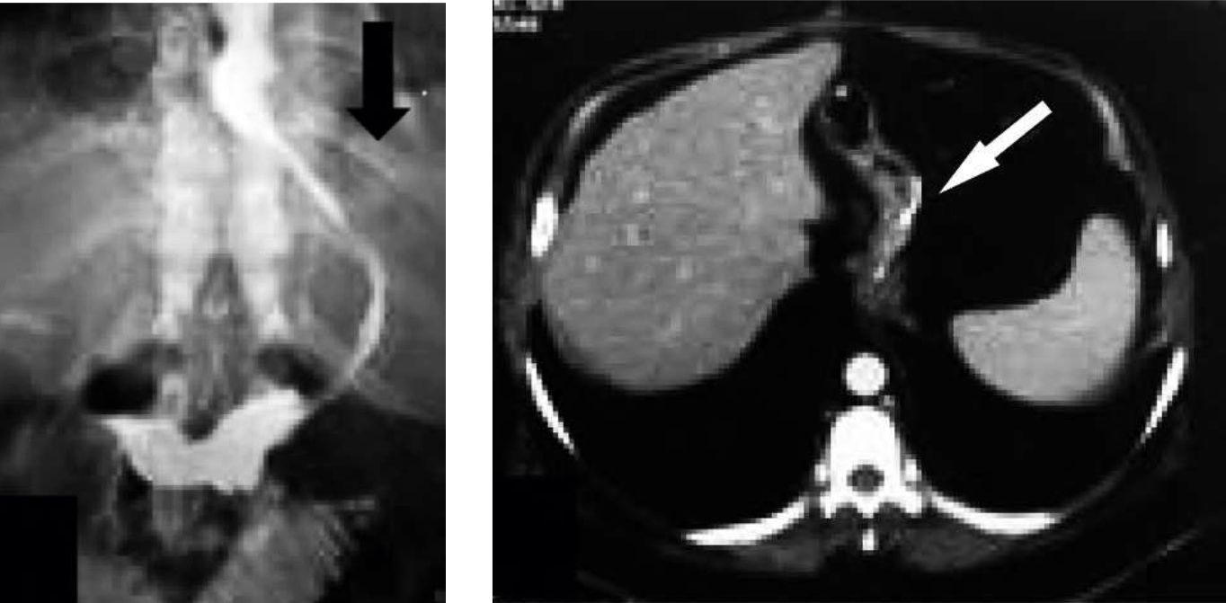
Figura 2
Gastrectomía en manga: a) Enfoque de frente de EGD en proyección AP

mostrando una manga de contornos regulares (flecha gruesa) sin fuga del medio de contraste.
b) Corte axial de TC de abdomen superior con contraste i/v que muestra una manga regular identificándose la línea de grapado izquierda hiperdensa (flecha blanca), sin fuga de contraste adyacente.

Tomografía computada (TC). La TC es un estudio de segunda línea, no se realiza de rutina. Si la sospecha de fuga es alta y el estudio de EGD es negativo, se recomienda realizar una TC con contraste iodado hidrosoluble oral, que puede demostrar colecciones y filtraciones (6). Está indicada ante la sospecha de complicaciones post-operatorias como son: las fugas, colecciones, abscesos y/o hemorragia.

En las imágenes de TC del postoperatorio normal se identifica la línea de grapado en el borde lateral izquierdo del estómago sin fugas de contraste ni colecciones adyacentes, pudiendo existir discreta alteración de la grasa perigástrica por edema, vinculada al trauma quirúrgico y escaso neumoperitoneo residual secundario a la cirugía. Los signos tomográficos que se pueden encontrar ante la presencia de una fuga pueden ser; directos: como es la salida de contraste hidrosoluble administrado por vía oral a la cavidad peritoneal en relación al lecho quirúrgico, e indirectos: como es la presencia de burbujas de gas y las colecciones líquidas adyacentes al lecho quirúrgico. Las burbujas de gas son un hallazgo habitual dentro de los primeros 5 a 7 días y son inusuales posteriormente (6.) La TC también puede usarse para guiar la colocación de drenajes percutáneos de colecciones y/o hematomas. El biotipo del paciente genera limitaciones técnicas tanto en el estudio de EGD como en la TC, dadas no solo por el volumen corporal sino también por el alto kv empleado, cosa que disminuye la definición o nitidez de la imagen.


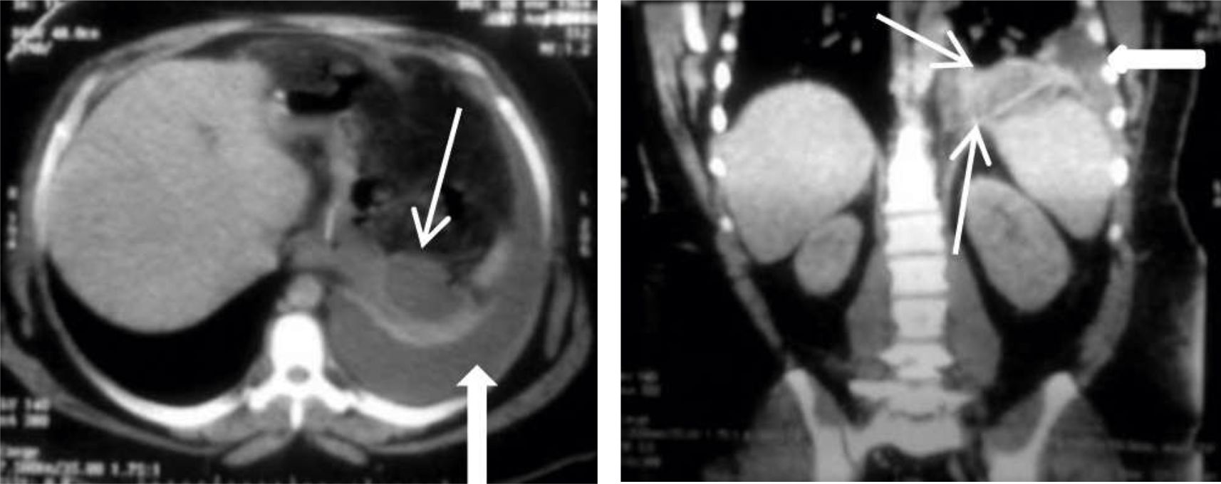
Figura 3
a) Corte axial
b) reconstrucción coronal de TC
sin medio de contraste endovenoso, donde se visualiza la GM con contraste positivo intraluminal (flechas curvas), fuga de contraste adyacente a la misma (flecha fina) y a nivel perihepático (flecha gruesa).


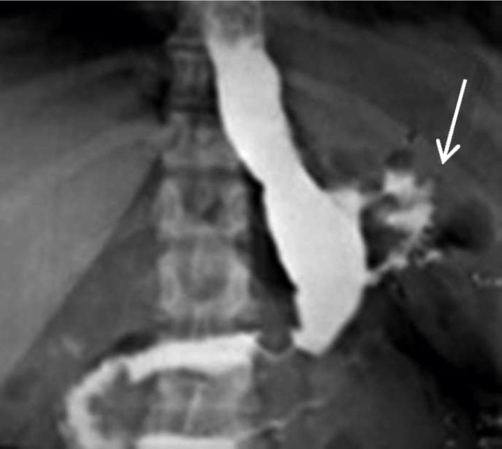
Figura 4
EGD en proyección AP
donde se observa trayecto fistuloso filiforme superior izquierdo (flecha fina) con pequeña colección en su sector distal (flecha curva) y catéter de drenaje laparoscópico (flecha gruesa). (Paciente Nº 14)

COMPLICACIONES

En nuestro medio no existen protocolos de estudios imagenológicos frente a la sospecha de complicaciones y la solicitud de los mismos está orientada por la clínica de cada paciente.
Las posibles complicaciones son:

a) Fugas y Fístulas. Es la complicación más frecuente (< 1%) y signa la morbi- mortalidad de esta cirugía (3). Se deben de buscar en la línea de grapado y en el espacio subfrénico. La mayor parte se producen por debajo de la unión esofagogástrica (1,5%) y menos frecuentemente en la parte inferior de la GM (0,5%) (3,4,6,7).
Según el tiempo de presentación se dividen en: precoces (1-4 días del postoperatorio), de etiología mecánica y tardías (más de 4 días), de etiología isquémica (6). Figura3 (a y b).
En todos los casos de fugas se debe asegurar el drenaje de la colección.
De mantenerse la fuga puede dar lugar a la formación de una fístula, de las cuales la más frecuente es la gastro- cutánea, pero también se puede formar entre la pared gástrica y otros segmentos del intestino o árbol bronquial (6). Su tendencia natural es hacia el cierre espontáneo en un período de 10 a 60 días o más.

Cuando la fuga es del sector superior de la GM, los estudios de EGD pueden no identificarla por el rápido pasaje del contraste durante la deglución (9) Ante la sospecha de fuga, el primer estudio a solicitar es una TC de abdomen y pelvis con contraste oral e intravenoso, dado que permite valorar la existencia de fugas y/o colecciones perigástricas, así como líquido intraabdominal y neumoperitoneo. (3,6)

La principal utilidad del estudio de EGD post-operatorio es el seguimiento evolutivo de las fugas drenadas hasta su cierre. Figuras 4,5 y 6.

b) Colecciones y abscesos Las colecciones y los abscesos usualmente se producen como consecuencia de fugas. La TC con contraste i/v es el estudio de elección. Los abscesos se presentan como una lesión bien definida, hipodensa, es avascular, uni o multilocular (signo del acúmulo o cluster), con realce periférico y de los septos tras la administración del medio de contraste i/v. A veces contienen líquido, gas y/o niveles hidroaéreos, la presencia de contraste oral en su interior orienta a fístula. En general se topografían en el cuadrante superior izquierdo, más frecuentemente en el espacio subfrénico (6,7,10). FIGURA 7

La TC permite distinguir entre colección serosa transitoria y absceso. La primera corresponde a una colección liquida, estéril, sin paredes, que se resuelve espontáneamente sin intervención en el postoperatorio inmediato.


Figura 5
EGD de control en proyección AP
donde se observa el trayecto de una fístula enterocutánea (flechas). (Paciente Nº3)


Figura 6
Paciente que al 3er día del postoperatorio refiere dolor abdominal.
Se realiza una TC con contraste i/v que evidencia alteracion de a grasa perigástrica.
EGD del mismo paciente que muestra en la evolución un trayecto fistuloso lateral derecho (flecha fina) con catéter de drenaje (flecha gruesa).(Paciente Nº4)

Es posible el drenaje percutáneo de estas colecciones bajo ecografía o TC (6).

c- Estenosis Las estenosis pueden ser precoces (postoperatorio inmediato), las que en general son secundarias a edema, errores técnicos, angulaciones, compresión extrínseca por hematoma o colección peri-gástrica, o tardías (post-operatorio alejado), secundarias a isquemia o fístulas con posterior fibrosis (4,6). Son más frecuentes en la incisura angularis (6). El método de estudio de elección es el EGD con contraste oral hidrosoluble, que muestra la zona estrechez. (6). FIGURA 8

d- Peritonitis (perforación gástrica – colónica). En la peritonitis los hallazgos tomográficos consisten en engrosamiento del peritoneo, epiplón y/o mesenterio, aumento de la densidad de la grasa mesentérica y ascitis (10) pudiendo asociar neumoperitoneo en las perforaciones de víscera hueca.

e- Hemorragias El riesgo de sangrado en la gastrectomía en manga varia de1 1-1,6 % (6) Ante la sospecha de una hemorragia debería estudiarse mediante TC con contraste intravenoso, que puede identificar el sitio y estimar la cuantía del sangrado.

f- Otras Otras complicaciones descritas luego de la intervención son: el desarrollo de enfermedad por reflujo gastroesofágico, el aumento en el volumen del remanente gástrico con el consiguiente aumento de peso a mediano y largo plazo, el vólvulo del estómago post operado, el vólvulo de intestino post operado así como la herniación intra-torácica del estómago residual (6)


Figura 7
Paciente cursando postoperatorio mediato que comenzó con dolor abdominal y taquicardia.
a) Corte axial
b) Reconstrucción coronal de TC
con medio de contraste i/v, sin contraste oral observándose un absceso a nivel subfrénico izquierdo (flecha fina) y escaso derrame pleural del mismo lado (flecha gruesa)(Paciente Nº 6)


Figura 8
Enfoque oblicuo de EGD en un paciente cursando un mes de postoperatorio,
que muestra estenosis (flecha) de la manga con pasaje filiforme del medio de contraste a dicho nivel(Paciente Nº 18).

DISCUSIÓN

Se han publicado cifras internacionales de complicaciones que van del 0%-24% (9) con una mortalidad de 0,1± 0,3% (7). En nuestra serie se vieron complicaciones del 4,9% (19/390), con una mortalidad del 1,3% (5/390).

En nuestra serie se observaron fugas en 14 pacientes. Todas las fugas analizadas se produjeron en el sector alto de la línea de grapado siendo ésta la complicación más frecuente y grave de esta cirugía.

En el 92,9% el diagnóstico se realizó en forma tardía (luego de los 7 días) mediante TC, pese a contar en todos los casos con estudio de EGD normal a las 24-48hs de la cirugía. Solo en un paciente el EGD a las 24-48 hs evidenció una fuga, coincidiendo con la prueba de azul de metileno positiva en el intraoperatorio. FIGURA 9 El EGD permitió el seguimiento evolutivo de las fístulas luego del drenaje hasta su cierre en el 78,6 % de los pacientes.

Dos pacientes presentaron abscesos diagnosticados mediante TC y dos pacientes presentaron estenosis meso-gástricas diagnosticadas por EGD. Una de ellas se presentó en forma precoz (Paciente 18) y la otra a los 2 meses de la cirugía (Paciente 19). Se vieron cuadros compatibles con peritonitis en el postoperatorio inmediato en 3 pacientes (Nº 15, 16 y 17). En todos los casos el diagnóstico fue clínico y no se realizaron estudios imagenológicos para confirmarlo.


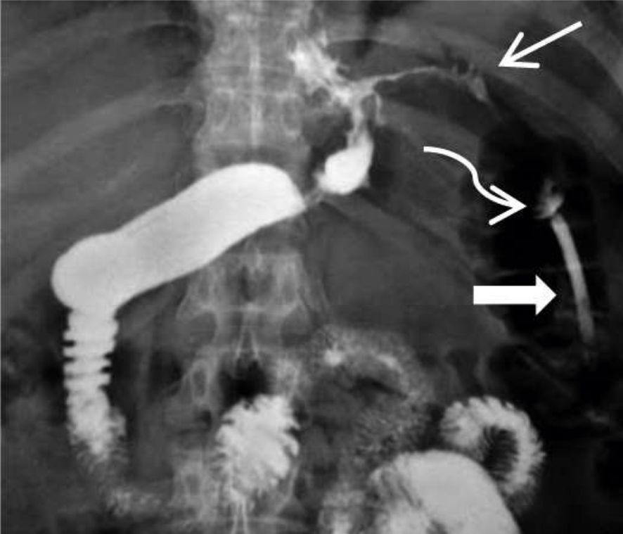
Figura 9
Estudio de EGD en proyección AP
de pie, que muestra la extravasación del medio de contraste en sentido izquierdo (flechas). (Paciente Nº 14)

CONCLUSIONES

Dado que la GM es la técnica más utilizada para el tratamiento quirúrgico de la OM en nuestro medio, es importante que los médicos radiólogos tengan conocimiento de la anatomía normal en el postoperatorio y de los hallazgos imagenológicos de las posibles complicaciones. El porcentaje de complicaciones en nuestra serie es similar al reportado en la literatura. El EGD sólo fue positivo en un caso de fuga, en el resto de los casos el diagnóstico se realizó en forma tardía por TC. En pacientes con sospecha clínica de fugas, la TC no solo permite su diagnóstico sino que valora la presencia de colecciones peri-gástricas (abscesos y hematomas). En nuestra serie el EGD permitió el seguimiento evolutivo de las fístulas luego del drenaje, hasta su cierre en el 78,6% de los casos.

BIBLIOGRAFIA

  • OMS. Obesidad y sobrepeso. http://www.who.int/ mediacentre/factsheets/fs311/es/

  • PisabarroR, Gutierrez M, Bermúdez C etal. Segunda encuesta nacional de sobrepeso y obesidad (ENSO 2) adultos (18-65 años o más). Rev Med Urug 2009; 25: 14-26

  • Chivot C, Lafaye N, et al. Laparoscopic sleeve gastrectomy: Imaging of normal anatomic features and postoperative gastrointestinal. Diagn Interv Imaging. 2013; 94: 823-34

  • Levine M, Carussi L. Imaging of bariatic surgery: normal anatomy and postoperative complications. Radiology Feb 2014, 270(2): faltan las paginas

  • Criterios de inclusión y exclusión para cirugía bariátrica: decisión de equipo o individual. Conferencia presentada en el III Congreso de Nutrición Clínica y Metabolismo, Santiago, 18-20 de abril de 2002. http://www.medwave. cl/link.cgi/Medwave/Puestadia/Congresos/1209.

  • Pérez D, Schiappacasse G, Zúñiga F. et al. Gastrectomía en manga: Estudio por imagen de sus complicaciones. Rev Chil Cir. Oct. 2015; 67(5): 554-559.

  • Deitel M, Gagner M, Erickson A et al. The second international consensus summit for sleeve gastrectomy. March 19-21, 2009. SurgObesRelat. Dic 2009: 5:476-85.

  • Bellanger E, Greenway F. Laparoscopic sleeve gastrectomy, 529 cases without a leak: short-term results and technical considerations. Obessug. Dic 2010

  • Fucks D, Veraeghe P, Brehant Oet al. Results of laparoscopic sleeve gastrectomy a prospective study in 135 patientes with morbid obesity. Surgery 2009;145:106-13

  • Lee J, Sagel S, Stanley R et al. Body TC con correlación con RM. MARBAN 2007. Vol 1, 1126-27.

* Ex Residente de Imagenologia del Hospital de Clinicas

** Ex Prof. Adj. Clinica Quirúrgica 2. Cirujano Jefe de la unidad esófago gástrica y bariática del Hospital Militar.

*** Prof. Adj. Clínica Quirúrgica 3. Cirujano de la unidad esófago gástrica y bariática del Hospital Militar.

**** Prof. Agda. Departamento Clínico de Radiolía. Hospital de Clínicas.