NEUROGRAFÍA POR RESONANCIA MAGNÉTICA: EVALUACIÓN DE LESIONES EXTRAESPINALES

ARTÍCULO DE PUESTA AL DÍA

Dres: Mercedes Serra, Javier Lombardero, Romina Goñi, Cecilia Rollán, Hernan Chaves, Maria Isabel LLovet, Claudia Cejas. *

RESUMEN

Históricamente el diagnóstico de las neuropatías se basó en el interrogatorio, el examen clínico y los estudios electrofisológicos. El estudio de resonancia magnética (RM) de columna muchas veces es el complemento que ayuda a resolver el diagnóstico de estos pacientes. En muchos casos, el resultado de este estudio es insuficiente para arribar al diagnóstico. El desarrollo de secuencias neurográficas de alta resolucion, con campo de visión amplio, para visualizar mas allá de los elementos de la columna, permite una aproximación al diagnóstico más adecuada de la patología extraespinal. En esta revisión haremos enfásis en la utilidad de la Neurografia por RM en el diagnóstico de la patología extraespinal, repasando la anatomía del nervio periférico y describiendo las causas más frecuentes de lesiones extraespinales con correlato iconográfico.

Palabras clave: Nervios periféricos, Neuropatías, Neurografía por Resonancia Magnética.

ABSTRACT

The diagnosis of peripheral neuropathies was originally based on interrogatory, physical examination and electrophysiological studies. Spinal magnetic resonancia imaging (MRI) may sometimes help solving the diagnosis, but in many other cases it´s insufficient. The latter development of high-resolution neurographic sequences with wide field of view (FOV), helped improve the evalutation of extra-spinal pathology. The purpose of this iconographic review is to go over peripheral nerve anatomy and describe the most frequent neuropathies showing the utility of MRI neurography in the diagnosys of extra-spinal pathology.

Key words: Peripheral Nerves, Neuropahties, Magnetic Resonance Neurography.

INTRODUCCIÓN

El reconocimiento y el interés por las neuropatías perif éricas lleva mas de 200 años, y cerca de 150 años la correlación clínico patológica a través de autopsias. No obstante los avances en el conocimiento del sistema nervioso periférico (SNP), sobrevino un mayor crecimiento en el estudio del sistema nervioso central. Fue a partir de la decada del 50, cuando se desarrollaron los estudios electrofisiológicos, que el SNP recobró interés en la comunidad neurológica mundial (1).
Durante muchos años el diagnóstico de las neuropatías se basó en tres pilares: el interrogatorio, el examen clínico y los estudios electrofisológicos, siendo estos últimos considerados el estudio gold standard (2). Sin embargo, los estudios electrofisiológicos pueden tardar entre 7 y 10 días en detectar el déficit o incluso, ser negativos (3, 4). En los últimos 10 años comenzó una nueva era para el diagnóstico de las neuropatías, con la implementación de la Neurografía por Resonancia Magnética (NRM) (5-8). La NRM, permite estudiar la estructura de los nervios perifé- ricos y de los plexos braquial (PB) y lumbosacro (PLS), los tejidos perineurales y los músculos que dependen de su inervación. Si se utilizan equipos de alto campo, en particular 3 Tesla, en conjunto con bobinas dedicadas para la región en estudio, y secuencias tridimensionales, es posible además estudiar la estructura interna del nervio (9-11).
Clásicamente las neuropatías se dividen en mononeuropat ías y polineuropatías. Es habitual que ante un paciente con clínica de mono o polineuropatía, el especialista solicite como estudio de base una RM de columna cervical, dorsal o lumbar según la clínica del paciente, con el fin de descartar lesiones en la médula espinal y/o emergencia radicular. En muchos casos, el resultado de este estudio es suficiente para arribar al diagnóstico. Sin embargo, en ocasiones, el estudio de RM espinal, mas allá de mostrar cambios degenerativos inherentes a la edad o estado deportivo, no demuestra hallazgos en relación a los síntomas que padece el paciente. El empleo de secuencias convencionales junto con un campo de visión reducido de la RM de columna, hacen que este estudio quede limitado a dicha región. Por tanto, al haber descartado lesiones espinales que justifiquen el cuadro clínico del paciente, ¿Como estudiar a las lesiones extraespinales?. El objetivo de este manuscrito es revisar brevemente la anatomía y técnica de estudio por RM de nervios y plexos y analizar la patología que los afecta a través de imágenes de alta resolución con Neurografía por RM.

ANATOMÍA DEL NERVIO PERIFÉRICO

El conocimiento de la organización del nervio periférico es esencial para la comprensión de las clasificaciones de daño nervioso, ya que éstas se basan en el compromiso de las diferentes subestructuras que lo conforman.
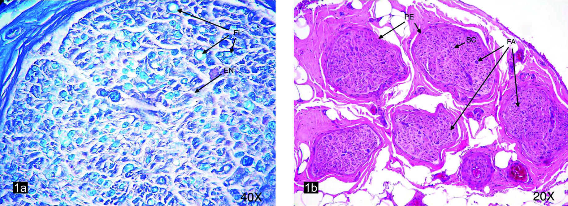
Los nervios periféricos están compuestos por componentes nerviosos rodeados por tres capas de tejido conectivo que los organiza y protege. Estas capas son, de adentro hacia afuera, el endoneuro, el perineuro y el epineuro. El endoneuro rodea a cada uno de los axones asociados a una célula de Schwann formando fibras nerviosas. Estas fibras nerviosas, se agrupan formando fascículos, los cuales están rodeados de perineuro, que actúa como barrera hemato-neural(12) . Por último, varios fascículos se agrupan formando un nervio, el cual se encuentra rodeado de epineuro, la más gruesa de las tres capas (Fig.1) (13). El epineuro proximal tiene continuidad con la duramadre y periféricamente se va adelgazando hasta ser incorporado al perineuro. El epineuro está compuesto por una subcapa interna y una externa. El epineuro interno contiene estructuras vasculares así como una variable cantidad de tejido adiposo interfascicular (14).
Los vasos nutrientes penetran los nervios periféricos a intervalos frecuentes a lo largo de su curso, suministrando irrigación a los vasos epineurales que discurren a lo largo de los nervios (15).
La menor unidad funcional del nervio periférico es el axón, y su número varía entre 1-3 para un nervio perifé- rico distal y alrededor de 200 en el ciático, el nervio de mayor diámetro del cuerpo. Los axones pueden o no estar mielinizados. Las fibras mielinizadas poseen una célula de Schwann por cada axón, la cual se enrolla alrededor del mismo para formar una capa de mielina multilaminada. A lo largo de su trayecto, el cual puede variar entre 0,5 y 100 mm, un axón está recubierto por múltiples células de Schwann las cuales están separadas por intervalos no mielinizados llamados nodos de Ranvier (16).
Las fibras y fascículos de los nervios se agrupan, interconectan y distribuyen hacia las extremidades en forma de plexos, siendo el braquial y lumbosacro los más relevantes suministros de inervación para los miembros superiores e inferiores respectivamente. Los ramos ventrales de los nervios espinales C5 a T1, representan las raíces del plexo braquial (Fig. 2), los cuales forman sucesivamente (de proximal a distal) los troncos, divisiones, cordones y finalmente nervios periféricos. El plexo lumbosacro consiste en dos plexos separados, el lumbar y el sacro. El plexo lumbar está conformado por los ramos ventrales de los nervios espinales T12 a L4 (Fig.3). Estos ramos ventrales o raíces, dan divisiones anteriores y posteriores los cuales se combinan en ramos anteriores y posteriores respectivamente. En cuanto al plexo sacro, está conformado por ramos ventrales de L4 a S4, dando así mismo divisiones y ramos anteriores y posteriores (Fig.4).



Figura 1: Preparado histológico de un nervio sural. (a)corte axial al nervio con tinción luxol fast blue, (b) corte axial al nervio con tinción hematoxilina y eosina, (c) corte axial al nervio con tinción hematoxilina y eosina y (d) corte longitudinal al nervio con tinción luxol fast blue. Dónde EN: endoneuro, PE: perineuro, EP: epineuro, FI: fibra, FA: fascículo, SC: célula de Schwann, VA: vaso epineural, *: tejido adiposo epineural. Los aumentos están indicados en la esquina inferior derecha de las imágenes. Gentileza Dra. Naomi Arakaki, Fundación para la Lucha de Enfermedades Neurológicas de la Infancia Dr. Raúl Carrea (FLENI).




CONSIDERACIONES TÉCNICAS

La neurografía por RM (NMR) se realiza en equipos de alto campo, idealmente 3T, ya que proporcionan una alta relación señal/ruido, brindan tiempos de adquisición más rápidos, así como mayor contraste y resolución de las imágenes (17).
El examen cuenta con secuencias anatómicas y secuencias basadas en la difusión (funcionales). Las secuencias anató- micas convencionales fast spin echo fueron reemplazadas por secuencias 2D y 3D de alta resolución, isotrópicas y de cortes milimétricos, que permiten una mejor evaluación de las estructuras anatómicas, tanto morfológicas como de su señal. Debido al contenido graso de los tejidos perineurales, es necesario obtener una supresión grasa homogénea; por este motivo resultan de elección las secuencias basadas en el método Dixon, denominadas IDEAL (GE Healthcare), Dixon TSE (Siemens Healthcare) o mDixon (Philips Healthcare) que permiten el empleo de imágenes en ponderación T1 y T2 con cuatro combinaciones de pulsos de saturación: supresión de agua, supresión de grasa y supresión combinada de agua y grasa en fase y fuera de fase (18).
Otras adquisiciones volumétricas especiales con alta resolución espacial como T2 CUBE (GE Healthcare), SPACE (Siemens Healthcare) o VISTA (Philips Healtcare), complementan el estudio neurográfico. Las secuencias ponderadas en T1 son óptimas para evaluar la anatomía de los nervios, delimitar los tejidos grasos perineurales, identificar realces pos contraste y valorar las estructuras adyacentes, mientras que las secuencias ponderadas en T2 evalúan en particular las alteraciones de espesor y señal de los nervios. La adquisición de imágenes pos contraste queda reservada ante la sospecha de infecciones, inflamaciones, lesiones difusas de nervios periféricos y tumores (19).
Una propiedad de las secuencias volumétricas es la posibilidad de ser procesadas mediante reconstrucciones multiplanares (MPR), reconstrucciones planares curvas (CPR) y reconstrucciones en máxima proyección de intensidad (MIP); esto permite desplegar y seguir el recorrido de los nervios periféricos en toda su extensión. La neurografía por RM basada en secuencia de difusión (DWI), aún en fases de investigación, tiene el potencial de superar las limitaciones de la RM anatómica en base a su capacidad de considerar la microestructura de los tejidos. Con diferentes valores de b, la secuencia DWI ofrece utilidades en la evaluación del nervio periférico permitiendo reconstrucciones MIP extensivas con supresión vascular, lo que proporciona un excelente contraste de imagen. También, en base a la difusividad del agua en los tejidos, es una herramienta valiosa para detectar tumores de alta celularidad y diferenciarlos de lesiones cicatrizales.
La secuencia tensor de difusión (DTI), además de ser útil en los tumores de la vaina nerviosa periférica, permite medir la integridad neuronal y demostrar signos tempranos de regeneración nerviosa en los aspectos proximales de los nervios, sobre la base de parámetros cuantitativos, como anisotropía fraccional, coeficiente de difusión aparente y difusividad media, axial y radial, estimando el curso evolutivo de las lesiones. La aplicación de altos valores de b, aproximadamente 1000?1200 s/mm2 es esencial para dicha secuencia (20, 21). El protocolo básico de estudio utilizado en nuestro servicio se encuentra detallado en la Tabla 1.


*Todas las secuencias se realizan con matriz de alta resolución de 256 x 320. *El FOV se ajusta según el área a explorar

PATOLOGÍA DE PLEXOS Y NERVIOS PERIFÉRICOS

La patología del nervio periférico puede dividirse en mononeuropat ías y polineuropatías. Las primeras pueden ser generadas por traumatismos, atrapamientos o tumores; sin embargo también pueden ser asiento de procesos inflamatorios que sólo afectan a un segmento nervioso. El rol de la NRM en las mononeuropatías ha crecido en los ultimos años y debido a la precisión en el diagnóstico ha generado cambios sustanciales en el manejo terapéutico de estos pacientes (22).

Las polineuropatías pueden ser hereditarias o adquiridas, siendo estas últimas las más frecuentes. En primer lugar, el empleo de la NRM en las polineuropatías permite redireccionar el algoritmo diagnóstico en aquellos pacientes en los cuales clínicamente se sospechaba una mononeuropatía. En segundo lugar, en los casos con diagnóstico clínico de polineuropatía, ayuda a definir la extensión de la enfermedad y a realizar su seguimiento en el tiempo para determinar progresión o regresión de las lesiones. (23).

MONONEUROPATÍAS

Mononeuropatías traumáticas La lesión traumática de nervio periférico puede responder a mecanismos de tracción, contusión y trauma penetrante. Estas entidades pueden coexistir y su diferenciación puede dificultarse debido al solapamiento de las características imagenológicas de cada uno (24).
Los nervios con más posibilidades de lesión son los expuestos a tracción de alta energía, como ocurre en la lesión traumática del plexo braquial; aquellos que atraviesan regiones periféricas, como el nervio peroneo a nivel de la rodilla; o los cercanos a estructuras óseas, como el nervio ciático cuando se lesiona próximo al isquion (25). En los adultos, el trauma constituye la causa más frecuente de plejía del plexo braquial, vinculado a accidentes automovil ísticos, particularmente de motocicletas; mientras que es raro el compromiso del plexo lumbosacro debido a la protección que presenta por el esqueleto axial. No obstante, este último es susceptible de lesión por mecanismo traumático indirecto en relación a lesiones graves de columna, fracturas o luxaciones de cadera, fracturas de pelvis, iatrogenia quirúrgica, y lesiones que comprometen el músculo psoas, como hematomas y abscesos (26).
La lesión traumática de los nervios periféricos ha sido clasificada por Seddon (27) según su gravedad, en orden ascendente de compromiso en neuropraxia, axonotmesis y neurotmesis.
En la neuropraxia se produce disfunción axonal, pero sin interrupción de axones ni de la vaina nerviosa. Suele tratarse de un trastorno transitorio con resolución completa. La axonotmesis implica discontinuidad de los axones preservando la integridad de las tres capas del envoltorio conectivo. En la neurotmesis, que constituye el mayor grado de lesión, se pierde la continuidad de los axones y de las cubiertas perineurales (26).
En la neuropraxia y la axonotmesis, la NRM muestra incremento del calibre y señal en ponderación T2 del nervio afectado, como signo de edema y degeneración walleriana en el último. El retorno a la normalidad de estos cambios se correlaciona con la recuperación funcional del nervio. La atrofia muscular por denervación es un signo indirecto de injuria nerviosa. Los pacientes con neuropraxia tienen recuperación completa mientras que en la axonotmesis puede ser completa, incompleta o nula.
En la neurotmesis puede identificarse la falta de continuidad del nervio en estadíos agudos, aunque puede dificultarse debido a la presencia de cambios inflamatorios y hemorragia perilesional. En el estadio crónico puede observarse el neuroma en continuidad, que se describe como una lesión redondeada de baja señal en ponderaci ón T2 en el trayecto del nervio. Puede ser confundido con un tumor de la vaina nerviosa, aunque el neuroma no refuerza tras la administración de contraste (28). Los pacientes con neurotmesis no se recuperan y su pronóstico depende de la pronta y apropiada conducta quirúrgica. En este caso la NRM es útil para la adecuada caracterización del trayecto anatómico comprometido y la clasificación de la lesión, lo que contribuye al resultado clinico (Fig. 5).

Mononeuropatías Compresivas Las mononeuropatías compresivas o por atrapamiento, representan una de las causas más frecuentes de consulta neurológica. El diagnóstico suele ser clínico y electromiogr áfico, sobre todo para aquellas mononeuropatías compresivas de presentación clásica. En los casos indeterminados, la resonancia es un estudio de gran utilidad para definir el diagnóstico y planear el tratamiento de estos pacientes (29).
La neuropatía compresiva se genera por un mecanismo de presión, que a medida que aumenta y se vuelve constante, compromete la irrigación del nervio, en una primer instancia venosa y luego arterial, dando lugar a un daño isquémico del nervio que con el tiempo y la presión suficiente puede volverse irreversible (30).
Si bien los nervios periféricos pueden verse afectados en cualquier sector de todo su recorrido, hay sitios que por su anatomía, son más propensos a generar atrapamiento nervioso, ya sea por un recorrido más superficial o por su pasaje a través de en un sitio estrecho (31). Es por esto que para planear y evaluar el estudio de las mononeuropat ías compresivas, es esencial conocer la anatomía normal de los nervios periféricos y los sitios habituales de compresión (Tabla 2).
En cuanto a los hallazgos en imágenes, solemos ver tanto afección del nervio comprimido como de los músculos inervados por el mismo. Así mismo, pueden observarse las estructuras adyacentes al nervio afectado a fin de identificar la causa de compresión. En el sitio de compresión suele verse engrosamiento focal con aumento de señal del nervio en secuencias ponderadas en T2 y DP, hallazgos que podrían encontrarse en relación a isquemia y edema del nervio. En los sitios distales a la compresión, suele observarse aumento de señal en ponderación T2 y DWI, con grosor normal, aumentado o incluso adelgazado, en probable relación a degeneración walleriana, en función del tiempo de evolución (32) (Fig. 6). Al ser habitualmente estructuras nerviosas de fino calibre las que se están evaluando, son de especial utilidad las reconstruciones multiplanares y curvas para estudiar al nervio en todo su recorrido. Así podremos comparar el grosor y la señal del mismo en el sitio de compresión en relación a los segmentos contiguos (33).
Los signos de denervación muscular pueden ser muchas veces el primer hallazgo al evaluar el estudio de resonancia magnética. Suele observarse edema muscular en la etapa aguda y subaguda o, reemplazo adiposo y atrofia en la etapa crónica. Es importante conocer los miotomas correspondientes a cada nervio para inferir que el mismo puede estar afectado, aún cuando no podamos identificar directamente la injuria nerviosa (34). (Tabla 2).


Figura 5
Neuroma por contiguidad:
Paciente masculino de 25 años con antecedente de trauma en rodilla. (A) secuencia IDEAL water ponderada en T2, muestra edema en la cabeza del perone (flecha) y partes blandas adyacentes, (B) secuencia FIESTA 3D con reconstrucción curva, donde se observa al nervio peroneo comun (flechas) que presenta engrosamiento pseudonodular a la altura de la cabeza del perone (neuroma), (C) secuencia IDEAL 3D en ponderación T1 tras la administración de contraste, que muestra realce del nervio peroneo proximal (flecha entrecortada) y leve realce periférico del neuroma (flecha), en relacion a cambios inflamatorios.


Figura 6
Atrapamiento nervio pudendo
Paciente maculino de 48 años de edad, con neuralgia del pudendo de larga data. (A) secuencia IDEAL water ponderada en T2 en plano coronal, (B) secuencia DWI en plano axial, que muestran hiperseñal y engrosamiento del nervio pudendo (P) en el canal de Alcock , asi como de sus ramos rectal inferior (RI), perineal (Per) y dorsal del pene (DP).

Tumores Los tumores benignos de la vaina neural son los tumores más frecuentes del nervio periférico. Se dividen en Schwannoma (también llamado neurilemmoma o neurinoma), neurofibroma y perineurioma.
Los schwannomas y neurofibromas comparten algunas características en imagen; presentan morfología fusiforme, bien definida y raramente exceden los 5 cm de diámetro (35, 36). Sin embargo, los schwannomas, usualmente son solitarios, habitualmente excéntricos en relación al eje del nervio y quedan contenidos por el perineuro. Si son múltiples debe descartarse schwannomatosis.
El neurofibroma se puede presentar de forma solitaria o como neurofibroma plexiforme, esta última forma afecta varios nervios y suele observarse en la neurofibromatosis tipo I (NFI). El tipo solitario es la forma más común, y afecta con mayor frecuencia a los nervios periféricos que a los plexos. Se describen como lesiones de localización central, no encapsulados, por lo que no pueden separarse del nervio (Fig. 7).
La mayoría de los tumores benignos de la vaina neural son isointensos o levemente hiperintensos respecto al músculo en ponderación T1, e hiperintensos en ponderación T2. El ?signo de la diana? (halo más hiperintenso que el resto del tumor en secuencias T2 y STIR) se ha descripto tanto en neurofibromas como en schwannomas (con menor frecuencia), y se debe a la presencia de tejido mixoide en la periferia y fibrosis en el centro. El patrón fascicular es otro hallazgo descripto en los tumores neurogénicos, que se describe como imágenes en «capas de cebolla», hiperintensas en ponderación T2. Muestran un realce variable tras la administración de gadolinio; en los tumores pequeños la captación de contraste suele ser de distribución homogénea, mientras que en los grandes tumores el realce puede ser central, periférico o nodular irregular (36, 37, 38).


Los schwannomas de larga evolución suelen sufrir fen ómenos de degeneración y muestran un patrón más heterogéneo con calcificaciones, áreas de hemorragia y degeneración quística que pueden simular un sarcoma. El neurofibroma plexiforme es casi patognomónico de neurofibromatosis tipo I (NF1), suele desarrollarse en la infancia, precede a la aparición de neurofibromas cutá- neos y tiene una tasa de malignización del 8 al 12%. Estos tumores expanden y distorsionan extensos segmentos de uno o varios nervios y suelen presentar alta intensidad de señal en las secuencias ponderadas en T2, dando el aspecto de ?saco de gusanos? (Fig. 8). Por su gran tamaño, estas lesiones se extienden más allá del epineuro, hacia el tejido adyacente (25, 37, 39).

Entre los tumores benignos de la viana neural se incluye actualmente al perineurioma, antes considerado un pseudotumor. Suele presentarse en nervios perifericos más que en plexos. En NRM suele observarse con una lesión de morfología fusiforme, isointenso al nervio en ponderación T1, hiperintenso en ponderación T2, con intenso realce homogeneo tras la inyección de contraste (40).
En cuanto a los tumores malignos de la vaina neural, pueden ser primarios o secundarios. El schwannoma maligno, también llamado neurofibrosarcoma o sarcoma neurogénico, representa cerca del 5-10% de las neoplasias malignas de partes blandas. En su mayoría se presentan de novo, es decir no asociado a un schwannoma pre-existente y comprometen a nervios periféricos. Cerca del 25-50 % se encuentra asociado a neurofibromatosis tipo I (NF1). La forma más frecuente de presentación es como una masa fusiforme o excéntrica propagada a través del epineuro y perineuro de un tronco neural. Suele dar metástasis a pulm ón, hígado, huesos y tejido subcutáneo, y su pronóstico es pobre debido a la alta tasa de recidiva (36, 41, 42). En RM se comporta en forma similar a los tumores benignos de la vaina neural, aunque tienden a ser de mayor tamaño (más de 5 cm), márgenes mal definidos y heterogéneos (Fig. 9).
Se ha descripto infiltración perineural por otros tipos de tumores, por ejemplo, el linfoma, los cuales son extremadamente raros. Se manifiestan como engrosamiento difuso de un segmento neural con alta intensidad de señal en pulsos T2, isointensos al músculo en ponderación T1 y tenue realce pos contraste (42, 43).
Por último, cualquier tumor pelviano que invade la fosa isquiorrectal puede comprometer a un nervio periférico o plexo LS en algún punto de su recorrido (11). Lo propio ocurre con el tumor de ápex torácico que invade el tronco inferior y divisiones del plexo braquial (10).


Figura 7
Neurofibroma en paciente de sexo femenino de 33 años.
Secuencia neurográfica IDEAL en ponderación T2, (a) plano coronal, (b) reconstrucción oblicua; donde se observa engrosamiento nodular de morfología fusiforme, a nivel del tronco lumbosacro derecho (flecha); (c) Secuencia IDEAL en ponderación T1 con saturación grasa, con contraste endovenoso. Se observa intenso realce homogéneo de la lesión.


Figura 8
Neurofibroma plexiforme en un paciente masculino de 20 años con diagnostico de Neurofibromatosis tipo I
Secuencias neurográficas IDEAL: Se visualiza engrosamientos nodulares de distribución racimosa que comprometen raíces del plexo lumbosacro y ambos nervios ciáticos, de señal (a) iso-hipointensas en ponderación T1, (b) hiperintensas en ponderación T2 FAT SAT. (c) Secuencia coronal STIR.

Polineuropatías La polineuropatía hereditaria más conocida es la enfermedad de Charcot Marie-Tooth, una entidad de transmisi ón genética, que presenta 5 tipos genéticamente determinados. El mas frecuente es el tipo I A (CMT IA), que se produce por deleción del gen PMP22 (44). En la forma CMT IA, la NRM en secuencias ponderadas en T2 muestran hiperseñal y aumento del grosor de los nervios periféricos, a expensas de hipertrofia de los fascículos, sin distorsión del patrón fascicular, acompañada de hipertrofia del contenido adiposo interfasciular. La afectación suele ser más bien distal que proximal (45).
Entre las polineuropatías adquiridas se destacan las inmunomediadas y las vasculares. Entre las primeras, cabe mencionar a la poliradiculopatía desmielinizante crónica idiopática (CIDP por sus siglas en inglés), el sindrome de Guillain Barré, la neuralgia amiotrófica o sindrome de Parsonage Turner; y, entre las segundas, lidera el grupo la polineuropatía diabética (DBT), seguida de las vasculitis no diabéticas. Se describen otras polineuropatias con menor incidencia entre las que se menciona a la radiación, amiloidosis, sarcoidosis, entre otras (46, 47).
La CIDP, es una polineuropatía inmunomediada que se caracteriza por la hipertrofia de plexos y nervios. A diferencia de la enfermedad de CMT, la CIDP suele tener una afectación más proximal que distal (48). En NRM se describe hipertrofia focal o difusa, adoptando una morfología fusiforme con remodelación del patrón fascicular tanto de plexos como de nervios periféricos, y señal hiperintensa en ponderación T2 (49). (Fig. 10).
La polineuropatía DBT es más frecuente en la actualidad, debido al aumento de la sobrevida de estos pacientes. El sustrato anátomo-patológico es el de una vasculitis (50). En NRM se describe el engrosamiento difuso de uno o más nervios, preservando el patrón fascicular. En ocasiones, se observan cambios denervatorios en músculos dependientes de los nervios afectados, como ocurre en el plexo braquial y lumbosacro, donde se aprecia edema y/o atrofia de los musculos paravertebrales, como signo indirecto de afectación de raíces posteriors (51).
El sindrome de Parsonage Turner, es una plexitis autoimmune de etiología desconocida que afecta a pacientes de edad media. La características clinicas son el dolor, seguido por denervación rápida de los músculos del hombro y miembro superior afectados (52). En NRM, se observa la hipertrofia difusa e hiperseñal en ponderación T2 de las ramas del plexo braquial. Cabe resaltar, que suele observarse afectación de otros ramos menores como nervio torácico largo, supraescapular, subescapular. Por otra parte, en el 30 % de los casos suele ser bilateral, aunque clínicamente los sintomas persistan de un solo lado. Este dato le da mayor importancia al estudio neurográfico porque al aportar el dato de bilateralidad ayuda a indicar la rehabilitación de ambos miembros aunque el paciente no perciba sintomas en uno de ellos (53). (Fig. 11).


Figura 9
Schwannoma maligno.
Paciente femenina de 65 años de edad. Secuencias neurográficas IDEAL: Se observa en topografía del nervio obturador interno derecho formación fusiforme, de bordes irregulares, heterogénea (flechas); presenta señal (a) hiperintensa en ponderación T2 FAT SAT, (b) refuerzo irregular en ponderación T1 FAT SAT con contraste; (c) Secuencia axial T2 FAT SAT.


Figura 10
Polineuropatia desmielinizante cronica idiopática.
Paciente femenino de 37 años con diagnostico clinico y electrofisiológico. Secuencia neurográfica IDEAL water en ponderación T2, donde se observa hiperseñal y engrosamiento difuso de las raices, troncos primarios y secuendarios del plexo braquial.


Figura 11
Sindrome de Parsonage Turner en un joven de 18 años.
Secuencia neurográfica IDEAL water en ponderación T2, en la que se observa engrosamiento e hiperseñal de los troncos y divisiones del plexo braquial izquierdo (flechas).

El sindrome de Guillain Barré es la polineuropatía inmunomediada pos infecciosa más comun y es una urgencias neurológica (54). Las manifestaciones en NRM son variables en función de los nervios afectados. El hallazgo más frecuente es el el aumento de grosor y el realce pos contraste de las raíces de la cuada equina (55). Sin embargo, también se describe la afectación de plexos y con menor frecuencia de pares craneanos, los cuales se observan hipertrofiados y pueden presentar realce pos contraste. La neurografía también es de utilidad en el control de las lesiones conocidas (56). (Fig. 12).

La neuropatía por radiación se observa cada vez con mayor frecuencia debido a que su uso se ha ampliado como tratamiento combinado junto a la quimioterapia de muchas neoplasias en las antes no estaba indicada, y también, debido al aumento de la sobrevida de los pacientes tratados. El mayor desafío para el radiólogo consiste en distinguir la neuropatía por radiación, de la recidiva tumoral con extensión perineural. Clínicamente, la neuropatía por radiación suele presentarse varios años después del tratamiento. En la NRM se puede observar engrosamiento de nervios y/o plexos, manteniendo el patrón fascicular, asociado a edema de los tejidos adyacentes con ausencia de patrón de masa, lo cual descarta la presencia de tumor (57, 58). (Fig. 13).


Figura 12
Sindrome de Guillain Barré en niño de 9 años
(a) Secuencia neurográfica IDEAL water en ponderación T2, que muestra engrosamiento e hiperseñal difusa de los ramos del plexo lumbar. Imagenes convencionales de columna en FSE ponderación T1 (b) axial con contraste, (c) sagital sin contraste, (d) sagittal con contraste, se observa engrosamiento y realce de raices de cauda equina.



Figura 13
Plexopatía por radiación
Paciente femenina de 43 años con antecedente de tumor maligno de la vaina neural que fue resecado parcialmente e irradiado. Secuencia neurográfica IDEAL water en ponderación T2, corte coronal, donde se observa engrosamiento difuso de los ramos L4 y L5 izquierdos (flechas). Note la imagen tumoral residual en la raiz L5 derecha (asterisco).

CONCLUSIÓN

La Neurografía por Resonancia Magnética permite el estudio exhaustivo de las características del sistema nervioso periferico. Es un test alternativo, con un rol cada vez más activo, como complemento del diagnóstico de la patología extraespinal.

BIBLIOGRAFIA

  • Asbury A, Aminoff M. Prelude to the peripheral neuropathies (Chapter1), in: Said G, Krarup C. Handbook of Clinical Neurology, Vol 115 (3erd series) Peripheral Nerve Disorders, Elsevier Ed, 2013.

  • Preston D, Shapiro B. Electromyography and Neuromuscular Disorders. Boston: Butterworth-Heinemann; 1998. Chung T, Prasad K, Lloyd TE (2014) Peripheral neuropathy: clinical and electrophysiological considerations. Neuroimaging Clin N Am 24:49?65

  • Feinberg J (2006) EMG: myths and facts. HSS J 2:19?21 Chhabra A, Andreisek G, Soldatos T et al (2011) MR neurography: past, present, and future. AJR Am J Roentgenol 197:583?591

  • Du R, Auguste KI, Chin CT et al (2010) Magnetic resonance neurography for the evaluation of peripheral nerve, brachial plexus, and nerve root disorders. J Neurosurg 112:362?371

  • Chhabra A (2014) Peripheral MR Neurography Approach to Interpretation. Neuroimaging Clin N Am 24:79?89

  • Cejas C, Aguilar M, Falcon L et al (2013) High resolution (3T) magnetic resonance neurography of sciatic nerve. Radiología 55:195?202

  • Chalian M, Behzadi AH, Williams EH et al (2014) High- resolution magnetic resonance neurography in upper extremity neuropathy. Neuroimag Clin N Am 24:109?125

  • Cejas C, Rollán C, Michelin G et al (2016) High resolution neurography of the brachial plexus by 3 Tesla magnetic resonance Imaging. Radiologia, 2016;58(2):88-100.

  • Soldatos T, Andreisek G, Thawait, G et Al (2013) High-Resolution 3-T MR Neurography of the Lumbosacral Plexus. RadioGraphics 33:967-987

  • Sunderland S. A classification of peripheral nerve injuries producing loss of function. Brain. 1951;74(4):491-516.

  • Battista a F, Lusskin R. The anatomy and physiology of the peripheral nerve. Foot Ankle. 1986;7(2):65-70. doi:10.1098/rstl.1833.0031.

  • Filler AG, Maravilla KR, Tsuruda JS. MR neurography and muscle MR imaging for image diagnosis of disorders affecting the peripheral nerves and musculature. Neurol Clin. 2004;22(3):643-682. doi:10.1016/j.ncl.2004.03.005.

  • Maravilla KR, Bowen BC. Imaging of the peripheral nervous system: Evaluation of peripheral neuropathy and plexopathy. Am J Neuroradiol. 1998;19(6):1011-1023.

  • Flores AJ, Lavernia CJ, Owens PW. Anatomy and Physiology of Peripheral Nerve Injury and Repair. Vol 29.; 2000:167-173.

  • Thawait SK, Chaudhry V, Thawait GK, Wang KC, Belzberg A, Carrino JA, Chhabra A.High-Resolution MR Neurography of Diffuse Peripheral Nerve Lesions. AJNR Am J Neuroradiol. 2011 Sep;32(8):1365-72.

  • Chhabra A. Peripheral MR Neurography. Neuroimaging Clin N Am. 2014 Feb;24(1):79-89.

  • Chhabra A, Flammang A, Padua A Jr, Carrino JA, Andreisek G. Magnetic Resonance neurography: technical considerations. Neuroimaging Clin N Am. 2014 Feb;24(1):67-78.

  • Guggenberger, R. Markovic D, Eppenberger P, Chhabra A, Schiller A, Nanz D, Prussmann, K, Andreisek G. Assessment of median nerve with MR neurography by using diffusion- tensor imaging: normative and pathologic diffusion values. Radiology 265, 194?203 (2012).

  • Eppenberger P, Andreisek G, Chhabra A. Magnetic resonance neurography: diffusion tensor and futre directions. Neuroimaging Clin N Am. 2014 Feb;24(1):245-56.

  • Chhabra A, Belzberg AJ, Rosson GD, Thawait GK, Chalian M, Farahani SJ et al (2016) Impact of high resolution 3 tesla MR neurography (MRN) on diagnostic thinking and therapeutic patient management. Eur Radiol 26:1235?1244.

  • Trivedi JR, Phillips L, Chhabra A. Hereditary and acquired polyneuropathy conditions of the peripheral nerves: clinical considerations and MR neurography imaging. Semin Musculoskelet Radiol. 2015 Apr;19(2):130-6.

  • Alberto Tagliaco, Luisa Altani, Isabella Garello, Alesandra Marchetti, Sergio Gennaro, and Carlo Martinoli, Traumatic Neuropathies: Spectrum of Imaging Findings and Postoperative Assessment, Semin Musculoskelet Radiol 2010;14:512?522. DOI: http://dx.doi.org/ 10.1055/s-0030-1268071. ISSN 1089-7860.

  • Cejas C. Neurografía por resonancia magnética en la evaluaci ón de los nervios periféricos. Rev Chil Radiol 2015; 21(3): 108-115.

  • Cejas C. et al. Neurografía de alta resolución del plexo lumbosacro en resonancia magnética 3 T. Radiología. 2015;57(1):22-34.

  • Seddon H. Three types of nerve injury. Brain. 1943;66:237- 88.

  • Chhabra A, Williams E, Wang K, Dellon A, Carrino J. MR neurography of neuromas related to nerve injury andentrapment with surgical correlation. AJNR Am J Neuroradiol 2010; 31(8): 1363-1368.

  • Hobson-Webb LD, Juel VC. Common Entrapment Neuropathies. Continuum (Minneap Minn). 2017 Apr;23(2, Selected Topics in Outpatient Neurology):487-511.

  • Subhawong TK, Wang KC, Thawait SK, Williams EH, Hashemi SS, Machado AJ, Carrino JA, Chhabra A. High resolution imaging of tunnels by magnetic resonance neurography. Skeletal Radiol. 2012 Jan;41(1):15-31.

  • Petchprapa CN, Rosenberg ZS, Sconfienza LM, Cavalcanti CF, Vieira RL, Zember JS. MR imaging of entrapment neuropathies of the lower extremity. Part 1. The pelvis and hip. Radiographics. 2010 Jul-Aug;30(4):983-1000.

  • Filler AG, Maravilla KR, Tsuruda JS. MR neurography and muscle MR imaging for image diagnosis of disorders affecting the peripheral nerves and musculature. Neurol Clin. 2004 Aug;22(3):643-82.

  • Kim S, Choi JY, Huh YM, Song HT, Lee SA, Kim SM, Suh JS. Role of magnetic resonance imaging in entrapment and compressive neuropathy - what, where, and how to see the peripheral nerves on the musculoskeletal magnetic resonance image: part 1. Overview and lower extremity. Eur Radiol. 2007 Jan;17(1):139-49.

  • Kim SJ, Hong SH, Jun WS, Choi JY, Myung JS, Jacobson JA, Lee JW, Choi JA, Kang HS. MR imaging mapping of skeletal muscle denervation in entrapment and compressive neuropathies. Radiographics. 2011 Mar-Apr;31(2):319-32.

  • Murphey M, Smith S, Kransdorf M,Temple T. Imaging of Musculoskeletal Neurogenic Tumors: Radiologic-Pathologic correlation. Radiographics 1999; 19:1253-1280.

  • Muñoz S. Tumores Neurogénicos de Nervios Periféricos: Estudio por imágenes. Revista Chilena de Radiología 2003; 9: 124-136.

  • Cejas CP, Bordegaray S, Stefanoff NI, Rollan C, Escobar IT, Consigliere Rodríguez P. Neurogafía por resonancia magnética para la identificación de la neuralgia del nervio pudendo. MEDICINA (Buenos Aires) 2017; 77: 227-232.

  • Jee WH, Oh SN, McCauley T, et al. Extraaxial neurofibromas versus neurilemmomas: discrimination with MRI. Am J Roentgenol 2004; 183: 629-33.

  • Isobe K, Shimizu T, Akahane T, Kato H. Imaging of ancient schwannoma. Am J Roentgenol 2004; 183: 331-6.

  • Mauermann ML, Amrami KK, Kuntz NL, et al. Longitudinal study of intraneural perineurioma-a benign, focal hypertrophic neuropathy of youth. Brain 2009; 132(pt 8):2265?2276.

  • Lin J, Martel W. Cross-sectional imaging of peripheral nerve sheath tumors: characteristic signs on CT, MR imaging, and sonography. Am J Roentgenol 2001; 176: 75-82.

  • Cejas CP, Rollan C, Nogués M. Neurografía por resonancia magnética de los nervios periféricos. ANNYN; 2014; 23:1-7.

  • Gupta G, Mammis A, Maniker A. Malignant periphera nerve sheath tumors. Neurosurg Clin N Am 2008; 19:533-43. Chance PF, Fischbeck KH: Molecular genetics of Charcot- Marie-Tooth disease and related neuropathies. Hum Mol Genet 3: 1503?1507, 1994.

  • Ellegala D, Monteith S, Haynor D, Bird T, Goodkin R, Kliot M, Characterization of genetically defined types of Charcot-Marie-Tooth neuropathies by using magnetic resonance neurography. J Neurosurg 102:242?245, 2005.

  • Dyck PJ, Engelstad J, Norell J, et al (2000) Microvasculitis in non-diabetic lumbosacral radiculoplexus neuropathy (LSRPN): similarity to the diabetic variety (DLSRPN). Journal of Neuropathology and Experimental Neurology 59:525?38.

  • Tarulli A, Raynor E (2007). Lumbosacral Radiculopathy. Neurol Clin 25: 387?405.

  • Ad Hoc Subcommittee of the American Academy of Neurology AIDS Task Force. Research criteria for diagnosis of chronic inflammatory demyelinating polineuropathy (CIDP). Neurology 1991;41:617-618.

  • Shibuya K, Sugiyama A, Ito S, Misawa S, Sekiguchi Y, Mitsuma S, Iwai Y, Watanabe K, Shimada H, Kawaguchi H, Syhara T, Yokota H, Matsumoto H, Kuwabara S. Reconstruction magnetic resonance neurography in chronic inflammatory demyelinating polyneuropathy. Ann Neuro. 2015 Feb;77(2):333-7.

  • Tesfaye S, Boulton AJ, Dyck PJ, Freeman R, Horowitz M, Kempler P, Lauria G, Malik RA, Spallone V, Vinik A, Bernardi L, Valensi P; Toronto Diabetic Neuropathy Expert Group. Diabetic neuropathies: update on definitions, diagnostic criteria, estimation of severity, and treatments. Diabetes Care 33:2285?2293, 2010.

  • Massie R, Mauermann ML, Staff NP, Amrami KK, Mandrekar JN, Dyck PJ, Klein CJ, Dyck PJB (2012) Diabetic cervical radiculoplexus neuropathy: a distinct syndrome expanding the spectrum of diabetic radiculoplexus neuropathies. Brain 135; 3074?3088.

  • Van Alfen N, van Engelen BG (2006) The clinical spectrum of neuralgic amyotrophy in 246 cases. Brain 129:438-450. Chalian M, Faridian-Aragh N, Soldatos T et al (2011) High- resolution 3T MRN of suprascapular neuropathy. Acad Radiol 18:1049?1059.

  • Asbury AK, Arnason BGW, Karp HR, Mc Farlin DE. Criteria for the diagnosis of Guillain-Barré syndrome. Ann. Neurol. 1978;3:565.

  • Kumar S. Guilllain Barre syndrome. Spinal MR findings. Journal of Pediatric Neuroradiology (2014) 153?154.

  • Kontzialis M, Poretti A, Michell H, Bosemani T, Tekes A, Huisman T. Spinal Nerve Root Enhancement on MRI Scans in Children: A Review. J Neuroimaging 2015;00:1-11.

  • Capek S, Sullivan PS, Howe BM (2015) Recurrent rectal cancer causing lumbosacral plexopathy with perineural spread to the spinal nerves and the sciatic nerve: an anatomic explanation. Clinical Anatomy, 28: 136?143.

  • Sinaei M, Swallow C, Milot L, et al ( 2013) Patterns and signal intensity characteristics of pelvic recurrence of rectal cancer at MR imaging. Radiographics 33:171?187.

* Dpto. de Diagnóstico por Imágenes. Fundación par la Lucha de Enfermedades Neurológicas de la Infancia (FLENI). Montañeses 2325, C1428AQK Buenos Aires, Argentina. Autor de correspondencia: Claudia Cejas Mail: ccejas@fleni. org.ar