ESTUDIO DINÁMICO DEL PISO PÉLVICO
Experiencia en el Hospital de Clinicas

ARTÍCULO ORIGINAL

Dr. Pablo Pedetti *
Dr. Federico Cabo **
Dr. Federico Avondet **
Dr. Edgardo Castillo ***

Presentado en el Congreso de Imagenología del Uruguay, octubre 2017
Trabajo recibido: 30 setiembre 2017
Aceptado: 4 de junio de 2018

RESUMEN

Objetivos: Mostrar la experiencia en el estudio dinámico del piso pélvico por resonancia magnética (RM) en el servicio de imagenología del Hospital de Clínicas (HC), en el período comprendido entre julio de 2015 a julio de 2017. Interesa evaluar el protocolo de adquisición utilizado, los hallazgos fundamentales y la implementación de un informe radiológico estructurado basado en el sistema HMO.

Materiales y métodos: Se revisaron en forma retrospectiva 16 estudios imagenológicos por RM de pacientes de sexo femenino, realizados en el servicio de imagenología del HC. El protocolo utilizado constó de secuencias morfológicas FSE T1 axial, T2 de alta resolución en los tres planos y secuencias dinámicas TRUE FISP en el plano sagital en la línea media, durante el reposo, contracción de la musculatura pélvica, maniobras de Valsalva y defecación.

Resultados: Todos los estudios de RM mostraron patología. En los casos en los que se aportó un dato clínico, el estudio de RM la confirmó, y en algunos casos añadió un diagnóstico alternativo (cistocele, prolapso uterino, enterocele). Los diagnósticos realizados fueron los de cistocele e hipermotilidad de uretra en el compartimento anterior, histerocele y prolapso vaginal en el compartimento medio y sigmoidocele, Douglascele, rectocele y anitis, en el compartimento posterior.

Discusión: La afectación del piso pélvico representa una patología de alta frecuencia, aumentando su prevalencia con la edad. Su alto porcentaje de recidivas y de afectación multicompartimental, dificultan la valoración clínica y la resolución quirúrgica. La RM ofrece un método diagnóstico de fácil realización, con capacidad de valorar en forma simultánea los tres compartimentos de la pelvis, especialmente importante cuando existe afectación multicompartimental. El sistema HMO constituye una herramienta que permite interpretar, comunicar y categorizar los hallazgos patológicos para la realización de un informe radiológico estandarizado.

Palabras claves: Piso pélvico, línea pubococcígea, línea H, línea M, cistocele, histerocele, sigmoidocele, Douglascele, rectocele y anitis.

ABSTRACT

Objectives: To analyze the experience in the dynamic study of the pelvic floor by magnetic resonance imaging (MRI) in the imaging service of Hospital de Clínicas (HC), in the period from July 2015 to July 2017. It is interesting to evaluate the acquisition protocol fundamental findings and implementation of a structured radiological report based on the HMO system.

Materials and methods: We retrospectively reviewed 16 MRI scans of female patients, performed at the HC Imaging service. The protocol used consisted of morphological sequences FSE T1 axial, T2 high resolution in the three planes and dynamic sequences TRUE FISP in the sagittal plane in the midline, during rest, contraction of the pelvic muscles, Valsalva maneuvers and defecation.

Results: All MR studies showed pathology. In cases in which a clinical data was provided, the MRI study confirmed it, and in some cases added an alternative diagnosis (cystocele, uterine prolapse, enterocele). The diagnoses were those of cystocele and hypermotility of the urethra in the anterior compartment, hysterocele and vaginal prolapse in the middle compartment and sigmoid, Douglascele, rectocele and anitis, in the posterior compartment.

Discussion: The involvement of the pelvic floor represents a high frequency pathology, increasing its prevalence with age. Its high percentage of relapses and of multicompartimental affectation makes clinical assessment and surgical resolution difficult. MRI offers a diagnostic method that is easy to perform, capable of simultaneously evaluating the three compartments of the pelvis, especially important when there is multicompartimental involvement. The HMO system is a tool that allows interpreting, communicating and categorizing the pathological findings for a standardized radiological report.

Key Words: Pelvic floor, pubococcygeal line, H line, M line, cystocele, hysterocele, sigmoidocele, Douglascele, rectocele and anitis.

INTRODUCCIÓN

Los trastornos funcionales del piso pélvico, como el prolapso de los órganos pélvicos y la disfunción defecatoria, representan un problema de salud común, especialmente en pacientes de sexo femenino. Se estima que más del 15% de las mujeres multíparas están afectadas por algún tipo de trastorno pélvico y que entre el 10% y el 20% de los pacientes consultan por disfunción pelviana. Estas condiciones a menudo afectan significativamente la calidad de vida del paciente y dan lugar a una variedad de síntomas. El piso pélvico de las mujeres se divide en tres compartimentos: compartimiento anterior (vejiga y uretra), compartimiento medio (vagina y útero) y compartimiento posterior (ano-rectal). El espectro de la disfunción del piso pélvico depende del compartimento implicado e incluye incontinencia, estreñimiento y prolapso, que ocurren en combinaciones variables. (1-2)

El examen clínico subestima o da como resultado un diagnóstico erróneo del sitio de prolapso en el 45-90% de los pacientes, y no es fiable para evaluar las anomalías de la evacuación. Además, la debilidad del piso pélvico suele ser generalizada, por lo que los distintos compartimientos del piso pélvico deben ser evaluados simultáneamente. La Resonancia Magnética (RM) se presenta como una nueva técnica diagnóstica, complementaria a los estudios convencionales. Presenta alta resolución de contraste tisular, la cual permite una mejor caracterización de la compleja anatomía pelviana, además de la posibilidad de realizar estudios estáticos y dinámicos, sin la necesidad de medio de contraste intravenoso. (3)

Las estructuras de soporte del piso pélvico femenino consisten en una compleja red de fascias, ligamentos y músculos, insertados en los huesos pelvianos. Estas estructuras forman tres capas continuas, que se localizan desde craneal a caudal y están compuestas por la fascia endo-pélvica, el diafragma pélvico y el diafragma urogenital (1).

El prolapso de órganos pélvicos y la relajación del piso pélvico están íntimamente relacionados, siendo necesaria la valoración exhaustiva de ambos componentes por separado para valorar integralmente la debilidad del piso pélvico. Se define prolapso como el descenso anormal de las estructuras pélvicas a través del hiato urogenital (1). En las disfunciones de la relajación del piso pélvico, hay debilidad e ineficiencia de las estructuras de soporte del piso pélvico, generando un descenso y ensanchamiento excesivo del mismo, en el reposo y/o en las maniobras dinámicas, independientemente de la presencia de prolapso o no1.


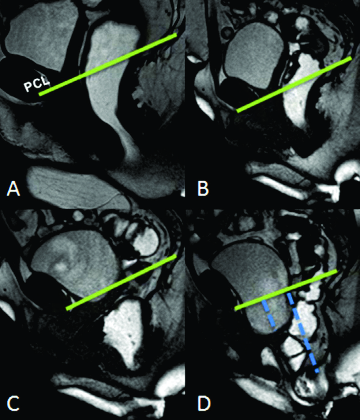
Figura 1
Evaluación anatómica. Líneas de referencia usadas para la valoración de la debilidad del piso pélvico. Imágenes potenciadas en T2 de alta resolución en el plano sagital a nivel de la línea media de una mujer durante el reposo. Recto distendido con gel ecográfico tibio. El útero no es bien visualizado dada su situación para mediana. A) PCL: Línea pubo-coccígea (línea continua). B) MLP: Línea media púbica (línea continua). Para evaluar el prolapso de los órganos pélvicos se trazan líneas perpendiculares desde los puntos de referencia anatómicos en los compartimentos anterior, medio y posterior hasta la línea PCL y/o MLP.


Figura 2
Líneas de referencia. Imagen de la línea media potenciada en T2 en el plano sagital, durante el reposo. Se trazaron la línea PCL (línea continua azul), línea H (línea punteada naranja) y línea M (línea punteada celeste). El músculo puborectal se topografía inmediatamente por detrás de la unión ano-rectal y el plano del elevador es paralelo a la línea PCL.


Figura 3
Ángulos de referencia. Medición del ángulo ano-rectal en una paciente sin patología del piso pélvico. Imagen de la línea media potenciada en T2 en el plano sagital. Durante el reposo el ángulo ano-rectal debe ser entre 108 y 127°. Durante la defecación el ángulo se vuelve más obtuso con una variación de hasta más 20° con respecto al reposo.

La valoración del piso pélvico se hace mediante la valoración morfológica, el sistema HMO y el ángulo ano rectal (Ver figuras 1, 2 y 3) (1)
La valoración morfológica se realiza con secuencias potenciadas en T2 de alta resolución, que permiten un estudio anatómico detallado de los órganos de la pelvis. El sistema HMO constituye un método estandarizado creado para caracterizar y documentar el prolapso y relajación del piso pélvico, que se basa en el trazado de tres líneas fundamentales.
La línea pubococcígea (PCL) se extiende desde el borde inferior del pubis a la última articulación coccígea y representa el nivel de piso pélvico, constituyendo la línea de referencia a partir de la cual se miden los prolapsos, tanto en reposo como en Valsalva.
La línea H se traza desde el borde inferior del pubis hasta la pared posterior del recto a la altura de la unión ano rectal, representando el diámetro anteroposterior del hiato urogenital, con un valor normal menor a 6 cm (Ver figuras 4).
La línea M es perpendicular a la PCL a nivel del sector más posterior de la línea H y representa el descenso del hiato del elevador, con un valor normal menor a 2 cm. El ángulo ano rectal es el ángulo entre el eje central del canal anal y la pared posterior del recto, con un valor normal entre 108º y 127º y una variación de hasta 15º en Valsalva.
Se describe una línea adicional llamada línea media púbica (MPL) que se traza caudalmente siguiendo el eje mayor de la sínfisis del pubis. Esta línea corresponde al nivel del himen vaginal, el cual es utilizado históricamente como punto de referencia para la valoración clínica. 12-13

La clasificación de las anomalías del suelo pélvico en compartimentos es artificial3, ya que la disfunción del piso pélvico como hemos señalado, suele ser generalizada. En el compartimento anterior se destaca el cistocele, el cual se diagnostica cuando la vejiga desciende más de 1 cm por debajo de la línea pubococcígea y la línea H y M son mayores de 5 y 2 cm respectivamente. La pared posterior de la vejiga desciende posterior e inferiormente deformando la pared anterior de la vagina y puede abombar en el introito vaginal.
En situaciones de hipermotilidad del cuello de la vejiga y de la uretra proximal, el prolapso vesical puede originar un “kinking” a nivel de la unión uretro-vesical con horizontalización de la uretra. Secundariamente se va a producir retención urinaria que en ocasiones enmascara una incontinencia de esfuerzo4.
A nivel del compartimento medio se destaca el prolapso vaginal y/o del cuello uterino, descenso de la cúpula vaginal (pacientes histerectomizadas) o del cérvix por debajo de la línea pubococcígea. El estudio en fase defecatoria aumenta la sensibilidad en su valoración ya que un recto lleno de heces puede limitar el descenso.
A nivel del compartimento posterior, el rectocele se define como la protrusión anormal de la pared anterior rectal sobre la pared posterior de la vagina que se asocia a hiperlaxitud de la fascia endo-pélvica. También pueden ser laterales o posteriores por debilidad del musculo pubo-rectal.
La debilidad del piso pélvico puede crear un cuarto compartimento a nivel del fondo de saco de Douglas, lugar donde puede producirse herniación de grasa mesentérica (peritoneocele), intestino delgado o colon sigmoides (sigmoidocele). (5-6).

Las anomalías halladas en cada compartimento deben ser categorizadas según su severidad, que está determinando por la distancia que adquiere el órgano evaluado hasta la PCL y MPL durante las maniobras dinámicas (Ver tabla 1, 2 y 3). Si bien ambos métodos pueden utilizarse, está más aceptada la utilización de la línea PCL.
Además se debe valorar la relajación del piso pélvico, a través del valor que adquiere tanto la línea H (apertura del hiato urogenital) como la línea M (descenso del piso pélvico) durante las maniobras dinámicas (Ver tabla 4) (7).
Toda esta información debe figurar detalladamente en el informe radiológico, para aportarle al cirujano tratante todas las herramientas necesarias para la correcta reparación del piso pélvico. La ausencia de equipos multidisciplinarios, así como la heterogeneidad en la forma de estudiar y abordar estos pacientes, genera diferencias sustanciales en cuanto a su enfoque diagnóstico y terapéutico. La RM surge como una modalidad nueva, que debe integrarse entre las diferentes especialidades que participan en este proceso. La ausencia de un reporte estructurado redunda en informes radiológicos dispares, con información no siempre completa, que generan un impacto negativo en la resolución quirúrgica de las disfunciones del piso pélvico (8).




OBJETIVO

Describir la experiencia del estudio dinámico del piso pélvico en el servicio de imagenología del Hospital de Clínicas (HC), en el período comprendido entre julio de 2015 a julio de 2017, con especial atención en los protocolos de adquisición y los hallazgos fundamentales.

Se hará énfasis en la implementación de un informe radiológico basado en el sistema HMO.

MATERIAL Y MÉTODOS

Se revisaron en forma retrospectiva los estudios de RM pélvica dinámica de 16 pacientes con síntomas y/o hallazgos físicos sugerentes de incontinencia urinaria o prolapso de los órganos pélvicos, en el servicio de imagenología del HC en el periodo julio de 2015 a julio de 2017.

Las edades estaban comprendidas entre los 36 y los 81 años, con una media de 61 años. Del total, 6 pacientes se encontraban en etapa pre-menopáusicas, 3 cursando la menopausia y 7 en etapa pos-menopáusicas.

Un radiólogo con tres años de experiencia analizó los estudios de imagen realizados en el servicio de imagenología del HC. Las imágenes se correlacionaron con los datos clínicos aportados. Los síntomas que motivaron la solicitud de RM dinámica de la pelvis incluían pesadez o dolor pélvico franco, incontinencia urinaria, incontinencia para gases y/o materias, dificultad en el inicio de la micción y/o dolor con las relaciones sexuales.

Se utilizó un equipo Siemens Avanto de 1,5 Teslas. A todos los pacientes, luego de firmado el consentimiento informado, se les instruyo en la realización de maniobras estáticas y dinámicas tras la administración intra-rectal de 200 cc de gel ecográfico tibio.
El protocolo utilizado (Tabla 5) consta de secuencias morfológicas FSE T1 axial, T2 de alta resolución en los tres planos, y secuencias dinámicas TRUE FISP en el plano sagital en la línea media, durante el reposo, contracción de la musculatura pélvica, maniobras de Valsalva y defecación.
La secuencia panorámica potenciada en T1 en el plano axial, permite una valoración anatómica global de los órganos de la pelvis, incluyendo la totalidad de la vejiga, ambos uréteres, el útero, la vagina, el recto y los huesos de la pelvis. La valoración morfológica del piso pélvico se logra con gran detalle a través de secuencias potenciadas en T2, de alta resolución, adquiridos en los tres planos del espacio.


El estudio dinámico incluye la adquisición de imágenes en reposo9, durante la contracción de la musculatura pélvica, maniobras de Valsalva y defecación. Se utilizan secuencias de estadio estacionario de precesión libre (del inglés “steady-states”) en el plano medio sagital (TRUE FISP para SIMENS, FIESTA para GE). Dicha secuencia, aporta imágenes de alta resolución anatómica, con altísima relación señal-ruido. Son poco sensibles a los movimientos dado que son de adquisición ultra rápida, si bien su señal surge de una relación T1/T2 predomina el contraste T2 y se pueden adquirir en modo cine. Aporta información acerca de la competencia del esfínter anal interno y externo, de la fuerza de la musculatura pélvica y de la función del músculo pubo-rectal, además de ser la secuencia sobre la que se aplica el sistema HMO.

La interpretación de los hallazgos comienza trazando la línea pubocoxígea (LPC) 1-2 desde el borde inferior de la sínfisis del pubis hasta la última articulación coxígea. Esta línea representa el nivel del suelo de la pelvis y es el punto de referencia para la medición del prolapso de órganos. La distancia desde la LPC al cuello de la vejiga, cuello uterino, y la unión ano-rectal, respectivamente, se debe medir en las imágenes que se obtienen cuando el paciente está en reposo y durante Valsalva máxima. También es importante valorar el ángulo ano-rectal (ángulo entre el borde posterior de la parte distal del recto, y el eje central del canal anal). En pacientes sanos, el ángulo ano-rectal se cierra durante la maniobra de contención, y la unión ano-rectal puede elevarse 1-2 cm de la posición de reposo. Durante el esfuerzo y la defecación, el ángulo ano-rectal se hace más obtuso, se abre el canal anal y el recto se acorta para la evacuación. Por último, el canal anal se cierra y la unión y el ángulo ano-rectal retornan a sus posiciones antes de la evacuación (2).


Los centros especializados en piso pélvico abordan estos pacientes con un enfoque multidisciplinario, con participación activa de urólogos, ginecólogos, cirujanos generales e imagenólogos. Estos centros utilizan informes radiológicos estructurados, que facilitan la interpretación de los hallazgos, disminuyendo la posibilidad de omitir información de capital importancia (10-11).

En conjunto con la cátedra de ginecotología del HC, se adaptó un reporte estructurado, de fácil realización, con información indispensable que debe figurar en un estudio dinámico por RM del piso pélvico (Ver reporte estructurado). Todo los informes deben incluir mediciones de la posición de los órganos pélvicos en relación a la línea PCL, tanto en reposo como durante la defecación; el valor de la línea H y M durante el reposo y la defecación; la presencia y severidad del prolapso, así como anormalidades funcionales y defectos morfológicos.


RESULTADOS

Se recibió en nuestro departamento un total de 16 solicitudes para realizar RM en mujeres con sospecha clínica de disfunción del piso pélvico. Las 16 pacientes fueron diagnosticados con prolapso de al menos un compartimento. Se obtuvieron imágenes dinámicas de RM de calidad diagnóstica en todos los pacientes.
El primer conjunto de imágenes fueron cortes sagitales volumétricos de izquierda a derecha, utilizados para localizar el plano medio-sagital a nivel de la sínfisis del pubis y para examinar la anatomía pélvica. El segundo conjunto de imágenes se obtuvo como cuatro ciclos de relajación y esfuerzo. El tiempo total de adquisición de la imagen fue de 2,5 minutos, y el tiempo de la sala fue de 10 minutos por estudio.
En las imágenes sagitales de RM el músculo iliococcígeo se observa en forma de cúpula en reposo. Durante las contracciones voluntarias del suelo pélvico, el músculo se hizo más convexo en dirección ascendente.
Durante la contracción, el piso pélvico se movió ventral y cranealmente simultáneamente con la base de la vejiga. Todos los estudios de RM mostraron patología. En los casos en los que se aportó un dato clínico, el estudio de RM la confirmó, y en algunos casos la RM añadió un diagnóstico alternativo (cistocele, prolapso uterino, enterocele).
Los diagnósticos realizados fueron los de cistocele e hipermotilidad de uretra en el compartimento anterior (Ver figuras 6 y 7), histerocele y prolapso vaginal en el compartimento medio (Ver figuras 5, 6, 11 y 13) y sigmoidocele, Douglascele, rectocele y anismo, en el compartimento posterior (Ver figuras 7, 8, 9, 10 y 14).
Aunque todas las mujeres fueron instruidas en realizar contracciones musculares del piso pélvico, una mujer utilizo principalmente músculos abdominales y glúteos durante la contracción voluntaria no pudiendo completar el estudio. El grado de prolapso en la mayoría de los casos fue leve, pero se detectó prolapso en los tres compartimentos (Ver figuras 11, 12 y 13).
Si bien el número de pacientes estudiados es bajo, se pudo evidenciar que los diagnósticos encontrados fueron acordes con los mencionados en la literatura.


Figura 4
Línea H y línea M.Imágenes potenciadas en T2 de alta resolución en el plano sagital. Se observa el cambio en el valor que adopta la línea M y la línea H al comparar el reposo frente a la defecación. Según sus medidas en centímetros, se puede graduar en cuatro estadios diferentes.


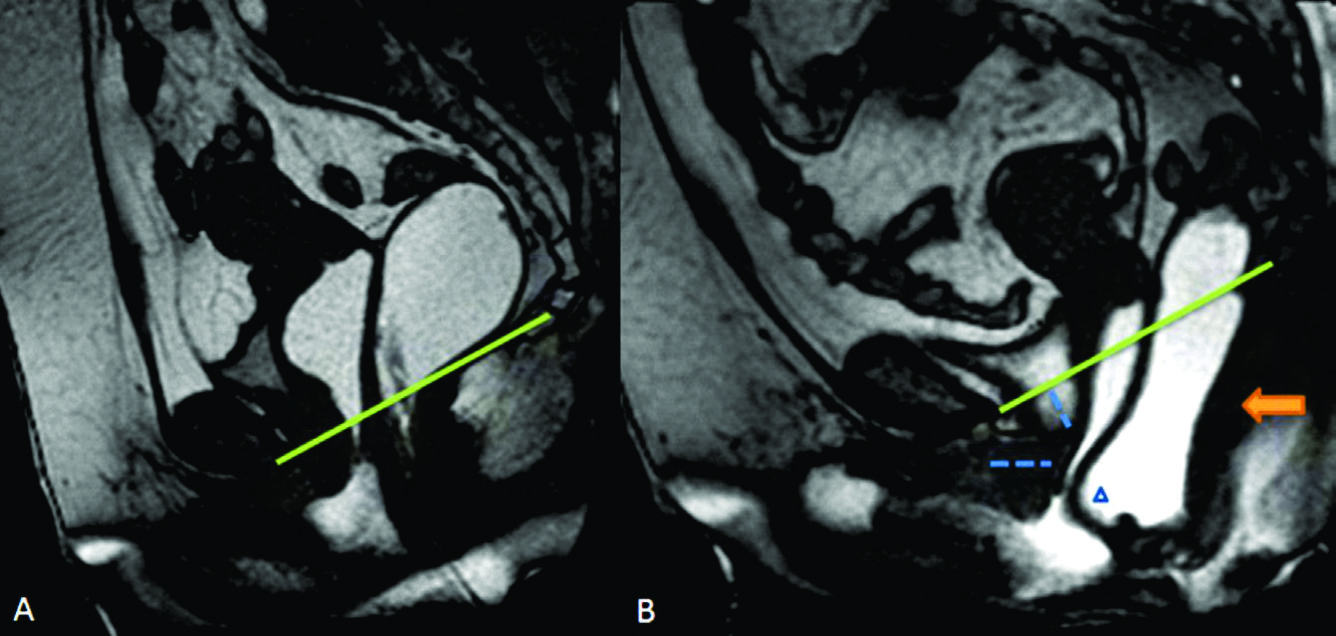
Figura 5
Uterocele.
Imágenes potenciadas en T2 de alta resolución en el plano A) sagital y B) coronal a nivel de la línea media de una mujer durante el reposo. Recto distendido con gel ecográfico tibio (estrella en A). Se observa prolapso de la cúpula vaginal (triangulo en A) y severo uterocele. Véase la herniación de grasa mesentérica (flecha azul en A) y la debilidad de las estructuras de soporte (flechas naranjas en B). Mioma uterino (flecha verde en B).


Figura 6
Cistocele,
pequeño rectocele anterior y prolapso de la cúpula vaginal. Imágenes TRUE FISP de alta resolución en el plano sagital a nivel de la línea media de una mujer durante A) el reposo y durante B) la defecación. Prolapso de la cúpula vaginal (triangulo en b) y rectocele anterior (estrella en B). Las líneas punteadas en verde miden la severidad de los prolapsos.


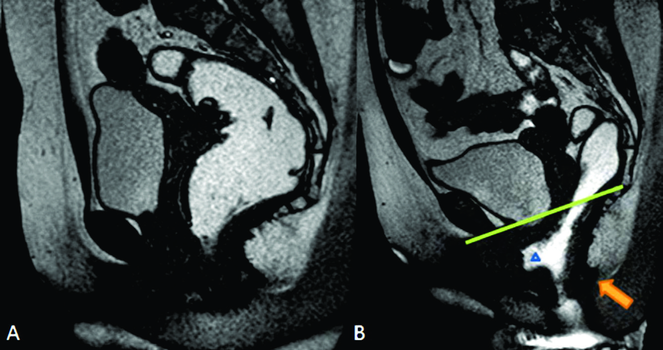
Figura 7
Rectocele anterior y cistocele.
Imágenes TRUE FISP de alta resolución en el plano sagital a nivel de la línea media de una mujer durante A) el reposo y durante B) la defecación. En B se observa angulación caudal del plano del elevador (flecha naranja), rectocele anterior (triangulo) y cistocele con hipermotilidad uretral (punteado azul en B).


Figura 8
Rectocele anterior.
Imágenes TRUE FISP de alta resolución en el plano sagital a nivel de la línea media de una mujer durante A) el reposo y durante B) la defecación. En B) se observa rectocele anterior (triangulo) y descenso del ángulo anorectal (flecha naranja).


Figura 9
Rectocele eversión
A) Imágenes potenciadas en T2 de alta resolución en el plano sagital a nivel de la línea media de una mujer durante el reposo.
B) TRUE FISP sagital durante maniobra de Valsalva.
C, D) TRUE FISP sagital durante defecación. El esfuerzo durante la defecación desciende el ángulo ano rectal y por lo tanto elonga la línea M y aumenta la línea H, que representa la apertura del hiato urogenital (B). Se evidencia cistocele (punteado verde en C), prolapso vaginal (estrella) y eversión del recto (flecha naranja).


Figura 10
Rectocele eversión
A) Imágenes potenciadas en T2 de alta resolución en el plano sagital a nivel de la línea media de una mujer durante el reposo.
B) TRUE FISP sagital durante maniobra de Valsalva.
C-D) TRUE FISP sagital durante defecación. Se evidencia cistocele, prolapso vaginal y eversión del recto. Las líneas punteadas azules cuantifican la severidad de los prolapsos.


Figura 11
Prolapso multicompartimental
A) Imágenes potenciadas en T2 de alta resolución en el plano sagital. En azul se muestra el eje de la uretra, el cual se encuentra rotado en el plano horizontal, generando hipermotilidad uretral.
B) TRUE FISP sagital durante maniobra de Valsalva. Se identifica cistocele, prolapso de la cúpula vaginal y rectocele anterior.


Figura 12
Prolapso multicompartimental
TRUE FISP de alta resolución en el plano sagital durante Valsalva. Existe prolapso de los tres compartimentos. En azul se muestra el eje de la uretra, el cual se encuentra rotado en el plano horizontal, generando hipermotilidad ureteral.


Figura 13
Prolapso multicompartimental
A) Imágenes potenciadas en T2 de alta resolución en el plano sagital. B) TRUE FISP sagital durante defecación. Se identifica cistocele, prolapso de la cúpula vaginal, prolapso uterino y rectocele anterior tanto en el reposo como durante las maniobras dinámicas. Véase herniación de grasa mesentérica (azul en B).


Figura 14
Cistocele y rectocele anterior
A) Imágenes potenciadas en T2 de alta resolución en el plano sagital. B) TRUE FISP sagital durante defecación. Se identifica cistocele y rectocele anterior tanto en el reposo como durante las maniobras dinámicas. Cistocele (punteado) y rectocele anterior (flecha).

DISCUSIÓN

La disfunción del piso pélvico es una de las principales causas de morbilidad en mujeres mayores de 50 años2. Si bien el cuadro clínico y el examen físico en general son suficientes para una correcta valoración de muchas de estas patologías, existen algunas limitantes que impiden un correcto diagnóstico y requieren la utilización de métodos por imagen.
Algunas de estas limitantes pueden ser las diferencias en la accesibilidad de los compartimientos durante la exploración física. La dificultad en el diagnostico aumentan cuando existen múltiples prolapsos. En dichas situaciones es cuando los métodos imagenológicos son útiles para confirmar la sospecha clínica, precisar que órgano esta prolapsado y detectan anomalías no sospechadas.
Uno de los métodos más difundidos es la videodefecografia, si bien se ha utilizado con éxito en muchos prolapsos, presenta ciertas limitaciones como la dificultad en visualizar reperes óseos, solo es posible visualizar los sectores opacificados de los órganos y no las paredes de los mismos. Tampoco brinda información de las estructuras anatómicas del sistema de sostén del piso pélvico.
La ausencia de radiaciones ionizantes, su capacidad multiplanar, su alta resolución de contraste y la capacidad de realizar estudios dinámicos, posicionan a la RM como un estudio complementario de alto valor diagnóstico3. Permite una correcta valoración de la disfunción del piso pélvico, especialmente cuando hay más de un compartimento afectado, dado que permite la visualización simultánea de los compartimento anterior (vejiga y uretra), del compartimento medio (útero y vagina) y del compartimento posterior (recto y ano).
Dentro de las secuencias utilizadas todas tienen gran importancia ya que aportan datos funcionales como estructurales, las secuencias potenciadas en TRUFISP permiten el análisis de la dinámica del piso pélvico y así permitir visualizar la existencia o no de prolapso. En cuanto a las secuencias estáticas como el T2 de alta resolución nos aporta información morfológicos para poder diagnosticar patología relacionada con el piso pélvico1.
No obstante la RM presenta limitaciones entre las que se encuentra su realización en decúbito dorsal, diferente de la posición habitual en el cual se manifiestan los prolapsos, si bien existen algunas publicaciones que demuestran que no existen diferencias clínicamente relevantes en la información brindada en ambos estudios.
Otra de las limitantes es la de obtener las secuencias dinámicas solo en el plano medio sagital, justificada por el hecho de que las alteraciones que pueden ser subdiagnosticadas como el rectocele lateral.
En cuanto a la utilización de un informe estructura en comparación con una redacción libre del informe, tiene como ventaja optimizar el conocimiento y capacidad de identificar patologías, permite además claridad y asertividad, pero sobre todo reduce la omisión de información relevante para la toma de decisiones clínicas.

CONCLUSIÓN

La afectación del piso pélvico representa una patología de alta frecuencia, aumentando su prevalencia con la edad. Su alto porcentaje de recidivas y la afectación multicompartimental, dificultan la valoración clínica y la resolución quirúrgica. La RM ofrece un método diagnóstico de fácil realización, fiable, de alta reproducibilidad, que provee información objetiva a los clínicos en un solo estudio. Visualiza de manera simultánea los tres compartimentos de la pelvis, especialmente importante cuando existe afectación multicompartimental. Permite el estudio morfológico preciso de fascias, ligamentos y músculos, aportando secuencias dinámicas para la valoración funcional de estos desórdenes. El sistema HMO constituye una herramienta que permite interpretar, comunicar y categorizar los hallazgos patológicos para la realización de un informe radiológico estandarizado. La realización de estos estudios nos permitió obtener experiencia en la patología del piso pélvico femenino, aportando a una mejor comprensión de la patología, colaborando con el equipo tratante. A su vez se estandarizaron los protocolos a utilizar en la pelvis, implementando el informe radiológico estandarizado basado en el sistema HMO.

Conflicto de intereses

Los autores declaran no tener ningún conflicto de intereses.

BIBLIOGRAFIA

  • Bitti GT, Argiolas GM, Ballicu N, et al. Pelvic floor failure: MR imaging evaluation of anatomic and functional abnormalities. RadioGraphics 2014; 34 (2):429–448

  • Stoker J, Halligan S, Bartram CI. Pelvic floor imaging. Radiology 2001; 218(3):621–641

  • Mouritsen L. Classification and evaluation of prolapse. Best Pract Res Clin Obstet Gynaecol 2005; 19:895–911.

  • Fielding JR. Practical MR imaging of female pelvic floor weakness. RadioGraphics 2002; 22:295–304.Maubon A, Aubard Y, Berkane V, Camezind-Vidal

  • MA, Mares P, Rouanet JP. Magnetic resonance imaging of the pelvic floor. Abdom Imaging 2003; 28: 217–225.

  • Comiter CV, Vasavada SP, Barbaric ZL, Gousse AE, Raz S. Grading pelvic floor prolapse and pelvic floor relaxation using dynamic magnetic resonance imaging. Urology 1999; 54: 454–457.

  • Fielding JR. MR imaging of pelvic floor relaxation. Radiol Clin North Am 2003; 41: 747–756.

  • Maubon A, Martel-Boncoeur MP, Juhan V, et al. Static and dynamic magnetic resonance imaging of the pelvic floor [in French]. J Radiol 2000; 81(12 suppl):1875–1886.

  • Walker GJ, Gunasekera P. Pelvic organ prolapse and incontinence in developing countries: review of prevalence and risk factors. Int Urogynecol J 2011; 22(2):127–135.

  • Law YM, Fielding J R. MRI of pelvic floor dysfunction: review. AJR Am J Roentgenol 2008; 191(6 suppl):S45–S53.

  • Pannu HK, Kaufman HS, Cundiff GW, Genadry R, Bluemke DA, Fishman EK. Dynamic MR imaging of pelvic organ prolapse: spectrum of abnormalities. RadioGraphics 2000; 20(6):1567–1582

  • Fielding JR. Practical MR imaging of female pelvic floor weakness. RadioGraphics 2002; 22(2): 295–304.

  • Broekhuis SR, Fütterer JJ, Barentsz JO, Vierhout ME, Kluivers KB. A systematic review of clinical studies on dynamic magnetic resonance imaging of pelvic organ prolapse: the use of reference lines and anatomical landmarks. Int Urogynecol J Pelvic Floor Dysfunct 2009; 20(6):721–729.


* Ex asistente del Departamento de Imagenología, Hospital de Clínicas

** Residente tercer año Departamento de Imagenología del Hospital de Clínicas

* Prof. Agdo. Departamento clínico de Ginecotocología Hospital de Clínicas.

Volver al principio