RESONANCIA MAGNÉTICA FETAL
Aportes al diagnóstico de las malformaciones del sistema nervioso

ESPACIO DE NEURORRADIOLOGÍA

Dr. Nicolás Sgarbi *
Dra. Verónica Etchegoimberry

RESUMEN

Las malformaciones del sistema nervioso son relativamente frecuentes e impactan de forma significativa en la morbi-mortalidad postnatal.
Su diagnóstico pre-natal se basa en una técnica validada desde hace varias décadas como es la ecografía cuyo rendimiento general es excelente.
En los últimos años se ha producido un cambio sustancial en el paradigma diagnóstico de las malformaciones no sólo por las implicancias que esto tiene en decidir la continuidad del embarazo, sino además por el desarrollo de técnicas de cirugía intrauterina.
En esta revisión analizaremos los principales aspectos técnicos de la resonancia magnética fetal y sus aportes al diagnóstico de las malformaciones más frecuentes del sistema nervioso.

Palabras clave: resonancia magnética fetal, malformaciones del sistema nervioso, neurosonografía.

ABSTRACT

Central Nervous System malformations are relatively frequent and have a negative impact in postnatal morbidity and mortality. Prenatal diagnosis is based on the obstetric ultrasound, which has been validated throughout the years with an excellent performance.
In the last years, there has been a substantial change in the prenatal diagnosis, not only for deciding the termination of pregnancy, but also to assess in the opportunity of intrauterine surgery.
In this revision we will analyze the most important technical aspects and indications of Fetal MRI, and its importance in the prenatal diagnosis of Central Nervous System Malformations.

Key Words: Fetal MRI, Central Nervous System Malformations, neurosonography.

INTRODUCCIÓN

El estudio de la anatomía fetal es una rutina establecida en el control del embarazo. La ultrasonografía (US) es el método diagnóstico de referencia con un rendimiento global excelente para la valoración anatómica completa del feto en las distintas etapas del desarrollo. Su sensibilidad para detectar malformaciones, incluso en etapas precoces, es muy alta y este principio está claramente establecido en las alteraciones del desarrollo del sistema nervioso.
En los últimos años el advenimiento de nuevas tecnologías ha permitido avanzar en el estudio de la anatomía fetal siendo la resonancia magnética (RM) una modalidad que se utiliza cada vez con más frecuencia.
Así algunos autores señalan que la RM puede detectar anomalías no diagnosticadas por US en cerca de un 20% de los pacientes (1).
Al mismo tiempo los cambios en la legislación y las políticas sanitarias que permiten la interrupción voluntaria del embarazo han impactado en el manejo de las malformaciones y su diagnóstico.
Es así que la resonancia magnética fetal (RMf) se ha convertido en una técnica complementaria del US en el estudio del sistema nervioso (SN).
Es objetivo de esta revisión analizar los aportes de la RMf al estudio del sistema nervioso del feto y sus malformaciones más frecuentes, así como también destacar los principios generales de la técnica, sus alcances y limitaciones.

ASPECTOS TÉCNICOS

La RMf ha tenido un importante desarrollo en los últimos años debido a un cambio en el paradigma de estudio de las malformaciones congénitas. Este cambio se ha debido fundamentalmente por avances en el tratamiento de alguna de ellas (cirugía correctiva fetal intrauterina), necesidad de diagnóstico en vistas a consejo genético y planificación del embarazo, así como en modificaciones en la legislación relacionada con la interrupción del mismo.
Es así que el uso de esta modalidad de imagen, en conjunto con el US y sus distintas modalidades, ha modificado el encare diagnóstico de las malformaciones. Por ello es fundamental destacar como primer concepto que la RMf siempre debe ser realizada luego de contar con un estudio ecográfico dirigido y realizado en manos experimentadas en la valoración de la anatomía fetal (2). Hay múltiples factores que deben ser tenidos en cuenta a la hora de indicar y realizar una RMf.
La primera recomendación general es que el estudio debe ser dirigido a la región anatómica u órgano que presenta alteraciones en US, de forma tal que se logre obtener el mejor rendimiento de la técnica.
Luego se deben considerar factores relacionados al binomio materno-fetal.
Para obtener imágenes de calidad es necesario realizar distintas adquisiciones en momentos en los que el feto este inmóvil.

La sedación no está recomendada y por lo tanto se realiza la indicación de ayuno materno, no menos de 4 a 6 horas, buscando de esta forma limitar al máximo posible la motilidad fetal.
Debe informarse de forma precisa y detallada a la madre acerca de los tiempos de duración del estudio así como también de la posición que deberá mantener y de los movimientos respiratorios que realizará.
Puede posicionarse a la paciente en decúbito dorsal o incluso en decúbito lateral buscando la mayor comodidad y colaboración durante el estudio.
Habitualmente la RMf se realiza en equipos de 1.5T aunque en los últimos años algunos centros han analizado los aportes de magnetos de 3T (1), sabiendo que no está aún recomendado su uso de rutina (3).
Si bien la resolución de las imágenes puede ser mayor, los artificios por movimiento también lo son y por ello la técnica debe ser optimizada y más rigurosa en campos magnéticos altos.
Se utilizarán bobinas de superficie, de cuerpo, con la mayor cantidad de canales de recepción posible, de forma tal de poder obtener imágenes de alta resolución con el menor tiempo de adquisición.
Un punto de gran importancia es el momento del embarazo en el cuál se realiza.
La mayor parte de los centros recomiendan realizar la RMf luego de la semana 19-20 dado que antes las estructuras son muy pequeñas, y algunas de ellas como el cuerpo calloso, no están desarrolladas lo que dificulta la interpretación.

Es fundamental contar con un estudio ecográfico previo, reciente, no sólo para realizar una evaluación dirigida a la malformación en estudio sino también para tener una orientación sobre la posición fetal, sobre todo del eje cráneo raquídeo, cuando se realiza en el tercer trimestre. Se comienza con imágenes de localización en los 3 planos de forma tal de poder tener una visión general de la posición y anatomía fetal.
Luego se comienza la planificación del estudio siendo necesario obtener imágenes del cráneo en los 3 planos del espacio, potenciadas en T2, de rápida adquisición (4). Del raquis se obtienen imágenes en el plano sagital y los axiales o coronales se pueden utilizar si se consideran necesarios o complementarios.
Deben utilizarse secuencias de disparo único como las Single Shot Fast Spin Echo (SSFSE) o Half Fourier Acquisition Turbo Spin Echo (HASTE).
Debe adecuarse el espesor de corte al tamaño fetal, no mayor a 3mm, así como también elegir el campo de visión (FOV) adecuado para obtener imágenes específicas de la región de interés.
En casos particulares pueden utilizarse en el protocolo de estudio otras secuencias como por ejemplo potenciadas en T1 para análisis de tejido graso, secuencias de susceptibilidad (GRE T2*/SWI) para evaluación de hemorragias, y secuencia de difusión (DWI) para estudio de isquemia, aunque una limitante para obtener imágenes adecuadas son sus tiempos de adquisición más prolongados. Es importante tener en cuenta algunos parámetros de seguridad.
La FDA establece límites claros en la tasa de absorción de radio-frecuencia (SAR) aunque no se conocen con claridad cuáles son sus posibles efectos sobre el binomio materno fetal (1).
Todos los pacientes deben ser informados de forma clara sobre la modalidad de RMf, sus beneficios, alcances y limitaciones.

CARACTERÍSTICAS NORMALES DEL CEREBRO FETAL

Para poder llevar adelante una correcta interpretación y análisis de la RMf es fundamental conocer el aspecto habitual del cerebro durante el desarrollo.
Al analizar el cerebro fetal hay 3 componentes básicos que permiten establecer incluso la etapa del desarrollo con bastante precisión: el parénquima cerebral, la matriz germinal y el patrón de gyrus y surcos (1).
La sustancia blanca cerebral presenta alta señal en T2 durante el desarrollo lo que está determinado por el alto contenido de agua y escasa mielinización.
El manto cerebral o parénquima tiene una disposición en múltiples capas lo que puede observarse de forma adecuada entre la semana 28 a 30 del desarrollo.
La matriz germinal es una capa de células que originará las neuronas y que se sitúa en las paredes del sistema ventricular. Su señal es baja en T2 debido a la alta densidad celular.

Durante el segundo trimestre las células de esta capa migrarán hacia la superficie para formar la corteza cerebral y así en el tercer trimestre del embarazo sólo persisten pequeños focos de matriz germinal en relación con las astas temporales y occipitales de los ventrículos laterales.
El patrón de gyrus y surcos corticales se va modificando con el desarrollo pasando de un cerebro relativamente agírico hasta cerca de la semana 20 a un patrón más complejo en el tercer trimestre. El conocimiento de la secuencia con que aparecen los principales surcos permite evaluar la cronología del desarrollo del cerebro fetal. Tabla 1 Así encontraremos que la cisura inter-hemisférica está presente antes de la semana 20, el surco pericalloso aparece entorno a la semana 22, la cisura calcarina aparece entre la semana 20 a 22, el surco central es detectable en la semana 26, y el surco post-central poco antes de la semana 30, en torno a la 28. Figura 1 Otro punto de evaluación importante es la morfología y dimensiones de los ventrículos laterales ya que sus alteraciones son de las más comúnmente evaluadas como luego veremos.
Se debe evaluar el septum pellucidum el cuál debe estar presente en la semana 18, siendo anormal su ausencia luego de esta semana.
Las estructuras de la fosa posterior también deben evaluarse.
El vermis cerebeloso, estructura mediana, debe estar presente entre la semana 18 a 21 formando parte del IV ventrículo (5). Figura 2



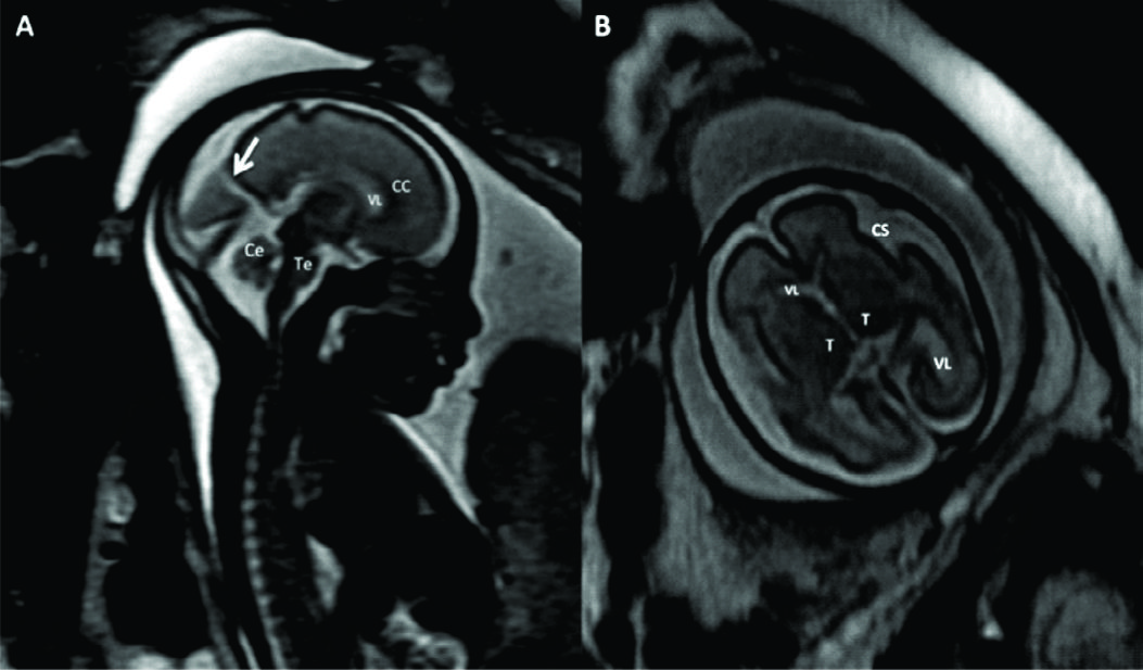
Figura 1
RM Fetal Normal (Edad Gestacional: 27 semanas).
Corte sagital en línea media (A) y corte axial a nivel bi-talámico (B) de cerebro fetal normal en la semana 27 (secuencia rápida T2). En la imagen de línea media se identifica claramente el cuerpo calloso (CC) y la cisura calcarina (è) así como también las estructuras de la fosa posterior con un desarrollo acorde.
En el plano axial se identifica la línea media y la región ganglio-basal con anatomía normal y un patrón gírico acorde a la edad gestacional con un esbozo de cisura silviana (CS).
Los diferentes sectores del sistema ventricular se identifican claramente: ventrículos laterales (VL), 3er ventrículo (situado entre ambos tálamos (T)) y IV ventrículo (situado entre el cerebelo (Ce) y tronco encefálico (Te)).


Figura 2
RM Fetal Normal (Edad Gestacional: 32 semanas).
Imágenes multi-planares de cerebro fetal normal con 32 semanas de edad gestacional donde el patrón gírico cortical ya se asemeja al del recién nacido. En el corte sagital de línea media (A) se identifica la cisura calcarina (CCal) y el surco pericalloso (SPC) rodeando a la comisura homónima (CC).
También se evalúa de forma precisa el tronco encefálico (Te) y cerebelo (Ce).
En el corte coronal (B) se evalúa de forma precisa el cerebelo (Ce) con sus 2 hemisferios y el vermis inferior (Vi).
En la imagen axial a nivel de fosa posterior (C) se evalúan las estructuras de fosa posterior, junto con el vermis (V) y el IV ventrículo en su localización habitual (è).
También se visualiza claramente la porción proximal de la cisura de Sylvio (CS).
Finalmente en el corte axial supra-tentorial (D) se visualiza claramente el patrón gírico bien desarrollado así como la región gangliobasal y el tálamo (T) así como el cavum septum pellucidum (CSL) habitual en el desarrollo.

PRINCIPALES INDICACIONES O SITUACIONES CLÍNICAS

Diferentes situaciones o indicaciones pueden determinar la realización de una RMf para análisis del SN. En algunos centros cerca del 80% del total de estudios fetales son indicados para analizar una probable malformación encefálica.
A pesar de su excelente rendimiento global, algunos autores han reportado una discordancia entre los hallazgos prenatales y una RM postnatal cercana al 10% (6).

Ventriculomegalia. Varios autores señalan que la indicación de RMf por aumento del tamaño de los ventrículos laterales (ventriculomegalia, VM) es la más frecuente (40 a 50% del total de estudios realizados). En la breve experiencia personal de uno de los autores, esta indicación representa el 60% del total de RMf realizadas en una Institución de Asistencia Médica Colectiva de nuestro medio.
Se define VM como un diámetro ventricular mayor a 10mm medido a nivel del atrio en una imagen axial obtenida a nivel de ambos tálamos, aunque existen diferentes sistemas para su diagnóstico y clasificación (7,8). Figura 3 El punto más importante es diferenciar pacientes con VM aislada o asociada a otras anomalías o malformaciones, lo cuál puede verse en un 20 a 50% del total de los pacientes según las series (9). A mayor severidad de la VM se ha señalado un riesgo mayor de asociación de otras malformaciones.

Las anomalías que más frecuentemente se asocian son las del cuerpo calloso (CC) que luego revisaremos. Es importante diferenciar casos de VM de aquellos fetos que presentan hidrocefalia (HCF) debido a sus implicancias terapéuticas y su impacto en el pronóstico.
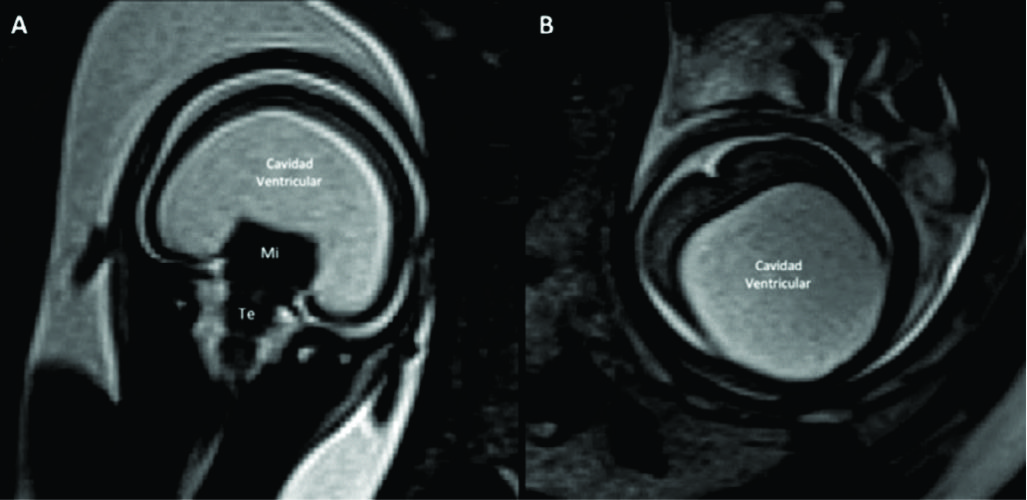
Una de las causas más frecuentes de HCF diagnosticadas intra-útero es la estenosis del acueducto de Sylvio la cuál produce una significativa dilatación de los ventrículos laterales y que es pasible de tratamiento para mejorar su pronóstico. Figura 4
En el caso de HCF es fundamental diferenciarla, en casos extremos, de una hidranencefalia, proceso vascular destructivo, y del malformaciones del desarrollo del grupo de las prosencefalias, entidades con pronóstico muy diferente. Figura 5


Figura 3
RM Fetal con Ventriculomegalia (Edad Gestacional: 28 semanas).
Imágenes seleccionadas de RMf en paciente referido por estudio ecográfico que muestra aumento del tamaño del sistema ventricular.
En A imagen en línea media donde se reconocen las estructuras normales: cuerpo calloso (CC), tronco encefálico (Te) y cerebelo (Ce) con su aspecto habitual.
En B el corte axial a nivel de los atrios ventriculares donde se evalúa el tamaño ventricular (16mm del lado izquierdo) y se reconocen la cisura inter-hemisférica completamente formada (CIE) y la cisura de Sylvio en la convexidad (CS).
En C y D cortes coronales que complementan la valoración anatómica. Luego del análisis preciso de todo el estudio no se encontraron otras anomalías asociadas.


;

Figura 4
RM Fetal Hidrocefalia por Estenosis del acueducto.
Se presentan 2 casos de fetos con hidrocefalia (HCF) por estenosis del acueducto. El primer caso se presenta con HCF leve/moderada (A sagital y B axial) donde puede observarse la dilatación ventricular supra-tentorial con IV ventrículo normal lo que orienta al diagnóstico de estenosis del acueducto.
En C se muestra imagen sagital del 2º caso con HCF severa y ausencia de señal en el acueducto de Sylvio lo que orienta al diagnóstico (è). AV: Atrio ventricular
CC: cuerpo calloso
Te: Tronco encefálico
Ce: Cerebelo


Figura 5
RM Fetal Hidranencefalia.
RMf a las 29 semanas de edad gestacional en paciente referido para confirmación de hidranencefalia, diagnóstico diferencial de HCF extrema. En A imagen sagital donde se observa la dilatación del sistema ventricular con estructuras de la fosa posterior de anatomía normal al igual que el IV ventrículo.
En B imagen coronal donde se observa la severa dilatación de los ventrículos laterales y se observan ambos tálamos (T) de aspecto normal con 3er ventrículo entre ellos.
En los cortes axiales (C y D) se observan los elementos ya destacados y además se corrobora otra estructura de línea media como la hoz cerebral (HC) y la presencia de escaso manto cerebral a nivel occipital (MC). Esto permite diferenciar esta entidad de las prosencefalias. Te: Tronco encefálico Ce: Cerebelo


Figura 6
RM Fetal Agenesia del Cuerpo Calloso.
Estudio realizado a las 27 semanas de edad gestacional con diagnóstico de agenesia del CC. En imagen sagital (A) no se observa el CC ni la cisura pericallosa. Los gyrus de la cara mesial toman un aspecto radiado como suele observarse en esta entidad. Los ventrículos laterales (è) toman un aspecto colpocefálico de dirección ántero posterior como se ve en el corte axial (B).
Las estructuras de la fosa posterior son normales. Te: Tronco encefálico Ce: Cerebelo

Alteraciones de la línea media. Las alteraciones de la línea media abarcan un conjunto de malformaciones de diferente complejidad y pronóstico. Tabla 2 La RMf tiene elevada sensibilidad para diagnosticar anomalías de las estructuras de la línea media, sobretodo del CC (10).
La disgenesia del CC es una de las alteraciones del desarrollo más frecuentes, con una incidencia global de casi 2 casos cada 10000 nacidos vivos.
En la mayoría de los pacientes se asocia con otras malformaciones, y su pronóstico es muy variable e incierto, dependiendo de múltiples factores asociados. El CC es la comisura cerebral más importante y toma su aspecto habitual a las 20 semanas de gestación cuando se forma su sector anterior.
Existen signos directos o indirectos que pueden traducir una alteración en su desarrollo (1).
Dentro de estos signos encontramos: alteraciones en la presencia del cavum septum pellucidum, VM y disposición colpocefálica de los VL, ausencia del surco peri-calloso, lipomas de línea media, entre otros (11). Figura 6
Dentro de las alteraciones del desarrollo más comúnmente asociadas a la disgenesia del CC están las malformaciones del desarrollo cortical que comentaremos más adelante.
También puede encontrarse disgenesia del CC asociada a quistes de línea media y malformaciones de la fosa posterior o incluso alteraciones fuera del SN.


Es importante valorar otro grupo de malformaciones de las estructuras de línea media, más grave, como son las prosencefalias (12).
Estas malformaciones están asociadas con un pronóstico funcional reservado y en un porcentaje no despreciable asocian malformaciones faciales, sobre todo las formas más severas.
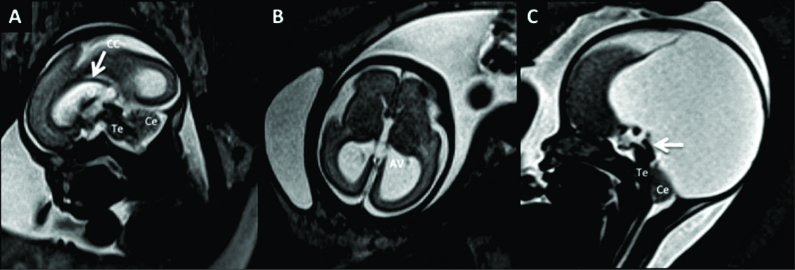
Una situación particular es la diferenciación entre extremos de estas alteraciones, como la holoprosencefalia alobar, de la hidranencefalia o de la HCF extrema, situación en la cuál la RMf puede aportar elementos importantes que marcan la conducta y el pronóstico como ya mencionamos. La holoprosencefalia alobar se caracteriza por la ausencia de desarrollo normal de las estructuras de línea media (por ejemplo la hoz cerebral), con una cavidad ventricular única sin septum pellucidum y rodeada de un manto cerebral de espesor variable. En el centro se observa la fusión de ambos tálamos que se denomina masa intermedia. Figura 7
En el caso de la hidranencefalia se produce una destrucción de extensión variable del parénquima encefálico lo que determina una desaparición del manto cerebral que rodea a ambos ventrículos desarrollados de forma independiente y con estructuras de línea media presentes. Figura 5

Finalmente como mencionamos previamente en la HCF extrema existe una severa dilatación de los VL que conservan en parte su morfología, están rodeados de un manto cerebral bien desarrollado pero adelgazado por el efecto de masa centrífugo que ejerce la presión ventricular, con estructuras de línea media bien desarrolladas. Malformaciones del Desarrollo Cortical. Las malformaciones del desarrollo cortical (MDC) abarcan un amplio espectro de entidades cuyo diagnóstico no es sencillo incluso luego del nacimiento (13). Su pronóstico es muy variable y de allí la importancia de un diagnóstico preciso y precoz.
Se incluye en este grupo alteraciones del patrón gírico habitual como la polimicrogiria o la paquigiria, situaciones extremas como la lisencefalia y sus distintas presentaciones, heterotopías de sustancia gris y la esquizencefalia entre otras.

La polimicrogiria y la paquigira son trastornos del desarrollo cortical que se producen en la etapa de migración y organización. Esto resulta en la presencia de un patrón gírico cortical no habitual, con múltiples y pequeños gyrus, o de menor número y mayor grosor respectivamente.
En cambio la lisencefalia se produce por una detención del fenómeno de migración lo que lleva a una corteza cerebral gruesa y una superficie cerebral lisa.
La heterotopía de sustancia gris como su nombre lo indica es un clásico trastorno de la migración que resulta en la presencia de focos de sustancia gris, únicos o múltiples, en localización anómalas. Así pueden encontrarse focos periventriculares, profundos, otros situados en la sustancia blanca interpuesta entre los VL, y la corteza o incluso más superficiales, subcorticales.
Por último la esquizencefalia es una hendidura que vincula la superficie cortical con los VL, de extensión y profundidad variable, con sustancia gris ectópica en sus bordes, que pueden ser uni o bilaterales. Figura 8
Estas alteraciones pueden encontrarse formando parte de síndromes genéticos más complejos, mientras que en otros casos pueden estar relacionadas a procesos infecciosos que se dan durante la gestación como la infección por citomegalovirus.
Es muy importante en este grupo de alteraciones elegir el momento ideal de evaluación de la corteza cerebral.
Varios autores proponen el período comprendido entre las 28 a las 32 semanas del embarazo como el ideal para valorar estas alteraciones.


Figura 7
RM Fetal Holoprosencefalia.
RMf a las 28 semanas referido por estudio ecográfico para confirmación de holoprosencefalia. En el plano coronal (A) se identifica la cavidad ventricular única con manto cerebral periférico adelgazado y la característica masa intermedia (MI) por la ausencia de división de ambos tálamos.
En el plano axial (B) los hallazgos son similares con ausencia de estructuras de la línea media como cisura inter-hemisférica u hoz cerebral. Te: Tronco encefálico


Figura 8
RM Fetal Esquizencefalia bilateral.
Estudio de RM realizado en la semana 29 con diagnóstico ecográfico de esquizencefalia bilateral. En el corte axial (A) y coronal (B) se reconocen las clásicas hendiduras que vinculan el sistema ventricular con el espacio sub-aracnoideo de la convexidad en ambos hemisferios.
Las estructuras de línea media son normales así como también el tronco encefálico (Te) y el resto de las estructuras intra-craneanas.

Alteraciones de la Fosa Posterior. Las alteraciones del desarrollo que comprometen estructuras de la fosa posterior son de relativa frecuencia y su diagnóstico no es tan sencillo.
En los últimos años y teniendo en cuenta la mejor comprensión de los mecanismos de producción de estas malformaciones se ha modificado sustancialmente su clasificación.
Así actualmente se dividen a este amplio grupo de malformaciones en: malformaciones predominantemente cerebelosas, cerebelosas y de tronco encefálico, las que afectan fundamentalmente el tronco encefálico, y las del mesencéfalo (14).
Dentro de las que comprometen el fundamentalmente el cerebelo encontramos aquellas que afectan al vermis que incluyen las previamente definidas como malformaciones Dandy-Walker, la hipoplasia vermiana y la romboencefalosinapsis. La RMf permite evaluar con precisión el vermis cerebeloso y la cisterna magna en busca de malformaciones Dandy- Walker; visualiza la tórcula y el tentorio así como también la morfología del cerebelo y del IV ventrículo (14-16).
Las malformaciones Dandy-Walker consisten en agenesia de grado variable del vermis cerebeloso con dilatación del IV ventrículo y quiste retro-cerebeloso.
Su pronóstico es muy variable y depende de múltiples factores sobre todo de la asociación con malformaciones supra-tentoriales que pueden verse en hasta un 70% de los casos (5). Figura 9
También por RMf puede valorarse la presencia y localización de las amígdalas cerebelosas y así poder evaluar la presencia de malformaciones del grupo Chiari.
La de mayor importancia pronostica y terapéutica es la malformación de Chiari II, que además de presentar una fosa posterior pequeña, puede asociar malformaciones supra-tentoriales (sobre todo disgenesias del CC e HCF) así como trastornos del cierre del tubo neural (disrrafias espinales). Figura 10
Es fundamental valorar no sólo el cráneo y su contenido sino además el raquis distal a la búsqueda de disrrafias como el mielomeningocele u otras variedades (17).
A diferencia del cerebelo, es más compleja la visualización y análisis preciso del tronco encefálico, por lo que sus alteraciones son de diagnóstico prenatal complejo por RMf, si bien su aporte es superior al de la ecografía.

Otras indicaciones. Si bien los aportes de la RMf se han establecido claramente en las malformaciones , las indicaciones son variadas y sus aportes diferentes en otras situaciones patológicas.
Es utilizada con frecuencia en situaciones extremas, graves, de sufrimiento fetal, como pueden verse en el daño vascular con destrucción del parénquima encefálico, así como también en casos de hemorragias que pueden producirse durante el desarrollo. Figura 11
También puede tener aportes en situaciones donde se evidencian malformaciones vasculares, como las malformaciones de la Vena de Galeno, así como también frente al hallazgo de lesiones ocupantes de espacio cuya naturaleza no puede establecerse claramente por el estudio ecográfico. Es también indicada en malformaciones cráneo faciales y cervicales que en un número importante de casos se asocian con malformaciones encefálicas.
En los últimos años se ha señalado el interés de utilizar la RMf como herramienta de tamizaje en pacientes con antecedentes previos de malformaciones lo que puede orientar frente a la necesidad de consejo genético y/o de planificación. Algunas características del biotipo de la madre pueden llevarnos a la necesidad de realizar una RMf. Es el caso de madres con obesidad y alto índice de masa corporal, en las cuáles la imagen ecográfica se deteriora notablemente y puede ser un indicación válida de RMf para una mejor valoración anatómica.
Si bien en esta última la calidad de la imagen también se va a ver deteriorada, la información brindada generalmente es de mejor calidad.
Otra indicación de la RMf es la presencia de oligo-hidramnios que también deteriora la calidad de la imagen ecográfica, no así la de RMf, por lo que constituye una indicación formal al momento de requerir mayor resolución anatómica frente a dudas diagnósticas.


Figura 9
RM Fetal en Malformación de Fosa Posterior.
Se presentan 2 casos con diagnóstico de Dandy-Walker, ambos con malformación quística de la fosa posterior (è) comunicada con el IV ventrículo por alteración del desarrollo del vermis cerebeloso. En A y B imágenes sagital y axial de RMf realizada a las 27 semanas donde además se identifica dilatación del sistema ventricular supra-tentorial moderada. En el 2º caso (C y D) se observa una severa dilatación del sistema ventricular supra-tentorial con adelgazamiento del cuerpo calloso en un feto de 29 semanas de edad gestacional.
Te: Tronco encefálico
Ce: Cerebelo


Figura 10
RM Fetal en Malformación de Chiari.
Estudio realizado a las 29 semanas con diagnóstico ecográfico de mielomeningocele. En imagen coronal (A) se observa la severa dilatación del sistema ventricular supra-tentorial lo que se corrobora en la imagen axial (B) con una disposición colpocefálica de los ventrículos laterales (VL). En la imagen fetal sagital (C) se reconocen el cerebelo (Ce) y tronco encefálico (Te) sin identificarse claramente el IV ventrículo lo que indica una disminución de las dimensiones de la fosa posterior. En el mismo plano se observa el defecto de cierre posterior del tubo neural (è) con un saco de meningocele. La imagen axial a nivel de ese saco (D) muestra claramente el defecto espinal posterior (è) aunque sin observarse claramente el contenido neural del mismo.


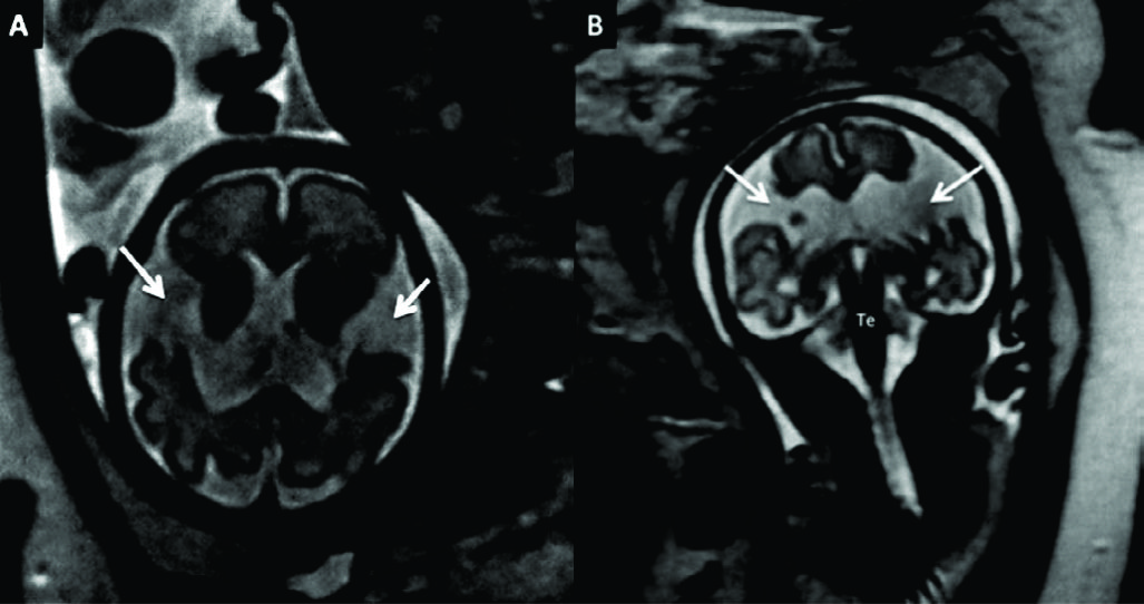
Figura 11
RM Fetal Esquizencefalia bilateral.
Estudio de RM realizado en la semana 29 con diagnóstico ecográfico de esquizencefalia bilateral. En el corte axial (A) y coronal (B) se reconocen las clásicas hendiduras que vinculan el sistema ventricular con el espacio sub-aracnoideo de la convexidad en ambos hemisferios.
Las estructuras de línea media son normales así como también el tronco encefálico (Te) y el resto de las estructuras intra-craneanas.

CORRELACIÓN ENTRE HALLAZGOS ECOGRÁFICOS Y RM FETAL

Como ya se mencionó anteriormente, la ecografía sigue siendo el estudio primario y por excelencia del feto. Existen dos niveles de complejidad en el estudio del SN: la ecografía de tamizaje y la neuro-sonografía (NSF).
La primera va a ser la que determine la sospecha de una anomalía o llegue al diagnóstico definitivo, principalmente en las del primer trimestre, que son las más severas.
Por otro lado, la neuro-sonografía (NSF) es un estudio ecográfico dirigido del SN. Esta también tiene indicación luego del diagnóstico de las anomalías mencionadas anteriormente, cuando no se ha llegado al diagnóstico por ecografía de tamizaje, así como también en pacientes con alto riesgo de tener una malformación (18).
La NSF tiene la ventaja sobre la ecografía convencional de permitir la adquisición de imágenes en los planos sagital y coronal y así poder estudiar con mayor precisión la anatomía, en particular las estructuras de la línea media (cuerpo calloso, tercer ventrículo y vermis cerebeloso), que no pueden ser evaluadas correctamente mediante el plano axial.
Al ser también un estudio ecográfico, es inocuo y de menor costo que la RMf, por lo que se puede repetir las veces necesarias durante el embarazo y así determinar con mayor precisión el pronóstico y la evolución de la malformación.
Debemos de tener en cuenta que como todo estudio dirigido y específico, se requiere de una mayor experiencia del examinador para poder obtener buenas imágenes.
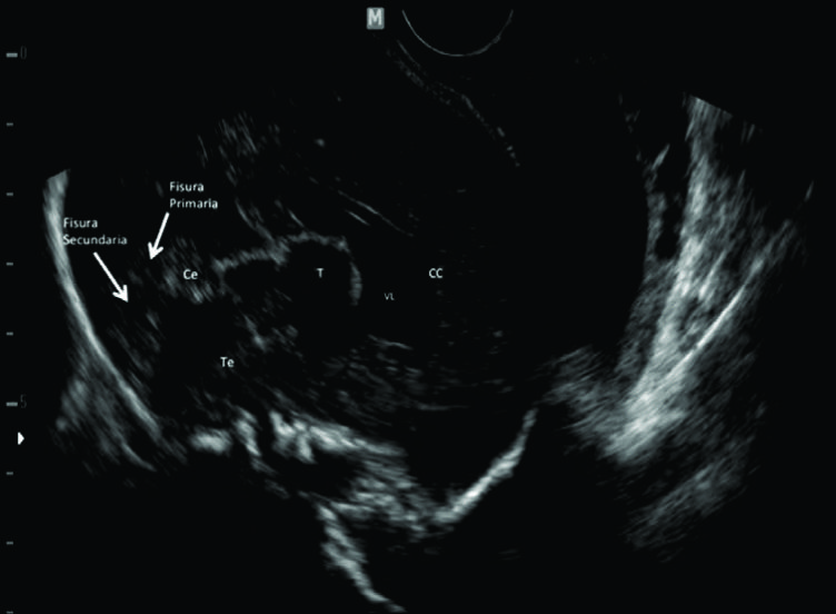
Como es sabido también, se necesita que el feto esté en presentación cefálica y así poder realizar el estudio por vía trans-vaginal con transductor endo-cavitario, logrando así una excelente resolución anatómica. Figura 12.
Existen igualmente ciertas anomalías donde hay mayor consenso de que la RMf aporta mejor información que la NSF. Tal es el caso de la sospecha de malformaciones del desarrollo cortical, donde se ha puesto en evidencia que la RMf aporta más información hasta en un 20% de los casos. Teniendo en cuenta estas consideraciones, se ha visto que la NSF tiene una excelente correlación con los hallazgos de la RMf (18,19). Figura 13.
Pero lo que es de mayor importancia y como se mencionó al comienzo de esta revisión, es que ambos métodos de imagen no son excluyentes sino complementarios, teniendo presente las limitaciones de cada uno y el momento óptimo de cuando indicarlos.


Figura 12
NSF, Anatomía Normal de línea media.
Estudio dirigido de ecografía para analizar el sistema nervioso, corte sagital para evaluar las estructuras de línea media (29 semanas de gestación). En la imagen seleccionada se observa la anatomía de las estructuras supra e infra-tentoriales con excelente precisión. Se observa el cuerpo calloso (CC) y parte de los ventrículos laterales (VL). El tronco encefálico (Te) y cerebelo (Ce) se distinguen claramente con el IV ventrículo ubicado entre ellos. En el Ce se identifican claramente las fisuras primaria y secundaria.
T: Tálamo


Figura 13
Correlación entre NSF y RMf en malformaciones.
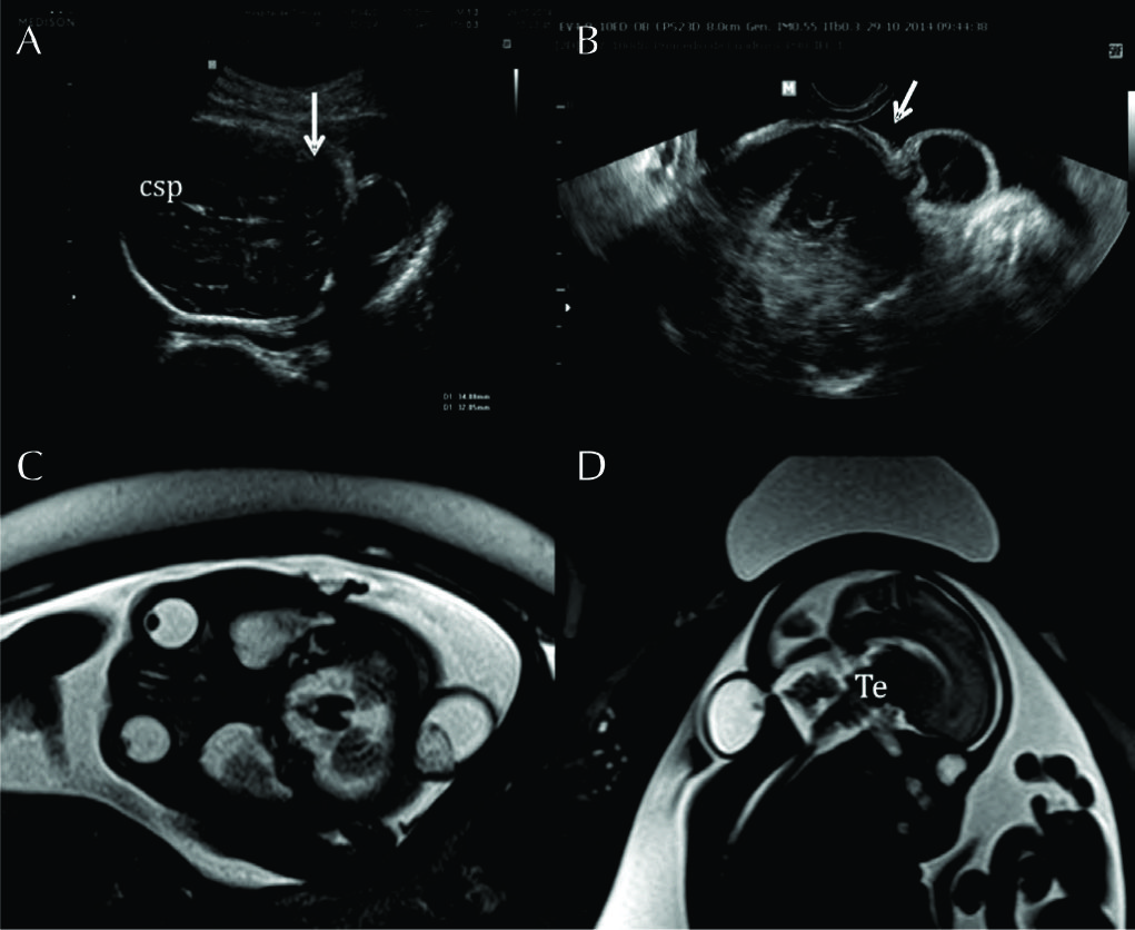
Correlación entre hallazgos ecográficos y RMf en un feto con estudio ecográfico por via abdominal (A) y trans-vaginal (NSF) (B). Se observa solución de continuidad a nivel de la región occipital con contenido meníngeo, sin herniación de parénquima encefálic,o (è). Esto se confirma mediante RMf (C) corte axial; D: corte sagital) lo que establece el diagnóstico de meningocele occipital. CSP: cavum septum pellucidum
V: vermis cerebeloso
Te: tronco encefálico


Figura 14
Correlación entre NSF y RMf en malformaciones.
Correlación entre cortes sagitales de NSF y RMf . Se muestra el caso de un feto con trombosis venosa a nivel de la tórcula y dilatación del seno longitudinal superior.
En las figuras A y B se puede ver el trombo ecogénico (è) y la dilatación del seno sagital hipoecogénico (*), el cual comprime y desplaza las estructuras encefálicas. La RMf realizada unos días después confirma los hallazgos mostrando una trombosis sub-aguda en topografía de la tórcula (è), asociada a dilatación del seno longitudinal (C). Luego el feto sufre una hemorragia intraventricular como se muestra en la figura D (**).
C: Cerebelo
Te: Tronco encefálico

CONCEPTOS FINALES

Las malformaciones del Sistema Nervioso Central son frecuentes y tienen gran impacto en la vida post-natal. Hoy en día contamos con dos técnicas diagnósticas prenatales de utilidad comprobada como son el US, en sus diferentes niveles de complejidad, y la RMf.
Hay que tener en cuenta que en la mayoría de los casos el estudio de US va a ser suficiente para llegar al diagnóstico, principalmente en las anomalías del primer trimestre.
En los casos en que la RMf esté indicada, esta es una herramienta muy útil que nos va a aportar al diagnóstico de las malformaciones del SNC hasta en un 20% de los casos, sabiendo siempre que es una herramienta complementaria al US.

BIBLIOGRAFIA

  • Lyons K, Cassady C, Jones J et al. Current role of fetal magnetic resonance imaging in neurologic anomalies. Semin Ultrasound CT MRI 2015; 36:298-309

  • Prayer D, Brugger PC, Prayer L. Fetal MRI: techniques and protocols. Pediatr Radiol 2004; 34:685-693

  • Malinger G, Prayer D, Brugger PC et al. ISUOG Practice Guidelines: performance of fetal magnetic resonance imaging. Ultrasound Obstet Gynecol 2017; 49: 671–680

  • Glastonbury CM, Kennedy AM. Ultrafast MRI of the fetus. Australas Radiol 2002; 46:22–32

  • Robinson AJ, Blaser S, Toi A et al. The fetal cerebellar vermis: Assessment for abnormal development by ultrasonography and magnetic resonance imaging. Ultrasound Q 2007; 23:211-223

  • Dhouib A, Blondiaux E, Moutard ML, et al. Correlation between preand postnatal cerebral magnetic resonance imaging. Ultrasound Obstet Gynecol 2011; 38:170–178

  • Cardoza JD, Goldstein RB, Filly RA. Exclusion of fetal ventriculomegaly with a single measurement: The width of the lateral ventricular atrium. Radiology 1988; 169:711-714

  • Levine D, Trop I, Metha TS et al. MR imaging appearance of fetal cerebral ventricular morphology. Radiology 2002; 223:652-660

  • Morris JE, Rickard S, Paley MN, et al. The value of in-utero magnetic resonance imaging in ultrasound diagnosed foetal isolated cerebral ventriculomegaly. Clin Radiol 2007; 62:140-144

  • Dill P, Poretti A, Boltshauser E, et al. Fetal magnetic resonance imaging CONCEPTOS FINALES Las malformaciones del Sistema Nervioso Central son frecuentes y tienen gran impacto en la vida post-natal. Hoy en día contamos con dos técnicas diagnósticas prenatales de utilidad comprobada como son el US, en sus diferentes niveles de complejidad, y la RMf. Hay que tener en cuenta que en la mayoría de los casos el estudio de US va a ser suficiente para llegar al diagnóstico, principalmente en las anomalías del primer trimestre. En los casos en que la RMf esté indicada, esta es una herramienta muy útil que nos va a aportar al diagnóstico de las malformaciones del SNC hasta en un 20% de los casos, sabiendo siempre que es una herramienta complementaria al US. in midline malformations of the central nervous system and review of the literature. J Neuroradiol 2009; 36:138-146

  • Achiron R, Achiron A. Development of the human fetal corpus callosum: A high-resolution, cross-sectional sonographic study. Ultrasound Obstet Gynecol 2001; 18:343-347

  • Winter TC, Kennedy AM, Woodward PF. Holoprosencephaly: a survey of the entity, with embriology and fetal imaging. Radiographics 2015; 35:275-290

  • Toi A, Chitayat D, Blaser S. Abnormalities of the foetal cerebral cortex. Prenat Diagn 2009; 29:355-371

  • Bosemani T, Orman G, Boltshauser E et al. Congenital abnormalities of the posterior fossa. Radiographics 2015; 35:200-220

  • Triulzi F, Parazzini C, Righini A. Magnetic resonance imaging of fetal cerebellar development. Cerebellum 2006; 5:199-205

  • Guibaud L. Practical approach to prenatal posterior fossa abnormalities using MRI. Pediatr Radiol 2004; 34:700-711

  • Ben-Sira L, Garel C, Malinger G, et al. Prenatal diagnosis of spinal dysraphism. Childs Nerv Syst 2013; 29:1541-1552

  • Malinger G, Lev D, Lerman Sagie T. Normal and abnormal fetal brain development during the third trimester as demonstrated by neurosonography. EJR 2006; 57:226–232

  • Hagmann CF, Robertson NJ, Leung WC et al. Foetal brain Imaging: ultrasound or MRI. A comparison between magnetic resonance imaging and a dedicated multidisciplinary neurosonographic opinion. Acta Paediatr 2008; 97(4):414-419


* Correspondencia: nsgarbi@gmail.com

Volver al principio