ASCARIDIASIS DE LA VÍA BILIAR: INFORME DE UN CASO

REPORTE DE CASO

Dra. Lorena Gonzales *
Dra. Mª Eugenia Hernández *
Dra. Mª Victoria Irrazabal *
Dr. Agustín Arruti *

RESUMEN

Presentamos un caso de ascaridiasis en la vía biliar diagnosticado por ultrasonido en una paciente adulta, colecistectomizada, que consulta en reiteradas ocasiones por dolor en hipocondrio derecho.

Se describen los hallazgos clínicos, paraclínicos e imagenológicos, así como la evolución de la paciente.

El objetivo de la presentación de este caso es revisar el papel de los distintos métodos de imagen en el diagnóstico y tratamiento de la ascaridiasis hepatobiliar.

Se presenta dado su interés por su baja incidencia en la población adulta.

Palabras clave: Ascaris lumbricoides, ascaridiasis hepatobiliar, ultrasonido, colangiografía endoscópica retrógrada

ABSTRACT

We present a case of ascariasis in the biliary tract diagnosed by ultrasound in an adult patient, cholecystectomized, who consulted repeatedly for pain in the right hypochondrium.

The clinical, paraclinical and imaging findings are described, as well as the evolution of the patient.

The aim of the presentation of this case is to review the role of different imaging methods in the diagnosis and treatment of hepatobiliary ascariasis.

We present this case because of its interest for the low incidence in the adult population.

Key words: Ascaris lumbricoides, hepatobiliary ascariasis, ultrasound, retrograde endoscopic cholangiography

INTRODUCCIÓN

Ascaris Lumbricoides es el helminto más común en el tracto gastrointestinal humano; se estima que más de mil millones de personas en el mundo están infectadas, la mayor prevalencia se registra en países en desarrollo, tropicales y subtropicales. Los niños son los más frecuentemente afectados. La mayor parte de las ascaridiasis sigue un curso benigno y asintomático, sin embargo, se han descrito serias complicaciones. La complicación seria más frecuente es la obstrucción intestinal, pero también puede ocurrir la invaginación, vólvulos o la perforación intestinal.
Los Ascaris adultos residen más frecuentemente en el yeyuno y pueden invadir el conducto biliar, el pancreático o ambos y ser la causa de complicaciones como la obstrucción del mismo con desarrollo de colecistitis, colangitis, pancreatitis y abscesos hepáticos.

PRESENTACIÓN DEL CASO

Se trata de una paciente de sexo femenino, de 28 años, procedente de Punta de Rieles, Montevideo, Uruguay. La misma consulta actualmente en puerta de emergencia del Hospital de Clínicas por dolor en hipocondrio derecho, continuo, intenso, sin irradiaciones, de 3 días de evolución, acompañado de náuseas y vómitos, sin fiebre.

Como antecedentes de la enfermedad actual la paciente refería un cuadro doloroso abdominal de meses de evolución que motivó varias consultas en emergencia y colecistectomía hace 6 meses.

Como antecedentes socioeconómicos presenta vivienda precaria, sin saneamiento y de los antecedentes personales se destaca colecistectomía seis meses antes de la consulta.

A la exploración física presenta buen estado general, sin ictericia, abdomen blando, depresible, sin irritación peritoneal, con dolor a la palpación profunda en hipocondrio derecho, sin hepatomegalia. De los exámenes de laboratorio se destaca bilirrubina total 1,18 mg/dL, bilirrubina directa 0,45 mg/dL, fosfatasa alcalina 245 UI/L, AST 125 UI/L, ALT 234 UI/L, Gamma GT 457 UI/L, leucocitos 6470/mmᵌ, neutrófilos 50,8%, linfocitos 34,8%, eosinófilos 8,3%

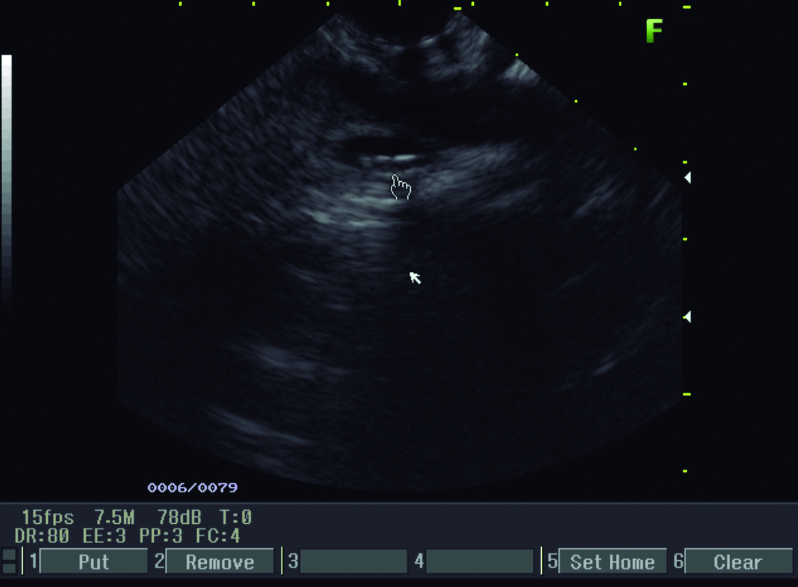
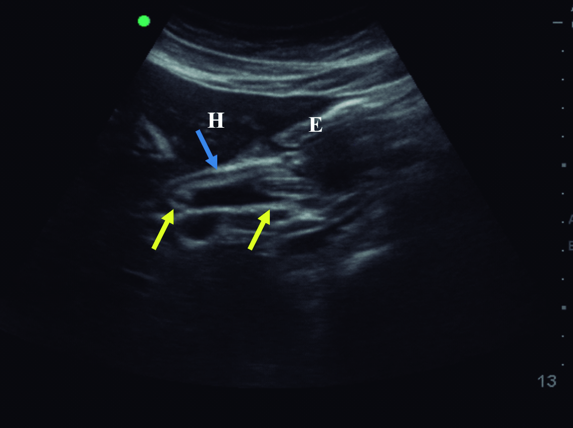
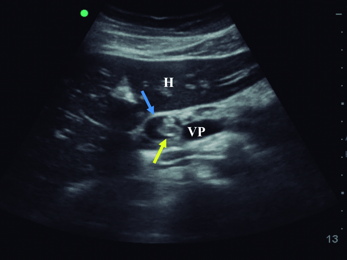
El ultrasonido de abdomen realizado al ingreso mostró vía biliar principal dilatada, a predominio del conducto hepático izquierdo en cuyo interior se observó imagen trilaminar, alargada, sin sombra acústica posterior, compatible con parásito. El extremo cefálico del parásito alcanza el origen de los canalículos de los segmentos póstero-laterales izquierdo y su extremo caudal se extiende dentro de la luz del conducto hepático común y el colédoco. El diámetro mayor del colédoco alcanzó 12mm, el parásito se detectó alcanzando la zona de la papila duodenal, estando plegado sobre sí mismo dentro de la vía biliar principal (Fig. 1).

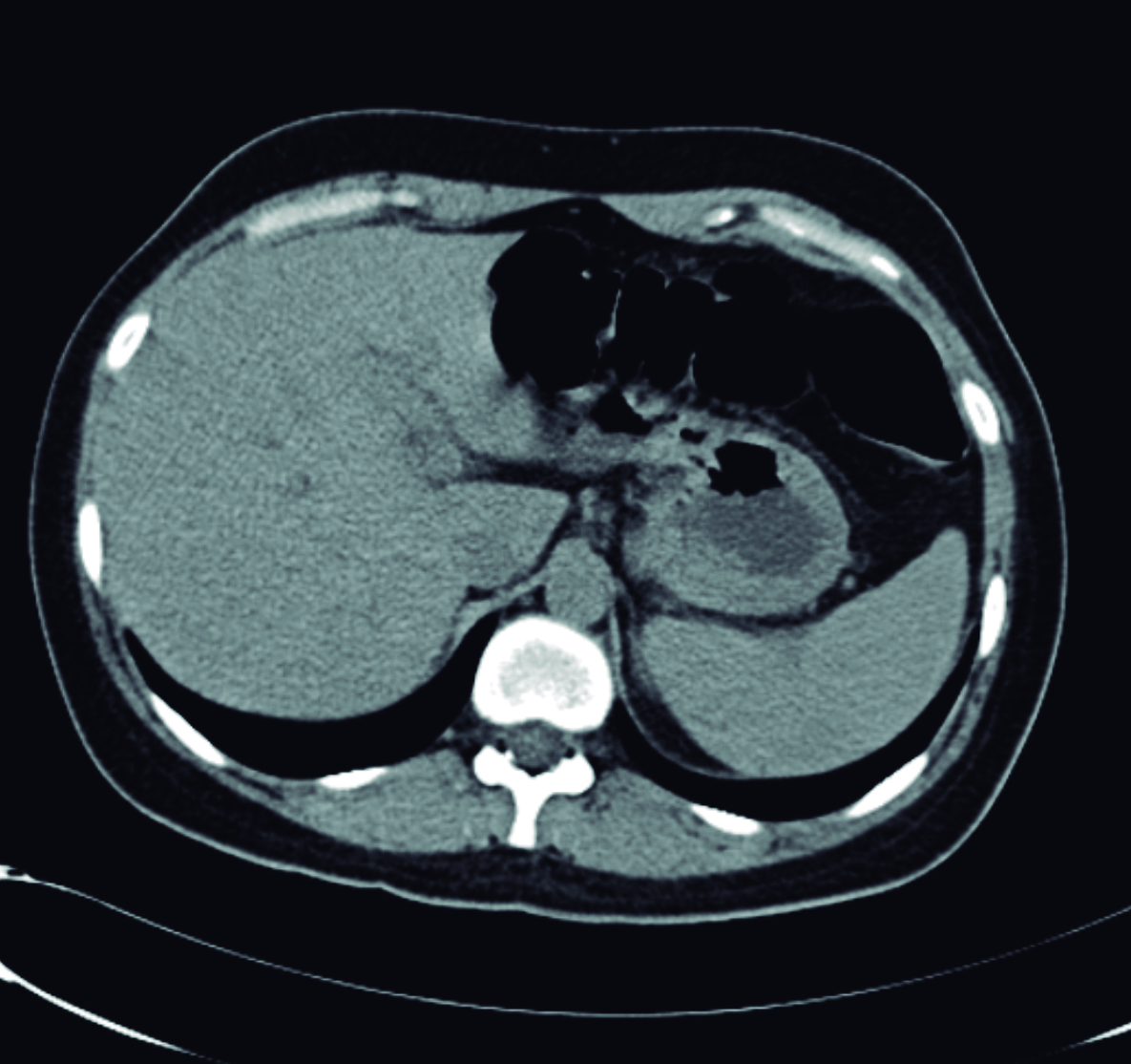
Con estos hallazgos, el equipo tratante solicita tomografía computarizada para completar valoración. La misma se realizó sin medio de contraste, dado dificultades en la punción de la paciente. Se observa imagen lineal hiperdensa dentro de la luz del colédoco, el cual se encuentra dilatado con un diámetro máximo 12mm (Fig. 2)

Una semana después se realiza ecoendoscopía digestiva alta, la cual informa colédoco de 9 mm de diámetro, en cuyo interior se observan dos líneas hiperecoicas alargadas, paralelas de unos 3 mm de diámetro total, compatible con Ascaris (Fig. 3).

Se interroga a la paciente y refiere haber sido estudiada previamente con una colangiografía por resonancia magnética tres meses previo a la consulta en otro centro hospitalario. En ese momento la vía biliar principal no estaba ocupada. Retrospectivamente se identificaron los parásitos en el tubo digestivo proximal (Fig. 4 y 5).

Se inicia tratamiento antibiótico y antiparasitario con Albendazol oral. A las 48 horas la paciente refiere expulsión de helmintos con materia fecal. Se obtienen ejemplares de Ascaris Lumbricoides adulto hembra, realizándose diagnóstico macroscópico de ascaridiasis.


Figura 1. Ultrasonido en modo B
a) Corte transversal a nivel de epigastrio, en el cual se identifica colédoco dilatado (flecha azul), ocupado por el Ascaris plegado sobre sí mismo (flecha amarilla).
b) Corte longitudinal sobre el colédoco supraduodenal, en el cual se observa el Ascaris plegado sobre sí mismo (flechas amarillas) dentro del colédoco dilatado (flecha azul). H: Lóbulo hepático izquierdo, E: Corte transversal del antro gástrico, VP: Vena porta.


Figura 2. Tomografía computarizada plano axial sin medio de contraste
a y b) Se observa imagen lineal hiperdensa que corresponde al Ascaris dentro de la luz de la rama izquierda del conducto hepático y dentro del conducto hepático común (*).


Figura 3. Ecoendosopía
a y b) Líneas hiperecoicas alargadas, paralelas de 3 mm de diámetro compatible con Ascaris (mano).


Figura 4. Resonancia Magnética
a y b) Imágenes en plano coronal potenciadas en T2 sin saturación grasa. A nivel de asas yeyunales proximales se identifican los parásitos como imágenes lineales ligeramente hiperintensas con un área central hipointensa (*).


Figura 5. Colangiografía por Resonancia Magnética - Reconstrucción
Se visualiza vía biliar intra y extrahepática de calibre habitual, sin defectos de relleno.

DISCUSIÓN

La parasitosis por Ascaris Lumbricoides se encuentra más frecuentemente en los países en desarrollo de Asia, África y América Latina. La incidencia es superior en los niños y en las áreas con los medios sanitarios más pobres. No obstante, las complicaciones de la ascaridiasis biliar son menos frecuentes en los niños (5%) que en los adultos (53%), aunque la obstrucción intestinal es más frecuente en los niños (66%). (1) En una publicación nacional reciente sobre complicaciones graves en niños hospitalizados se vio que las complicaciones hepatobiliares en esa serie de niños fue de aprox. 60% del total. (8)

El ciclo de vida de los Ascaris inicia con la ingestión de alimentos, vegetales crudos o agua contaminada por huevos. Los huevos eclosionan en el duodeno después de ser estimulados por el jugo gástrico y las larvas rabditiformes resultantes migran hacia el ciego, penetran en el epitelio para llegar a la vena porta y luego al hígado. Algunos migrarán a través de las venas suprahepáticas o los linfáticos para transportarse al corazón y los pulmones. Allí cruzan la pared capilar hacia el espacio alveolar y alcanzan el árbol bronquial, ascienden a la laringe y luego son deglutidos. En el tracto gastrointestinal superior, alcanzan la madurez sexual en 2-3 meses y se convierten en gusanos adultos. El gusano adulto reside en el yeyuno como un organismo anaeróbico facultativo, con una vida media de 6-18 meses. Los gusanos adultos no se multiplican dentro de su huésped, por lo que la manifestación de la enfermedad clínica depende del número inicial. Las hembras son más grandes; aproximadamente 20-40 cm y puede producir una gran cantidad de huevos diariamente, aproximadamente 240.000 por hembra, que son excretados con las heces. En el suelo, los huevos fertilizados requieren 10-15 días para volverse infecciosos. Éstos son resistentes al clima frío, purificadores químicos de agua, desinfectantes y pueden permanecer viables e infecciosos por hasta 10 años, lo que dificulta su erradicación.

Cuando los gusanos adultos migran hacia la vía biliar, la irritación causada por el helminto o sus excretas puede resultar en cólico biliar y espasmo del esfínter de Oddi, con obstrucción biliar. En la ascaridiasis biliar lo más frecuente es que uno o más Ascaris invadan el sistema biliar. Se ha encontrando mayor predisposición en mujeres (7:3) respecto hombres, probablemente en relación a hormonas con actividad relajante del músculo liso. (2) La media de edad es alrededor de los 30 años. Los factores de riesgo para su desarrollo incluyen cirugía biliar previa (colecistectomía, coledocolitotomía, esfinteroplastia, esfinterotomía endoscópica) y el embarazo, probablemente debido a los efectos hormonales en la ampolla.

La presencia del Ascaris o de los residuos de la descomposición del gusano en el sistema biliar extrahepático puede llevar a una intensa inflamación que puede producir la necrosis del conducto, calcificación, litiasis, estenosis, fibrosis y colangitis. La actividad elevada de glucuronidasa de los parásitos y de las bacterias coliformes desconjuga la bilirrubina y ayuda a la formación de litos de pigmento. (2)

Los Ascaris en el conducto hepatocolédoco pueden llegar a obstruir el conducto cístico y la subsiguiente dilatación de la vesícula, llevando a colecistitis aguda.

El cuadro clínico de la ascariasis biliar se caracteriza por evacuación de helmintos por heces o a través de la boca, y una historia de vómitos y dolor abdominal localizado en hipocondrio derecho o epigastrio. A la exploración física es común encontrar signos clínicos de desnutrición, distensión abdominal, hepatomegalia e ictericia. La fiebre suele estar presente en casos complicados. Por laboratorio suele encontrarse leucocitosis, elevación del nivel de bilirrubina y eosinofilia. En colangitis también se observa elevación de la fosfatasa alcalina y alaninoaminotransferasa. En pancreatitis, la amilasa y lipasa se encuentran elevados.

El diagnóstico de las complicaciones hepatobiliares y pancreáticas por ascaridiasis es difícil. Cuando estas complicaciones son sospechadas, el ultrasonido es el método diagnóstico más útil porque es rápido, seguro, accesible y no invasivo. Es altamente sensible y específico para visualizar un gusano en el sistema biliar. Determina la posición anatómica de los gusanos, su movilidad y número, su ubicación intra y extrahepática en el sistema biliar y posibles complicaciones. Así mismo, el ultrasonido puede repetirse para determinar la migración de los parásitos dentro de la vía biliar, su posible eliminación espontánea y para monitorizar la respuesta al tratamiento. El rendimiento del ultrasonido para detectar los gusanos en el duodeno o la ampolla es menor, se ha informado que omite hasta 50% de los casos de ascaridiasis hepatobiliar. (3)

En el ultrasonido, la apariencia de los helmintos depende de la sonda empleada. Con transductores convexos de baja frecuencia se visualizan típicamente en un corte longitudinal como una imagen trilaminar y sin sombra acústica, las líneas ecogénicas externas corresponden a las paredes del parásito y la imagen lineal ecogénica en su interior corresponde al tracto digestivo del mismo. Si se visualizan transversalmente en un conducto biliar dilatado, aparecen como una imagen tubular, en diana con bordes ecogénicos y centro anecogénico. Con una sonda lineal de alta frecuencia (mayor a 7.5MHz) los helmintos se observan en corte longitudinal como una imagen de 4 líneas, representando las dos exteriores la interfaz entre el parásito y lo que lo rodea y las dos interiores el intestino de la lombriz. (5, 7, 13) Estas imágenes características fueron las que llevaron al diagnóstico en la paciente que se presenta en este caso. Algunas veces puede observarse la movilidad de los helmintos vivos, pueden estar enrollados y si son múltiples, pueden llenar completamente el conducto biliar y producir el “signo de espagueti”. Si están muy compactados en los conductos biliares, pueden aparecer amorfos y manifestarse como pseudotumores hiperecogénicos. (6) Debe realizarse exploración de la vía biliar principal y accesoria ya que en ocasiones se ubican dentro de la vesícula biliar. También debe valorarse el conducto pancreático para descartar Ascaris en esta localización. El empleo de la sonda lineal en ocasiones es de utilidad para mejorar la resolución espacial y de ese modo caracterizar mejor los parásitos. (1)

La tomografía computarizada no es el método de elección para el diagnóstico de la ascaridiasis en la vía biliar y si la ecografía demuestra la imagen típica debería evitarse su uso o indicarse una resonancia magnética si hay dudas de los hallazgos. (13) De todas formas, la tomografía permite en algunos casos identificar los parásitos dentro de la vía biliar y valorar posibles complicaciones. La identificación de los parásitos es más sencilla en la tomografía sin contraste, en la que aparecen como estructuras tubulares hiperdensas rodeadas de bilis hipodensa. En los cortes axiales, al igual que en la ecografía, se visualiza la típica imagen en diana dada por el parásito dentro de la vía biliar dilatada. (14)

La resonancia magnética es una excelente modalidad no invasiva para diagnosticar la presencia de parásitos en la vía biliar. En imágenes ponderadas en T1, los gusanos se ven como estructuras tubulares lineales ligeramente hiperintensas con un área central hipointensa y en la colangiografía por resonancia se visualizan como defectos lineales de relleno hipointensos en el tracto biliar. (4, 9, 10)

La ascaridiasis biliar no complicada debe ser tratada de forma conservadora, ya que la eliminación espontánea de Ascaris Lumbricoides ocurre hasta en 80% de los casos, como ocurrió en esta paciente. (2) El manejo conservador consiste en el uso de fármacos antihelmínticos de elección como Mebendazol, Palmoato de pirantel y Albendazol, así como antiespasmódicos y antibióticos en caso de colangitis. El tratamiento exitoso depende del paso de los gusanos al intestino delgado, donde son expuestos a una concentración adecuada del fármaco. (8)

La colangiopancreatografía endoscópica retrógrada tiene un doble papel al permitir un diagnóstico de precisión de la ubicación de los helmintos en la vía biliar y el tratamiento de esta enfermedad, quitando los gusanos y descomprimiendo el conducto biliar. Debe realizarse cuando se sospecha una complicación, deterioro clínico o cuando el tratamiento médico falla en la eliminación espontánea de los helmintos. La cirugía está indicada cuando falla el tratamiento médico o la colangiografía endoscópica retrógrada o cuando se presenta deterioro clínico, aumento del volumen vesicular o colecciones perivesiculares secundarias a colecistitis aguda.

CONCLUSIONES

La ascaridiasis hepatobiliar ocurre más frecuentemente en zonas endémicas y se presenta por lo general con clínica de dolor abdominal. Si bien su frecuencia en la población adulta es baja, siempre debe considerarse la posibilidad de una ascaridiasis biliar en pacientes con obstrucción de la vía biliar procedentes de un medio socioeconómico y ambiental deficitario.

La ecografía abdominal es el método diagnóstico de elección permitiendo identificar la localización anatómica de los parásitos, siendo sus imágenes muy características. Sin embargo, probablemente en muchos casos no se detecten debido a la migración activa del gusano hacia y desde el árbol biliar.

La colangiopancreatografía endoscópica retrógrada es útil no solo para el diagnóstico en casos de sospecha de complicaciones biliares, sino también permite aplicaciones terapéuticas como la extracción de los parásitos, descompresión del conducto biliar y la administración intraductal de antihelmínticos.

La colangiografía por resonancia es un excelente método de imagen no invasivo para el diagnóstico de esta patología.

La mayor parte de los pacientes tienen en un buen pronóstico y responden la terapia conservadora con antihelmínticos orales.

BIBLIOGRAFIA

  • Castaño R, Yepes NL, Sanín E, et al. Ascaridiasis biliar: manejo endoscópico. Rev Colomb Gastroenterol 2003,18 (2): 83-87

  • De la Fuente Lira M, Molotla-Xolapa C, Ocha Guevara ER. Ascariasis biliar. Informe de un caso y revisión en la literatura. Cir Ciruj 2006; 74:195-198. http://www.medigraphic.com/pdfs/circir/cc-2006/cc063i.pdf

  • Das AK. Hepatic and Biliary Ascariasis. J Glob Infect Dis. 2014 Apr-Jun; 6(2): 65–72.

  • Danaci M, Belet U, Pola V, et al. MR imaging features of biliary ascariasis. AJR 1999; 173:503.

  • Mohamed Aslam M, Srinath P. Dore SP, et al. Ultrasonic diagnosis of hepatobiliary ascariasis. Am Inst Ultrasound Med. 1993; 12:573-6.

  • Bude RO, Bowerman RA. Case 20: biliary ascariasis. Radiology 2000; 214:844-7.

  • Al Absi M, Qais AM, Al Katta M, et al. Biliary ascariasis: the value of ultrasound in the diagnosis and management. Ann Saudi Med. 2007 May-Jun; 27(3):161-5.

  • Dall’ Orso P, Cantou V, Rosano K, De los Santos K, Nora Fernández N, Berazategui R, Giachetto G. Complicaciones graves en niños hospitalizados en el Centro Hospitalario Pereira Rossell. Arch Pediat UY. agosto 2014, 85(3):149-154. http://www.scielo.edu.uy/pdf/adp/v85n3/v85n3a02.pdf

  • Sundriyal D, Bansal S, Kumar N, et al.. Biliary ascariasis: radiological clue to diagnosis. Oxf Med Case Reports. 2015 Mar; 2015(3): 246–247.

  • Hashmi MA, De JK. Biliary Ascariasis on Magnetic Resonance Cholangiopancreatography. J Glob Infect Dis. 2009 Jul-Dec; 1(2): 144–145.

  • Lynser D, et- al. Sonographic images of hepato-pancreatico-biliary and intestinal ascariasis: A pictorial review. Insights Imaging (2015) 6:641–646 DOI 10.1007/s13244-015-0428

  • Catalano, O., et al. M Biliary Infections: Spectrum of Imaging Findings and Management. RadioGraphics 2009; 29:2059–2080

  • Cinthia D. Ortega et al. Helminthic Diseases in the Abdomen: An Epidemiologic and Radiologic Overview. RadioGraphics 2010; 30:253–267

  • M. de Souza Rocha et al. CT identification of ascaris in the biliary tract. Abdominal imaging. July 1995, Volume 20, Issue 4, pp 317-319


* Depto. Clínico de Imagenología. Hospital de Clínicas

Volver al principio