CAVERNOMA INTRAVENTRICULAR:
A PROPÓSITO DE UN CASO

REPORTE DE CASO

Dr. Alfredo Kauffman *
Dr. Fernando Landó **

RESUMEN

El cavernoma es una malformación vascular del sistema nervioso central (SNC) y el cavernoma intraventricular es una entidad patológica rara, cuya información es escasa y se limita principalmente a informes de casos esporádicos. La terminología utilizada para describir estas lesiones es algo confusa, han sido llamados angiomas cavernosos, hemangiomas cavernosos, hemangiomas capilares y cavernomas.

Este trabajo pretende revisar las principales características del cavernoma intraventricular, con el objetivo de acercar los conceptos fundamentales. Se presenta el caso clínico de un paciente de sexo masculino, de 36 años de edad, que consulta por cefalea. Se realiza tomografía computada de cráneo que identifica una lesión espontáneamente hiperdensa, localizada en el ventrículo lateral derecho y se completa la valoración mediante resonancia magnética.

Palabras clave: cavernoma, cavernoma intraventricular, malformación vascular del sistema nervioso central.

ABSTRACT

Cavernoma is a vascular malformation of the central nervous system (CNS) and intraventricular cavernoma is a rare pathological entity, information about it is scarce and is mainly limited to reports of sporadic cases. The terminology used to describe these lesions is somewhat unclear; they have been called cavernous angiomas, cavernous hemangiomas, capillary hemangiomas and cavernomas. This paper aims to review the main characteristics of the intraventricular cavernoma, and highlight the fundamental concepts.

We present the case of a 36-year-old male patient, with headache. Computed tomography identifies a spontaneously hyperdense lesion located in the right lateral ventricle and evaluation is completed by means of magnetic resonance.

Key words: cavernoma, intraventricular cavernoma. vascular malformation of the central nervous system.

INTRODUCCIÓN

El cavernoma es una de las cuatro principales malformaciones vasculares del sistema nervioso central, está compuesto por canales vasculares sinusoidales revestidos por una delgada capa de endotelio, que carece de músculo liso y elastina. Son comunes la hemorragia, la trombosis en diferentes estadios y áreas de calcificación. Pueden ocurrir en cualquier localización y constituyen el 10 % aproximadamente de las malformaciones vasculares del SNC (1,2). El cavernoma intraventricular es una entidad patológica rara, con una incidencia de entre 2,5 a 10 % de los cavernomas cerebrales (1,2). La presentación clínica de estas lesiones es variable, desde el hallazgo incidental al descubrimiento en la autopsia después de una hemorragia fatal. Los síntomas de presentación más comunes son los déficits neurológicos focales, la hemorragia y la cefalea.

PRESENTACIÓN DEL CASO

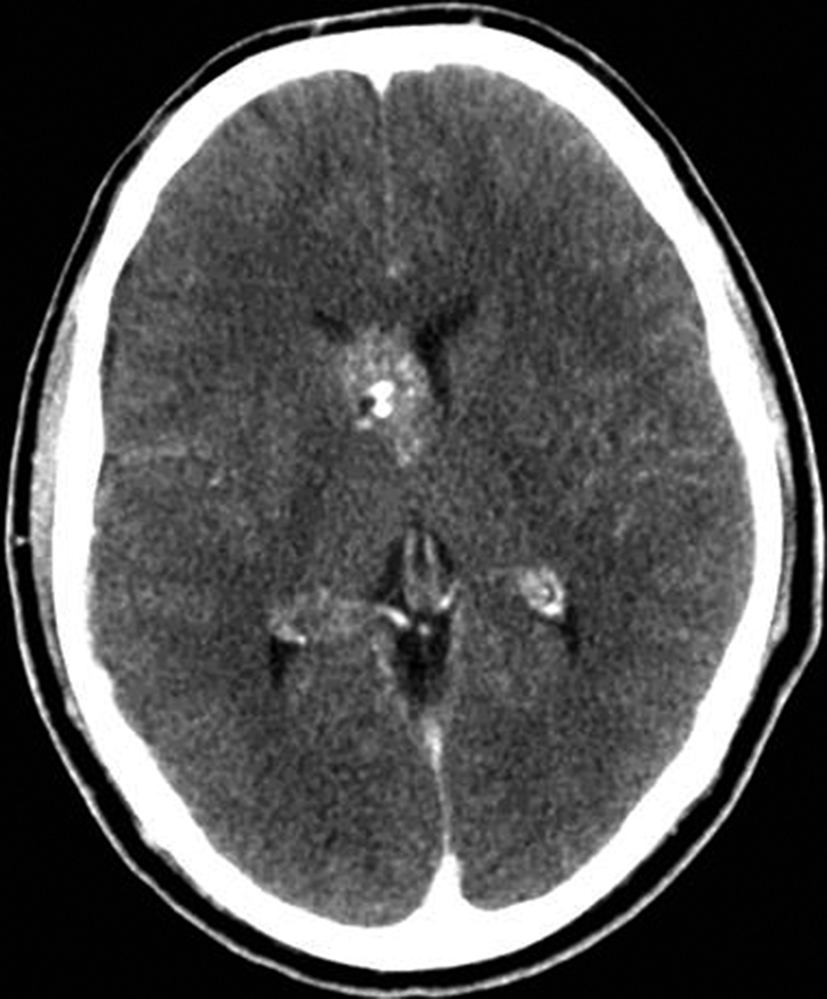
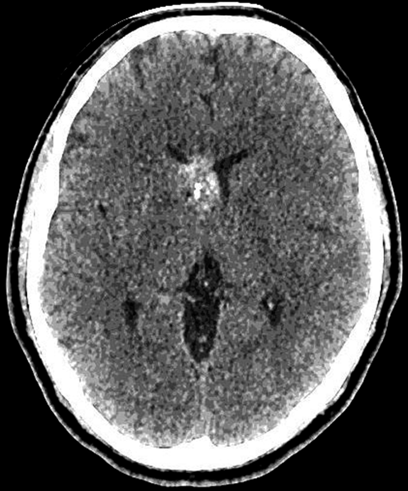
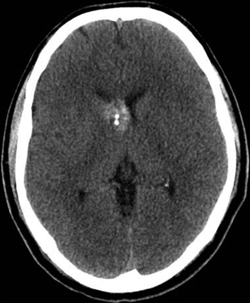
Se presenta el caso clínico de un paciente de sexo masculino, de 36 años de edad, sin antecedentes personales a destacar. Consulta por cefalea holocraneana de larga data, sin déficit neurológico y examen físico normal. Dada la clínica del paciente se realiza una tomografía computada de cráneo sin contraste intravenoso que identifica una lesión bien definida espontáneamente hiperdensa, heterogénea con calcificaciones puntiformes localizada en el asta frontal del ventrículo lateral derecho. No hay edema peri-lesional, efecto de masa ni hidrocefalia (Figura 1- A). Debido a los hallazgos se decide administrar contraste intravenoso, no evidenciándose realce significativo de la lesión (Figura 1- B).

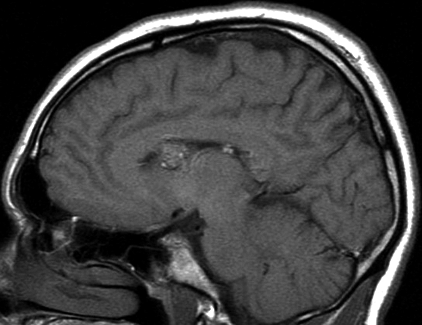
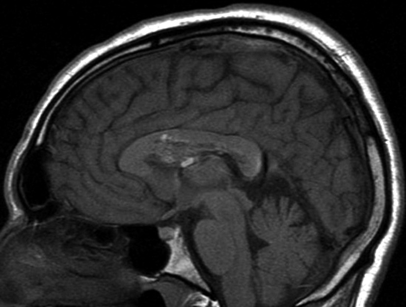
Con los hallazgos tomográficos, no se efectúan planteos diagnósticos y se realiza una resonancia magnética con la finalidad de obtener más datos semiológicos en busca de una aproximación diagnóstica. Se realizó el estudio por medio de secuencias T 1, FSE T 2, FLAIR, SWI y Difusión, en cortes axiales, FSE coronal y sagital T 1. Se realiza la administración de gadolinio DTPA en los tres planos. Se evidencia la lesión bien definida a nivel del ventrículo lateral derecho, que involucra al tronco del cuerpo calloso (Figura 2- C y 3- B). Presenta intensidad de señal heterogénea en secuencias T1 y T2 (Figura 3 y Figura 4). En secuencia ecogradiente se observa una señal marcadamente hipointensa y heterogénea, con un halo hipointenso bien definido (Figura 2- C). No presenta realce significativo tras la administración de Gadolinio (Figura 2- B) y en la secuencia de difusión no presenta restricción.

Con estos hallazgos imagenológicos se realiza el diagnóstico de cavernoma intraventricular. Valorado por el equipo multidisciplinario tratante, encabezado por neurólogo, neurocirujano y en conjunto con el paciente, se decide la conducta expectante como tratamiento, con controles médicos periódicos y estudios imagenológicos seriados. Desde el diagnóstico el paciente ha presentado una evolución clínica favorable y actualmente se encuentra asintomático.

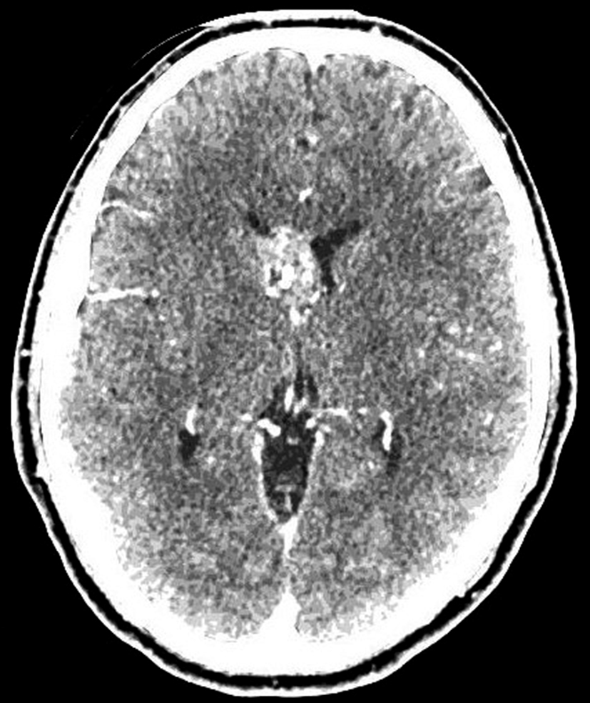
Se efectúa un control imagenológico al año del diagnóstico mediante una TC sin y con contraste (Figura 5 – A y B), donde se evidencia la lesión sin cambios significativos en cuanto a su tamaño y características.


Figura 1
a) TC sin contraste. Lesión intraventricular hiperdensa, heterogénea con pequeñas calcificaciones.
a) TC con contraste. No se identifica realce significativo de la lesión.


Figura 2 Resonancia magnética.
a) Imagen axial T1, lesión intraventricular con intensidad de señal heterogénea.
b) Tras la administración de Gadolinio no presenta realce significativo.
c) Imagen axial en secuencia ecogradiente donde se evidencia la lesión hipointensa y heterogénea. Se observa la extensión de la lesión al cuerpo calloso.


Figura 3
a y b) Imágenes sagitales T1, A. se observa la lesión a nivel del asta frontal de ventrículo lateral derecho y B. se evidencia la extensión al cuerpo calloso.


Figura 4
a y b) Imágenes coronales T2, Ay B. se evidencia la lesión con epicentro en el asta frontal del ventrículo lateral derecho y la extensión al cuero calloso.


Figura 5
a y b) Cortes axiales de TC sin y con contraste intravenoso. Control tomográfico al año del estudio inicial, no se observan cambios significativos de la lesión.

DISCUSIÓN

Los tumores intraventriculares representan el 10% aproximadamente de todas las lesiones del SNC, los diagnósticos diferenciales se basan en los hallazgos de la imagen, la localización y la edad del paciente (1). Los síntomas generalmente no son específicos y están relacionados con el efecto de masa o la hidrocefalia (2,3). El cavernoma intraventricular es una lesión rara. Los ventrículos laterales son el sitio de presentación más frecuente, seguidos por el tercer y cuarto ventrículo (1,3). En la macroscópica son lesiones púrpura-rojizas de tamaño variable, que oscila entre 1 mm y varios centímetros (1). Parecen no tener predilección sexual y el rango de presentación es entre la 2ª y 5ª década, pero pueden ocurrir en cualquier momento de la vida (1,2,3,4). La presentación clínica es inespecífica y a menudo secundaria al aumento de la presión intracraneana. Puede tener síntomas intermitentes o fluctuantes atribuidos a la hemorragia intraventricular y en la mayoría de los casos la hidrocefalia no está presente. Puede mostrar una apariencia similar a la del cavernoma intraparenquimatoso (área focal de mayor densidad dentro del cerebro a menudo sin efecto de masa) y los intraventriculares pueden exhibir un crecimiento rápido y ser más voluminosos, atribuido a la falta de restricción del parénquima cerebral adyacente (3). Un cavernoma en el ventrículo no siempre es limitado por el epéndimo y puede extenderse al entorno cerebral (2). Aunque prácticamente todos los cavernomas muestran signos de microhemorragia repetida, la hemorragia clínicamente significativa es un fenómeno mucho más raro con un riesgo anual a 0,25% a 6% (4).
En la TC sin contraste, el cavernoma es una lesión bien definida e hiperdensa. El aumento de la densidad puede tener un aspecto punteado, que puede representar calcio, sangre o una combinación de ambos y el realce tras la administración de contraste varía de ninguno a muy intenso (1,3,5).

La RM es la herramienta diagnóstica de elección. En la RM es una lesión bien definida con intensidad de señal heterogénea en secuencias T1 y T2 resultante de trombosis, fibrosis, calcificación y hemorragia. La metahemoglobina extracelular e intracelular y la trombosis son responsables de la alta señal de intensidad dentro de la lesión, mientras que las calcificaciones, fibrosis y sangre subaguda son responsables de las áreas de baja señal (5). En la secuencia ecogradiente, se evidencia la lesión heterogénea, predominando los sectores hipointensos debido al efecto de susceptibilidad magnética, con un anillo periférico hipointenso que corresponde al depósito de hemosiderina y hierro en el parénquima cerebral circundante. El anillo de hemosiderina puede no ser evidente en el cavernoma intraventricular (1,3,5). El cavernoma es una malformación angiográficamente oculta, debido a su pobre conexión con el sistema vascular y la angiografía cerebral raramente muestra anormalidades (1,3,4,5).
Los diagnósticos diferenciales incluyen otras lesiones intraventriculares como: el meningioma, el ependimoma, astrocitomas de bajo grado o papiloma del plexo coroideo (2). La falta de edema circundante en imágenes FLAIR o T2, la hemosiderina periférica y la falta de realce hacen que el tumor sea menos probable y favorecen la malformación vascular atípica. Pero en la RM, la hiperintensidad central, debido a la metahemoglobina y el borde de hemosiderina periférica, limita los diferenciales. El realce del contraste no ayuda mucho en la diferenciación y la secuencia ecogradiente puede ser extremadamente útil (5).

CONCLUSIONES

Las malformaciones vasculares intraventriculares son raras. Se informa un caso de un cavernoma intraventricular, diagnosticado sobre la base de los estudios de imagen. La RM es la herramienta diagnóstica de elección para identificar los cavernomas.

El diagnóstico se puede hacer en la RM basado en la morfología característica y la presencia de productos sanguíneos crónicos. La secuencia ecogradiente es muy sensible para demostrar el efecto de susceptibilidad de la hemosiderina, identificar la multiplicidad de la lesión y por lo tanto apoyar el diagnóstico de cavernoma intraventricular. A pesar de raros, los cavernomas deben formar parte del diagnóstico diferencial de las lesiones intraventriculares, pues el diagnóstico equivocado puede llevar al tratamiento inapropiado de estas lesiones benignas.

BIBLIOGRAFIA

  • Bhatia S, Kapoor AK, Gupta R, Sahni T, et al. Cavernous hemangioma located at the foramen of Monro: radiopathological correlation. Indian Journal of Radiology and Imaging, August 2013, 23(3):202-204.

  • Kivelev J, Niemelä M, Kivisaari R, Hernesniemi J, et al. Intraventricular cerebral cavernomas: a series of 12 patients and review of the literature. J Neurosurg, 2010, 112:140–149.

  • Carrasco R, Pedrosa M, Pascual JM, Navas M, Liberal R, Rafael G. Sola R, et al. Cavernous angiomas of the lateral ventricles. Acta Neurochir, 2009, 151:149–154.

  • Raychaudhuri R, Batjer HH, Awad IA, et al. Intracranial cavernous angioma: a practical review of clinical and biological aspects. Surgical Neurology, 2005, 63: 319– 328

  • Peter P. Rivera, Robert A. Willinsky, Phillip J. Porter. et al. Intracranial cavernous malformations. Neuroimag Clin N Am, 2003, 13:27– 40.


* Servicio de Imagenología Corporación Médica Tacuarembó COMTA IAMPP. Mail: alfredokauffman@gmail.com

** Servicio de Imagenología Corporación Médica Tacuarembó COMTA IAMPP. Mail: landfernando@gmail.com

Volver al principio