LINFOMA RAQUIMEDULAR:
FORMAS DE PRESENTACIÓN.
ENSAYO ICONOGRÁFICO

ESPACIO DE NEURORRADIOLOGÍA

Dr. Nicolás Sgarbi *

RESUMEN

En la práctica clínica es habitual realizar estudios de imagen en pacientes con linfoma, una de las principales enfermedades neoplásicas de la esfera hematológica. El diagnóstico se basa, entre otras cosas, por la presencia de múltiples adenopatías, siendo el compromiso extranodal de menor frecuencia.
La afectación de las estructuras raquimedulares es poco frecuente y el diagnóstico tiene varias dificultades, entre otros factores, por lo heterogéneo de su presentación.
Es objetivo de este ensayo iconográfico revisar las formas de presentación más frecuentes del linfoma con compromiso raquimedular, destacando los aportes de las técnicas más utilizadas, sobre todo de la resonancia magnética.

Palabras clave: linfoma extranodal, linfoma espinal, tomografía computada, resonancia magnética

ABSTRACT

In clinical practice, it is common to perform imaging studies in patients with lymphoma, one of the major neoplastic diseases of the hematological field.
The diagnosis is based on the presence of enlarge lymph nodes in different territories, being less common the extranodal commitment.
Involvement of the spinal structures is very rare and the diagnosis has several difficulties by the heterogeneous imaging presentation.
It is the goal of this iconographic essay to review the most common imaging features of spinal lymphoma highlighting the contributions of the most commonly used techniques, especially magnetic resonance imaging.

Key words: extranodal lymphoma, spinal lymphoma, computed tomography, magnetic resonance imaging

INTRODUCCIÓN

El linfoma es una neoplasia hematológica relativamente frecuente en la práctica clínica. El diagnóstico de linfoma se basa habitualmente en la presencia de adenomegalias en distintos territorios, y el compromiso extranodal puede verse en ausencia o en presencia de compromiso ganglionar (1). Si bien el linfoma es frecuente, el compromiso de estructuras raquimedulares es poco común.
La variedad de linfoma No Hodgkin (LNH) es la más frecuente (entre un 80-90%) y una de las variedades que predominan es la difusa a grandes células B (30%), presentación agresiva de la enfermedad (1).
Es una entidad típicamente del adulto entre la 4ª y 7ª década de la vida.
Existen diversas formas de linfoma en el eje raquimedular: compromiso de los tejidos intrarraquídeos extradurales, compromiso óseo predominante, procesos leptomeníngeos difusos y finalmente la lesión medular (en orden de frecuencia) (2).
Otro punto importante a destacar es que debe diferenciarse entre el linfoma primario de las estructuras raquimedulares y el compromiso secundario, siendo este último el más frecuente.
En pacientes con compromiso sistémico las lesiones del esqueleto se ven en aproximadamente un tercio de los casos, siendo el linfoma óseo primario muy poco frecuente (3-4% del total de tumores óseos primarios malignos). La afectación de la médula ósea se ve en un 25-50% de pacientes con LNH, siendo menos común en la enfermedad de Hodgkin (EH) (10-15%).
El pronóstico es muy negativo, al igual que el linfoma primario del sistema nervioso, siendo mejor en pacientes con localización ósea primaria.
La tasa global de sobrevida en pacientes con linfoma espinal primario a 10 años es del 87% aproximadamente. El tratamiento es fundamentalmente médico, combinando radioterapia y quimioterapia que varía según el inmunofenotipo del linfoma.
La cirugía se reserva para casos de compresión medular en vistas a recuperar la función neurológica, y para la toma de muestra de biopsia en casos seleccionados. Para este último objetivo las imágenes también tienen un rol particular ya que pueden guiar procedimientos de punción diagnóstica, sobre todo la tomografía computada.

MÉTODOS DE IMAGEN

Todos los métodos de imagen de uso habitual en la clínica tienen sus aportes en el paciente con linfoma.
En el caso del compromiso raquimedular sin dudas que la resonancia magnética (RM) es el método de elección, pero tanto la tomografía computada (TC) como las técnicas de medicina nuclear tienen sus aportes específicos.

Tomografía Computada: Constituye el método de aproximación inicial y es relativamente frecuente encontrar compromiso espinal, sobre todo óseo, en estudios de estadificación o seguimiento del paciente con linfoma sistémico.
Sus aportes en la forma de compromiso más frecuente, masas epidurales, son muy limitados en comparación con otras técnicas.
Es importante recalcar que con el advenimiento de la TC multidetector es fundamental en todo paciente con linfoma, analizar de forma adecuada las estructuras óseas y sobre todo el raquis en busca de lesiones asociadas.

Resonancia Magnética: Como ya mencionamos es considerada la técnica de elección, como en todos los casos de sospecha de patología raquimedular.
Se puede valorar con excelente detalle el compromiso vertebral, incluyendo la médula ósea, todos los espacios intrarraquídeos fundamentalmente el extradural, y la médula espinal y raíces nerviosas.
Se utilizan de rutina secuencias potenciadas en T2 y STIR que permiten una visualización general de focos lesionales, secuencias en T1, excelentes para valorar la intensidad de señal normal de la médula ósea, y secuencias con medio de contraste, de alta sensibilidad para el diagnóstico de masas intrarraquídeas.

Recomendamos incluir en el protocolo de estudio, como en el caso de todos los pacientes oncológicos, secuencias T1 en fase y fuera de fase, debido a su elevada sensibilidad para detectar focos de lesión ósea, así como también secuencia de difusión.

El mapa de ADC de la secuencia de difusión aporta información adicional importante en el diagnóstico y seguimiento. La intensidad de señal se correlaciona de forma inversa con la celularidad de los procesos tumorales, de forma tal que a menor señal en el mapa de ADC, mayor la celularidad de las lesiones encontradas.

Como en el caso de los linfomas de otras localizaciones, estas lesiones tienen baja señal en el mapa de ADC (restricción al movimiento de las moléculas de agua) lo que aporta información fundamental en la etapa del diagnóstico diferencial.

Asimismo se ha señalado la importancia de esta característica en el seguimiento, dado que si existe respuesta terapéutica, la intensidad de señal en el mapa de ADC puede modificarse (aumentar) antes que los cambios en las secuencias convencionales.

FORMAS DE COMPROMISO RAQUIMEDULAR

Lesiones óseas. Figuras 1 a 3

El compromiso óseo puede presentarse como lesiones únicas o múltiples, habitualmente de tipo lítico en TC, que se acompañan de forma variable de masa de partes blandas (3).
Puede existir compromiso del espacio discal, un elemento excepcional en las metástasis u otros tumores primarios vertebrales (4).
Se debe tener presente que en un porcentaje no despreciable de pacientes el patrón puede ser multifocal, permeativo, siendo en estos casos el mieloma múltiple el principal diagnóstico diferencial (4).
En RM las lesiones óseas son habitualmente de baja señal en T1 en comparación a la médula ósea normal, iso o levemente hipointensas en T2 y con realce intenso, aunque de patrón variable, con alta señal en STIR y en secuencias T1 fuera de fase (3).
Este comportamiento es habitual en las lesiones secundarias, metastásicas, por lo que es difícil diferenciar ambas entidades únicamente por el patrón de imagen. En secuencia de DWI son lesiones con fenómeno de restricción debido a su elevada celularidad como mencionamos previamente.
Los colapsos o aplastamientos vertebrales son de frecuencia variable aunque varios autores señalan que son menos frecuentes que en pacientes con mieloma múltiple o metástasis (3).


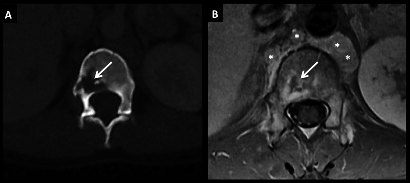
Figura 1
LNH, lesión ósea única, compromiso secundario.

Se muestra el caso de un paciente con LNH sistémico con múltiples adenomegalias retroperitoneales (*) y que en el estudio de estadificación inicial presentó una lesión focal ósea, única, en el cuerpo de T12.
En TC (A) la lesión es claramente lítica, ubicada en el cuerpo vertebral, con escasa esclerosis asociada y con contornos irregulares y destrucción trabecular.
En RM, secuencia SE T1 post-contraste en el plano axial (B) la lesión muestra un centro con necrosis y realce heterogéneo periférico.


Figura 1
LNH, lesión ósea única, compromiso secundario. (cont)

En la secuencia SE T1 sagital (C) la lesión es hipointensa y en STIR (D) es de alta señal con un trazo de fractura asociado de baja señal (flecha discontínua) con extensión del compromiso hacia el pedículo vertebral del mismo lado.
En esta caso no hay aplastamiento vertebral.
La secuencia SE T1 post-contraste con saturación grasa coronal (E) muestra la topografía de la lesión y el patrón de realce.
Se confirma la naturaleza de la lesión por punción ósea guiada por TC.


Figura 2
LNH, lesión ósea única, compromiso secundario. (cont)

Paciente con LNH y lesión ósea de sustitución en el cuerpo de L4 confirmada por punción, con aplastamiento y compromiso del canal raquídeo.
En RM, secuencia FSE T2 sagital (A) la lesión es heterogénea, predominantemente de alta señal. Es hipointensa en T1 (B) y tiene intenso realce con el medio de contraste (C).
Es claro el compromiso del muro posterior y la disminución de altura del cuerpo vertebral.
En el plano axial (T1 en D, T2 en E y T1 con contraste en F) se observa la proyección del componente lesional hacia el canal con compromiso severo del mismo (flecha discontínua).


Figura 3
LNH, lesión ósea única, compromiso secundario. (cont)

En el paciente se observa un patrón de lesiones múltiples de sustitución con un patrón infiltrativo. En la TC plano sagital (A) se observa un aumento difuso, parcheado de la densidad, sin aplastamientos vertebrales.
En RM, secuencia T2 sagital (B) las lesiones están mal definidas con alta señal, hipointensas en secuencia T1 (C) y edema en secuencia STIR (D).
Este patrón, menos frecuente, tiene diferentes diagnósticos diferenciales, sobre todo con el mieloma múltiple.

Lesiones extra-durales. Figuras 4 a 6

El compromiso intraraquídeo extradural se presenta habitualmente como masas sólidas, homogéneas, isointensas en T1 y levemente hipointensas en T2, con intenso realce tras administrar medio de contraste.
Estas masas son casi siempre de localización posterior con respecto al cordón y pueden formar un verdadero “manguito” que rodea el saco dural con compresión variable del mismo. Es frecuente encontrar compromiso de múltiples niveles y extensión a través de los neuro-forámenes hacia Lesiones extra-durales. Figuras 4 a 6 las regiones vecinas incluso en continuidad con cadenas ganglionares linfáticas, sobre todo retro-peritoneales. Es importante diferenciar si se trata de lesiones extra-durales o la extensión extra-dural de lesiones óseas o de regiones vecinas (situación más frecuente).

La compresión medular por masa extra-dural en el linfoma es poco frecuente y en general se ve en estadíos avanzados de la enfermedad y con mal pronóstico funcional y vital (5).


Figura 4
LNH, lesiones óseas y masa extradural, compromiso secundario.
Paciente con LNH sistémico, que presenta dolores óseos progresivos y un síndrome de medular asociado.
En RM, secuencia T2 sagital (A) se observan múltiples pequeñas lesiones óseas (*) heterogéneas, y una masa de partes blandas a nivel dorsal bajo, intra-raquídea, extradural, de baja señal en T2 con desplazamiento y compresión del cordón medular (flecha discontínua).
En secuencia T1 (B) es de baja señal y luego de administrar contraste presenta intenso realce, homogéneo (C).


Figura 4
LNH, lesiones óseas y masa extradural, compromiso secundario. (cont)
En el plano axial (D secuencia T2, E secuencia T1 y F secuencia T1 con contraste) se observa la masa descrita con un patrón de crecimiento que lo “amolda” al canal y se extiende a los espacios vecinos a través de los neuro-forámenes del nivel seleccionado.


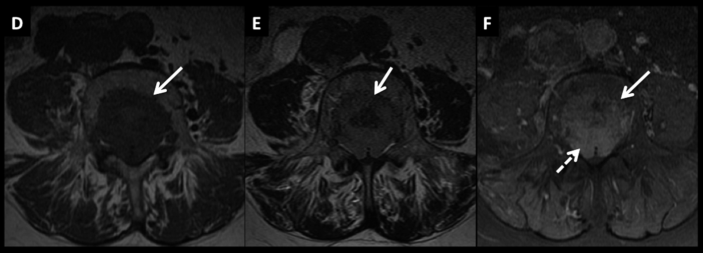
Figura 5
LNH, lesiones óseas múltiples y masa intrarraquídea extradural, compromiso secundario.
Paciente con diagnóstico de LNH sistémico y lesiones óseas múltiples (*) a nivel dorsal bajo y masa intrarraquídea extradural con compresión medular.
Las lesiones son de baja señal en T2 (A) y T1 (B) con edema óseo en STIR (C) y realce intenso, algo heterogéneo con el medio de contraste (D).
La masa intrarraquídea es sólida con intenso realce y que comprime el cordón medular. En secuencia T1 en fase (E) y fuera de fase (F) se observa el comportamiento habitual de las lesiones agresivas, con aumento de señal en el pasaje de una fase a la otra. En difusión b1000 (G) y mapa de ADC (H) las lesiones son de alta y baja señal respectivamente, un elemento habitual en lesiones agresivas.


Figura 6
LNH, masa intrarraquídea extradural, compromiso primario.
Imágenes seleccionadas de un paciente joven con un síndrome de cola de caballo progresivo con intenso dolor. En el plano sagital T2 (A) se observa una extensa masa sólida intrarraquídea intradural, extramedular, de señal intermedia.
En T1 (B) la misma es homogénea de baja señal con alta señal en STIR (C).
Luego de administrar medio de contraste presenta un intenso y homogéneo realce (D).
Se confirma el diagnóstico luego analizar una muestra del tejido obtenido en cirugía de degravitación del conducto raquídeo.

Compromiso leptomeníngeo. Figura 7

El realce con un patrón de distribución leptomeníngea en la superficie medular y sobre las raíces es su forma de presentación habitual.
También es común encontrar engrosamiento difuso, en algunos casos nodular, de las raíces nerviosas que forman la “cola de caballo”, con intenso realce luego del medio de contraste.
Este tipo de compromiso primario es muy poco frecuente, se describe como menos del 1% del total de lesiones raquimedulares relacionadas al linfoma (6).
Los nódulos o masas siguen el trayecto de distribución de las estructuras nerviosas lo que abre la puerta a múltiples diagnósticos diferenciales como las enfermedades granulomatosas o inflamatorias, o la diseminación de tumores primarios encefálicos (7).
En algunos casos las lesiones pueden ser proximales y situarse sobre la superficie medular en relación a la leptomenínge.


Figura 7
LNH, infiltración de cola de caballo, compromiso leptomeníngeo secundario.
Paciente joven con LNH y síndrome radicular asociado. En el estudio de estadificación se encuentra un patrón de infiltración de las raíces de la cola de caballo y se confirma el diagnóstico por estudio citológico del líquido céfalo raquídeo.
Este tipo de patrón se caracteriza por raíces nerviosas engrosadas que luego de administrar medio de contraste (D a F) presentan intenso realce.
El proceso infiltrativo rodea al cono medular (flecha discontínua) y puede contribuir a la clínica del paciente.

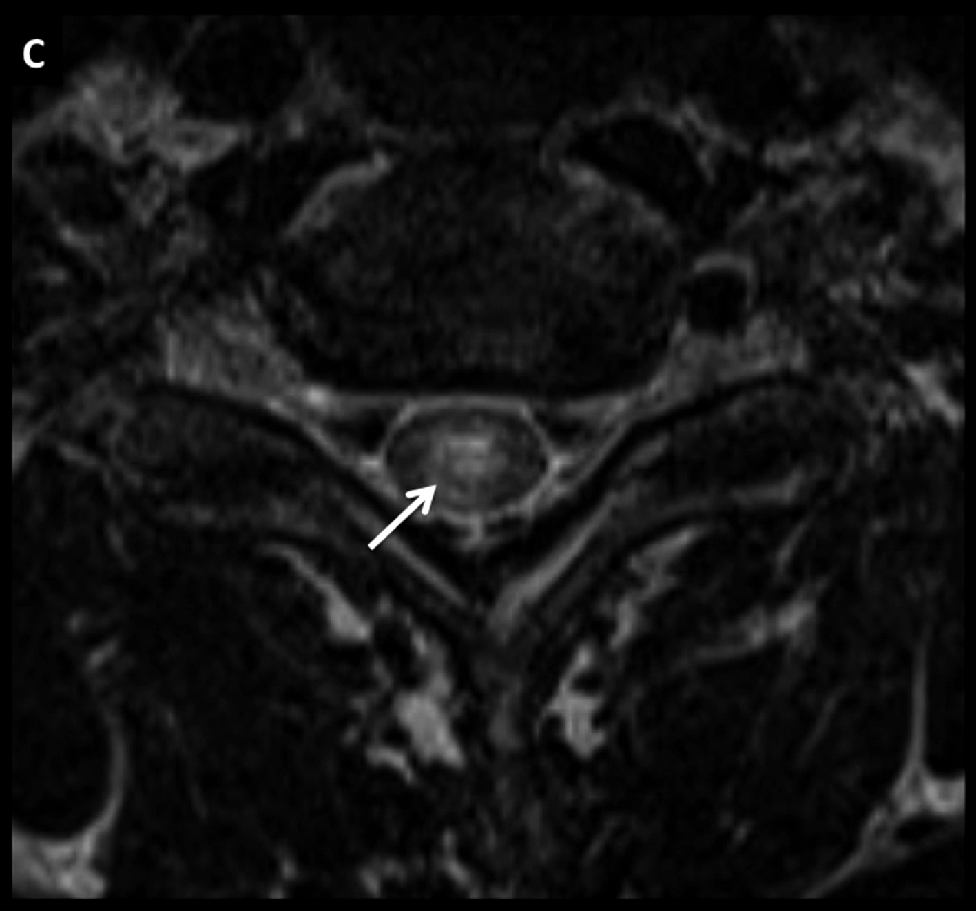
Médula espinal. Figura 8

Cuando el compromiso es medular se identifica ensanchamiento del cordón con edema acompañante y extensión en varios niveles (diagnóstico diferencial de mielitis longitudinalmente extensa), con isointensidad de señal en T1, alta en T2, y realce variable.
La afectación del cordón medular en el linfoma es muy rara, siendo habitualmente secundario a compresión por lesiones del raquis o por compromiso paraneoplásico (8). Así representa menos del 1% del total de linfomas primarios del sistema nervioso.


Figura 8
LNH, lesión medular, compromiso primario.
Paciente de 54 años con síndrome medular de instalación progresiva. En RM se identifica lesión medular cervical con ensanchamiento focal de varios segmentos, con alta intensidad de señal en secuencia T2 (A) y realce lineal, intenso, en secuencia T1 post-gadolinio (B).


Figura 8
LNH, lesión medular, compromiso primario. (cont)
En secuencia T2 en el plano axial (C) la alteración es heterogénea, centro-medular. Se decidió realizar biopsia de este proceso y el estudio histopatológico confirmó el diagnóstico de linfoma. Luego de la valoración sistémica no se evidenció compromiso asociado en otros territorios por lo que el diagnóstico final fue de LNH primario.

CONCLUSIONES

El linfoma es una entidad hemato oncológica de relativa frecuencia en la práctica clínica. Su compromiso es habitualmente de las estructuras que forman parte del sistema linfoide, pero en algunos casos se observa afectación extranodal, asociada o formando parte de un compromiso primario.

El compromiso del eje raquimedular es poco frecuente pero sus patrones son limitados: compromiso óseo, con lesiones únicas o múltiples, solitario o asociado a masas sólidas con extensión intrarraquídea, infiltración leptomeníngea y lesiones medulares.

El compromiso del eje raquimedular es poco frecuente pero sus patrones son limitados: compromiso óseo, con lesiones únicas o múltiples, solitario o asociado a masas sólidas con extensión intrarraquídea, infiltración leptomeníngea y lesiones medulares.

BIBLIOGRAFIA

  • Thomas AG, Vaidhyanath R, Kirke R et al. Extranodal lymphoma from head to toe: part I, The head and spine. AJR 2011; 197:350-356

  • Haque S, Law M, Abrey LE, Young RJ. Imaging of lymphoma of the central nervous system, spine, and orbit. Radiol Clin North Am 2008; 46:339–361

  • Pawha PS, Chokshi FH. Imaging of spinal manifestations of hematological disorders. Hematol Oncol Clin N Am 2016; 30:921-944

  • O’Neill J, Finlay K, Jurriaans E et al. Radiological manifestations of skeletal lymphoma. Curr Probl Diagn Radiol 2009; 38(5):228–36

  • Abu-Bonsrah N, Boah AO, Goodwin CR et al. Epidural spinal compression as an initial presentation of Hodgkin lymphoma. J Clin Neurosci 2016; 26:166-8

  • Teo MK, Mathieson C, Carruthers R, Stewart W, Alakandy L. Cauda equina lymphoma – a rare presentation of primary central nervous system lymphoma: case report and literature review. Br J Neurosurg 2012; 26:868–71

  • Shin HK, Oh SK, Woo CG et al. Cauda equina lymphoma mimicking non-neoplastic hypertrophic neuropathy of the cauda equina: a case report. Br J Neurosurg 2016; 30(6):678-680

  • Elavarasi AM, Dash D, Warrier AR et al. Spinal cord involvement in primary CNS lymphoma. J Clin Neurosci 2018; 47:145-148


* Centro de Alta Tecnología Montevideo - Uruguay

Volver al principio