ROL DE LA ENTERORRESONANCIA EN LA ENFERMEDAD DE CROHN

Dra. Cinthya Marenco *
Dra. Margarita Garcia Fontes *
Dr. Agustín Arruti *

RESUMEN

La entero resonancia magnética (ERM) se ha convertido en el método imagenológico de primera línea para el estudio de las enfermedades inflamatorias intestinales por sus innumerables ventajas frente a otras técnicas. Permite valorar los cambios en la pared así como las complicaciones extraparietales y predecir la actividad de la enfermedad. Su  capacidad multiplanar, una gran resolución de contraste y, por sobre todo, la no utilización de radiaciones ionizantes son la base de su utilidad. Este trabajo pretende revisar la bibliografía referente al tema haciendo hincapié en la técnica de estudio, ventajas y principales hallazgos normales y patológicos.

PALABRAS CLAVE: Entero resonancia magnética, enfermedad inflamatoria intestinal, enfermedad de Crohn.

ABSTRACT

Magnetic Resonance Enterography (MRE) has become the first line imaging method for the study of intestinal inflammatory diseases due to its innumerable advantages over other techniques. It allows to assess changes in the wall as well as extraparietal complications and predict the activity of the disease. Its multiplanar capacity, a high resolution of contrast and, above all, the non-use of ionizing radiations are the basis of its usefulness. This paper aims to review the literature on the subject, emphasizing the study technique, advantages and main normal and pathological findings.

KEY WORDS: Magnetic Resonance Enterography, inflammatory bowel disease, Crohn's disease.

INTRODUCCIÓN

Las enfermedades intestinales, sobre todo las que afectan al intestino delgado, son poco comunes. Dentro de ellas, se destacan por frecuencia las enfermedades inflamatorias. La valoración del intestino delgado siempre ha resultado un desafío ya que la mayoría de los endoscopios no alcanzan a valorarlo adecuadamente. Hasta hace poco tiempo los estudios contrastados como el tránsito de delgado, eran los únicos disponibles para el estudio de este sector intestinal. Sin embargo, no permiten valorar la afectación extraparietal. El advenimiento de la cápsula endoscópica, ha permitido una excelente valoración de la mucosa intestinal, equiparable al de la endoscopía en sectores no alcanzados por ésta. Pero tampoco permite la valoración trans y extramural.

En los últimos años ha aumentado el uso de la ecografía sin o con medios de contraste ultrasonográficos, como método imagenológico para valorar alteraciones parietales del intestino delgado. En manos experimentadas puede demostrar engrosamiento parietal y aumento de la vascularización del asa afectada con Doppler color como signos de actividad inflamatoria. Sin embargo, presenta limitaciones para valorar determinados segmentos intestinales, sobre todo en la pelvis y es menos reproducible. La TCMD y RM permiten valorar las alteraciones parietales, la actividad de la enfermedad, las alteraciones asociadas y descartar diagnósticos diferenciales asi como monitorizar el tratamiento.

El gran inconveniente de la TCMD es la dosis radiante, en pacientes generalmente jóvenes que requerirán exploraciones reiteradas con la consiguiente dosis acumulada de radiación lo que determina mayor riesgo de desarrollar neoplasias digestivas, por lo tanto se reserva para el estudio de complicaciones agudas como obstrucción o abscesos. (1,2)

La entero RM proporciona información anatómica y funcional del intestino a través de las secuencias convencionales y en modo cine, difusión y perfusión por RM. Su rol principal es en la valoración de la enfermedad inflamatoria aunque es creciente el rol que está cumpliendo en la valoración de otras patologías como la enfermedad celíaca, enteritis rádica, adherencias y patología maligna. (1)

MATERIAL Y MÉTODO

Se revisaron en forma retrospectiva las imágenes e informes de las entero RM realizadas en el Departamento Clínico de Imagenología del Hospital de Clínicas Dr. Manuel Quintela, en el período comprendido entre abril de 2012 hasta agosto de 2015. Se realizaron 50 entero RM en el período estudiado, excluyéndose de la muestra 17 dado que no se encontraron las imágenes en el archivo digital PACS. Todas las entero RM se realizaron en equipo cerrado Siemens Avanto de 1,5 Tesla. Se recopilaron además tres casos de la mutualista Médica Uruguaya y un caso del Sanatorio Americano, con el objetivo de ilustrar el trabajo.

TÉCNICA Y PREPARACIÓN DEL PACIENTE

Lograr un alto porcentaje de éxito del estudio depende en gran medida de una técnica adecuada. El principal objetivo es alcanzar un grado óptimo de distensión intestinal, siendo mínimamente invasivos y con cortos tiempos de exploración para minimizar arjpgicios por movimiento. La escasa distensión puede simular u ocultar procesos patológicos. (3)
Hoy en día se utiliza la enterografía por RM (ERM) distendiendo el intestino en forma anterógrada con contrastes vía oral. La técnica de enteroclisis, que requiere el uso de una sonda nasoyeyunal, está en desuso por ser invasiva y poco tolerada por el paciente. (1,2)
Existen tres tipos de agentes de contraste vía oral utilizados en estudios de ERM. Los positivos (quelatos de Gadolinio), los contrastes negativos (partículas superparamagnéticas) y los bifásicos. Estos últimos son los más aceptados ya que generan una señal hipointensa en secuencias T1, que permite detectar con facilidad el realce patológico, que es hiperintensa en T2.
Dentro de este grupo encontramos diversos tipos de agentes como el agua, agentes osmóticos y no osmóticos y polietilenglicol (PEG) (1,2,3), estos dos últimos son los mas utilizados por su amplia disponibilidad y bajo costo, con escasos registros de efectos adversos durante la exploración. (2)
El paciente debe concurrir al servicio de imagenología con al menos 6 horas de ayuno para favorecer la ingesta del contraste oral y lograr un peristaltismo más homogéneo. La mayoría de los autores refieren que no se requiere preparación intestinal con laxantes. (1,2) Existen dos factores importantes a tener en cuenta: el volumen de contraste administrado y el tiempo de administración. La mayoría de las pautas consisten en administrar 1500 a 1700 ml de manitol diluído al 5 o 10% que debe ingerirse en forma continua durante 40 a 60 minutos para lograr una distensión homogénea (2,3). En pacientes pediátricos y en aquellos con resecciones intestinales el volumen se ajusta, al igual que en los casos de intolerancia por náuseas o diarrea, usando menores volúmenes.
El contraste rectal no se utiliza de rutina, pero puede ser de utilidad en los casos en que la patología esté centrada en el colon o para valorar el íleon terminal. (1,2) El uso de antiperistálticos es mandatorio ya que uno de los problemas más importantes en el estudio del intestino delgado es el arjpgicio por movimiento peristáltico intestinal, principalmente en las secuencias T1 con contraste que son las más susceptibles. Esto puede ocultar hallazgos importantes o generar falsos positivos (1). Los antiperistálticos más utilizados son Metilbromuro de Hioscina y glucagón. Existen variados protocolos de administración, la más utilizada es por vía i/v entre 10 a 40 mg antes del inicio de la exploración. (1,2)

Para la realización del estudio el paciente se puede posicionar en decúbito prono o supino (1,2,4). Algunos autores recomiendan la posición prona alegando que la compresión de las asas favorece la disminución del peristaltismo con menores arjpgicios y menor riesgo de aspiración en caso de vómitos (1). Sin embargo, todos coinciden en que no es tan aceptada por el paciente generando disconfort y está contraindicada en caso de ostomía. (1,2,4)
Se utilizan bobinas de superficie phased array para aumentar la relación señal-ruido. Las mismas se posicionan a nivel centro abdominal y permiten el estudio de abdomen y pelvis en la misma exploración. Los equipos deben ser de alto campo, entre 1,5 y 3 Tesla, descartando previamente contraindicaciones.
El protocolo de estudio varía aunque debe incluir siempre secuencias rápidas potenciadas en T2, al menos en dos planos y uno de ellos con saturación grasa. (1,2)(Tabla 1) Las secuencias eco de gradiente coherentes son secuencias rápidas y por tanto poco susceptibles al movimiento. Reciben diferentes denominaciones según el fabricante (True Fisp para Siemens, Balanced para Philips o Fiesta para General Electric). Se obtienen en el plano coronal de rutina, pudiendo realizar otros planos de ser necesario. Genera señal intraluminal homogénea, buen contraste entre la pared intestinal, la luz y el mesenterio, con mejor visualización de vasos y adenopatías. En la interfase agua-grasa se genera un artefacto de cambio químico, en tinta china, que puede ocultar pequeños engrosamientos parietales o impedir una correcta valoración de la pared. (1) La secuencia T2 permite un alto contraste entre la pared y la luz. No presenta artefacto por cambio químico permitiendo una correcta valoración del grosor parietal. Es sensible para detectar edema parietal, fístulas y colecciones, con limitaciones para valorar adenopatías y estructuras vasculares. (1,4)
Es fundamental que uno de los planos se realice con saturación grasa. Esto incrementa el contraste entre la pared y la grasa circundante y es útil para diferenciar entre edema y grasa en la submucosa. Es una secuencia susceptible al movimiento peristáltico, pudiendo generarse imágenes hipointensas de vacío de señal intraluminal que no deben ser confundidas con imágenes patológicas. (1,4) (Figura 1y 2) Las secuencias volumétricas pre y post inyección de gadolinio bi o tridimensionales, se deben realizar siempre y cuando no existan contraindicaciones al mismo. Se deben realizar con saturación de la grasa para aumentar la resolución de contraste y facilitar la visualización de la pared y el tipo de realce. (Figura 3). El contraste intravenoso además delinea mejor los trayectos fistulosos y otras complicaciones.(1)
La dosis de contraste utilizada es de 0,2 mmol/kg a una velocidad de 3-3,5 ml/seg por bomba de infusión continua, seguido de 20 ml de suero de lavado. Se obtienen fases arterial (30 seg), venosa portal (60-75 seg) y, en forma opcional, tardíos a los 7 minutos. (2)
Existen secuencias que no se utilizan en forma rutinaria pero se ha demostrado que pueden tener aportes importantes. La difusión es útil para acentuar la inflamación parietal que presenta restricción en difusión. La perfusión valora el grado de realce parietal en función del tiempo y el estado de la microcirculación.
La RM en modo cine permite complementar la valoración anatómica con el estudio funcional de la motilidad intestinal. Su principal utilidad es en la detección de estenosis, para determinar si corresponden a estenosis fijas (inflamatorias o fibróticas) o espasmos transitorios. En caso de sospecha de fístula se puede completar la valoración de la región perianal. (1)

ANATOMÍA NORMAL

El intestino delgado es un segmento del tubo digestivo que mide aproximadamente 7 metros de longitud y se conforma de duodeno, yeyuno e íleon. El duodeno se extiende desde el píloro al ángulo de Treitz (duodenoyeyunal), adoptando una configuración en C que rodea la cabeza del páncreas y se divide en cuatro porciones, la primera, o bulbo, es la única porción intraperitoneal (1,6). El yeyuno-íleon se extiende desde el ángulo duodenoyeyunal hasta la unión ileocecal y se dispone como asas en forma de U. El yeyuno ocupa el sector superior izquierdo del abdomen, mientras que el íleon ocupa el sector inferior derecho. A medida que avanzamos al íleon disminuyen progresivamente los pliegues mucosos circulares o válvulas conniventes asi como el calibre de la luz. El grosor de la pared intestinal no debe superar los 3 a 4 mm. En ERM se idenjpgica claramente el patrón de los pliegues mucosos y la luz. El realce parietal normal con el contraste es moderado y homogéneo siendo menor que el de la pared gástrica y el páncreas. (6) (Figura 1)


El intestino grueso es la última parte del tubo digestivo, desde el yeyuno íleon hasta el ano con una longitud de aproximadamente 1,5 metros. Se compone de ciego, colon ascendente, transverso, descendente, sigmoides, recto y canal anal. El calibre disminuye en sentido distal, presentando en el recto una dilatación llamada ampolla rectal. La superficie está recorrida por bandas musculares longitudinales o tenias que delimitan saculaciones o haustras. Estas disminuyen también en número luego del angulo izquierdo y en las proximidades del recto. (1,6)


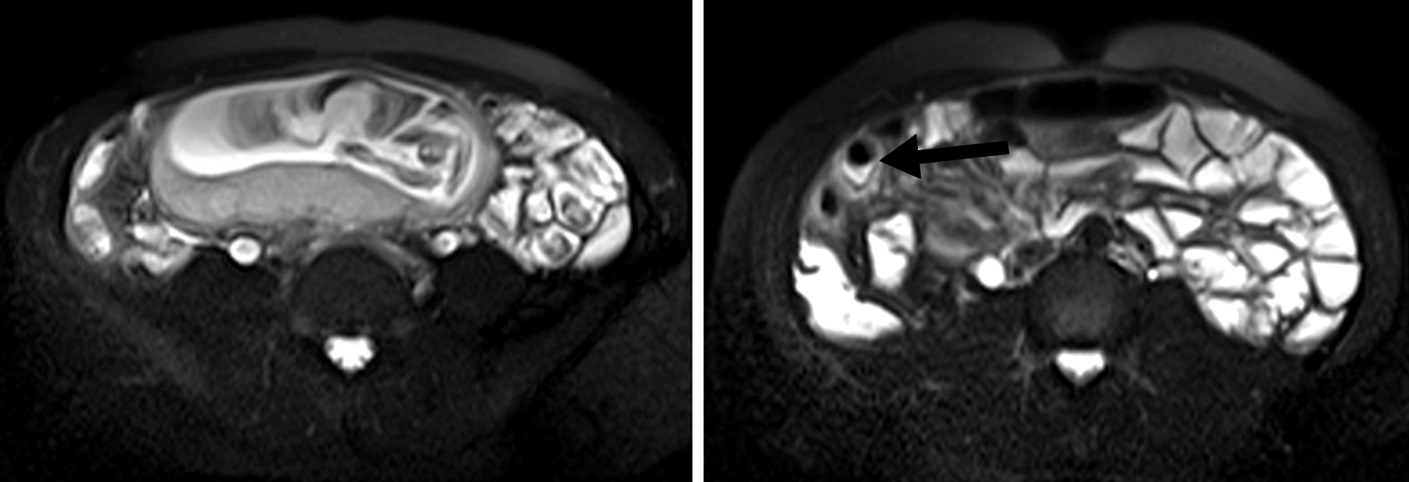
Figura 1
a y b) Secuencia coronal y axial en eco de gradiente coherente. Intestino delgado normal distendido con señal intraluminal homogénea. Se observa el artefacto en tinta china periférico que no debe confundirse con engrosamientos parietales (flecha blanca). c) Secuencia T2 coronal sin saturación grasa
d) Axial con saturación grasa. Intestino delgado normal con vacíos de señal intraluminal por efecto del peristaltismo normales en estas secuencias.
e) Secuencia T1 coronal con gadolinio y saturación grasa. Se idenjpgica el realce parietal habitual.

ENFERMEDAD DE CROHN

La enfermedad de Crohn (EC) es una enfermedad inflamatoria crónica, transmural, que puede afectar cualquier parte del tubo digestivo desde la boca al ano (1,7). La etiopatogenia no se conoce con exactitud pero se cree que un conjunto de factores ambientales y genéticos activan la respuesta inmune de la mucosa a través de mediadores inflamatorios (1). En el 70 a 80% de los pacientes existe compromiso del intestino delgado y en un 20 a 30% la enfermedad se encuentra limitada a este sector. Dentro del intestino delgado el sitio más comúnmente afectado es el íleon terminal (7). El colon se puede encontrar afectado en forma aislada (15 a 20%) o coexistir con la afectación del intestino delgado (50%) (1). La enfermedad cursa con empujes y remisiones con síntomas que varían desde dolor abdominal, alteraciones del tránsito intestinal o pérdida de peso entre otros y se clasifica clínicamente en tres subtipos, inflamatoria activa, estenosante y fistulizante o penetrante. Es frecuente encontrar distintos patrones de afectación en un mismo paciente que reflejan diferentes empujes de la enfermedad. (1,3,10)
El diagnóstico se basa en los síntomas clínicos, endoscopía y biopsia y estudios radiológicos. En general, la ERM se realiza en pacientes con EC confirmada histológicamente con el fin de valorar la extensión de la enfermedad y las posibles complicaciones en vistas al tratamiento.Sin embargo está aceptada como primer estudio en pacientes pediátricos en quienes es alta la sospecha o en pacientes con síntomas gastrointestinales inespecíficos y biopsia negativa o endoscopía incompleta. (1)

ALTERACIONES PARIETALES

El engrosamiento parietal es el sello distintivo de la enfermedad, siendo el hallazgo más común y uno de los indicadores de enfermedad activa (8). En el intestino adecuadamente distendido, un grosor parietal mayor a 3 mm es considerado patológico. La mejor secuencia de ERM para la valoración parietal es T2 ya que no posee el artefacto de cambio químico de la secuencia eco de gradiente coherente que puede ocultar pequeños engrosamientos parietales (1,12). El engrosamiento parietal puede ser simétrico o asimétrico, con predilección por el borde mesentérico del intestino lo que lleva a formación de saculaciones o seudodivertículos en borde antimesentérico. (1,13)
Los pliegues mucosos pueden encontrarse engrosados, distorsionados por ulceras o se puede encontrar un patrón en empedrado. Este último consiste en áreas lineales de alta intensidad de señal en el espesor de la pared engrosada por la presencia de úlceras longitudinales y transversales (11,13,14). La detección de úlceras es altamente dependiente del grado de distensión luminal y se detectan las úlceras profundas.
La pared normalmente presenta baja intensidad de señal en secuencias T2; el aumento de la intensidad de señal que se mantiene luego de saturar la grasa corresponde a edema mucoso o submucoso y se relaciona con enfermedad activa. En ocasiones se puede idenjpgicar en secuencias T2 un patrón en diana dado por un anillo de alta intensidad de señal entre la mucosa y la serosa que representa edema submucoso. (1,12,15) (Figura 2)

En la EC crónica puede encontrarse infiltración grasa de la submucosa, que se distingue del edema porque suprime su señal en secuencias con grasa saturada y genera artefacto de cambio químico (12). En este caso se puede observar en secuencias con saturación grasa el signo del halo dado por un anillo hipointenso entre la mucosa y serosa que corresponde al depósito de grasa submucoso. (1). El realce parietal tras la administración de contraste i/v puede ser el signo más precóz de inflamación activa. (1,2) Existen cuatro patrones de realce que se correlacionan con el grado de actividad de la enfermedad. El primer patrón consiste en realce únicamente de la mucosa; este puede ser precóz e incluso aparecer antes que el engrosamiento parietal (1,2,12). El segundo es el denominado patrón estrajpgicado que consiste en realce de la mucosa y muscular- serosa con una capa central de baja intensidad de señal por edema submucoso. Este patrón en diana es el más específico de inflamación activa. (1,2,12,15,16) (Figura 3)

El tercer patrón consiste en realce difuso de la pared, sin estrajpgicación, por inflamación transmural. Es más común en niños y adultos jóvenes con enfermedad activa. Finalmente el cuarto patrón es un realce difuso, moderado e inhomogéneo que caracteriza a la fase crónica. (1,2,12) La perfusión por RM permite obtener curvas del grado de realce en función del tiempo lo que refleja el estado de la microcirculación. Durante la inflamación se evidencia realce precóz por neoangiogénesis alcanzando rápidamente un pico y persistencia del mismo en meseta por aumento de la permeabilidad capilar. En la enfermedad crónica se ve un realce progresivo con mayor pendiente de la curva, un pico menor, y wash out. (7)


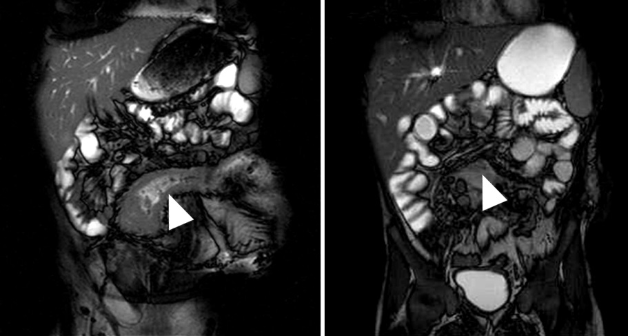
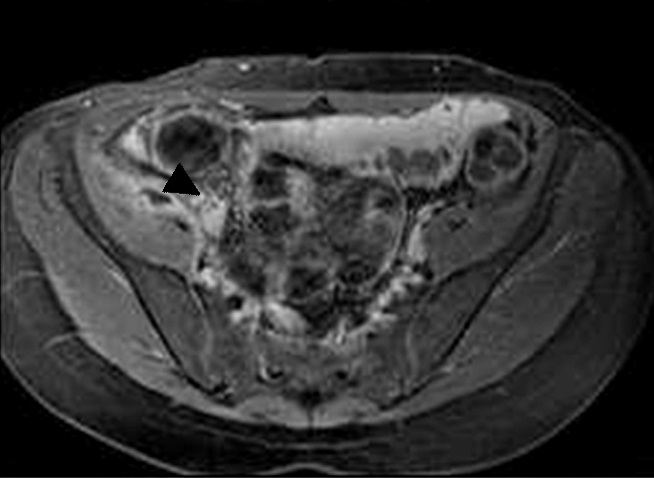
Figura 2
Paciente de sexo masculino de 9 años con antecedente de resección colónica y ostomía por enfermedad de Crohn. a) Secuencia eco de gradiente coronal donde se idenjpgica el engrosamiento parietal del asa detransitada de 6 mm de espesor (punta de flecha).
b) Misma secuencia muestra adenomegalias ileocólicas de hasta 10 mm como elemento de actividad (punta de flecha).
c) Secuencia T2 axial con saturación grasa evidencia edema submucoso como una banda hiperintensa central entre la mucosa y serosa (flecha).

HALLAZGOS EXTRAMURALES

Durante el proceso inflamatorio, aumenta el flujo sanguíneo con ingurgitación de los vasos rectos que irrigan el sector de intestino afectado. Esto se manifiesta en la imagen como estructuras lineales en el sector mesentérico que cuando se disponen en sentido perpendicular al segmento intestinal afectado se denomina signo del peine (1,8,12,14,15). Estas estructuras vasculares realzan con el medio de contraste por lo que se visualizan mejor en secuencias potenciadas en T1 con saturación grasa y gadolinio. También se visualizan claramente en secuencias T2 con saturación grasa y eco de gradiente como estructuras lineales hiperintensas e hipointensas respectivamente perpendiculares al intestino. (Figura 4)

La inflamación de la grasa perientérica es un signo de actividad y se manifiesta como aumento difuso y mal delimitado de la señal de la grasa en secuencias T2. (8,13) El líquido libre, es en general reactivo, puede aparecer adyacente a las asas y en los sectores declive y es más visible en secuencias T2. (9,18) Es común encontrar ganglios linfáticos y adenomegalias adyacentes al intestino afectado. Se detectan con mayor sensibilidad en secuencias eco de gradiente y T2 con saturación grasa y pueden presentar realce homogéneo con el medio de contraste. Las secuencias de difusión colaboran en la detección de ganglios ya que son hiperintensos en esta secuencia. (1,12,16) (Figura 2b) La proliferación fibrograsa se define como un aumento de la grasa mesentérica con efecto de masa que separa las asas y desplaza los vasos y se produce principalmente en el borde mesentérico. (1,12)


Figura 3
Enfermedad de Crohn a) Secuencia T2 axial sin supresión grasa evidencia engrosamiento parietal de la última asa ileal (flecha blanca).
b y c) secuencias T1 con saturación grasa y gadolinio. Realce estrajpgicado dado por realce de la mucosa (flecha larga) y serosa (flecha corta) separadas por la capa submucosa edematosa (asterisco).


Figura 4
Paciente con enfermedad de Crohn de 10 años de evolución, cursando gestación de 13 semanas. Secuencia eco de gradiente coronal. Asas delgadas de paredes engrosadas en la fosa ilíaca derecha, se idenjpgican los vasos rectos ingurgitados como estructuras lineales perpendiculares a la pared constituyendo el signo del peine (flecha).

COMPLICACIONES

La inflamación transmural con úlceras penetrantes determina la formación de fístulas o tractos sinusales. Aproximadamente el 35% de los pacientes tendrán fístulas en el transcurso de su enfermedad; se definen como la comunicación entre dos superficies epitelizadas y pueden producirse con otras asas, el colon, vejiga, piel u otros órganos adyacentes (1,12,14,19). El tracto sinusal termina en un fondo de saco ciego, se extiende desde el intestino afectado al mesenterio, músculo o pared abdominal. (1,12,18) (Figura 5)

Se reconocen en secuencias eco de gradiente y T2 por su contenido líquido asi como en secuencias con contraste presentando realce periférico en anillo. En las secuencias de difusión muestran restricción, siendo esta una secuencia complementaria, sobre todo en pacientes en los que existen contraindicaciones al gadolinio. (1). El signo de la estrella, dado por la convergencia de varias asas intestinales inflamadas es altamente sugestivo de fístula enteroentérica. (14)

La ERM tiene alta sensibilidad y especificidad para la detección de esta complicación, 84% y 100% respectivamente. (1,12) La inflamación mesentérica puede conducir a la formación de adherencias las cuales pueden producir un cuadro oclusivo, complicación grave. Se ven como bandas fibrosas isointensas y con realce tras el contraste. (13)

El flemón se manifiesta como una pseudomasa, sólida, hipointenso en T1 y de moderada señal en T2 y constituye el paso previo a la abscedificación. El absceso se define como una colección purulenta bien delimitada, hipointenso en T1 e hiperintenso en T2 con realce periférico e intensa restricción en difusión (1,12). Sin embargo no es infrecuente que presente señal heterogénea y gas en su interior. Es muy importante su detección ya que requiere drenaje y tratamiento antibiótico. La ERM tiene alta sensibilidad diagnóstica cercana al 100%. (14)

El patrón fibroestenótico se caracteriza por presentar estenosis segmentarias de corta longitud que se pueden acompañar de dilatación preestenótica variable. El segmento estenótico, fijo, puede presentar engrosamiento mural y realce homogéneo con el contraste, sobre todo en fases tardías a los 7 minutos (2) (Figura 6). La secuencia cine, que se debe realizar previo a la administración de antiperistálticos, es valiosa para demostrar la ausencia de distensibilidad.

Un punto importante es diferenciar estenosis inflamatorias que requieren tratamiento médico de aquellas fibrosas que muchas veces requieren tratamiento quirúrgico teniendo presente que ambas situaciones pueden coexistir en el segmento afectado (1,2). Los hallazgos en la estenosis inflamatoria son hiperseñal de la submucosa por edema en secuencias T2 con saturación grasa y realce en capas. En la estenosis de tipo fibroso la pared es hipointensa en todas las secuencias (20). Las estenosis inflamatorias se acompañan además, de las alteraciones periintestinales de fase activa. (1)


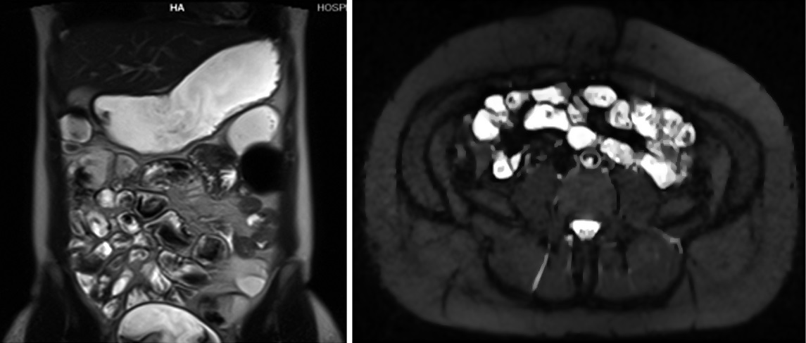
Figura 5
Enfermedad de Crohn
a y b) Secuencias T2 con saturación grasa en el plano axial. Engrosamiento parietal circunferencial de la última asa ileal sin edema que contacta con el colon transverso presentando adherencias con el mismo (flecha). Tracto sinusal que se extiende desde el asa alterada al borde anterior del músculo ilíaco derecho (flecha corta).
c) Secuencia T1 con saturación grasa y gadolinio, pequeña colección líquida en el espesor muscular con realce parietal (punta de flecha)


Figura 6
Paciente de 39 años con enfermedad de Crohn diagnosticada en 2012.
a) Sagital T2, el colon sigmoides presenta disminución de calibre en la unión recto sigmoidea.
b) T2 axial, no hay evidencia de edema submucoso ni otros signos de actividad. En la secuencia cine la estenosis permanecía fija, por lo que se interpretó como secuelar.

PAPEL DE LA DIFUSIÓN

La difusión por RM se basa en el movimiento Browniano de las moléculas de agua en los tejidos. El aumento de la celularidad como se ve en tumores o procesos inflamatorios, disminuye el movimiento de las moléculas de agua que presentan fenómeno de restricción. (21, 22)
En las EEII la base fisiopatológica consiste en infiltración de la mucosa y submucosa por células inflamatorias y linfoides lo que lleva a la restricción en difusión. Se han encontrado valores de sensibilidad del 86-94% con especificidad del 81-84% para la detección de inflamación. (21)
Es de gran valor en pacientes en los que no se puede administrar gadolinio, tanto para la detección de sectores inflamados como para delimitar complicaciones como abscesos.
La pared intestinal afectada muestra aumento de señal transmural con bajos valores de ADC. Las adenomegalias o ganglios mesentéricos adyacentes también se detectan con mayor facilidad en esta secuencia. (23) (Figura 7)
La difusión posee alta eficacia en la detección de complicaciones como abscesos que presentan intensa restricción y trayectos fistulosos que pueden verse hiperintensos por la presencia de material purulento o células inflamatorias en el trayecto. (22)
Si bien no está validada para evaluar la respuesta al tratamiento, algunos estudios demuestran que la disminución de la hiperintensidad en difusión es un indicador de respuesta al tratamiento y menor actividad inflamatoria. (22)


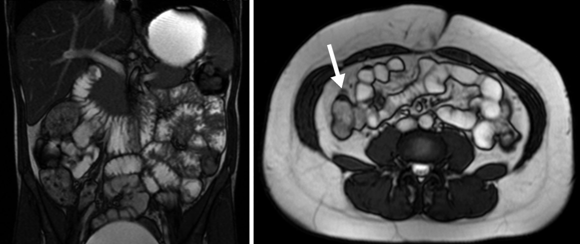
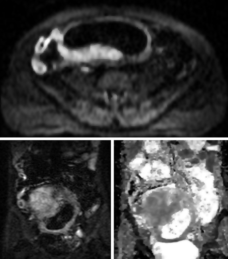
Figura 7
Misma paciente de la figura 6
a y b) Secuencia T2 axial con saturación grasa. Se observa un grupo de asas en fosa ilíaca derecha de paredes engrosadas en forma concéntrica y con edema submucoso (flecha).
c y d) Secuencia de difusión con valor b 800. E: Mapa de ADC. Se observa intensa restricción a la difusión del agua de las asas afectadas. En esta paciente en quien no se pudo realizar gadolinio debido a las semanas de gestación se muestra la importancia de la difusión en la valoración de actividad inflamatoria.

ACTIVIDAD

La evaluación de la actividad en la enfermedad de Crohn es de suma importancia para la toma de decisiones terapéuticas y se basa en criterios clínicos, de laboratorio, endoscópicos e imagenológicos. (7)
La colonoscopía es el método que mayor correlación muestra con el grado de actividad (índice de severidad endoscópica); sin embargo, al ser una técnica invasiva no se utiliza en forma rutinaria. (24)

Los scores clínicos, basados en la sintomatología del paciente, como el Crohn`s Disease Activity Index y el Harvey-Bradshaw Index son los más utilizados. Presentan importantes limitaciones porque muchas veces subestiman la enfermedad y tienen gran variabilidad interobservador al evaluar signos subjetivos como el grado de dolor. Dentro de los parámetros de laboratorio, se utiliza entre otros, la elevación de la proteína C reactiva; sin embargo esta no es específica ya que puede mantenerse normal durante la actividad. (25,26)
Numerosos trabajos han demostrado que algunos hallazgos de ERM como engrosamiento mural y cambios de señal de la pared y el patrón de realce con el contraste pueden ser utilizados como marcadores de actividad. (25, 27, 28, 29)

RESPUESTA AL TRATAMIENTO Y ROL EN LA TOMA DE DECISIONES

Alrededor del 80% de los pacientes con enfermedad de Crohn requieren tratamiento quirúrgico en algún punto de la evolución de la enfermedad. Este tratamiento, sin embargo, no es curativo, con un alto índice de recurrencias a nivel de la anastomosis (30). La entero RM ha demostrado una gran utilidad en valorar recurrencia de la enfermedad en pacientes con resecciones intestinales con una buena correlación con la endoscopía. (24,30)

Los tratamientos médicos actuales persiguen como objetivo la curación de la mucosa. En general los pacientes presentan buena repuesta a las terapias biológicas con disminución del espesor parietal, del edema submucoso y de las alteraciones mesentéricas asociadas. El patrón de realce presenta un cambio mas variable pudiendo mantenerse durante mayor tiempo. (24)
Se ha visto que un grupo de pacientes, con mejoría clínica y endoscópìca, no muestra cambios en las alteraciones inflamatorias encontradas en la ERM.
En un pequeño grupo se ha encontrado empeoramiento de las alteraciones inflamatorias luego de la terapia; este patrón requiere intervención terapéutica más agresiva. (24) Existen estudios que demuestran que la ERM ayuda a la toma de decisiones en más del 50% de pacientes, sobre todo en el seguimiento clínico para el uso de las terapias biológicas en caso de existir actividad inflamatoria y la indicación de cirugía en pacientes con predominancia de cambios fibróticos. (31)
El estudio del intestino delgado siempre ha resultado un desafío.

ERM VS OTROS MÉTODOS DE EVALUACIÓN INTESTINAL.

En el año 2000 la introducción de la cápsula endoscópica supuso un avance en la visualización endoluminal de todo el intestino. Crook et. al. realizaron un estudio prospectivo encontrando que ambas técnicas son complementarias; la ERM permitió un mejor estudio de la extensión de la patología y de las alteraciones extramucosas mientras que la cápsula mejoró el estudio de la mucosa, por lo tanto concluyeron que en conjunto mejoran la eficacia diagnóstica. (32)
El ultrasonido es una técnica de bajo costo y amplia disponibilidad que no utiliza radiación ionizante por lo que es creciente su interés en el estudio de la enfermedad de Crohn pediátrica (33). La EC se manifiesta, al igual que en otras técnicas, con engrosamiento mural e hiperemia parietal la cual puede ser evaluada a traves del Doppler o con el uso de medios de contraste. Tanto el grado de engrosamiento parietal como el grado de vascularización por ecografia presentan buen rendimiento diagnóstico para el diagnóstico de actividad de la enfermedad. (34,35,36) La ecogafia puede detectar complicaciones como las ulceras, fistulas o abscesos y es buena para la valoración de adenomegalias y líquido libre, pudiendo tambien idenjpgicar las estenosis permitiendo la valoración en tiempo real (34,35,36). Existen meta analisis que comparan la ecografia y la ERM en la EC que concluyen que si bien ambas tecnicas tienen buen rendimiento diagnóstico, la ERM muestra mejores resultados. (37,38)

La TCMD posee capacidad multiplanar y brinda la posibilidad de realizar enterografía por TC. Ha tenido un gran impacto en la evaluación de las asas sin superposición, brindando información sobre la extensión de la enfermedad, actividad y complicaciones mesentéricas. A pesar de estos beneficios, la exposición a radiaciones es de gran preocupación sobre todo en pacientes jóvenes con EII o pacientes con poliposis familiar que requerirán múltiples estudios a lo largo de la vida. (39,40)

Peloquin et al. estudiaron el riesgo de la exposición a radiación en una muestra de pacientes menores de 18 años con EII. Valoraron las TC realizadas a cada paciente en un período de 17 años y calcularon la dosis efectiva individual, estimando una dosis efectiva total para cada paciente de 26,6 mSv. (41)
La dosis efectiva varía de acuerdo al equipamiento y protocolos utilizados.

La Food and Drug Administration (FDA) estima que una TC con una dosis efectiva de 10 mSv (que equivale a una TC de abdomen) incrementa el riesgo de desarrollar una neoplasia maligna en aproximadamente 1 de cada 2000 pacientes mientras que el National Academy of Science predice que aproximadamente 1 de cada 1000 pacientes desarrollará cáncer por exposición a 10 mSv. (4,42)
Los hallazgos reflejan la necesidad de introducir estrategias para reducir la dosis radiante o buscar métodos imagenológicos alternativos que brinden la misma información con menor riesgo (4,41). Una alternativa es limitar el uso de la TC que debería ser solicitada por el especialista en caso de ser estrictamente necesaria. En ese caso se deben utilizar protocolos de baja dosis, lo que se logra disminuyendo el mA ajustándolo al hábito corporal del paciente asi como limitar el scan a la región de interés. (41,42)

Los estudios de medicina nuclear, sobre todo la tomografía por emisión de positrones (PET) y los equipos híbridos PET-TC proporcionan información tanto anatómica como funcional en forma relativamente no invasiva. El radiotrazador más utilizado es la 18 fluoro-desoxiglucosa (18-FDG) que es captada por las células con actividad metabólica aumentada. En las enfermedades inflamatorias las células hipermetabólicas expresan un mayor número de receptores de glucosa en la membrana con el fin de cubrir la demanda energética con aumento de captación del trazador. Por tanto permiten valorar la localización y extensión de la afectación, actividad y respuesta al tratamiento.
Si bien existen escasos trabajos publicados sobre la utilidad de esta técnica para evaluar las EII, coinciden en que existe buena correlación entre los hallazgos y la actividad inflamatoria demostrada por endoscopía, sobre todo en la población pediátrica.

Sin embargo presentan limitaciones. Se debe tener en cuenta que existe captación fisiológica del radiotrazador a nivel intestinal que disminuye la sensibilidad de la prueba, por lo que los hallazgos se deben correlacionar con el contexto clínico además de la dosis de radiación utilizada. (43,44)

DISCUSIÓN Y CONCLUSIONES

En el Hospital Universitario Dr. Manuel Quintela, aún es escaso el número de ERM realizadas con poca experiencia por parte del equipo multidisciplinario. Sin embargo los hallazgos obtenidos coinciden con los reportados en la literatura. La creciente utilización de nuevas estrategias terapéuticas y la mayor conciencia acerca del riesgo de las radiaciones en pacientes jóvenes seguramente conlleve un aumento del número de estudios solicitados en el futuro.

La ERM se ha convertido en una técnica de imagen eficaz para el estudio intestinal. Las EII son su principal indicación en la actualidad pero su uso se está extendiendo a otras patologías.

Su alta resolución de contraste entre tejidos y capacidad multiplanar directa ofrece información anatómica detallada tanto de las alteraciones parietales como extraluminales. Las secuencias funcionales y el estudio con contraste endovenoso brindan información sobre el grado de actividad de las enfermedades inflamatorias con mayor sensibilidad que ningún otro método y una excelente correlación anatomopatológica.

Numerosos estudios reflejan el impacto que los hallazgos tienen en la toma de decisiones terapéuticas por parte del equipo tratante. Sumado a estas ventajas, la creciente preocupación por la seguridad del paciente, hace que el no uso de radiación ionizante sea primordial, sobre todo en pacientes jóvenes.

La falta de disponibilidad del método y el costo, son limitantes cada vez menores por la creciente introducción de resonadores en los servicios de imagenología. Sin embargo es necesario lograr una adecuada distensión de las asas para evitar errores diagnósticos para lo que se requiere obtener la colaboración del paciente. Para lograr un estudio de calidad es imprescindible que el médico esté presente en el proceso de la preparación, brindando información y seguridad al paciente en caso de efectos adversos.
El radiólogo que interpreta las imágenes debe estar familiarizado con los hallazgos y participar activamente del equipo multidisciplinario.

BIBLIOGRAFIA

  • Mazziotti S, Blandino A. MR Enterography. Italia: editorial Springer; 2014.

  • Herraiz L, Alvarez E, Carrascoso J, Cano R, Martínez V. Entero-resonancia magnética: revisión de la técnica para el estudio de la enfermedad de Crohn. Radiología. 2011; 53(5):421-433.

  • Torregosa A, Pallardó Y, Hinojosa J, Insa S, Molina R. Enterografía por resonancia magnética: técnica e indicaciones. Hallazgos en la enfermedad de Crohn. Radiología. 2013; 55(5):422-430.

  • Rimola J, Rodriguez S, García-Bosch O, Ricart E, Pagés M, Pellisé M, et al. Role of 3.0-T MR Colonography in the Evaluation of inflammatory Bowel Disease. Radiographics. 2009; 29:701-719.

  • Cronin C, Lohan D, Ni Mhuircheartaigh J, McKenna D, Alhajeri N, Roche C, et al. MRI small bowel follow-through: Prone versus supine patient positioning for best small bowel distention and lesion detection. AJR. 2008;191:502-506.

  • Martin D, Altun E, Elias J, Alazzazi M, Ramalho M, Lee C, et al. Gastrointestinal Tract. En: Abdominal-Pelvic MRI. Semelka R. New Jersey: Wiley-Blackwell; 2010. P. 725-900.

  • Ramalho M, Heredia V, Cardoso C, Matos A, Palas J, Freitas J, et al. Magnetic Resonance Imaging of Small Bowel Crohn´s Disease. Acta Med Port. 2012;25(4): 231-240.

  • Towbin A, Sullivan J, Denson L, Wallihan D, Podberesky D. CT and MR Enterography in Children and adolescents with inflammatory Bowel Disease. Radiographics. 2013;33:1843-1860.

  • Mollard B, Smith E, Dillman J. Pediatric MR Enterography: Technique and approach to interpretation-How do we do it. Radiology. 2015;274:29-43.

  • Ruiz V, Salmerón A, García M, Medina A, Segura I. Enfermedad inflamatoria intestinal: hallazgos radiológicos, experiencia propia y correlación con la cirugía. España. SERAM 2012:1-37. Disponible en: www.seram2012.com

  • Ros L, Crespo A, Giménez F, Marcuello T, Galbe R. Diagnóstico por imagen en la enfermedad inflamatoria intestinal. Radiología. 2006;48;(4):205-215.

  • Tolan D, Greenhalgh R, Zealley I, Halligan S, Taylor S. MR Enterographic Manifestations of small Bowel Crohn Disease. Radiographics. 2010;(30):367-384.

  • Sinha R, Rajiah P, Murphy P, Hawker P, Sanders S. Utility of High- resolution MR Imaging in Demonstrating Transmural Pathologic changes in Crohn Disease. Radiographics. 2009;(29):1847-1867.

  • Sánchez G, Guillen L, Puchades I. Enterografía mediante resonancia magnética para el estudio de la enfermedad de Crohn: Pictorial Review. España. SERAM 2012:1-31. Disponible en www. seram2012.com

  • Griffin N, Alexander L, Anderson S, Irving P, Sanderson J. Small bowel MR enterography: problem solving in Crohn´s Disease. Insights Imaging. 2012; (3):251-263.

  • Leyendecker J, Bloomfeld R, DiSantis D, Waters G, Mott R, Bechtold R. MR Enterpgraphy in the management of Patients with Crohn Disease. Radiographics. 2009; (29):1827-1846.

  • Maccioni F, Bruni A, Viscido A, Colaiacomo M, Cocco A, Montesani C et al. MR imaging in patients with Cronh Disease: Value of T2- versus T1-weighted gadolinium-enhanced MR secuences with use of an oral csuperparamagnetic contrast agent. Radiology. 2006; (238):517-530.

  • Smith E, Dillman J, Adler J, Dematos-Maillard V, Strouse P. MR Enterography of extraluminal manifestations of inflammatory bowel disease in children and adolescents: Moving beyond the bowel wall. AJR. 2012; 38-45.

  • Patel P, Ormanoski M, Hoadley K. Magnetic resonance Enterography findings in Crohn´s disease in the pediatric population and correlation with fluoroscopic and multidetector computed tomographic techniques. Journal of clinical Imaging Science. 2011;(1):1-7.

  • Fornasa F, Benassuti C, Benazzato L. Role of magnetic resonance Enterography in differentiating between fibrotic and active inflammatory small bowel stenosis in patients with Cronh´s disease. Journal of Clinical Imaging Science. 2011;(1):1-7.

  • Sinha R, Rajiah P, Ramachandran I, Sanders S, Murphy P. Diffusion- weighted MR imaging of the gastrointestinal tract: Technique, indications, and imaging findings. Radiographics. 2013:(33):655-676.

  • Gobinpuri A, Roche O, McLean A, Parsai A. Diffusion weighted imaging in inflammatory diseases of the small bowel and colon. Londres. ECR 2012: 1-12. Disponible en: www.myESR.Org

  • Oto A, Zhu F, Kulkarni K, Karszmar G, Turner J, Rubin D. Evaluation of diffusion-weighted MR imaging for detection of bowel inflammation in patients with Crohn´s disease. Acad Radiol. 2099;(5):597-603.

  • Del Campo M, Aragonés M, Llorente S, Lagana C, Medina M. Enfermedad de Crohn y enteroRM: futuras perspectivas. España 2014:1-28. Disponible en: www.seram.es

  • Rimola J, Rodriguez S, García-Bosch O, Ordás I, Ayala E, Aceituno M, et al. Magnetic resonance for assessment of Disease activity and severity in ileocolonic Crohn´s disease. Gut. 2009;(58): 1113-1121.

  • Ordás I, Rimola J, Rodríguez S, Paredes J, Martínez M, Blanc E, et al. Accuracy of magnetic resonance enterography in assessing response to therapy and mucosal healing in patients with Crohn´s disease. 2014. Gastroenterology;(46):374-382.

  • Punwani S, Rodríguez M, Bainbridge A, Greenhalgh R, De Vita E, Bloom S, et al. Mural inflammation in Crohn Disease: Location- matched histologic validation of MR imaging features. Radiology. 2009;(252):712-720.

  • Tielbeek J, Ziech M, Lavini C, Bipat S, Bemelman W, Roelofs J, et al. Evaluation of conventional, dynamic contrast enhanced and diffusion weighted MRI for quantitative Cronh´s disease assessment with histopathology of surgical specimens. Eur. Radiol. 2013: 6-13.

  • Alvarez M, Barber I, Segarra O, Redecillas S, Castellote A, Infante D. Utilidad de la entero-resonancia magnética en el estudio de la enfermedad de Crohn pediátrica. An Pediatr. 2013;(78):314-320.

  • Gallego J, Echarri A, Porta A. Crohn´s Disease: The usefulness of MR enterography in the detection of recurrence after surgery. Radiología. 2011;(53):552-559.

  • Mendoza J, González Y, Taxonera C, Suárez C, Matute F, Vera M, et al. Uso de la enterografía por resonancia magnética en el manejo de la enfermedad de Crohn de intestino delgado: primer año de experiencia. Rev Esp Enferm Dig. 2014;(11): 578-583.

  • Crook D, Knuesel P, Froehlich J, Eigenmann F, Unterweger M, Beer H, et al. Comparison of magnetic resonance enterography and video capsule endoscopy in evaluating small bowel disease. Eur J Gastroenterol Hepatol. 2009;(21):54-65.

  • Dillman J, Smith E, Sánchez R, DiPietro M, DeMatos V, Strouse P, et al. Pediatric small bowel Crohn Disease: correlation of US and MR enterography. Radiographics. 2015;(35):1-14.

  • Gabriella Carnevale Maffè, Laura Brunetti, Pietro Formagnana, and Gino Roberto Corazza. Ultrasonographic findings in Crohn’s disease. J Ultrasound. 2015 Mar; 18(1): 37–49.

  • Emma Calabrese, Francesca Zorzi, and Francesco Pallone, “Ultrasound of the Small Bowel in Crohn’s Disease,” International Journal of Inflammation, vol. 2012, Article ID 964720, 6 pages, 2012.

  • Conti, Clara Benedetta et al. Role of Bowel Ultrasound in the Diagnosis and Follow-up of Patients with Crohn's Disease. Ultrasound in Medicine and Biology, Volume 43, Issue 4, 725 – 734

  • Stuart A Taylor, Susan Mallett, Gauraang Bhatnaga et al. Diagnostic accuracy of magnetic resonance enterography and small bowel ultrasound for the extent and activity of newly diagnosed and relapsed Crohn’s disease (METRIC): a multicentre trial. Lancet Gastroenterol Hepatol 2018; 3: 548–58.

  • Puylaert CA, Tielbeek JA, Bipat S, Stoker J. Grading of Crohn's disease activity using CT, MRI, US and scintigraphy: a meta-analysis. Eur Radiol. 2015;25(11):3295–3313. doi:10.1007/s00330-015-3737-9.

  • Fidler J, Guimaraes L, Einstein D. MR imaging of the small bowel. Radiographics. 2009;(29):1811-1825.

  • Santillán C. MR techniques of the bowel. Magn Reson Imaging Clin N Am. 201:1-11.

  • Peloquin J, Pardi D, Sandborn W. Diagnostic ionizing radiation exposure in a population-based cohort of patients with inflammatory bowel disease. Am J Gastroenterol. 2008;(89):2015-22.

  • Semelka R, Armao D, Elias J, Huda W. Imaging strategies to reduce the risk of radiation in CT studies, including selective substitution with MRI. Journal of Magnetic resonance Imaging. 2007;(25):900-909.

  • Martínez-Rodríguez I, Carril J. Actualización del uso de radiotrazadores PET en patología inflamatoria. Rev Esp Med Nucl Imagen Mol. 2013;32(6):378–386.

  • Malham M, Hess S, Nielsen R, Husby S, Fleming P. PET/CT in the diagnosis of inflammatory bowel disease in pediatric patients: a review. Am J Nucl Med Mol Imaging 2014;4(3):225-230.


* Médico Imagenólogo. Depto. Clínico de Imagenología del Hospital de Clínicas.

Volver al principio