TUMOR INFLAMATORIO MIOFIBROBLÁSTICO

PRESENTACIÓN DE CASOS

Dr. F. Estevez *
Dra. V. Irrazábal *
Dr. C. Carnelli **
Dr. E. Corchs **

RESUMEN

El tumor inflamatorio miofibroblástico (TIM) es una entidad poco frecuente, de comportamiento benigno, que se presenta preferentemente en niños y adultos jóvenes. Su etiopatogenia es poco comprendida y se discute aún su naturaleza neoplásica. Puede encontrarse en casi cualquier parte de la anatomía, siendo el parénquima pulmonar el sitio más frecuente, seguido por el abdomen. Su presentación clínica es muy variable y depende de su localización, e imagenológicamente se presentan como una masa de características inespecíficas, por lo que representa un verdadero desafío diagnóstico. El diagnóstico definitivo se realiza por anatomía patológica e inmunohistoquímica.
El objetivo de este trabajo es familiarizar al médico imagenólogo con esta patología, que si bien es poco frecuente, siempre se debe considerar dentro de los diagnósticos diferenciales ante un paciente joven sin antecedentes personales relevantes con una masa pulmonar o abdominal.
Se presentan tres casos de pacientes jóvenes, dos de los cuales consultan por cuadro respiratorio inespecífico con hallazgo imagenológico de masa pulmonar, y el caso de un paciente con cuadro agudo de abdomen y presencia de una masa abdominal. Los tres pacientes fueron intervenidos quirúrgicamente, realizándose finalmente diagnóstico histopatológico de TIM.

Palabras claves: tumor inflamatorio miofibroblástico, pseudotumor inflamatorio, radiografía de tórax, tomografía computarizada, resonancia magnética, masa pulmonar, masa abdominal.

ABSTRACT

Inflammatory myofibroblastic tumor (IMT) is an uncommon entity with benign behavior, that occurs primarily in children and young adults. Its etiopathogenesis is poorly understood and its neoplastic nature is still discussed. It can be found in almost any part of the body anatomy, being the lung parenchyma the most frequent location, followed by the abdomen. The clinical presentation is very variable and depends on its location. They become patent in the imaging methods as a mass with nonspecific characteristics, therefore its diagnosis represents a real challenge. The definitive diagnosis is made by surgical patology and immunohistochemical analysis.
The aim of this work is to acquaint the radiologist with this disease, although it is rare, it should be always considered within differential diagnoses when facing a young patient without relevant personal history with a lung or abdominal mass.
We present three cases of young patients, two presented with non-specific respiratory symptoms and lung mass-like image, and one case presented with acute abdominal pain and an abdominal bulky mass. All of them underwent surgical treatment and finally histopathological diagnosis of IMT was made.

Key words: inflammatory myofibroblastic tumor, inflammatory pseudotumor, chest x-ray, computerized tomography, magnetic resonance imaging, lung mass, abdominal mass.

INTRODUCCIÓN

El tumor inflamatorio miofibroblástico (TIM) es una tumoración benigna, rara y difícil de diagnosticar. Se observó por primera vez en el pulmón y fue descrito por Brunn en 1939, recibiendo numerosas denominaciones, tales como pseudotumor inflamatorio, granuloma de células plasmáticas, fibroxantoma o histiocitoma, siendo aceptada actualmente la denominación de tumor inflamatorio miofibroblástico. Puede presentarse en diferentes ubicaciones anatómicas, siendo el pulmón la más frecuente. El abdomen ocupa el segundo lugar de presentación, siendo descrito por primera vez en esta localización en 1953 por Pack y Baker. Afecta a individuos de ambos sexos, con mayor prevalencia en adultos jóvenes. Esta entidad representa un desafío para el médico imagenólogo por su rareza e inespecificidad en su forma de presentación.

PRESENTACIÓN DE CASOS

CASO 1

Paciente de sexo femenino, 18 años, con antecedentes personales de asma y neumonía a los 10 años, que consulta por tos de 24 horas de evolución y episodio de hemoptisis.

Se realiza examen físico, rutinas básicas de laboratorio y fibrobroncoscopía que no evidencian alteraciones.
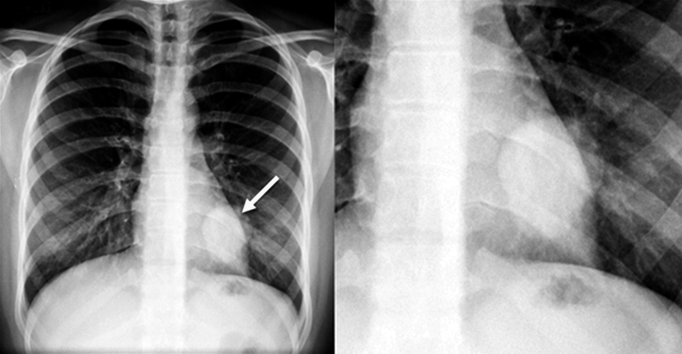
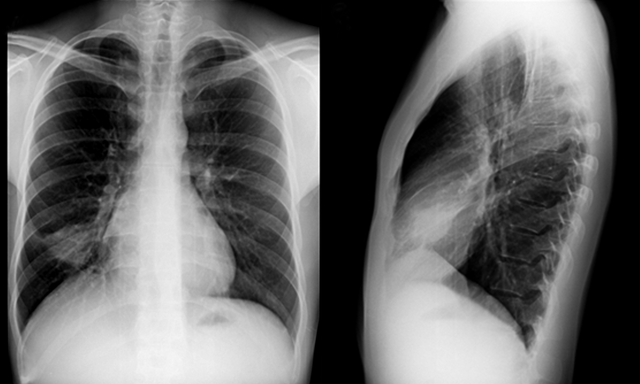
Se solicita radiografía de tórax de frente, en la cual se observa masa en tercio inferior de hemitórax izquierdo, retrocardíaca, redondeada, de bordes bien definidos, de aproximadamente 4 cm de diámetro. Resto del parénquima pulmonar y silueta cardiomediastínica sin alteraciones. (Figura 1)

Dados los hallazgos radiográficos se solicita tomografía computarizada de tórax. Se realizan adquisiciones sin y con medio de contraste intravenoso, en tiempo arterial y venoso. Se observa en el segmento apical del lóbulo inferior izquierdo una imagen sólida, redondeada, de bordes lisos y bien definidos, de 42 mm de diámetro, con pequeña calcificación en el sector inferior y realce homogéneo con el medio de contraste. No se observan otras alteraciones de la densidad del parénquima pulmonar, no hay derrame pleural, pericárdico, adenomegalias hiliomediastinales ni axilares. (Figura 2)
En la evolución de solicita angiotomografía de tórax, en la cual persiste la masa sólida de similares características y se identifican dos ramas de la arteria pulmonar lobar izquierda que contactan ampliamente con la cara antero- interna de la lesión.

En este caso se decide no realizar una punción biópsica guiada por el abordaje complejo que presenta la lesión y el riesgo de neumotórax que conlleva.
Dado que no queda clara la etiología de la lesión se decide la intervención quirúrgica y se realiza una lobectomía atípica. La paciente presenta buena evolución.

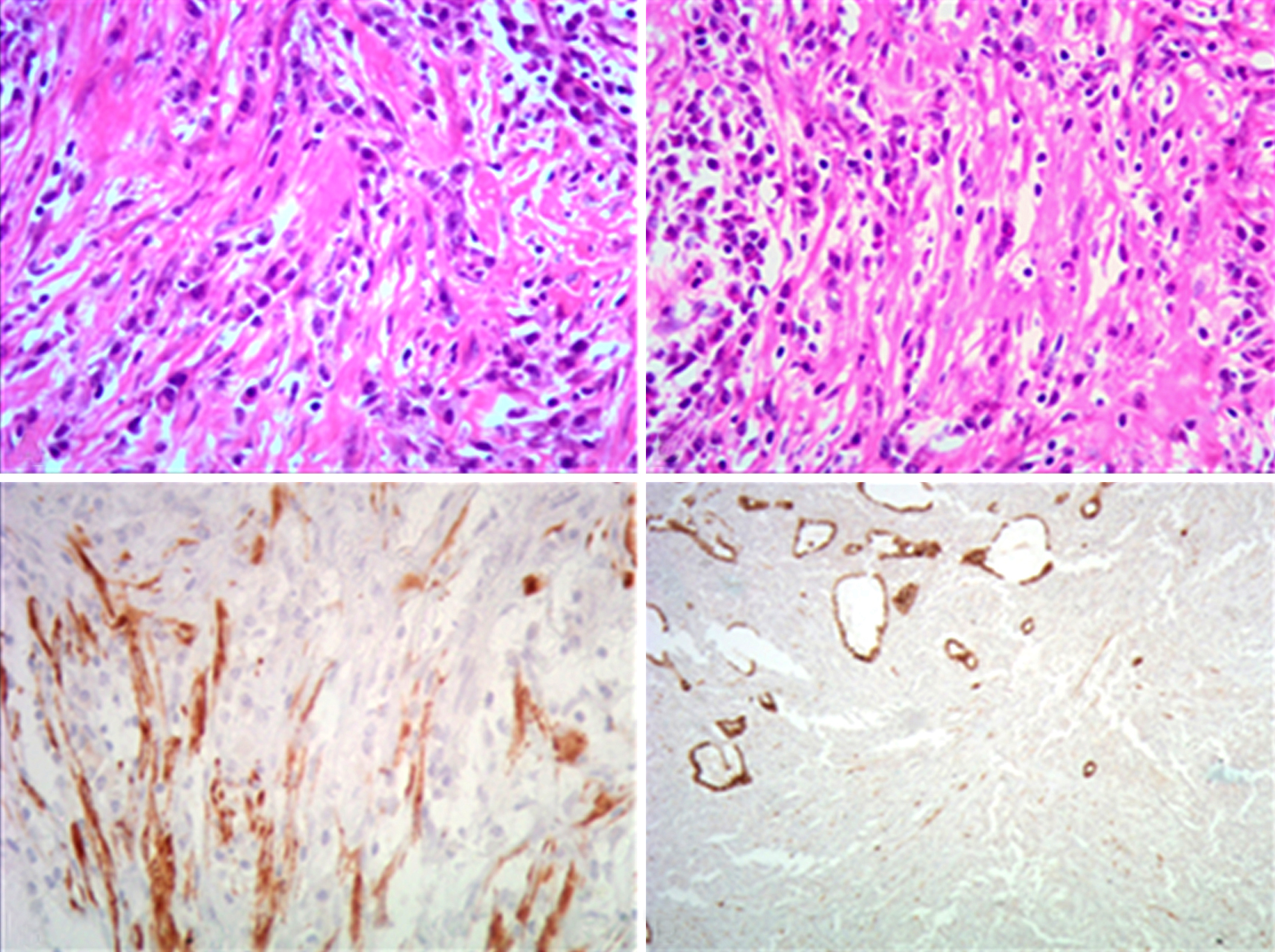
El estudio anatomopatológico muestra una proliferación celular circunscripta, no encapsulada, rodeada de parénquima pulmonar sano. Presenta una distribución zonal con un área central más densa, formada por células fusiformes en patrón compacto, de núcleos ovoideos, de cromatina fina y citoplasma eosinófilo poco definido. (Figura 3A) Estroma con fibras de colágeno, material intersticial eosinófilo hialino, micro calcificaciones, y denso infiltrado linfoplasmocitario (Figura 3B). La inmunohistoquímica demostró positividad citoplasmática granular para proteína ALK (Figura 3C). Los marcadores de estirpe epitelial (citoqueratina), diferenciación muscular, células reticulares dendríticas y de Langerhans resultaron negativos (Figura 3D). La cuantificación de plasmocitos IgG4+ y la relación IgG4/IgG no presentaron alteraciones. Estos hallazgos son compatibles con tumor inflamatorio miofibroblástico.


Figura 1
Radiografía de tórax, proyección PA (a) y aumento del sector de interés (b). Se observa masa retrocardíaca en hemitórax izquierdo (flecha).


Figura 2
TC con ventana de pulmón (a) donde se observa masa en hemitórax izquierdo rodeada de parénquima pulmonar sano. TC sin contraste intravenoso (b), en tiempo arterial (c) y en tiempo venoso (d) donde se observa el realce homogéneo.


Figura 3
Hematoxilina-Eosina 40x (a); Hematoxilina-Eosina 40x (b); ALK positivo 40x (c); Citoqueratina negativo 10x (d).

CASO 2

Paciente de sexo masculino, 30 años, sin antecedentes personales a destacar, que consulta por tos productiva y fiebre de 2 meses de evolución.

Se solicita radiografía de tórax de frente y perfil (Figura 4) en la que se observa una masa localizada en lóbulo medio, redondeada, bien delimitada, de 4 cm de diámetro mayor, sin otras alteraciones en campos pulmonares y silueta cardiomediastínica.
Tras los hallazgos radiológicos, se solicita tomografía computarizada de tórax, que se realiza sin y con medio de contraste yodado por vía intravenosa (Figura 5), en la que se observa masa ovoidea de 50 x 43 mm en lóbulo medio y segmento anterior de lóbulo inferior, bien delimitada, de densidad heterogénea con pequeño sector cavitado y discreto realce periférico tras la administración de medio de contraste. No se observan otras lesiones en el parénquima pulmonar, pleura, mediastino ni adenomegalias.

Ante la presencia de una masa pulmonar cavitada en un paciente joven sin antecedentes personales relevantes, con historia clínica compatible con síndrome toxibacilar, se plantea en primera instancia tuberculosis y se inicia tratamiento específico de forma empírica. La sintomatología remite parcialmente, pero el paciente continua con episodios febriles y expectoración hemoptoica, sin resolución imagenológica.


Figura 4
Radiografía de tórax, proyección PA (a) y perfil (b) donde se observa masa redondeada bien definida situada en el lóbulo medio.


Figura 5
TC de Tórax: cortes axiales en ventana de mediastino previo a la administración de contraste (a), en fase venosa (b) y con ventana de pulmón (c.); en el lóbulo medio y segmento basal anterior del lóbulo inferior derecho se observa masa ovoidea, bien definida, de densidad heterogénea con realce periférico y un pequeño sector cavitado.

Se indica fibrobroncoscopía con lavado bronquial para estudio citológico, bacteriológico y micológico, con estudio directo y cultivo para bacilo de Koch. Los resultados son negativos y no se identifica ningún agente infeccioso.

Se realiza punción biópsica guiada por tomografía computarizada. El estudio anatomopatológico informa infiltrado inflamatorio difuso y dispuesto en acúmulos en relación a los tabiques alveolares y en el intersticio fibroso, con linfocitos maduros, plasmocitos y algunos eosinófilos, sin identificarse granulomas y elementos específicos para etiologías inflamatorias o neoplásicas.
En ausencia de diagnóstico etiológico claro, se decide abordaje quirúrgico, realizándose la excéresis completa. El estudio histopatológico postoperatorio informa exudado linfocitario disperso en el intersticio, con numerosos folículos linfoides primarios, en su mayoría próximos a la vía aérea terminal, con un sector de fibrosis colagénica paucicelular de aspecto secuelar. No se identifican atipías, granulomas, necrosis ni fenómenos vasculopáticos.

En presencia de una masa pulmonar en un paciente joven con elementos inflamatorios crónicos y fibrosis en el estudio anatomopatológico, sin alteraciones en el resto del parénquima pulmonar, y la posterior confirmación con estudio inmunohistoquímico, se llega al diagnóstico de tumor inflamatorio miofibroblástico. Luego de la cirugía el paciente evoluciona favorablemente con remisión completa de la sintomatología.

CASO 3

Paciente de sexo femenino, 24 años, con antecedentes personales de hipotiroidismo y depresión, consulta por dolor abdominal y plenitud precoz.

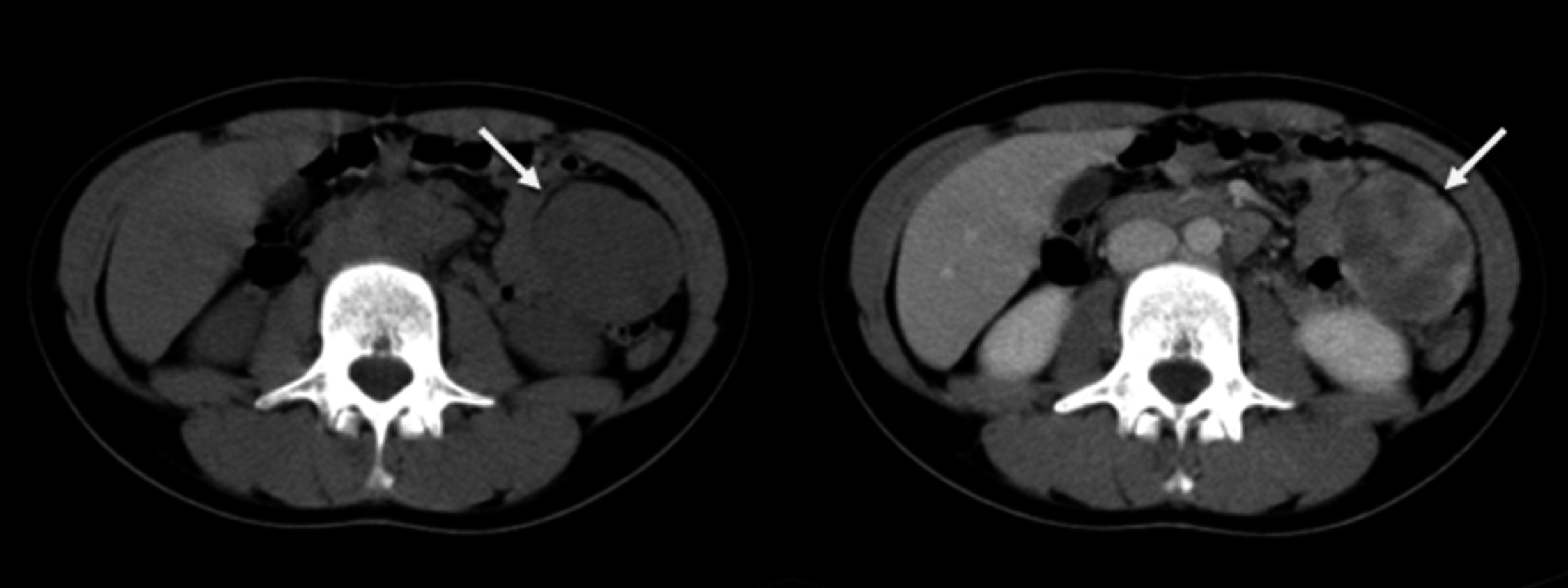
Se realiza TC de abdomen y pelvis sin y con medio de contraste intravenoso. Se identifica a nivel de flanco izquierdo masa sólida, bilobulada, de bordes lisos, bien definida, que mide 80 x 50 x 50 mm de diámetro en sus ejes L, T, AP respectivamente, con realce heterogéneo con el medio de contraste. Se encuentra por delante del colon descendente y por fuera de las asas delgadas e impresiona tener plano de separación con dichas estructuras, por lo que se interpreta que probablemente corresponda a una masa intraperitoneal (Figura 6).
Se realiza laparotomía exploradora con incisión de Mc Burney izquierda, en la cual se evidencia abundante líquido intraabdominal que se envía para estudio anatomopatológico. No se encuentra la tumoración intraabdominal evidenciada en las imágenes ni otras alteraciones. Por lo que se interpreta corresponda probablemente a rotura espontánea de quiste anexial. Al examen microscópico se evidencia líquido prácticamente acelular con aislados linfocitos y leucocitos PMN.


Figura 6
TC de abdomen: corte axial previo al contraste donde se evidencia a nivel del flanco izquierdo masa sólida bilobulada con bordes lisos (a), que muestra realce heterogéneo luego de la administración de contraste (b) (flechas)

Varios meses después la paciente consulta por cuadro de dolor abdominal tipo cólico, acompañado de náuseas y vómitos de una semana de evolución. Al examen físico se destaca abdomen levemente distendido, blando, depresible con dolor a la palpación centroabdominal, sin defensa. Se solicitan rutinas de laboratorio y ecografía abdominal que no presentan alteraciones.
Se realiza otra TC de abdomen y pelvis, sin y con medio de contraste intravenoso. Se identifica masa sólida de similares características que en la TC previa, pero actualmente localizada en hipocondrio izquierdo, subhepática, adyacente a la curvatura gástrica mayor y asas delgadas. Se observan asas delgadas distendidas con niveles hidroaéreos, con zona de transición a nivel pelviano. Se plantea oclusión por bridas. (Figura 7)
Se solicita RM, que se realiza en condiciones basales y tras la administración de gadolinio. Se observa tumoración sólida de igual tamaño y características que en TC previas, que impresiona de origen mesentérica o peritoneal y cambia de posición en estudios sucesivos, actualmente localizándose en flanco izquierdo. (Figura 8)

Los cambios en la localización de la masa nos advierten de su relación con alguna estructura móvil del abdomen, en este caso el mesenterio, razón por la cual no fue ubicada en la primera intervención quirúrgica.
Se realiza excéresis quirúrgica de la tumoración intraabdominal con buena evolución posterior de la paciente. El estudio anatomopatológico informa proliferación celular inmersa en estroma fibroesclerótico, constituida por células elongadas, con bordes citoplasmáticos indefinidos y núcleos redondeados y ovalado, monomorfos, con cromatina vesiculosa y nucleólo evidente. Entre las mismas se reconoce infiltrado inflamatorio constituido por linfocitos, plasmocitos e histiocitos. No se observan mitosis ni áreas de necrosis. Mediante técnicas de inmunohistoquímica, las células elongadas presentan positividad citoplasmática para ALK y co-expresan en forma local AML y Desmina. Hallazgos consistentes con tumor inflamatorio miofibroblástico.


Figura 7
TC de abdomen: reconstrucción en plano coronal (a) y corte axial (b), donde se observa, seis meses después de la primera TC, la misma masa sólida pero actualmente ubicada en el hipocondrio izquierdo (flechas) que asocia dilatación de asas delgadas.


Figura 8
RM de abdomen: secuencia T2 coronal (a); secuencia T2 axial (b); secuencia ponderada en T1 axial (c); secuencia ponderada en T1 axial con contraste (d). Masa sólida del mismo tamaño y características que en las TC anteriores (flechas).

DISCUSIÓN

El tumor inflamatorio miofibroblástico fue inicialmente descrito en el pulmón por Brunn en 1939 y designado como pseudotumor inflamatorio en 1954 por Umiker y cols. por su propensión a simular clínica y radiológicamente un proceso maligno (1, 2). En su esquema de clasificación de 2004 la Organización Mundial de la Salud le asigna la denominación actual como tumor inflamatorio miofibroblástico y lo describe como una lesión compuesta por células miofibroblásticas fusiformes acompañadas de un infiltrado inflamatorio. (3)

Se presenta con mayor frecuencia en el pulmón, pero se han descrito casos en casi todas las localizaciones y sistemas. En el pulmón constituye el 0,04 al 1% de todos los tumores, pero es la masa pulmonar más frecuentemente diagnosticada en niños, representando aproximadamente el 50% de los tumores intrapulmonares. Su mayor prevalencia se da en la segunda década de vida, y es muy poco frecuente en mayores de 40 años, si bien se han descrito casos desde el año hasta la octava década de vida. No muestra predilección por sexo (1-4, 9). El abdomen es el segundo lugar de presentación, tanto intra como extraperitoneal, siendo el mesenterio el más afectado, seguido por hígado, vejiga y estómago. Generalmente es una neoplasia única, siendo múltiple solamente en el 5% de los casos. (3, 12, 13)

En los casos presentados en el presente artículo dos de los tumores son de localización pulmonar y el tercero de localización extrapulmoar, a nivel abdominal en el mesenterio. Las lesiones se presentaron en adultos jóvenes, entre los 18 y 30 años, edad de presentación que coincide con la literatura.

Su etiología es desconocida, pero se cree que puede originarse como una respuesta inflamatoria local exagerada frente a un daño tisular (1-4). A pesar de su presunto origen inflamatorio benigno, persiste cierta controversia respecto a su naturaleza, si bien se lo acepta cada vez más como una verdadera neoplasia debido a la presencia de mutaciones en el gen ALK (“anaplastic lymphoma kinase”) y sobre-expresión de su proteína, reportados en varios casos. Además se han descrito tumores inflamatorios miofibroblásticos con características de crecimiento agresivo, invasión local, recurrencia e inclusive metástasis (3,4). Estos hallazgos han llevado a algunos autores a considerarlo como una neoplasia maligna de bajo grado. (2, 5-7)

La presentación clínica del TIM pulmonar es variada e inespecífica en el 40 a 70% de los pacientes, siendo los síntomas más habituales tos, disnea, hemoptisis, dolor torácico, fiebre, astenia y/o pérdida de peso. Frecuentemente puede ser asintomático y ser un hallazgo incidental en una radiografía de tórax. Las pruebas de laboratorio son normales o presentan alteraciones inespecíficas como anemia microcítica hipocrómica, reticulocitosis, trombocitosis, hiperglobulinemia, leucocitosis y elevación de la velocidad de eritrosedimentación, alteraciones más frecuentes cuando el TIM se localiza en el abdomen, en comparación con los tumores pulmonares. (7, 8)

La presentación en la radiografía de tórax en la mayoría de los pacientes es como una masa o nódulo pulmonar solitario con bordes bien definidos, lisos o lobulados, de 1-10 cm de diámetro y de localización periférica, con predilección por los lóbulos inferiores (1, 4, 8, 10), similar a la presentación de nuestros pacientes.

En la tomografía computarizada (TC) la forma más frecuente de presentación es como un nódulo o masa heterogénea, con captación variable tras la administración de contraste intravenoso. La calcificación se detecta en menos del 15% de los casos, la mayoría en niños y la cavitación es muy poco frecuente (5%). Rara vez el TIM se manifiesta como una consolidación, lesión central (6%) o como nódulos pulmonares múltiples (5%). Las adenopatías hiliares o mediastínicas aparecen en un 7%, el derrame pleural en menos del 10% y las atelectasias en un 8% de los casos. (8, 10)

En la resonancia magnética (RM) presenta señal intermedia en secuencias potenciadas en T1, hiperintenso en T2 y con realce heterogéneo tras el medio de contraste. (1, 10)

En la tomografía por emisión de positrones (PET-TC) el TIM pulmonar suele presentar captación con características tumorales, representando un falso positivo (2). Si bien no hay estudios exhaustivos de esta patología con estas técnicas, la RM y la PET-TC son utilizados para la caracterización y seguimiento de la tumoración. (7)

Cuando el tumor inflamatorio miofibroblástico está localizado en el abdomen, los síntomas más frecuentes son masa palpable, dolor y manifestaciones sistémicas como fiebre, adelgazamiento y anorexia, pero puede presentar una diversidad de síntomas inespecíficos como disfagia, oclusión, constipación y rectorragia. Incluso hasta el 40% de los casos puede ser asintomático. Cuando se localiza en intestino delgado es frecuente que su diagnóstico se realice en el contexto de una urgencia quirúrgica. (11-13)

La apariencia de TC del TIM abdominal es variable. La masa puede ser hipo o isodensa en relación al músculo en exploraciones sin contraste y se han observado calcificaciones en casos en páncreas, estómago e hígado. Tras la administración de medio de contraste generalmente hay realce pero no es muy pronunciado. Se han observado variedad de patrones que incluyen desde la ausencia de realce, realce periférico temprano con relleno central tardío, realce heterogéneo y realce homogéneo. Las lesiones más grandes pueden tener necrosis central (1, 4, 12, 14, 15). En las imágenes de RM, la apariencia de estos tumores también es variable. Generalmente son hipointensos en relación al músculo en imágenes potenciadas en T1, hiperintensas en imágenes potenciadas en T2 y con realce heterogéneo después de la administración de medio de contraste. (1, 4, 12, 15)
La punción-aspiración con aguja fina (PAAF) guiada por TC a menudo proporciona resultados no concluyentes, por lo que para el diagnóstico definitivo se recomienda la resección quirúrgica con márgenes libres y el estudio anatomopatológico e inmunohistoquímico de la pieza (8). Al examen microscópico el tumor normalmente muestra una mezcla de células fusiformes inflamatorias y miofibroblásticas, típicamente se identifica un gran número de células plasmáticas de naturaleza policlonal en inmunohistoquímica con predominio de IgG. (2, 7)
Dentro de los diagnósticos diferenciales se deben incluir patologías que se presenten como nódulo solitario pulmonar como puede ser el caso de los granulomas, hamartomas (sobre todo si presentan calcificaciones), hemangiomas, adenomas y secuestro pulmonar. Las neoplasias malignas pulmonares y las metástasis deben tenerse en cuenta, aunque por el grupo etario en el que se presentan no serían de las primeras opciones a considerarse. Cuando la presentación es abdominal, las entidades importantes incluidas en el diagnóstico diferencial incluyen el carcinoma hepatocelular, carcinoma gástrico y el carcinoma pancreático. Gleason enumera algunas directrices generales a considerar cuando se confronta con una lesión de células fusiformes que contiene un infiltrado inflamatorio prominente. (Tabla 1) (2)

El tratamiento de elección es la resección quirúrgica completa, siempre y cuando sea factible según su tamaño, localización y extensión. Cuando no es posible la resección o en caso de recidiva se utiliza la quimioterapia y/o el tratamiento con corticoides, aunque muestran resultados variables. (1-3, 8, 12-14)

El pronóstico es excelente, con el 78-100% de remisión completa a los 3 años y una supervivencia a los 10 años de alrededor del 80%. Presentan mínimo riesgo de metástasis a distancia y probabilidad de recurrencia local menor al 2% para los tumores confinados al pulmón. Los factores de riesgo relacionados con mala evolución son la necesidad de reintervención quirúrgica, con hasta el 96% de mortalidad a los 5 años, y tamaño mayor de 3 cm. (1-3, 8)


CONCLUSIONES

El tumor inflamatorio miofibroblástico es una entidad poco frecuente, presentando la mayoría un curso clínico benigno. Sin embargo estas lesiones pueden presentar invasión, recurrencias locales, metástasis y degeneración sarcomatosa, por lo que algunos autores sugieren que se trate en realidad de una neoplasia maligna de bajo grado.
Sus características clínicas e imagenológicas son inespecíficas, debiendo apoyarse en la anatomía patológica e imunohistoquímica para su diagnóstico. Por estas razones, frente al hallazgo de un nódulo o masa pulmonar o en el caso de cualquier masa de partes blandas en el abdomen y vísceras abdominales, en un paciente joven sin antecedentes personales relevantes, esta entidad debe incluirse siempre como diagnóstico diferencial. Es importante tenerlo en cuenta para evitar intervenciones quirúrgicas radicales, radioterapia y/o quimioterapia innecesarias, ya que en la gran mayoría de los casos la cirugía conservadora es suficiente como tratamiento.
Hemos presentado tres casos de presentación pulmonar y abdominal que tuvieron resección quirúrgica y diagnóstico definitivo anatomopatológico.

BIBLIOGRAFIA

  • Narla L, Newman B, Spottswood S, Narla S, Kolli R. Inflammatory Pseudotumor. RadioGraphics. 2003;23(3):719-729.

  • Gleason B, Hornick J. Inflammatory myofibroblastic tumours: where are we now? Journal of Clinical Pathology. 2008;61(4):428-437.

  • Coffin CM, Fletcher JA. Inflammatory myofibroblastic tumor. In: Fletcher CDM, Unni KK, Mertens F, eds. World Health Organization classification of tumours. Pathology and genetics of tumours of soft tissue and bone. Lyon: IARC Press, 2002:91-93.

  • Surabhi V, Chua S, Patel R, Takahashi N, Lalwani N, Prasad S. Inflammatory Myofibroblastic Tumors. Radiologic Clinics of North America. 2016;54(3):553-563.

  • Coffin C, Hornick J, Fletcher C. Inflammatory Myofibroblastic Tumor. The American Journal of Surgical Pathology. 2007;31(4):509-520.

  • Zhu L, Li J, Liu C, Ding W, Lin F, Guo C et al. Pulmonary inflammatory myofibroblastic tumor versus IgG4-related inflammatory pseudotumor: differential diagnosis based on a case series. Journal of Thoracic Disease. 2017;9(3):598-609.

  • Panagiotopoulos N, Patrini D, Gvinianidze L, Woo W, Borg E, Lawrence D. Inflammatory myofibroblastic tumour of the lung: a reactive lesion or a true neoplasm? Journal of Thoracic Disease. 2015;7(5):908-911.

  • Pinilla I, Herrero Y, Torres M, Nistal M, Pardo M. Tumor inflamatorio miofibroblástico pulmonar. Radiología. 2007; 49(1):53-55.

  • Wu J, Zhu H, Li K, Yuan C, Wang Y, Lu G. Imaging observations of pulmonary inflammatory myofibroblastic tumors in patients over 40 years old. Oncology Letters. 2015;9(4):1877-1884.

  • Agrons G, Rosado-de-Christenson M, Kirejczyk W, Conran R, Stocker J. Pulmonary inflammatory pseudotumor: radiologic features. Radiology. 1998;206(2):511-518.

  • Coffin C, Watterson J, Priest J, Dehner L. Extrapulmonary Inflammatory Myofibroblastic Tumor (Inflammatory Pseudotumor) A Clinicopathologic and Immunohistochemical Study of 84 Cases. The American Journal of Surgical Pathology. 1995;19(8):859-872.

  • Chaudhary P. Mesenteric inflammatory myofibroblastic tumors. Ann. Gastroenterol. 2015;28(1):49–54.

  • Yagmur Y, Akbulut S, Gumus S. Mesenteric Inflammatory Pseudotumor: A Case Report and Comprehensive Literature Review. Journal of Gastrointestinal Cancer. 2014;45(4):414-420.

  • Levy A, Rimola J, Mehrotra A, Sobin L. Benign Fibrous Tumors and Tumorlike Lesions of the Mesentery: Radiologic-Pathologic Correlation. RadioGraphics. 2006;26(1):245-264.

  • Ko S, Shin S, Jeong Y. Mesenteric inflammatory myofibroblastic tumor mimicking a necrotized malignant mass in an adult: case report with MR findings. Abdominal Imaging. 2005;30(5):616-619.


* Residente de imagenología

** Médico Imagenólogo. Depto. Clínico de Imagenología del Hospital de Clínicas.

Volver al principio