IMAGENOLOGÍA GINECOLÓGICA E INTERVENCIONISTA TRABAJO: DIAGNÓSTICO Y TRATAMIENTO DE EMBARAZO ECTÓPICO CERVICAL

REPORTE DE CASO

Dr. M. Rodríguez Parodi *
Dra. A. Monteiro **
Dr. N. Di Trápani ***
Dra. C. Torrado **

RESUMEN

El embarazo ectópico cervical es una patología poco frecuente y representa menos del 1 % de todas las gestaciones ectópica.

MATERIAL Y METODOS
Estudio retrospectivo que valora embarazos ectópicos diagnosticados o referidos al departamento de Imagenología del Hospital Británico entre el año 2011-2014, que corresponden a 3 mujeres que presentaban una edad de entre 32 y 36 años.

INTERVENCIÓN
Se realizó tratamiento local mediante punción del cuello uterino bajo guía ecográfica, instilando Metrotexato. En todas el procedimiento fue bien tolerado y sin incidentes, con un manejo conservador. Una de ellas con fertilidad posterior, tuvo una gestación a término, luego de transcurrido un año de este hecho3

CONCLUSIÓN
Conocer la patología para realizar un diagnóstico precoz, y establecer tratamiento local conservador de elección, para preservar la fertilidad futura de la paciente evitando complicaciones principalmente vinculado al sangrado, evitando la histerectomía, y los efectos adversos de tratamientos sistémicos.

PALABRAS CLAVES:Embarazo ectópico cervical.. Ecografía ginecológica, Imagenología intervencionista.

ABSTRACT

Cervical ectopic pregnancy is a rare disease and accounts for less than 1% of all ectopic pregnancies.

MATERIAL AND METHODS
Retrospective study evaluating ectopic pregnancies or referring to the Department of Imaging of the British Hospital between 20111-2014, which correspond to 3 women who are between 32 and 36 years old.

INTERVENTION
Local treatment is performed by puncture of the cervix under ultrasound guidance, instilling Metrotexate. In all the procedure was well tolerated and without incidents, with a conservative management. One of them with later fertility, had a term gestation, after one year after this fact

CONCLUSION
To know the pathology to make an early diagnosis, and to establish the treatment for the local conservative of choice, to preserve the patient’s future fertility. Avoiding complications related mainly to bleeding, avoiding hysterectomy, and adverse effects of systemic treatments

KEYWORDS: Cervical ectopic pregnancy. Gynecological ultrasound, Interventional imaging

INTRODUCCIÓN

El embarazo ectópico cervical es la implantación del saco gestacional en el canal cervical. Su diagnóstico y tratamiento han cambiado drásticamente en los últimos años, evitando la histerectomía como tratamiento habitual. Es fundamental conocer la patología para realizar un diagnóstico precoz, y establecer un tratamiento local conservador de elección, para preservar la fertilidad futura de la paciente evitando complicaciones principalmente vinculado al sangrado y los efectos adversos de tratamientos sistémicos. El embarazo ectópico cervical (EEC) representa menos del 1% de la totalidad de las gestaciones ectópicas, con una incidencia de un caso cada 1.000-95.000 embarazos. (1).

DIAGNÓSTICO IMAGENOLÓGICO

El uso generalizado de la ecografía transvaginal en la valoración de la gestación precoz en el primer trimestre del embarazo ha facilitado la detección de embarazo ectópico cervical. El diagnóstico preciso de la patología requiere que el ecografista esté familiarizado con las distinciones entre el embarazo cervical, aborto cervical y embarazo intrauterino en su estadio precoz. Se han propuesto criterios diagnósticos estrictos, debiendo estar la placenta y todo el saco coriónico que contiene el embarazo en vivo por debajo del orificio interno y el canal cervical debe estar dilatado. (2) En el embarazo ectópico cervical el orificio cervical interno se encuentra completamente cerrado. (figuras 1 y 2)

Estos embarazos ectópicos cervicales deben distinguirse del aborto cervical, que ha sido definido como un aborto espontáneo de embarazo intrauterino en el canal cervical donde se retiene el aborto por un orificio externo resistente. (3) El saco gestacional de un aborto en cuello uterino es a menudo descrito como crenado (4), será redondo u ovalado y por lo general demuestran alguna evidencia de un feto o saco vitelino. E l or i f i c io int e rno inv a r i abl ement e s e di - lata en un aborto cervical y está completamente cerrado en un embarazo ectópico cervical. Las cavidades endometriales en un aborto cervical a menudo muestran una masa ecogénica densa que representa una mezcla de sangre y productos de la concepción, mientras que en el embarazo ectópico cervical solamente presenta un endometrio prominente causado por reacción decidual (3). (figura 3)

Se han propuesto 2 criterios imagenológicos adicionales para distinguir embarazo ectópico cervical, de un aborto cervical. (5) El “signo de deslizamiento”; se detecta en ecografía tranvaginal cuando se aplica una suave presión en el cuello uterino con el transductor, el saco gestacional de un aborto se desliza contra el canal endocervical; este movimiento de deslizamiento no será encontrado en un embarazo cervical implantado. El segundo criterio es la demostración de flujo peritrofoblastico con Doppler; el saco no viable transitoriamente pasando a través del cuello uterino no tendrá flujo peritrofoblástico, ya que es separado de su aporte vascular.

MATERIAL Y MÉTODOS

Estudio retrospectivo que valora embarazos ectópicos diagnosticados o referidos al departamento de Imagenología del Hospital Británico entre el año 20111-2014. Las mismas fueron 3 mujeres que presentaban una edad de entre 32 y 36 años. Ninguna de ellas primigesta.

Todas las pacientes presentaban criterios diagnóstico de embarazo ectópico cervical: a) útero vacío, b) cérvix en forma de tonel, (figura 3, a yb) c) saco gestacional presente debajo del nivel de las arterias uterinas, El diagnóstico es más fácil con la presencia de actividad cardiaca en el cérvix, lo cual excluye el aborto cervical.


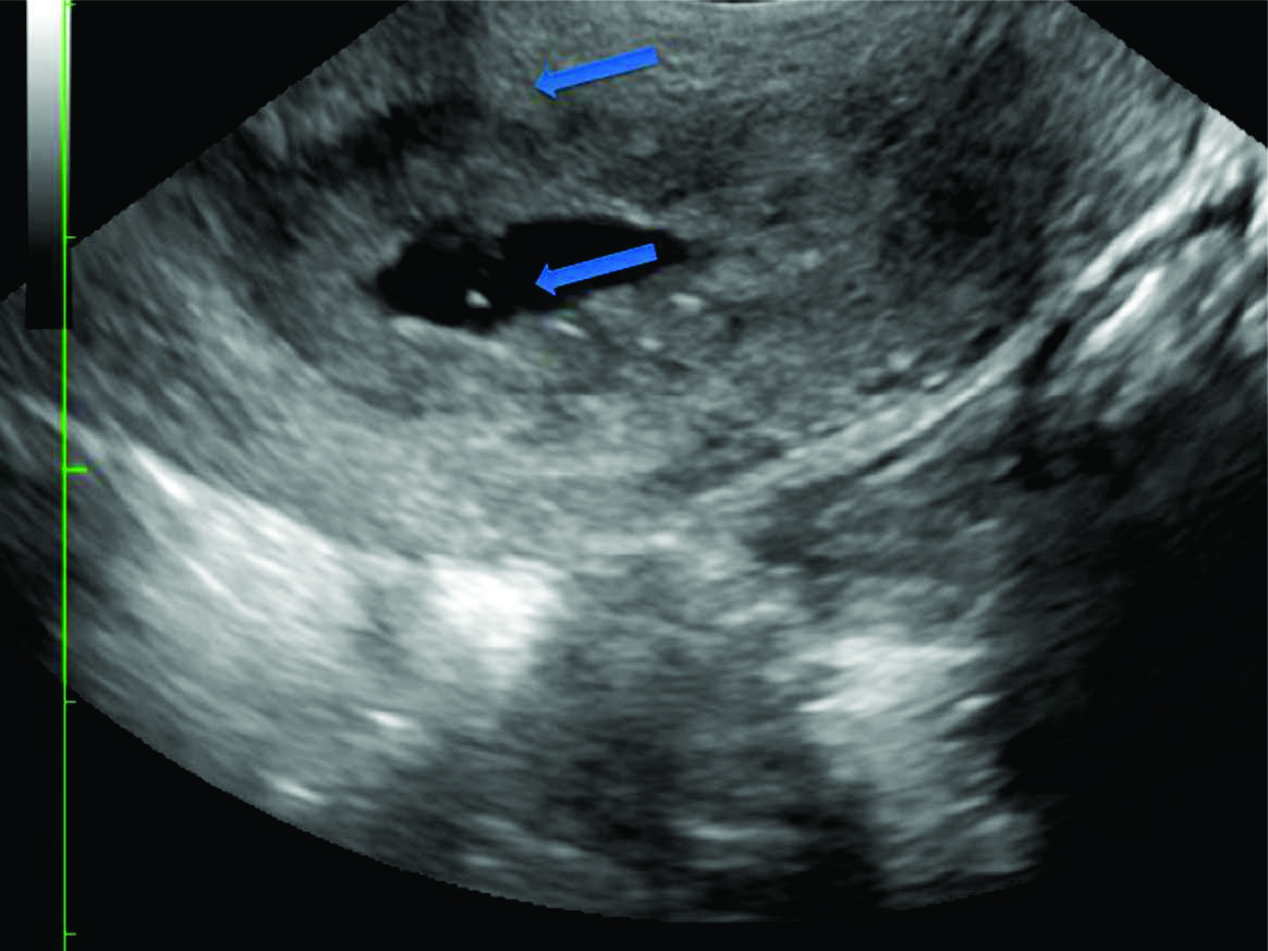
Figura 1
1a) Útero en plano sagital,
donde se evidencia el endometrio, el orificio cervical interno cerrado, destacando la presencia de imagen quística a nivel del cuello uterino (flecha). 1b) y d)Se observa el saco gestacional a nivel cervical con embrión en su interior.


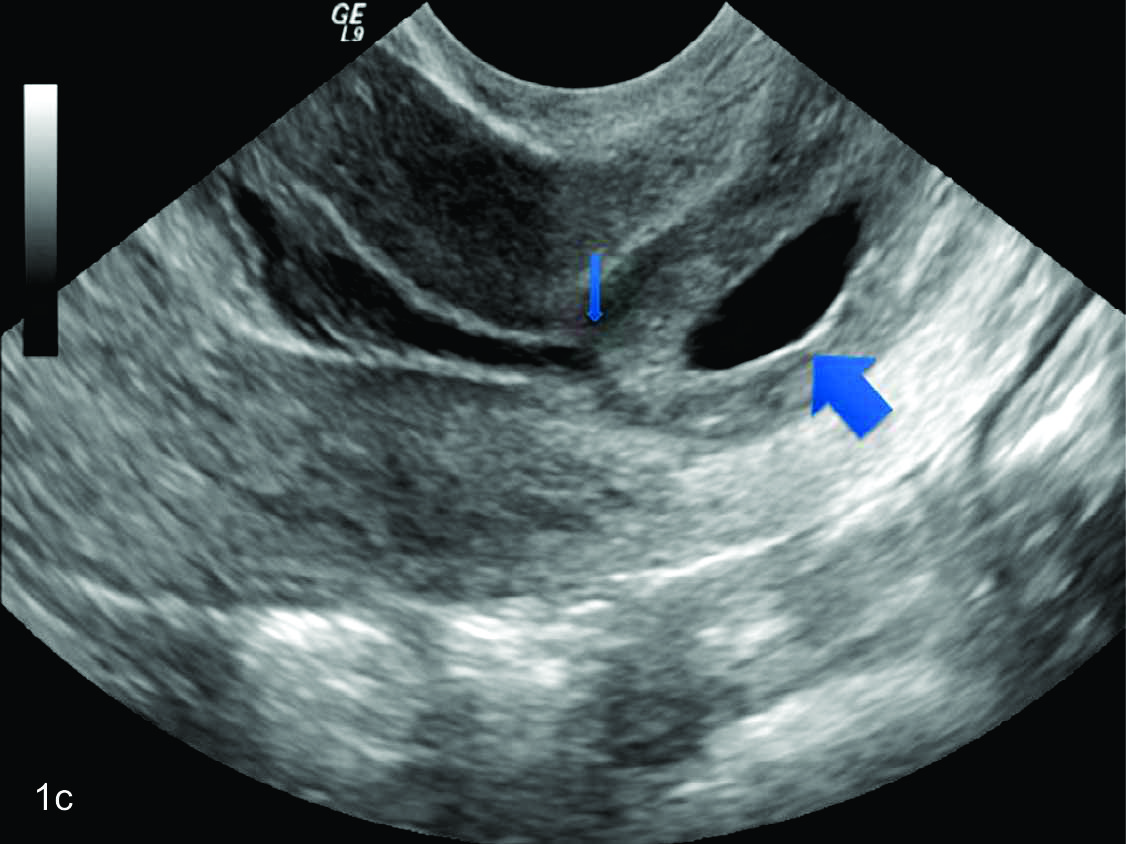
Figura 2
Ecografía trans vaginal evidenciando útero en el plano sagital.

Se observa saco gestacional a nivel cervical (flecha gruesa), y orificio cervical interno cerrado (flecha fina). El endometrio está engrosado.

MATERIAL Y MÉTODOS

Las opciones de manejo del EEC presentan un rango desde el uso de tratamientos médicos conservadores hasta la aplicación de la cirugía radical. El suceso global del manejo conservador es del orden del 95%, aunque un 21% de las pacientes necesitan de algún otro procedimiento adicional para el control de la hemorragia.
Se han descrito factores pronósticos que condicionarían el éxito del tratamiento médico (6) con Metrotexate (MTX) sistémico: a) B-Hcg < 10.000 mU/ml; b) ausencia de actividad cardiaca; c) < 9 semanas de gestación, y d) longitud cráneo-caudal < 10 mm.

Muchos trabajos publicados prueban que es posible evitar un tratamiento quirúrgico mediante el uso de MTX en casos cuidadosamente seleccionados alcanzándose un éxito global del orden del 80% (7).
Una opción al uso de MTX sistémico es la inyección local guiada por ecografía, en especial en los casos con actividad cardiaca presente (8), que puede ser o no complementada con el uso de MTX sistémico. De reciente introducción es la asociación de MTX sistémico y la embolización de la arteria uterina (9) en casos de hemorragia uterina, que puede ser complementado con un tamponamiento local, un catéter de Foley o un balón triple vía (10).

El tratamiento médico con metotrexato es el más empleado, ya sea por vía sistémica (intramuscular) o local. Existen 2 pautas para la administración de metotrexato sistémico: 1 mg/kg/día o bien una dosis de 50 mg/m2 .(11) La segunda pauta es la más utilizada, por su mayor comodidad y menor incidencia de efectos secundarios. Para el tratamiento local se utiliza una dosis de 25-50 mg. Para evitar fracasos en el tratamiento, muchos autores optan por la combinación de ambas vías de administración, suponiendo un efecto sumatorio de las dos, no demostrado.(12)

En nuestro caso se realizó MTX local mediante punción del cuello uterino bajo guía ecográfica (figura 4), instilando 50 Mg de Metrotexato en 2 cc. En una de ellas dado que no obtenía un adecuado descenso de la BHCG se complementa con tratamiento sistémico. En todas el procedimiento fue bien tolerado y sin incidentes, obteniendo el resultado esperado, con un manejo conservador. Una de ellas con fertilidad posterior, tuvo una gestación a término, luego de transcurrido un año de este hecho (figura 5).


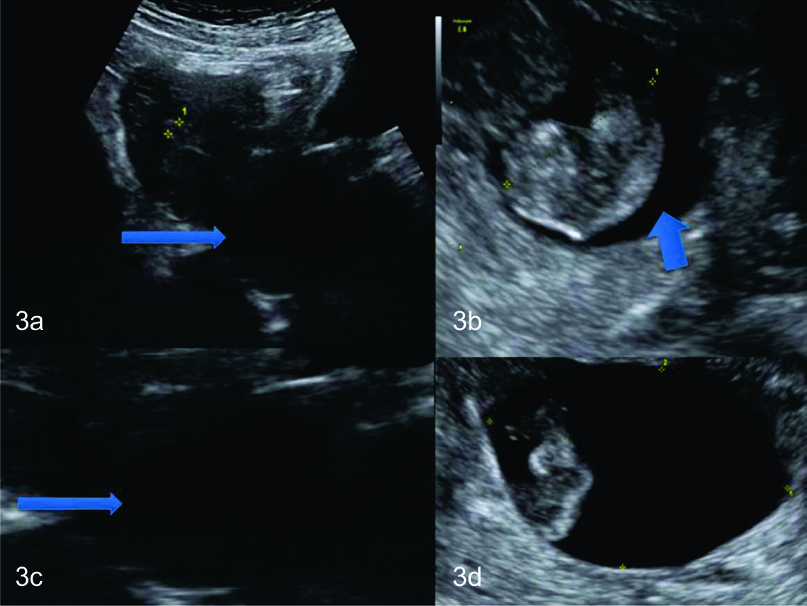
Figura 3
a y b) Transabdominal
c y d) Transvaginal
Se observa embarazo ectópico cervical donde se señala el saco gestacional (flecha fina), y el embrión dentro del saco (flecha gruesa). El endometrio mide 5 mm de espesor, el saco gestacional mide 25 mm de diámetro promedio. El embrión presenta un LCC de 13 mm compatible con gestación de 7 semanas.


Figura 4
Punción ecoguiada
Se observa aguja (flecha) con extremo en el interior del saco gestacional. La imagen corresponde a saco gestacional de localización cervical, donde se constata orificio cervical interno y externo cerrados.


Figura 5
Emabarazo normal
Una de nuestras pacientes, meses después del procedimiento, que llegó a término sin complicaciones.

DISCUSIÓN

La mayor accesibilidad a la ecografía y dentro de ellas la técnica transvaginal, asociada al uso habitual de la B-hCG han permitido que la mayoría de las gestaciones ectópicas, incluídos los casos de EE cervical, tengan un diagnóstico temprano.

Los requisitos fundamentales para llevar adelante un tratamiento médico conservador son: paciente hemodinámicamente estable y sin dolor, sin evidencia de hemoperitoneo, con función renal y hepática normal. Ambas pacientes analizadas reunían los requisitos necesarios.

En todas nuestras pacientes se optó por tratamiento local con MTX por punción ecoguiada, a fin de evitar efectos adversos de tratamiento médico sistémico, si bien en una se complementó con el mismo.
El tratamiento médico local o sistémico es el más conveniente coste efectivo para el manejo de esta patología (13) con buenos resultados en nuestra experiencia.

CONCLUSIÓN

Es fundamental conocer la patología para realizar un diagnóstico precoz, y establecer tratamiento local conservador de elección, para preservar la fertilidad futura de la paciente evitando complicaciones principalmente vinculado al sangrado y los efectos adversos de tratamientos sistémicos. En todas el procedimiento fue bien tolerado y sin incidentes, obteniendo el resultado esperado, con un manejo conservador.

Conflicto de intereses

Los autores declaran no tener ningún conflicto de intereses.

BIBLIOGRAFIA

  • Kirk E, Condous G, Haider Z, Syed A, Ojha K, Bourne T. The conservative management of cervical ectopic pregnancies. Ultrasound Obstet Gynecol. 2006; 27:430-7.

  • Timor-Tritsch IE, Monteagurdo A, Mandeville EO, et al. Successful management of viable cervical pregnancy by local injection of methotrexate guided by transvaginal ultrasonography. Am J Obstet Gynecol. 1994; 17:737-739.

  • Vas W, Suresh PL, Tang-Barton P, et al. Ultrasonographic differentiation of cervical abortion from cervical pregnancy. J Clin Ultrasound. 1984;12: 553-537.

  • Frates MC, Benson CB, Doubilet PM, et al. Cervical ectopic pregnancy. Radiology. 1994; 191:773-775.

  • Jurkovic D, Hacket E, Campbell S. Diagnosis and treatment of early cervical pregnancy. Ultrasound Obstet Gynecol. 1996; 8:373-380.

  • Leon G, Hidalgo L, Chedraui P. Cervical pregnancy: transvaginal sonographic diagnosis and conservative. Ultrasound Obstet Gynecol. 2003; 21:62-2.

  • Buster JE, Heard MJ. Current issues in medical management of ectopic pregnancy. Curr Opin Obstet Gynecol. 2000;1 2:525-7.

  • Monteagudo A, Minior VK, Stephenson C, Monda S, Timor-Tritsch IE. Non-surgical management of live ectopic pregnancy with ultrasound-guided local. Ultrasound Obstet Gynecol. 2005;25: 282-8.

  • Sherer DM, Lysikiewicz A, Abulafia O. Viable cervical pregnancy managed with systemic Methotrexate. Am J Perinatol. 2003;20: 263-7.

  • Bakour SH, Thompson PK, Khan KS. Successful conservative management of cervical ectopic pregnancy. J Obstet Gynaecol, 2005;25:616—8.

  • Speroff L, Friz MA. Embarazo ectópico. En: Endocrinología ginecológica clínica y esterilidad. 2.ª ed. en español. Madrid: Wollers Kluwer Health España SA; 2006. p. 1275-302.

  • León Luis JA, Granados Lastras MA, Viñuela Benéitez MC, Aguarón de la Cruz A, Pérez-Fernández-Pacheco R, García Albertos F, et al. Embarazo ectópico cervical: tratamiento combinado con metotrexato sistémico e intrasacular. Prog Obstet Ginecol, 2002;45:444-7.

  • Lecururu F, Robin F, Chasset S, Leonard F, Guitti S, Taurelle R. Direct cost of single dose methotrexate for unrupted ectopic pregnancy —Prospective comparison with laparoscopy. Eur J Obst Gynecol Reprod Biol. 2000; 88:1—6.

  • Tehrani, Hatav Ghasemi, et al. "Cervical Ectopic Pregnancy." Clinical Medicine1.2 (2015): 60-62.

  • Zhou, Qiao, Daniel Young, and Harlan Vingan. "Uterine artery embolization for cervical ectopic pregnancy." Radiology Case Reports (2015).

* Médico Radiólogo

** Médico Ginecólogo

* Ex Profesor de Radiología