LINFOMA ANAPLÁSICO T DEL SISTEMA NERVIOSO CENTRAL EN UN PACIENTE VIH

ESPACIO DE NEURORRADIOLOGÍA

Dr. Federico Avondet *
Dr. Kilroy Genta **
Dr. Francisco Garagorry ***
Dra. Eloisa Bentancur ****
Dra. Ximena González Larramendi ****
Dra. Carina Di Matteo ****

RESUMEN

Los linfomas primarios del sistema nervioso central (SNC) son una variedad poco frecuente de linfomas no Hodgkin, que constituyen entre el 2 y el 6 % de los tumores malignos en esta topografía. Los linfomas difusos de células grandes B son el grupo histológico más frecuente, mientras que los linfomas de células T representan menos del 5 %.
Se presenta el caso clínico de una paciente de sexo femenino, de 42 años de edad, VIH positiva en etapa SIDA, con mala adherencia a la terapia anti-retroviral (TARV), que ingresa al servicio por hemiparesia izquierda de instalación progresiva, acompañado de cefalea intensa holocraneana.
Se realizaron estudios de neuroimágen donde se constató la presencia de dos lesiones intra-axiales frontales derechas, con áreas de hemorragia interna y realce en anillo grueso e irregular.
Tras la biopsia quirúrgica se determinó compromiso encefálico por un Linfoma de Grandes Células Anaplásico T, ALK negativo.

SUMMARY

Primary central nervous system (CNS) lymphomas are a rare variety of non-Hodgkin lymphomas, which make up between 2% and 6% of malignant tumors in this topography. Diffuse large B cell lymphomas are the most frequent histological group, while T cell lymphomas represent less than 5%.
We present the clinical case of a 42 years old woman, HIV positive in AIDS stage, with poor adherence to anti-retroviral therapy (ART), who consulted due to progressive left hemiparesis, accompanied by intense headaches.
Neuroimaging studies were performed in which two frontal right intra-axial lesions were found, with areas of internal hemorrhage and thick and irregular ring enhancement.
After surgical biopsy, encephalic compromise was determined by an Anaplastic Large T Cell Lymphoma, ALK negative.

INTRODUCCIÓN

El linfoma primario del sistema nervioso central (LPSNC) es una patología relativamente infrecuente, representando entre el 2 y el 6 % de los tumores malignos en dicha topografía1. Se definen como primarios cuando la patología se encuentra confinada al cerebro, leptomenínges, médula espinal u órbita, sin evidencia de afectación sistémica. En contraposición, los linfomas cerebrales secundarios se producen por una extensión o diseminación en el SNC de un linfoma sistémico. (1)
La incidencia del linfoma primario ha crecido lentamente en las últimas décadas debido por un lado, a una mayor esperanza de vida de la población general, y por otro, a la existencia cada vez mayor de pacientes inmunocomprometidos. Los linfomas difusos de células grandes B son el grupo histológico más frecuente, mientras los linfomas de células T representan menos del 5 %. (1,3)
Constituyen un verdadero desafío diagnóstico sobre todo por las implicancias que esto tiene en su tratamiento y en su pronóstico en comparación con otros tumores primarios. (2)

Si bien el estudio histológico es el estándar de referencia, y fundamental para la correcta elección del tratamiento, los estudios de imagen pueden sugerir el diagnóstico con elevados niveles de sensibilidad y especificidad. (2)
Dentro de ellos, la resonancia magnética (RM) es el método de elección para el estudio de los tumores del sistema nervioso central, y en el caso de los LPSNC aporta elementos fundamentales para su diagnóstico y seguimiento. (2)
Aunque los LPSNC tienen hallazgos imagenológicos característicos tanto en tomografía computada (TC) como en RM, ninguno de ellos es patognomónico, y por lo tanto, puede ser difícil el diagnóstico diferencial con otras lesiones del SNC. (3,4)
El objetivo de este manuscrito es presentar una forma aná tomo-patológica atípica de linfoma primario del SNC en una paciente inmunocomprometida, haciendo énfasis en sus características imagenológicas. Si bien no se conoce la real incidencia de linfomas del SNC en Uruguay, constituye una neoplasia que se observa con relativa frecuencia en nuestro medio2. Su diferenciación con otras lesiones del SNC tiene una alta relevancia clínica dado que sus estrategias terapéuticas varían sustancialmente.

CASO CLÍNICO

Se presenta el caso clínico de una paciente de sexo femenino, de 42 años de edad, VIH positiva en etapa SIDA, con mala adherencia a la terapia anti-retroviral (TARV). Como antecedente personal se destaca tabaquismo intenso y BK pulmonar con tratamiento completo. Se estudia en el servicio de imagenología por hemiparesia izquierda de instalación progresiva, acompañado de cefalea intensa holocraneana.

Estudios de imagen realizados:
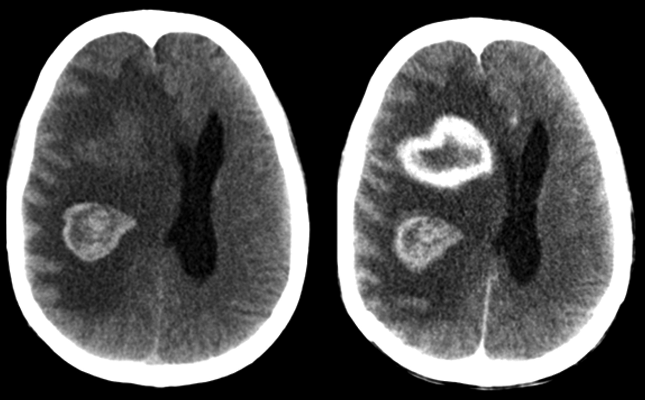
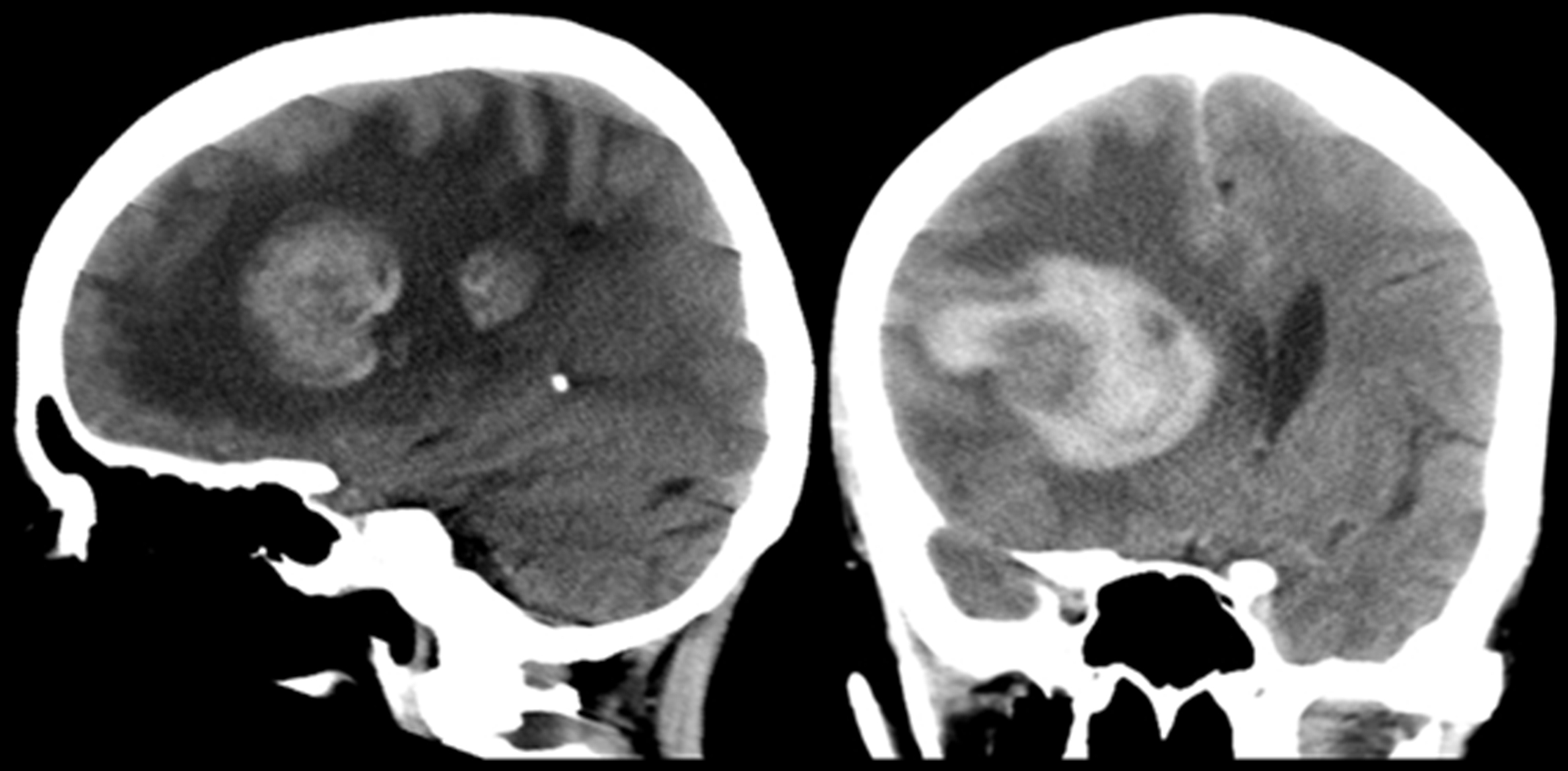
Se realiza TC de cráneo (Fig. 1), donde se constata la presencia de dos lesiones intra-axiales frontales derechas, con sectores espontáneamente hiperdensos en relación a sangrado. Ambas presentan realce en anillo grueso e irregular con el medio de contraste. En RM son de intensidad de señal heterogénea, hipointensas en T2/FLAIR (del inglés “fluid attenuated inversión recovery”), hiperintensas en T1, con realce periférico grueso, continuo e irregular con gadolinio. En secuencias eco de gradientes (GRE) se observan zonas de artificio de susceptibilidad magnética en relación a áreas de sangrado interno. En difusión-ADC (coeficiente de difusión aparente) se objetivan áreas periféricas de restricción y en el estudio de perfusión disminución del volumen sanguíneo cerebral (Fig. 2). Se completó estudio con TC de cuello, tórax, abdomen y pelvis, sin identificarse lesiones sugerentes de compromiso nodal, hepático o esplénico.

Con valores de CD4 de 37 cél/mm3 y carga viral de 283679 copias/ml, presenta peoría clínica, con depresión de conciencia, “score de coma de Glasgow” de 3, requiriendo intubación y asistencia respiratoria mecánica. En TC de control (Fig. 3), se constató aumento del tamaño lesional secundario a sangrado.


Figura 1
a) Tomografía sin contraste. Se observa lesión intra-axial frontal derecha, con sectores espontáneamente hiperdensos en relación a sangrado, y otra lesión menos evidente frontal anterior isodensa con respecto a la sustancia gris. Gran cantidad de edema locorregional y severo efecto de masa, con desviación significativa de la línea media.
b) Tomografía con contraste. Se delimita con mayor claridad la lesión frontal anterior, con 1a 1b realce en anillo continuo, grueso e irregular.


Figura 2
a) Corte coronal secuenciada ponderada en T2.
b) Corte axial secuencia GRE.
c) Perfusión, mapa de volumen sanguíneo cerebral.
d) Corte axial ponderada en T1 tras la administración de Gadolinio.
e) Difusión.
f) Mapa de ADC. Las lesiones presentan intensidad de señal heterogénea, hipointensas en T2/FLAIR, hiperintensas en T1, con realce periférico grueso, continuo e irregular con el gadolinio. Asocian restricción en difusión también periférica, concordante con las áreas de realce. En secuencias GRE presentaban sectores de artificio de susceptibilidad magnética, en relación a sangrado. La lesión frontal anterior muestra disminución del volumen sanguíneo cerebral (VSC) en el estudio de perfusión. La lesión posterior presenta importantes áreas de hemorragia que generan artefactos y dificultan la correcta interpretación del estudio de perfusión. Se observa además, importante edema perilesional y efecto de masa locorregional.

En función del severo inmunocompromiso de la paciente, asociado a la presencia de lesiones múltiples con realce en anillo, se planteó desde el punto de vista imagenológico, que las lesiones fueran en primera instancia de etiología infecciosa. La toxoplasmosis es la infección oportunista más frecuente y la causa más frecuente de masa intracraneal en el paciente SIDA (4). La áreas de hemorragia interna extensas que presentaron ambas lesiones, favoreció el diagnóstico de toxoplasmosis frente a los diagnósticos diferenciales, principalmente el LPSNC, dado que en este último la hemorragia es excepcional (3). La restricción moderada en difusión-ADC y el bajo volumen sanguíneo cerebral orientaron a dicha etiología. Dado lo voluminoso de las lesiones y su bajo número de presentación, se incluyó el LPSNC entre los planteos diferenciales más probables.
Con planteo imagenológico de neurotoxoplasmosis recibe tratamiento específico, el cual se rota frente a serología negativa para toxoplasmosis, realizando plan antibiótico con cobertura adicional para nocardia y/o rhodococcus.
Con mala respuesta al tratamiento, se decide realizar biopsia quirúrgica.

Anatomía Patológica:
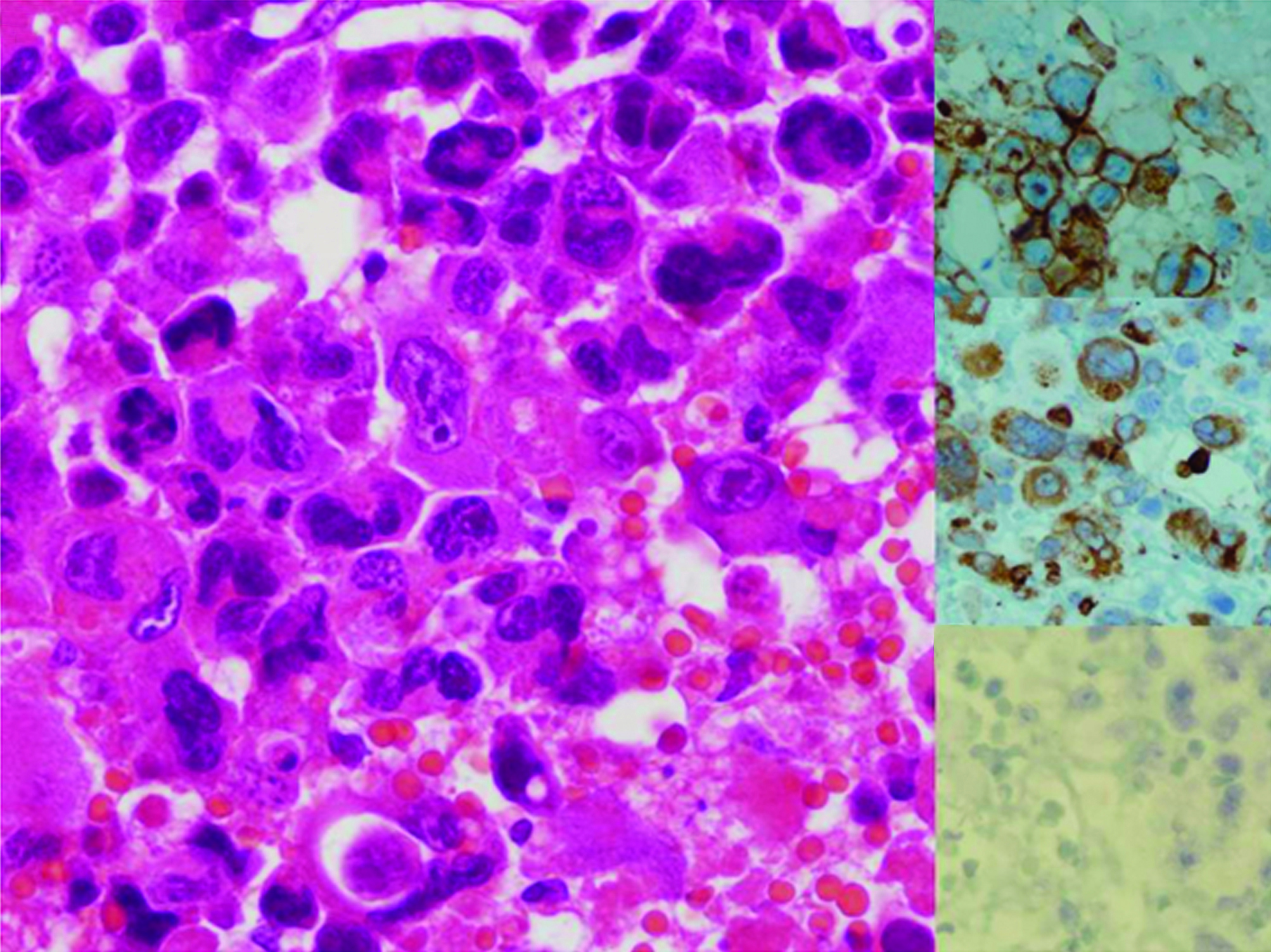
En la histología (Fig. 4) se observó una proliferación celular atípica, poco cohesiva, con discreto angiocentrismo y extensas áreas de necrosis. Está compuesta por células de talla grande, bizarras, con citoplasmas eosinófilos, núcleos pleomórficos, en algunos casos adoptando la forma de herradura y otros polilobulados, con nucléolo prominente. Se observaban múltiples mitosis atípicas. Con planteo de neoplasia maligna indiferenciada de alto grado, se realizó un primer panel de inmunohistoquímica, el que mostró positividad intensa y difusa para vimentina y focal para CD45, con negatividad para CK AE1/AE3, Melan A, HMB45 y GFAP, orientando a estirpe linfoide. En un segundo panel se observó positividad intensa, difusa, de membrana y Golgi para CD30, asociado a expresión de CD45RO, CD3, CD4, y EMA focal; TIA-1 y CD38 débiles y focales, mostrando negatividad para CD5, CD8, CD15, CD19, CD138 y ALK. Dichos hallazgos son diagnósticos de compromiso encefálico por un Linfoma de Grandes Células Anaplásico T, ALK negativo.


Figura 3
Control evolutivo
a) Corte sagital sin contraste.
b) Corte coronal con contraste iv. Frente a la peoría clínica se realizó tomografía de control. Se observa aumento de la lesión, secundario a sangrado intra-tumoral.


Figura 4
a) H&E 400x: se observan células de gran talla, pleomórficas, algunas con núcleos en “herradura” y otros polilobulados, asociado a necrosis y hemorragia.
b) Estas células mostraron mediante técnicas de inmunohistoquímica, positividad de membrana para CD30.
c) Positividad citoplasmática para CD3,
d) Negatividad para la proteína ALK.

DISCUSIÓN

El diagnóstico de LPSN es un verdadero desafío diagnóstico que requiere el trabajo en conjunto de un equipo multidisciplinario para elaborar la mejor estrategia terapéutica. (2)
Si bien el estudio anatomopatológico es fundamental, la TC y la RM aportan información necesaria para tener una alta sospecha previo a la toma de desiciones. (2)
La forma de presentación de estos tumores es variable, y se encuentra en íntima relación al grado de inmunidad de los pacientes. (3)
Tanto en pacientes inmunocomprometidos como inmunocompetentes, los LPSNC suelen ser iso o hiperdensos en tomografía sin contraste, en función de su alta celularidad y de su alta relación núcleo/citoplasma. La disrupción de la barrera hematoencefálica que producen, determina su realce intenso con el medio de contraste. En RM son iso o hipointensos en secuencias ponderadas en T1, con señal variable en secuencias T2 (en general hipointensos en comparación con la sustancia gris). (3)

En pacientes inmunocompetentes, se presentan por lo general, como una lesión solitaria, con realce homogéneo con el medio de contraste, de localización hemisférica, superficial adyacente a las meninges o en la sustancia blanca periventricular2, 3. Entre el 20 a 40 % de los pacientes pueden presentar más de una lesión y el realce en anillo es relativamente infrecuente (0%-13 %), (2,3)
El realce lineal a lo largo de los espacios peri-vasculares es altamente sospechoso de LPSNC3. Asocian moderado edema perilesional, siendo raras las calcificaciones y la hemorragia interna.
La extensión de lesiones parenquimatosas hacia el ojo, como linfomas intraoculares secundarios, está reportado hasta en 25% de los LPSNC.
Los linfomas durales son un tipo raro de LPSNC y se presentan como masas extra-axiales únicas o múltiples, que pueden simular meningiomas. La convexidad cerebral es la más frecuentemente afectada, siendo lugares infrecuentes la hoz del cerebro, el tentorio, la región selar y supraselar, y la médula espinal. (3)

En pacientes inmunodeficientes, aparecen las características atípicas, como lesiones múltiples, heterogéneas, con presencia de necrosis, realce irregular y periférico, y hasta el 75 % de los casos con realce en anillo3. Si bien la hemorragia también es rara en estos pacientes, se presenta con mayor frecuencia que en pacientes inmunocompetentes. (3)
Nuestro paciente presentaba valores de CD4 de 37 cél/ mm3 y carga viral de 283679 copias/ml compatibles con inmunosupresión severa. En este sentido, presentó características imagenológicas típicas del paciente inmunocomprometido, como la presencia de lesiones múltiples, con áreas de necrosis, realce irregular y periférico en anillo. En pacientes inmunodeprimidos, y en particular en pacientes en etapa SIDA, la imagenología no siempre pude diferenciar de manera confiable el linfoma de la toxoplasmosis cerebral (principal diagnóstico diferencial), en función de que pueden presentar hallazgos imagenológicos similares3. Entre ellos, cabe destacar que ambas lesiones pueden presentar realce anular, hemorragia, topografías comunes, superposición en los valores de ADC y comportamiento similar en el estudio de perfusión.

La toxoplasmosis es la infección oportunista más frecuente y la causa más frecuente de masa intracraneal en el paciente SIDA4, producida por el parásito intracelular toxoplasma gondii. La localización más frecuente son los ganglios basales, tálamo y hemisferios cerebrales4. La imagen en TC suele ser una lesión hipodensa, única o múltiple, con edema asociado, efecto masa y realce anillo4. Es frecuente un aspecto en “diana” u “ojo de buey” (4). Las lesiones de pequeño tamaño pueden mostrar un patrón de realce sólido. En RM suelen ser lesiones iso-hipointensas tanto en T1 como T2. (4) La hemorragia es dentro de las características de presentación la más atípica de ellas. Puede ser vista ocasionalmente, y se considera un hallazgo que puede diferenciar toxoplasmosis de linfomas, dado que estos últimos no suelen sangrar antes del tratamiento. (3) Sin embargo no es una característica patognomónica y ambas lesiones pueden presentar áreas de hemorragia.
En nuestro caso en particular, la hemorragia intensa favoreció el planteo de neurotoxoplasmosis versus linfoma primario, si bien este último también fue incluido entre los diagnósticos diferenciales. (2,3,5)
Las técnicas funcionales de RM, como difusión, perfusión y espectroscopía, son herramientas cada vez más utilizadas para diferenciar linfomas de otras lesiones del SNC. La difusión mide el movimiento del agua, y es considerado un marcador de hipercelularidad dado que a mayor número de células, mayor barrera al movimiento browniano de las moléculas de agua. Dado la hipercelularidad de estos tumores, presentan marcada restricción en difusión, con alta señal en difusión y baja señal en el mapa de ADC (incluso más marcado que en metástasis y gliomas de alto grado). Se ha propuesto esta secuencia como herramienta de valor pronóstico y de respuesta al tratamiento. (2,3)
Se ha propuesto además, que los valores de ADC podrían ayudar a diferenciar entre toxoplasmosis y linfoma en pacientes inmunocomprometidos (principalmente en pacientes en etapa SIDA). (6)
Se han intentado establecer diferentes niveles de corte, teniendo las lesiones de toxoplasmosis valores más altos de ADC6. Sin embargo, como ya mencionamos y al igual que las áreas de hemorragia, los valores de ADC se superponen con relativa frecuencia.
La perfusión mide la vascularización de los tejidos secundaria a la angiogénesis, fundamental para el crecimiento tumoral. Los LPSNC presentan bajo volumen sanguíneo cerebral y una curva dinámica característica, secundaria al paso masivo de contraste al espacio intersticial. (2,3,7)

El intenso realce con el medio de contraste observado en contraposición con el bajo volumen sanguíneo cerebral, se atribuye a la destrucción de la barrera hematoencefálica sin neovascularización asociada, a diferencia de lo que ocurre en gliomas de alto grado. (7)

La espectroscopía obtiene información química no invasiva de un volumen de interés, de cualquier tejido biológico. Los LPSNC presentan por lo general, descenso de la concentración de NAA, elevado pico de lípidos y alta relación colina/crea. (3)
Los linfomas de células T tienen una presentación y pronóstico comparables a los linfomas primarios del SNC de células B, con mayor tendencia a presentar “síntomas constitucionales”. (8)
Pequeñas series de casos sugieren que la diseminación leptomeníngea, la neurolinfomatosis (afectación del sistema nervioso periférico) y una distribución preferencia subcortical, son manifestaciones comunes del linfoma primario del SNC de células T9. No hay reportadas diferencias imagenológicas que permitan diferenciarlo de la variedad B más frecuente. Dada la pluralidad de hallazgos por imágenes, el diagnóstico diferencial es patrimonio de la histopatología.
El linfoma anaplásico de células grandes (LACG) rara vez ocurre en el sistema nervioso central. Aunque se define por su composición de linfocitos grandes, pleomórficos y ser CD30 positivos, el LACG es heterogéneo. La mayoría son células T, pero algunas son células nulas. La mayoría, pero no todos, tienen una translocación característica 2:5 que produce la proteína de fusión ALK-1, que se detecta de manera confiable mediante inmunohistoquímica y por lo tanto se han descritos los subtipos ALK+ y ALK. (10, 14)

El ALK + tiene una distribución bimodal, presentándose con un pico a los 20 años y otro después de la cuarta década de vida. Cuando afectan al SNC, se presenta más frecuentemente como enfermedad supratentorial, con predilección de la región fronto-parietal, a veces acompañada de afectación infratentorial. Las lesiones pueden ser únicas o múltiples, homogéneas antes y después de la administración del medio de contraste, presentando intenso realce. En la mayoría de los casos, se observa afectación de las leptomenínges, duramadre o ambas. (10, 11)

El ALK- es una enfermedad de los adultos, y tanto los hombres como las mujeres se ven afectados. Al igual que en ALK +, cuando se presenta en el SNC, se observan lesiones únicas o múltiples, generalmente supratentoriales, con características patológicas similares a los ALK + pero sin expresión de la proteína ALK. El pronóstico para ALK- primario del SNC parece ser peor que para el ALK +. (10,11,12)

BIBLIOGRAFIA

  • Menon MP, Nicolae A, Meeker H. Primary CNS T-Cell Lymphomas: A clinical, morphologic, immunophenotypic and molecular analysis. Am J Surg Pathol; 2015 December; 39(12): 1719–1729.

  • Sgarbi N, Wozniack T, Telis O. Linfoma primario del sistema nervioso en el paciente inmuno-competente: Hallazgos en Resonancia Magnética. Espacio de Neurorradiología. Rev. Imagenol. 2da Ep. Ene/Jun 2017, 20(2): 75 -82.

  • I.S. Haldorsen, A. Espeland, E.-M. Larsson. Central Nervous System Lymphoma: Characteristic Findings on Traditional and Advanced Imaging. American Society of Neuroradiology. AJNR 2011; 32(6):984-92.

  • González Sendra FJ, Fernández Fresno L, Camacho Molina J. Diagnóstico por imagen de las infecciones del sistema nervioso central. Presentación Electrónica Educativa (SERAM). http:// dx.doi.org/10.1594/seram2012/S-1338.

  • Reis F, Schwingel R, Barjud Pereira do Nascimento F. Central nervous system lymphoma: iconographic essay. Radiol Bras. 2013 Mar/Abr; 46 (2):110–116.

  • Camacho DLA, Smith JK, Castillo M. Differentiation of toxoplasmosis and lymphoma in AIDS patients by using apparent diffusion coefficients.AJNR Am J Neuroradiol April 2003, 24:633–637.

  • Lee IH, Kima, ST, Kim HJ, Kim KH, et al. Analysis of perfusion weighted image of CNS lymphoma. Eur.J. Radiol.2010, 76:48–51.

  • Levin N, Soffer D, Grissaru S, et al. Primary T-cell CNS lymphoma presenting with leptomeningeal spread and neurolymphomatosis. J Neuro Oncol 2008; 90:77e83.

  • Shenkier TN, Blay JY, O’neill BP, et al. Primary CNS lymphoma of T-cell origin: a descriptive analysis from the international primary CNS lymphoma collaborative group. J Clin Oncol 2005; 23:2233e9.

  • Liu D, Schelper R, Carter DA, et al. Primary central nervous system cytotoxic/suppressor T-cell lymphoma. Am J Surg Path 2003; 27:682e8.

  • Kim EY, Kim SS. Magnetic resonance findings of primary central nervous system T-cell lymphoma in immunocompetent patients. Act Radiol 2005; 46:187e92.

  • George DH, Scheithauer BW, Aker FV, et al. Primary anaplastic large cell lymphoma of the central nervous system: prognostic effect of ALK-1 expression. Am J Surg Pathol 2003 Apr;27(4):487-93.

  • Ponzoni M, Terreni MR, Ciceri F, et al: Primary brain CD30+ ALK1+ anaplastic large cell lymphoma („ALKoma“): the first case with a combination of ‚not common‘ variants. Ann Oncol 2002; 13:1827-1832.

  • Rupani A, Modi C, Desai S, Rege J. Primary anaplastic large cell lymphoma of central nervous system: a case report. J Postgrad Med 2005; 51: pp. 326-327.

  • Merlin E, Chabrier S, Verkarre V, et al. Primary leptomeningeal ALK+ lymphoma in a 13-year-old child. J Pediatr Hematol Oncol 2008; 30:963-967.

  • Paulus W, Perry A. Lymphomas and histiocytic tumors. En Practical Surgical Neuropathology: A Diagnostic Approach. China: Elsevier. 2018, 17: 405-422.

  • Swerdlow, S. T-cell and NK/T-cell lymphomas. En WHO classification of tumours of haematopoietic and lymphoid tissues. Lyon: International Agency for Research on Cancer, 2017. 277 p.

  • Jaffe, E. Anaplastic Large Cell Lymphoma, ALK positive and ALK negative. En Hematopathology. Philadelphia: Elsevier, 2017. 37: 673-692.


* Residente de Imagenología del Depto. Clínico de Imagenología del Hospital de Clínicas.

** Posgrado del Depto. Clínico de Imagenología del Hospital de Clínicas.

*** Residente de Anatomía patológica del Hospital de Clínicas.

**** Médico Imagenólogo. Depto. Clínico de Imagenología del Hospital de Clínicas.

Volver al principio