DIAGNÓSTICO INCIDENTAL DE MIXOMA CARDÍACO EN ESTUDIO ULTRASONOGRÁFICO DE ABDOMEN. REPORTE DE UN CASO

REPORTE DE CASO

Dres: Pablo Pedetti *
José Perdomo **
Juan Sattler ***

RESUMEN

Se presenta el caso de un mixoma cardíaco diagnosticado en forma incidental durante la exploración ultrasonográfica abdominal en una paciente en control preoperatorio de litiasis vesicular.
Describimos sus características en el ultrasonido y en tomografía computada, así como las formas clásicas de presentación clínica, y se comparan con la literatura. Se aporta la pieza quirúrgica con el estudio anatomopatológico que confirma el diagnóstico.
La selección de este caso se basa en que resulta de un hallazgo incidental de una patología con baja frecuencia, sumado a su localización en el mediastino, región frecuentemente ignorada en la exploración ecográfica abdominal.

Palabras claves: Mixoma cardíaco, hallazgo incidental, ultrasonido abdominal.

ABSTRACT

We report the case of a cardiac myxoma incidentally diagnosed during abdominal ultrasonography assessment before gallstone surgery.
We describe its features on ultrasound and computed tomography, as well as classical forms of clinical presentation, and compared with literature.
The surgical specimen are presented as well as the pathology report, wich confirms the diagnosis. The case selection is based on the incidental finding of alow frequency disease, in addition to its location in the mediastinum, often neglected in abdominal ultrasound examination.

Key words: Cardiac myxoma, incidental finding, abdominal ultrasound.

INTRODUCCIÓN

El mixoma es el tumor primario cardiaco más frecuente, que da cuenta de aproximadamente el 50% de todos los tumores primarios cardiacos.

Es ligeramente más frecuente en el sexo femenino y su diagnóstico ocurre típicamente en la vida adulta, con una edad promedio de 50 años.

La mayoría de los pacientes se presentan con al menos un hallazgo de la triada clásica, que incluye síntomas obstructivos cardíacos, eventos cardioembólicos o síntomas constitucionales debido a la producción y liberación de mediadores inflamatorios.

Típicamente se manifiesta como una masa polipoidea, intracavitaria, en la aurícula izquierda, originada del septo interauricular, pudiendo localizarse en cualquier otra cámara cardíaca aunque con mucho menos frecuencia.

Debido a que en la mayoría de los casos, la presentación clínica es inespecífica, los estudios de imagen juegan un rol fundamental en el diagnóstico, lo que impacta de forma directa en el manejo y pronóstico de los pacientes. En la actualidad, el uso cada vez más extendido de las diferentes técnicas de imagen ha permitido el incremento creciente en el diagnóstico, tanto en aquellos pacientes sintomáticos como en aquellos en los cuales resulta de un hallazgo incidental, hecho atribuible sobre todo al ecocardiograma y a la tomografía computada.

Existen pocos casos publicados en la literatura sobre el hallazgo incidental de mixomas cardíacos por ultrasonido en una exploración abdominal de rutina. Dicho esto, debemos mencionar que el correcto conocimiento anatómico, en conjunto con la realización de maniobras dinámicas sencillas, permiten la exploración de regiones accesibles al ecografista, como lo es el mediastino, usualmente ignorado en la exploración ecográfica abdominal rutinaria, sin que ello determine un aumento considerable en la duración del estudio.

PRESENTACIÓN DEL CASO

1) Clínica:
Se trata de una paciente de 48 años que concurre al servicio de ecografía para la realización de un estudio ecográfico de abdomen como control preoperatorio de litiasis vesicular sintomática, ya conocida, sin otros antecedentes personales ni familiares a destacar. De la anamnesis retrospectiva la paciente niega eventos hemodinámicos , cardioembólicos o constitucionales previos.

2) Paraclínica no imagenológica: contamos con rutinas básicas de laboratorio, sin alteraciones a destacar.

3) Paraclínica imagenológica

3.1) Ultrasonografía
Durante el examen ecográfico se constata la vesícula distendida, de paredes finas, con presencia de litiasis única y móvil de 9mm de diámetro en su interior, sin otras alteraciones abdominales a destacar.
Al inicio de la exploración del retroperitoneo, con el transductor en posición transversal en epigastrio, angulado a 45°en sentido cefálico, se identifican las cavidades cardíacas derechas, visualizándose en su interior la presencia de una masa redondeada, de ecogenicidad heterogénea, globalmente hiperecogénica, de contornos lisos y bien definidos. En su interior se identifican áreas ecogénicas de diferentes tamaños, algunas de las cuales determinan cono de sombra acústica posterior, las que interpretamos como calcificaciones.
Dado su morfología esférica mide aproximadamente 60 milímetros en todos sus diámetros. Se realizan maniobras dinámicas para optimizar la valoración y determinar la topografía correcta de la lesión, colocando la paciente en posición oblicua anterior izquierda, a fin de aproximar las cavidades cardíacas al transductor, complementando con maniobras de inspiración y espiración profundas mantenidas, y así obtener un mayor rendimiento diagnóstico.
De esta manera se localiza la tumoración en la aurícula derecha y se valora su comportamiento dinámico con el ciclo cardiaco. En fase de sístole auricular, la misma protruye a través de la válvula tricúspide hacia el ventrículo derecho. Se comprueba amplio contacto con el septo interauricular, al cual se mantiene fija, sin presentar contacto con las valvas tricuspídeas ni extensión a la vena cava inferior, datos de importante relevancia al considerar los diagnósticos diferenciales.
Al análisis con el Doppler color se constata la presencia de extensa vascularización central y se valora la repercusión hemodinámica sobre la aurícula derecha. La misma ocupa más del 90% de su luz lo que determina disminución del volumen de llenado en fase de relajación auricular.

Se coordina valoración urgente por cardiólogo, quien realiza ecocardiograma transtorácico, confirmando los hallazgos descritos anteriormente, sin evidenciar otras alteraciones estructurales o funcionales cardíacas.

3.2) Tomografía Computada
Estudio realizado en vistas a completar la valoración preoperatoria, con tomógrafo multicorte de 64 hileras de detectores, mediante la administración de 100cc de medio de contraste iodado intravenoso, no iónico, isoosmolar, obteniendo las imágenes en fase venosa. Se identifica la lesión descrita localizada en la aurícula derecha, de límites netos, con un diámetro de aproximado de 6cm, globalmente hipodensa, con sectores internos dispersos de mayor densidad y presencia de calcificaciones internas y periféricas.

La misma contacta con el tabique interauricular, con una base de implantación sobre el mismo aproximadamente 4 centímetros y determina expansión volumétrica sobre la aurícula derecha, ocupando gran parte de su luz, lo que determina el pasaje filiforme del medio de contraste. No hay evidencia de extensión extracardíaca ni invasión del resto de las cavidades.

No hay extensión a las venas cava superior e inferior. No se identificaron otras masas endocavitarias.
El resto del estudio no presentó alteraciones de relevancia a destacar.


Figura 1
ULTRASONOGRAFÍA MODO B

Corte realizado en el eje transversal del corazón, a través de un abordaje subxifoideo, con la imagen centrada sobre la aurícula derecha, en diferentes fases del ciclo cardíaco. Se identifican parcialmente: el tabique interventricular (círculos negros), válvula tricúspide (flechas blancas), ventrículo derecho (estrellas), y el septo interauricular (flechas negras). Ocupando gran parte de la aurícula derecha se observa el mixoma como una masa sólida, redondeada, hiperecogénica, de 6cm de diámetro, con límites bien definidos y presencia de focos puntiformes hiperecogénicos tanto en su periferia como en su interior. En el examen en tiempo real se comprueba su amplio contacto con el septo interauricular.
a) Fase de llenado auricular donde se identifica la válvula tricúspide cerrada contactando con la masa descrita. En el sector superior de la misma se observa una imagen hiperecogénica que determina cono de sombra acústica posterior, correspondiente a una calcificación, en este caso periférica (punta de flecha).
b) Fase de sístole auricular. Se observa la apertura de la válvula tricúspide y la protrusión del mixoma hacia el ventrículo derecho. Las líneas rectas perpendiculares de color blanco han sido posicionadas a modo de referencia para objetivar el prolapso dinámico del mixoma en relación a las diferentes fases del ciclo cardíaco.
c) Final de sístole auricular, identificándose el movimiento ondulante de la válvula tricúspide. Se observa disminución del prolapso del mixoma con retorno parcial a la aurícula derecha.


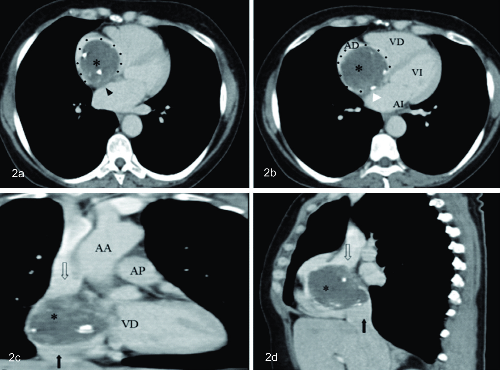
Figura 2

TOMOGRAFÍA COMPUTADA

Cortes tomográficos en el plano axial (a y b), con medio de contraste intravenoso, donde se identifican las cuatro cámaras cardíacas (VD: ventrículo derecho; VI: ventrículo izquierdo; AD: aurícula derecha y AI: aurícula izquierda.
El mixoma (*) aparece como una lesión sólida, esférica, de límites netos, con baja densidad, discretamente heterogénea, con áreas dispersas en su interior de mayor densidad, que pueden estar vinculadas a hemorragia.
Se puede observar el amplio contacto de la masa al septo interauricular (punta de flecha negra) y la presencia de calcificaciones centrales y periféricas, una de las cuales se encuentra a nivel del mencionado septo (punta de flecha blanca). Su gran tamaño expande la aurícula derecha, determinando el pasaje filiforme del medio de contraste en su periferia, el cual la rodea por completo, excepto en su vinculación al septo (puntos negros).
En las reconstrucciones en los planos coronal y sagital (C y d respectivamente) se visualiza el mixoma limitado a la aurícula derecha, sin extensión a las venas cava superior ni inferior.

PLANTEO DIAGNÓSTICO

Por sus características morfológicas, localización y conexión al septo interauricular, así como por frecuencia, planteamos corresponda a un mixoma cardiaco.

EVOLUCIÓN Y TRATAMIENTO

Se realizó exéresis completa, presentando como complicación intraoperatoria lesión de vena cava superior que se repara en el mismo acto operatorio, con excelente evolución posterior.

Actualmente se encuentra en control clínico con cardiólogo.

ANATOMÍA PATOLÓGICA

Se recibe fragmento tisular aproximadamente esférico, de 65x55x13mm, de superficie externa opaca, grisáceo- amarillenta con coágulos en su superficie. Al corte es amarillento, con áreas pardas y sectores calcificados. El examen al microscopio muestra una proliferación mesenquimática benigna, constituida por células fusiformes y estrelladas, sin atipías ni mitosis, con presencia de abundante estroma colagénico, que solo muestra áreas mixoides en forma local. Se reconocen áreas de calcificación y de osificación.
Los hallazgos son concordantes con mixoma cardiaco.


Figura 3
PIEZA QUIRÚRGICA
Masa ovoidea, de límites netos superficie lisa con coágulos superficiales y áreas blanquecinas correspondientes a calcificación y osificación.

DISCUSIÓN

El mixoma cardíaco es una neoplasia benigna que representa el tumor primario cardíaco más frecuente (1-4). Si bien aún su patogénesis no es clara, algunos autores sugieren que su origen puede deberse a restos embriológicos detenidos durante el desarrollo cardiaco (3).

Presenta una frecuencia superior en mujeres y se diagnostica la mayoría de las veces entre la 3era y 5ta décadas de vida, con una media de 50 años (1-3).

Típicamente se manifiesta como una masa cardiaca polipoidea, única e intracavitaria, adherida al septo interauricular, con gran movilidad en las diferentes fases del ciclo cardiaco, características presentes en el caso expuesto. Aunque la mayor parte son esporádicos, hasta un 7% se dan en el contexto del síndrome conocido como complejo de Carney, un trastorno autosómico dominante que se caracteriza por el desarrollo de fibroadenomas mixoides mamarios, lesiones pigmentadas de piel, desordenes endócrinos, tumores testiculares y Schwannoma melanocítico psamomatoso. En este casos los pacientes tienden a ser más jóvenes, de sexo masculino, con mixomas multicéntricos y mayor tasa de recidiva (1-4).

Aproximadamente el 80% se localiza en la aurícula izquierda, entre un 10 y un 20% en la aurícula derecha y un bajo porcentaje en los ventrículos, bicamerales o multicéntricos (3,5).

Clínicamente se manifiestan por embolias sistémicas, síntomas obstructivos y/o signos y síntomas sistémicos como fatiga, artralgias, pérdida de peso, fiebre y anemia (1-3). Si bien se desconocen las causas de los síntomas sistémicos se ha postulado la producción y liberación de mediadores químicos por parte del tumor, entre ellos, la interleukina 6 (4-6).

Los mixomas localizados en la aurícula derecha, como nuestro caso, pueden determinar embolias pulmonares, edema periférico, congestión hepática y ascitis, todos los cuales son atribuibles a la naturaleza tromboembólica de la masa y a la obstrucción al retorno venoso que determina (2).

El 20% de los pacientes permanece asintomáticos (1), en los que el tumor se descubre en las autopsias o incidentalmente, como en el caso expuesto. Nuestra paciente permaneció libre de síntomas, sin antecedentes de emEl 20% de los pacientes permanece asintomáticos (1), en los que el tumor se descubre en las autopsias o incidentalmente, como en el caso expuesto. Nuestra paciente permaneció libre de síntomas, sin antecedentes de embolias, síntomas obstructivos ni sistémicos.

El aspecto ultrasonográfico es variable, pudiendo ser homogéneos o más frecuentemente presentar áreas internas ecogénicas correspondientes a hemorragia o necrosis, así como focos hiperecogénicos con cono de sombra debido a la presencia de calcificaciones. La característica ecográfica más importante que permite plantear el diagnóstico de mixoma cardiaco con alta fidelidad es la presencia de una base de implantación en el septum interauricular , sumado a su movilidad y prolapso valvular (3,5,7), características observadas en nuestro caso.

En tomografía computada en condiciones basales aparecen como lesiones lobuladas, heterogéneas, globalmente hipodensas respecto al miocardio, debido a su naturaleza gelatinosa, o menos comúnmente isodensas, con frecuente presencia de calcificaciones en su interior. Tras la administración de contraste intravenoso la mayoría muestra realce heterogéneo, entre leve y moderado (3,5). Si bien éste método es menos fiable que el ultrasonido para valorar la vinculación al septo interauricular (1,3) despista hallazgos asociados como derrame pleural, infartos pulmonares así como tromboembolismo pulmonar o sistémico (1). El mixoma presentado muestra las características tomográficas clásicas referidas en la literatura, sin la presencia de fenómenos asociados.

Macroscópicamente la apariencia de los mixomas es variable, casi siempre de morfología oval, de contornos lobulados, lisos o menos frecuentemente irregulares. Su consistencia se describe como gelatinosa o friable, firme o mixta.

Microscópicamente se describen áreas de hemorragia, trombosis, cambios quísticos o necróticos, así como sectores de osificación y calcificación (1,5).
El tratamiento consiste en la exéresis quirúrgica con una tasa de recidiva local que oscila entre el 1% y el 5% para los esporádicos y de un 45% para los que se desarrollan en el contexto del complejo de Carney.

CONCLUSIONES

El mixoma cardíaco es el tumor primario más frecuente que asienta sobre este órgano. El análisis de algunas características casi constantes en ellos como la presentación clínica y hallazgos imagenológicos tales como: su localización en las cámaras cardíacas (sobre todo aurícula izquierda), caracteristicas morfoestructurales, la adhesión al septo interuricular y el comportamiento dinámico con el ciclo cardiaco, permiten un grado de sospecha diagnóstica tal, que es posible prescindir de otros métodos para su diagnóstico, los que, eventualmente, pudieran retrasar el acto quirúrgico.

Si bien se trata de una patología de baja frecuencia, el uso cada vez más extendido de los métodos de diagnóstico por imagen hacen posible un aumento en el número de casos incidentales, por lo que resulta de importancia para el médico radiólogo estar familiarizado con las características de estos tumores.

BIBLIOGRAFIA

  • Grebenc ML, Rosado-de-Christenson ML, Green CE, Burke AP, Galvin JR. Cardiac Myxoma: Imaging Features in 83 pacientes. Radiographics 2002; 22: 673-689.

  • Malik SB, Kwan D, Shah AB, Hsu JY. The Right Atrium: Gateway to The Heart- Anatomic y Pathologic Imaging Findings. Radiographics 2015; 35: 27-31.

  • Araoz PA, Mulvagh SL, Tazelaar HD, Fulsrud PR, Breen JF. CT and MR Imaging of Benign Primary Cardiac Neoplasms with Echocardiographic Correlation. Radiographics 2000; 20: 1303-1308.

  • Nishizaki Y, Yamagami S, Myojin M, Sesoko M, Yamashita H, Suzuki R, Hiroyuki D. A Murmur-free Giant Myxoma Doscovered Incidentally on Abdominal Ultrasonography. Intern Med 2013, 52: 2529-2531.

  • Burke A, Jeudy J, Virmani R. Cardiac tumours: an update. Heart 2008; 94: 117-123.

  • Uçkaya I, Widmera U, Attenhofer Jostb C, Seifertc B, Jennib R. Usefulness of serum interleukin-6 to discriminate between cardiac myxomas and non-myxomatous cardiac masses. Kardiovaskuläre Medizin 2005; 8:361–369.

  • Al-Shehri H, Small G, Chow BJ. Cardiac CT, MR, SPECT, ECHO, and PET: what test; when? Appl Radiol 2011; 40: 13-22.

* Asistente grado 2 Cátedra Imagenología Hospital de Clínicas

** Ex residente Hospital de Clínicas

* Ex residente Hospital Maciel Contacto: Email: joseperdomo6@gmail.com